大妈发热伴心肌损害 小小一皮疹竟成治疗成败的关键
59岁女性,8天前出现发热,39.5℃,无畏寒、寒战,在当地卫生院予输液治疗(具体不详),症状未好转。7天前出现上腹部隐痛、腹泻,遂就诊于当地镇医院,心电图检查正常,拟“中暑”,予针灸等治疗后无好转。2天前就诊于当地县人民医院,查血常规:WBC 8.4×109/L,N 89.2%,Hb 102g/L,PLT 92×109/L;肥达反应阴性;肝功能:ALT 104IU/L,AST 144IU/L,TP 55g/L,ALB 27g/L;腹部CT:脂肪肝,脾肿大;胸部CT:两肺少许炎症,左侧可疑少许胸腔积液,拟败血症,中毒性肝炎,伤寒住院治疗;期间体温波动于38~39℃,血压波动于80/50~90/60mmHg,予升压及抗感染治疗,病情无好转,遂转入笔者医院急诊。
【病情介绍】
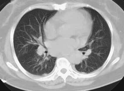
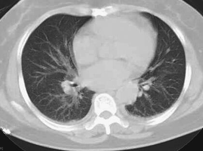
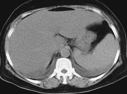
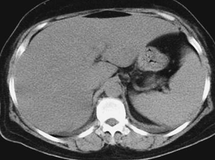
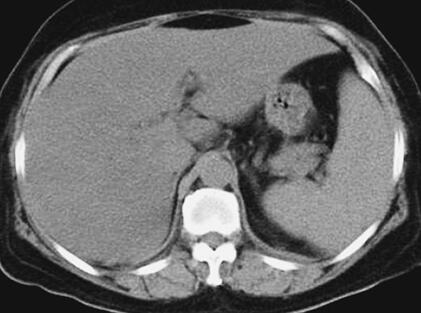
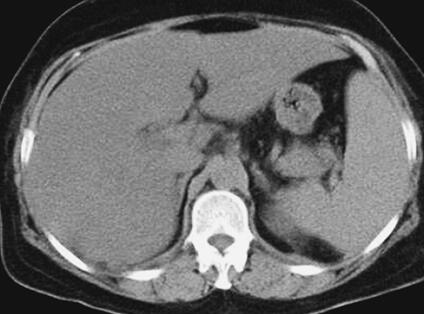
患者,女性,59岁。因“发热8天,上腹部隐痛、腹泻伴胸闷7天”于2011年7月8日入院。患者8天前出现发热,39.5℃,无畏寒、寒战,在当地卫生院予输液治疗(具体不详),症状未好转。7天前出现上腹部隐痛、腹泻,日约4~5次,黄色稀便,伴胸闷,遂就诊于当地镇医院,心电图检查正常,拟“中暑”,予针灸等治疗后无好转。2天前就诊于当地县人民医院,查血常规:WBC 8.4×109/L,N 89.2%,Hb 102g/L,PLT 92×109/L;肥达反应阴性;肝功能:ALT 104IU/L,AST 144IU/L,TP 55g/L,ALB 27g/L;腹部CT:脂肪肝,脾肿大;胸部CT:两肺少许炎症,左侧可疑少许胸腔积液,拟败血症,中毒性肝炎,伤寒住院治疗;期间体温波动于38~39℃,血压波动于80/50~90/60mmHg,予多巴胺[6.0μg/(kg·min)]升压,予亚胺培南-西司他汀钠联合头孢曲松抗感染治疗,病情无好转,仍有发热、腹泻、上腹部隐痛不适,并出现尿量减少、血肌酐升高。于7月8日转笔者医院急诊,测血压[多巴胺6.0μg/(kg·min)维持]89/55mmHg,血常规:WBC 10.28×109/L,N 89.4%;Lac 2.3mmol/L,CRP>90.0mg/L,Cr 141μmol/L,cTnI 6.02μg/L,BNP 577pg/ml;胸腹部CT:两下肺背侧散在炎症,两侧胸腔少量积液,慢肝样病变,胆囊结石(图1、图2);腹部B超:脂肪肝,脾偏大,拟发热待查,心肌炎?感染性休克?,予补液、亚胺培南-西司他汀钠控制感染,多巴胺升血压,为进一步治疗拟上述诊断收入急诊重症监护病房。既往史:40年前发现胆囊结石。




图1 胸腹部CT:两肺纹理增多增粗,两下肺背侧见斑片高密度影,边界模糊;两侧少量胸腔积液(7月8日)




图2 胸腹部CT:脾肿大(7月8日)
入院诊断:感染性休克,多脏器功能不全(急性肾功能不全,急性肝功能损害,中毒性心肌炎,血小板下降),肠道感染?胆道感染?
入院查体:T 37.8℃,P 104次/分,R 24次/分,BP 96/55mmHg[多巴胺6.0μg/(kg·min)维持]。神志清、颈软、颈静脉无怒张。两肺呼吸音粗,未闻及干湿啰音。心率104次/分,心律齐,各瓣膜区未闻及杂音。腹稍隆,右上腹、剑突下压痛,肝区叩痛阳性,反跳痛阴性,未触及肿块,肝脾肋下未触及,移动性浊音(−)。双下肢无水肿。四肢活动可。
辅助检查:7月7日:肥达反应阴性,大便常规阴性;心肌酶谱:CK 426U/L,CK-MB 81U/L,cTnI 21.8μg/L。7月8日:血常规:PLT 52×109/L,WBC 10.1×109/L,D-二聚体>20mmol/L;血气分析:PO2 64.7mmHg,PCO2 27.5mmHg,FiO2 41%,氧合指数<200;肾功能:Cr 122μg/L,CRP>90mg/L;肝功能:ALT 93U/L,AST 197U/L,TBil 49μmol/L,DBil 45μmol/L,ALP 225U/L,ALB 23.8g/L,TP 50.5g/L;腹部B超:脂肪肝,脾偏大(床旁)。心电图见图3。7月9日BNP 1176pg/ml;心脏超声:左心室轻度增大,左心室壁偏厚,左心房增大,中度二尖瓣反流,EF 65.9%(床旁超声心动图)。7月15日BNP 133pg/ml;血气分析:PO2 83.7mmHg,PCO2 43mmHg,FiO2 21%,氧合指数>300;肾功能:肌酐46μg/L。7月21日血常规:PLT 256×109/L,WBC 4.8×109/L;肝功能:ALT 50U/L,AST 38U/L,STB 13μmol/L,CB 7μmol/L,ALP 93U/L,ALB 35.8g/L,TP 70.9g/L;心肌酶谱:CK 25U/L,CK-MB 8U/L,cTnI 0.02μg/L。ANA、ENA、ASO、RF等免疫系列检查未见异常。血培养4次均阴性。

图3 心电图 阵发性心房颤动(7月8日)
诊治经过:入院后予亚胺培南-西司他汀钠1.0g静点,每8小时1次(7月8日~12日),补液、扩容、多巴胺升压抗休克,甲泼尼龙、乌司他丁抗炎,温控毯降温,鼻导管给氧(5L/min),肝肾功能较前好转,血压恢复正常,7月11日停用多巴胺,但仍有发热,体温波动于37~39.6℃,呼吸促,多次测血气分析,氧合指数<200,结合之前的胸部CT,考虑继发ARDS,感染控制欠佳,故加用万古霉素1.0g,每12小时1次,覆盖阳性菌,停甲泼尼龙,仍有发热,高达39.6℃。7月12日查体发现左后背一处焦痂,大小0.5cm×0.5cm,考虑恙虫病,予米诺环素100mg,每天2次口服治疗,同时停用亚胺培南-西司他汀钠及万古霉素,24小时后体温逐渐下降,48小时后体温正常。
最终诊断:恙虫病,感染性休克,多脏器功能不全(心、肾、肝、肺、血液)。
转归:经米诺环素100mg,每日2次口服治疗24小时后体温渐下降,48小时体温恢复正常,治疗后第3天复查心肌酶学、BNP、肝肾功能、血小板、血气分析均恢复正常。米诺环素100mg,每日2次口服治疗疗程共10天停药,观察两天体温及生化指标无异常予出院。
重要提示
1.中年女性,来自恙虫病疫区。
2.临床特征为急性起病,持续发热,有上腹部隐痛、腹泻、胸闷,并出现血压下降、多脏器损害,脾肿大。难以用肠道感染、胆道感染解释休克,并且广谱抗生素治疗效果不佳。感染相关检查均阴性。
3.患者有典型皮损,入院时左后背有皮肤破损,入院后第4天演变成典型焦痂溃疡。
4.米诺环素100mg,每天2次口服诊断性治疗有效。
【讨论】
患者入院诊断考虑感染性休克,予补液、扩容、多巴胺维持血压、亚胺培南-西司他汀钠联合万古霉素抗感染治疗,休克症状好转,肝肾功能、心肌损害指标有所好转,但仍有发热,高达39.6℃,当时考虑是否为其他少见病原体感染可能。不明原因发热、多系统受累除考虑局部感染引起的感染性休克外,尤其是经积极抗感染治疗无效的情况下,需考虑以下可能:伤寒、副伤寒、恙虫病、结核病、败血症、感染性心内膜炎、流行性出血热等,该患者肥达试验阴性,无结核中毒症状,胸部影像学不支持结核,血培养阴性,心前区未闻及杂音,心脏超声未提示瓣膜赘生物,无“三痛”、“三红”表现,不支持伤寒、结核、败血症、感染性心内膜炎及流行性出血热。经全面查体发现左后背一明显焦痂,大小0.5cm×0.5cm,考虑恙虫病,予米诺环素100mg,每日2次口服治疗,停用亚胺培南-西司他汀钠及万古霉素,24小时后体温逐渐下降,48小时后体温正常。
回顾该患者的临床特点:①有野外草地坐卧接触史,且来自恙虫病疫区;②有发热,伴特征性焦痂;③脾肿大;④米诺环素片100mg,每天2次治疗2天有效。因此诊断恙虫病明确。恙虫病临床上以叮咬部位焦痂或溃疡形成、发热、皮疹、淋巴结肿大、肝脾大以及周围血白细胞数减少为特征,由于易造成多器官损害,故临床表现复杂和多样化,症状不典型,易造成误诊、漏诊。造成误诊、漏诊主要是因为:①临床经验不足,对本病缺乏警惕性;②病史询问不详细,体格检查不细致,遗漏重要特征性体征,特别是会阴、腹股沟、肛周、后背焦痂易遗漏;③临床表现不典型,特别是发病初期未见特征性焦痂或溃疡者;④某一并发症严重,扰乱医师诊断思路,引入歧途。要减少漏诊、误诊率,针对上述原因,总结如下:在疫区短期内出现高热者,应警惕本病的可能,进行详细的病史询问。了解发病前2周有无野外作业史及草地、林地坐卧史;寻找焦痂或溃疡,特别注意会阴、腹股沟、肛周、腋窝、后背等隐蔽部位;在临床表现不典型、不能排除本病的情况下,可给予氯霉素或米诺环素诊断性治疗,一般2~3天体温明显下降可诊断;抓住主要矛盾,无论有何严重的其他器官损害,只要发热患者见到特征性焦痂或溃疡,即要考虑本病,应早期使用有效的抗立克次体药物。
【专家析评】
恙虫病是由恙虫病立克次体引起的急性自然疫源性传染病,对人体的损害是全身性的,病原体从恙螨叮咬处侵入人体,先在局部繁殖,继而直接或经淋巴系统进入血液循环,产生毒素,引起全身毒血症状和多个组织器官的炎性病变。其基本病理变化是广泛的小血管炎,导致器官的急性间质性炎症、血管炎与血管周围炎,使实质器官充血、水肿、细胞变性,甚至坏死,引起各脏器不同的损害,严重者可导致多个器官功能衰竭,而使临床表现复杂和多样化,症状不典型,常造成误诊。
恙虫病的诊断标准:①有野外作业或草地坐卧接触史;②发热,伴特征性溃疡和焦痂;③淋巴结肿大、皮疹、肝脾肿大;④变形杆菌0xK凝集试验阳性或恙虫病间接免疫荧光试验阳性。具有以上3项并且试验性治疗有效可诊断。恙虫病主要流行于亚洲太平洋地区,尤其以东南亚多见。在我国,本病流行于广东、福建、广西、江西、湖南、云南、四川、贵州、西藏、安徽、陕西、江苏、浙江、山东、台湾和海南等省和自治区,以东南沿海地区多发。
恙虫病对心脏的损害常表现为间质性心肌炎,心肌间质水肿,有轻重程度不等的弥漫性或局限性细胞浸润,炎症常侵及乳头肌、心脏传导系统和心外膜,重症可有心肌细胞脂肪变性、空泡化甚至坏死,从而表现为心肌酶的改变,心电图可出现心律失常、ST-T段缺血改变等。恙虫病心肌损害可以为局灶性,也可以为弥漫性,其临床结果则视病损的数目和范围的大小而定。轻的局灶性炎症可无症状,重者则因弥漫性心肌炎而导致致命性心律失常和充血性心力衰竭。治疗应以控制原发病为主,特效药是氯霉素、多西环素或大环内酯类,治疗7~10天,辅以对症支持治疗,维持各脏器功能,维持生命体征稳定。该患者实验室检查示血肌钙蛋白I增高,经治疗后逐渐下降;超声心动检查:左心室轻度增大,左心室壁偏厚,左心房增大,中度二尖瓣反流,EF 65.9%;心电图为窦性心律,曾出现一过性心房颤动,ST-T轻度改变;既往健康,否认高血压、糖尿病及冠心病病史,因此,考虑为恙虫病所致的心脏损害。此病例未行心肌活检,如有心肌活检病理资料则能更进一步明确心肌病变情况。
关于恙虫病的肺部改变报道较多。有59%~72%的恙虫病患者可有肺部表现,胸部CT表现可以有磨玻璃影、纵隔淋巴结肿大、小叶间隔增厚、胸腔积液、肺门淋巴结肿大,间质增厚、实变,小叶中心性结节。恙虫病可伴有急性呼吸窘迫综合征(ARDS),是一种少见但很严重的并发症。年龄大、血小板减少、早期肺炎(出现呼吸窘迫前2天,胸片上出现浸润征象)均是ARDS的诱发因素。该患者表现为呼吸促,胸部CT表现为双肺纹理增多、增粗,两下肺背侧见斑片样高密度影,边界模糊;两侧少量胸腔积液,氧合指数<200,考虑并发ARDS。
另外患者并发感染性休克和多器官功能障碍综合征(MODS)的发病机制可能和以下几点有关:①病原体侵入机体后,在血管内皮细胞繁殖,引起立克次体血管炎和血管通透性增加、血容量降低及组织水肿,并能激活激肽释放酶-激肽系统,加剧血管扩张,导致血压下降;②本病立克次体细胞壁含有的脂多糖是内毒素的主要成分,具有与革兰阴性杆菌内毒素相似的生物活性,可通过一系列病理生理过程造成MODS;③本病立克次体的另一种致病物质——磷脂酶A可引起宿主细胞中毒,溶解破裂。
因此积极治疗原发病是成功救治本病所致MODS的关键之一。恙虫病的特效药是氯霉素、多西环素或大环内酯类,在确诊后应该早期使用。氯霉素的血液系统副作用应考虑,该患者血小板下降,故选用米诺环素,经治疗后体温恢复正常,心肌酶学、BNP、肝肾功能恢复正常,血小板上升至256×109/L,血气分析指标逐渐恢复正常。
在临床急诊工作中,急诊科医师经常面临不明原因发热,伴休克、多脏器功能损害的患者。病情危重、凶险,如不及时正确治疗,常会导致严重的后果。急诊科医师不但要掌握引起发热的常见病、多发病的特征,还要掌握一些少见的、疑难的疾病特征,开拓思路,避免漏诊、误诊,从而提高抢救成功率。
参考文献
1.杨绍基,任红.传染病学.第7版.北京:人民卫生出版社,2008.
2.黄昭穗,刘开渊,刘敏,等.恙虫病合并多脏器损害56例临床分析.中华传染病杂志,1999,17(4):270.
3.翁心华,潘孝彰,王岱明,等.现代感染病学.上海:上海医科大学出版社,1998:722.
4.Jeong YJ,Kim S,Wook YD,et al. Scrub Typhus:Clinical,Pathologic,and Imaging Findings. Radiographics,2007,27(1):161-172.
(环球医学编辑:余霞霞)
来源:《急诊临床病案评析:感染与心血管性疾病》
作者:陈旭岩 王仲
页码:322-328
出版:人民卫生出版社
- 评价此内容
- 我要打分
近期推荐
热门关键词
最新会议
- 2013循证医学和实效研究方法学研讨会
- 欧洲心脏病学会年会
- 世界帕金森病和相关疾病2013年会议
- 英国介入放射学学会2013年第25届年会
- 美国血液学会2013年年会
- 美国癫痫学会2013年第67届年会
- 肥胖学会 2013年年会
- 2013年第9届欧洲抗体会议
- 国际精神病学协会 2013年会议
- 妇科肿瘤2013年第18届大会
- 国际创伤压力研究学会2013年第29届…
- 2013年第4届亚太地区骨质疏松症会议
- 皮肤病协会国际2013年会议
- 世界糖尿病2013年大会
- 2013年国际成瘾性药年会
- 彭晓霞---诊断试验的Meta分析
- 武姗姗---累积Meta分析和TSA分析
- 孙凤---Network Meta分析
- 杨智荣---Cochrane综述实战经验分享
- 杨祖耀---疾病频率资料的Meta分析
合作伙伴
Copyright g-medon.com All Rights Reserved 环球医学资讯 未经授权请勿转载!
网络实名:环球医学:京ICP备08004413号-2
关于我们|
我们的服务|版权及责任声明|联系我们
互联网药品信息服务资格证书(京)-经营性-2017-0027
互联网医疗保健信息服务复核同意书 京卫计网审[2015]第0344号




会员登录

