咳嗽伴右腰背部痛、意识障碍 如何辨别“心”的方向找出治疗之路?
67岁女性,间歇性咳嗽3天,随后出现右腰背部钝痛,持续性,深呼吸加重,不向他处放射,恶心、呕吐2次,呕出少量吐胃内容物。就诊于当地镇卫生院,查血糖26.3mmol/L,ALT 1834U/L,AST 1729U/L,予降糖、止痛及输液等,右腰背部疼痛无明显缓解。转诊当地市医院后,出现意识障碍,血压72/46mmHg,遂转诊笔者医院急诊抢救室。该患者患有……
【病情介绍】
患者,女性,67岁,已婚。因“咳嗽3天,呕吐伴右腰背部疼痛23小时,意识障碍11小时”于2011年5月25日19时30分就诊于急诊科。5月21日出现间歇性咳嗽,无痰,24日22时30分出现右腰背部钝痛,持续性,深呼吸加重,不向他处放射,恶心、呕吐2次,呕出少量吐胃内容物,无发热,尿少,色黄,无胸痛、心悸,无腹胀、腹泻。25日8时30分就诊当地镇卫生院,查血糖26.3mmol/L,ALT 1834U/L,AST 1729U/L,予降糖、止痛及输液等,右腰背部疼痛无明显缓解。10时转诊当地市医院,出现意识障碍,血压72/46mmHg,19时30分转诊笔者医院急诊抢救室。既往史:糖尿病10余年,口服格列齐特、降糖宁,高血压5年,规律口服尼群地平,未监测血压、血糖。
体格检查:T 36.7℃,P 120次/分,R 22次/分,BP 64/45mmHg,SaO2 89%。嗜睡,双侧瞳孔直径2mm,对光反射灵敏,双肺未闻及干湿啰音,四肢末端冰凉,双下肢无水肿。末梢血糖7.9mmol/L。
入院诊断:①细菌性肺炎,脓毒性休克,多器官功能障碍综合征;②2型糖尿病;③高血压。
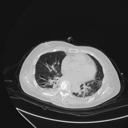
辅助检查:胸、腹部CT示双下肺炎(图1、图2)。心电图示窦性心动过速。血常规:WBC 29.05×109/L,N 88.0%;血气分析:pH 7.383,PO2 54.3mmHg,PCO2 24.9mmHg,SPO2 87.0%;心肌钙蛋白-I 14.3μg/L;生化:总蛋白39g/L,白蛋白19g/L,谷丙转氨酶665U/L,谷草转氨酶582U/L,总胆红素22.0μmol/L,B型脑钠肽1863pg/ml,尿素氮11.8mmol/L,葡萄糖10.9mmol/L,血浆乳酸4.3mmol/L,肌酸激酶512U/L,心肌肌酸激酶42U/L,C-反应蛋白197.0mg/L;糖化血红蛋白14.3%;多次痰培养及血培养均未培养出致病菌。

图1 入院时胸部CT示双肺炎症(肺窗)

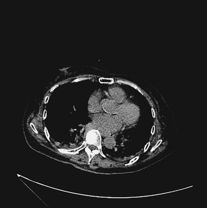
图2 入院时胸部CT示双肺炎症(纵隔窗)
诊治经过:入院后建立两路静脉套管针,同时深静脉置管,初测中心静脉压5mmHg,30分钟输注生理盐水1000ml,中心静脉压8~12mmHg,血压无明显上升,继续静脉滴注羟乙基淀粉注射液250ml扩容,同时给予去甲肾上腺素8mg和生理盐水50ml以12ml/h静脉泵入升压,血压升至90/52mmHg,维持平均动脉压>65mmHg,脉压>30mmHg,心率降至90次/分以下,逐渐撤减去甲肾上腺素的应用。治疗最初4小时内患者无尿,6小时后开始产生尿量,至8小时左右尿量渐增加> 30ml/h。
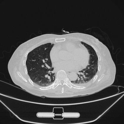
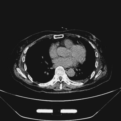
26日8时30分,复查B型脑钠肽2755pg/ml、心肌钙蛋白-I 8.92μg/L,给予静脉泵入新活素(冻干重组人脑利钠肽),同时限制液体输入,加强利尿,使出入量呈负平衡,在500ml左右,并控制血压,使收缩压<130mmHg,减轻心脏前后负荷,经采取上述治疗措施后,动态监测心肌钙蛋白-I、B型脑钠肽,指标逐日降低(图3、图4),症状明显改善。入院时应用美罗培南抗感染治疗,2天后出现发热,体温最高达38.2℃,WBC最高达39.52×109/L,N 95%,CRP最高达257mg/L,改用莫西沙星注射液400mg,每日1次,治疗第2天未再发热,WBC、CRP逐日下降至正常(图5),胸部CT示双肺炎症明显吸收(图6、图7),感染得到有效控制。

图3 治疗后肌钙蛋白变化图

图4 治疗后B型脑钠肽变化图

图5 治疗后C-反应蛋白变化图

图6 治疗后胸部CT示双肺炎症明显吸收(肺窗)

图7 治疗后胸部CT示双肺炎症明显吸收(纵隔窗)
最后诊断:①细菌性肺炎,脓毒性休克,多器官功能障碍综合征;②2型糖尿病;③高血压。
重要提示
1.患者老年女性,咳嗽3天,呕吐伴右腰背部疼痛23小时,意识障碍11小时。
2.既往有糖尿病、高血压病史,未规则服药,未监测血糖、血压。
3.患者发病起病急,病程短,入当地医院就诊前有咳嗽、右腰背痛病史,外院予以相应治疗,症状未见明显好转,查ALT、AST异常升高,出现意识障碍,持续低血压。
4.入院查体 T 36.7℃,P 120次/分,R 22次/分,BP 64/45mmHg,SPO2 89%。昏睡,双侧瞳孔直径2mm,对光反射灵敏,双肺呼吸音稍粗,未闻及明显干湿啰音。四肢末端冰凉,末梢葡萄糖7.9mmol/L。
5.5月26日胸部CT示双侧肺炎。血常规:WBC 29.05×109/L,N 88.0%;生化:葡萄糖4.4mmol/L,ALT 665U/L,AST 582U/L。
【讨论】
患者入院时出现血流动力学改变及意识障碍,病情危重,根据病史及血常规结果作出社区获得性肺炎,脓毒性休克的诊断,立即给予早期目标指导性液体复苏,同时深静脉置管监测并控制中心静脉压在8~12mmHg,根据血压变化给予去甲肾上腺素,使平均动脉压维持在65mmHg以上,保证各脏器最低灌注压,维持各项生命体征,在入院1小时内应用抗生素行抗感染治疗,治疗前抽血行血液细菌培养和药敏试验,抗生素尽可能覆盖革兰阴性、阳性菌,然而本例患者入院后进行多次痰培养及血培养均未培养出致病菌,入院后1小时内即给予静脉滴注美罗培南,随后第2~3天连续使用,患者血象仍呈进行性升高,立即给予静脉滴注莫西沙星,1天后血象及体温下降明显,故在临床上如果不能培养出致病菌时,需根据临床及血象情况及时调整抗生素,不能无故等待培养结果,耽误治疗,该例患者根据血象及临床情况及时调整抗生素,治疗效果明显,患者肺部感染得到有效控制,心功能及肝、肾功能逐渐恢复正常,复查血常规、生化及胸部CT均正常,痊愈出院。
当脓毒症发展至严重脓毒症或脓毒性休克时,不但肝、肾、脑功能受到损害,心功能同样也受到损害。目前脓毒症心肌损伤导致患者出现心功能不全已经引起重视,且对脓毒症心肌损伤的病理生理机制已经形成一定共识,普遍认为有多种机制参与致病,循环中的心肌抑制因子,包括肿瘤坏死因子(TNF-α)、白细胞介素(IL-1β、IL-6)和内皮素(ET-1)等,可以直接抑制心肌收缩;线粒体功能不全和心肌细胞凋亡也是脓毒症心肌损伤的重要机制;此外,心脏能量代谢异常、钙离子代谢异常等均参与了这一病理生理过程。
本例患者入院时血压低,肌钙蛋白(14.3μg/L)、B型脑钠肽(1863pg/ml)异常升高,极易诊断为心源性休克,一旦诊断成立,治疗措施与脓毒性休克大相径庭,治疗后果也不堪设想,但稍加注意该例患者血常规异常升高(WBC 29.05×109/L,N 88.0%),中心静脉压低于8mmHg、无尿及四肢末梢冰凉等情况,且肝功能异常升高,并根据既往有无心脏病病史及体征,可快速排除心源性休克,结合患者血象异常升高,有严重感染存在,诊断为脓毒性休克,同时应当机立断行早期目标性液体复苏,即给予液体复苏(20~40mg/kg),可以及早稳定循环功能,重建氧输送平衡,同时有利于减轻机体的炎症反应,如血压不能纠正,加用血管活性药物,维持平均动脉压≥65mmHg,中心静脉压≥8mmHg,保证各脏器最低灌注压,保护各脏器功能,后行胸部CT示双下肺炎,同时给予静脉滴注足量广谱抗生素行早期抗感染治疗。
在脓毒症,炎性细胞因子和细菌毒素等可以损伤心肌细胞,致使肌钙蛋白升高。由于脓毒症诱发心肌功能不全的内在细胞机制仍未完全明确,目前治疗仍然以支持治疗为主,更重要的是针对脓毒症的综合治疗,当前对脓毒症的治疗策略主要包括抗感染、血流动力学支持、调整机体反应性和重症监护支持。针对脓毒症诱发的心功能不全,血流动力学支持及动态监测中心静脉压至关重要。早期足够的液体复苏是治疗的关键,在Rivers等提出早期目标指导治疗概念以来,较多的临床试验证实了住院6小时之内完成早期目标指导治疗可以改善脓毒症患者的28天死亡率。
然而,在临床上出现严重脓毒症和脓毒性休克时,心排血量大多是不变或增加的,而心功能是不全的,且心功能不全难以早期发现和早期处理,危害极大。当脓毒性休克患者出现心功能不全时,肌钙蛋白、脑利钠肽异常升高,是否液体复苏及如何液体复苏对患者的治疗至关重要。故在排除心源性休克时应积极进行早期足够的液体复苏,同时监测并维持中心静脉压在8~12mmHg,防止过度复苏,保持出入量平衡,维持酸碱平衡,防止水、电解质紊乱。临床上诊断脓毒性休克,除需符合脓毒症的特点外,还需加以下标准:①收缩压<90mmHg或血压下降超过基础值40mmHg,经积极液体复苏后血压没有反应,或需血管活性药物维持;②伴有组织低灌注,如尿量<30ml/h,或有急性意识障碍等。当临床上患者存在严重感染伴有发热或体温不升、意识障碍、过度通气、皮肤潮红等表现时,脓毒性休克容易诊断,而年老体弱和免疫功能低下的患者往往缺乏典型的感染临床表现。另外,脓毒性休克患者存在心功能不全及容量不足时,同样表现为皮肤湿冷及脉搏细速,与心源性休克及低血容量性休克不易鉴别。且在治疗脓毒性休克时如过度液体复苏,仍可引起心源性休克,故如何在心脏承受力、心脏功能和液体复苏之间达到最佳平衡及使患者最大获益尤为重要,综合本例患者治疗情况,笔者认为在脓毒性早期目标液体复苏治疗中,如患者平均动脉压>65mmHg,尿量>30ml/h时补液需慎之又慎,可通过动态监测中心静脉压使患者达到最佳的容量状态,此时不仅仅只关注中心静脉压是否达到8~12mmHg,即在液体复苏过程中,如中心静脉压没有明显的再升高或升高不超过2mmHg时,说明心脏对容量反应性良好,则可继续补液治疗,同时动态监测肌钙蛋白、脑利钠肽,了解心功能改善情况以指导治疗。
综上所述,脓毒性休克患者出现心功能不全时如盲目根据自己对心脏功能的判断极易误诊为心源性休克,从而作出错误的治疗决策,而临床上某一项监测指标或数据往往不能反映真实的病情,需正确运用并解读各种监测指标和数值,并综合患者的症状、体征等情况,从而作出正确的分析和判断。
【专家析评】
1.肌钙蛋白升高是心肌损伤的标志,但并不能揭示损伤的原因。因为除急性心肌梗死外,有许多潜在的疾病也可引起肌钙蛋白的释放,如急性肺动脉栓塞、心力衰竭、心肌炎、终末期肾病、严重的缺血缺氧性疾病、严重感染等。
2.这是一个重症肺炎、脓毒症导致的多脏器衰竭的病例。当脓毒性休克患者出现心功能不全时,可导致肌钙蛋白和脑利钠肽异常升高,其造成肌钙蛋白升高的机制可能与多种机制参与致病有关;此外,心脏能量代谢异常、钙离子代谢异常等均参与了这一病理生理过程。当脓毒性休克患者出现心功能不全时,冠状动脉得不到有效的灌注,心肌细胞缺血、缺氧也是肌钙蛋白升高的重要原因。此时判断是脓毒性休克患者出现心功能不全还是心源性休克至关重要。
3.这个病例的启示:当脓毒性休克患者出现心功能不全时,肌钙蛋白、脑利钠肽可以异常升高,是否液体复苏及如何液体复苏对患者的治疗至关重要。故在排除心源性休克时应积极进行早期足够的液体复苏,同时监测并维持中心静脉压在8~12mmHg,防止过度复苏,保持出入量平衡,维持酸碱平衡,防止水、电解质紊乱。另外积极地寻找病原学,为有针对性地抗感染治疗提供依据。
参考文献
1.刘大为.实用重症医学.北京:人民卫生出版社,2010.
2.Rivers E,Nguyen B,Havstad S,et al. Early goal-directed therapy in the treatment of severe sepsis and septic shock. N Engl J med,2001,345:1368-1377.
(环球医学编辑:余霞霞)
来源:《急诊临床病案评析:感染与心血管性疾病》
作者:陈旭岩 王仲
页码:340-345
出版:人民卫生出版社
- 评价此内容
- 我要打分
近期推荐
热门关键词
最新会议
- 2013循证医学和实效研究方法学研讨会
- 欧洲心脏病学会年会
- 世界帕金森病和相关疾病2013年会议
- 英国介入放射学学会2013年第25届年会
- 美国血液学会2013年年会
- 美国癫痫学会2013年第67届年会
- 肥胖学会 2013年年会
- 2013年第9届欧洲抗体会议
- 国际精神病学协会 2013年会议
- 妇科肿瘤2013年第18届大会
- 国际创伤压力研究学会2013年第29届…
- 2013年第4届亚太地区骨质疏松症会议
- 皮肤病协会国际2013年会议
- 世界糖尿病2013年大会
- 2013年国际成瘾性药年会
- 彭晓霞---诊断试验的Meta分析
- 武姗姗---累积Meta分析和TSA分析
- 孙凤---Network Meta分析
- 杨智荣---Cochrane综述实战经验分享
- 杨祖耀---疾病频率资料的Meta分析
合作伙伴
Copyright g-medon.com All Rights Reserved 环球医学资讯 未经授权请勿转载!
网络实名:环球医学:京ICP备08004413号-2
关于我们|
我们的服务|版权及责任声明|联系我们
互联网药品信息服务资格证书(京)-经营性-2017-0027
互联网医疗保健信息服务复核同意书 京卫计网审[2015]第0344号




会员登录

