中年男子活动后胸闷、气短2年 因发热、头痛4周再次入院
64岁男性,2年前于重体力活动时出现胸闷,气短,当地医院检查超声心动图提示二尖瓣前叶脱垂,二尖瓣少至中量反流,行冠状动脉造影示前降支肌桥,收缩期压迫30%~40%。4周前患者受凉后出现发热,体温38℃,当地医院诊为上呼吸道感染,给予治疗后,体温稍下降。4天后患者体温再次升高至39℃,伴头痛,无恶心、呕吐,当地行血培养2次结果为金黄色葡萄球菌,先后给抗菌治疗,症状无好转。入院前5天当地超声心动图示二尖瓣前叶赘生物,遂转到笔者医院。
【病情介绍】
患者,男性,64岁。主因“活动后胸闷、气短2年,伴头痛4周”入院。患者于2年前于重体力活动时出现胸闷,气短,当地医院检查超声心动图提示二尖瓣前叶脱垂,二尖瓣少至中量反流,行冠状动脉造影示前降支肌桥,收缩期压迫30%~40%。当时一般体力活动不受限,未进一步诊治。4周前患者受凉后出现发热,体温38℃,当地医院诊为上呼吸道感染,给予头孢菌素治疗,体温稍下降,4天后患者体温再次升高至39℃,伴头痛,无恶心、呕吐,当地行血培养2次结果为金黄色葡萄球菌,先后给予头孢西丁,去甲万古霉素、替考拉宁等药物治疗,症状无好转,入院前5天当地超声心动图示二尖瓣前叶赘生物,于2009年1月5日转来笔者医院。
入院查体:T 37.7℃,P 100次/分,BP 122/65mmHg。急性病容,嗜睡,双肺呼吸音粗,未闻及干湿啰音,心界不大,心尖部可闻及3/6级收缩期杂音,腹部平软,肠鸣音正常,右侧巴氏征(+),心电图见图1。

图1 入院时心电图
辅助检查:血常规:WBC 18.66×109/L,N 89.7%,Hb 119g/L,PLT 149×109/L。CRP 148mg/L,肝肾功能正常。1月12日超声心动图:二尖瓣前叶脱垂伴小腱索断裂,二尖瓣少至中量反流,不除外细小赘生物形成。
入院诊断:感染性心内膜炎,二尖瓣赘生物,二尖瓣脱垂,二尖瓣关闭不全,心功能Ⅱ级,颅内感染。
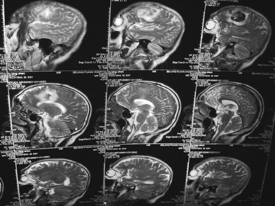
诊治经过:患者入院后仍发热,体温37.8~39.2℃,意识淡漠,嗜睡状态,1月5日行脑CT示右侧额叶脑白质内小片状低密度影。1月12日MRI示颅内多发病灶,不除外颅内额叶血肿合并颅内多发感染灶(图2、图3),行3次血培养均为金黄色葡萄球菌,给予利奈唑胺0.6g,ivgtt,每12小时1次及左氧氟沙星0.2g,ivgtt,每日2次静点治疗,并同时给予营养支持及对症治疗,约1周后患者体温逐渐降至正常,体温正常后继续给予利奈唑胺静点治疗4周,患者未再发热,二尖瓣为中量反流,心脏不大,可暂不予手术治疗,继续随访。

图2 2009年1月12日入院时,头颅MRI示颅内多发病灶

图3 2009年1月12日入院时,头颅MRI示颅内多发病灶
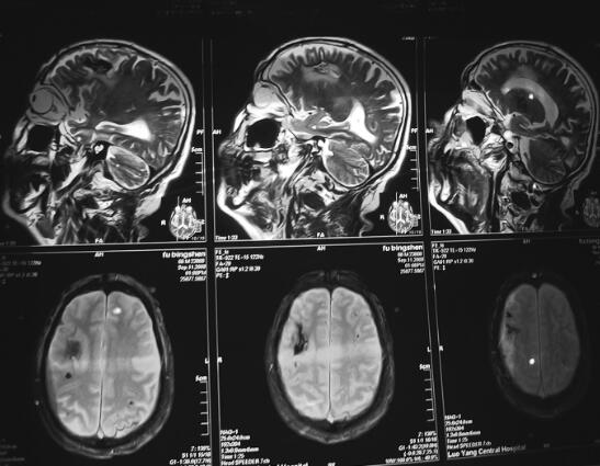
转归及预后:患者随访2年,目前一般状况良好,反应稍差,可从事日常活动。治疗8个月后复查MRI见图4。

图4 2009年9月治疗后复查脑磁共振图像
重要提示
1.患者为中年男性,既往有心脏瓣膜病病史,为IE高发人群。
2.二尖瓣赘生物易脱落形成体循环的菌栓,需提高警惕。
3.IE及脑脓肿的抗感染治疗需足够疗程,抗生素选择方面要顾及血脑屏障透过性。
【讨论】
本患者为老年男性,以发热、头痛为主要临床表现,既往有二尖瓣脱垂病史,同时超声心动图发现二尖瓣赘生物,血培养为金黄色葡萄球菌,脑磁共振检查示多发性脑脓肿,结合病史、体格检查及辅助检查结果,本患者诊断感染性心内膜炎并发多发脑脓肿成立。利奈唑胺为唑烷酮类第1个用于临床的抗菌药,作用于蛋白质翻译的起始阶段,与核糖体50S亚基结合,抑制mRNA与核糖体连接,阻止70S起始复合物的形成,从而抑制了细菌蛋白质的合成,对各类耐药革兰阳性球菌均具抗菌活性,同时利奈唑胺对脑脊液的渗透性和组织浓度的药动学特征良好,利奈唑胺在脑脊液的药物浓度高,穿透率达71%,从而使脑脊液中的药物浓度高于最低抑菌浓度(MIC),故而对于中枢神经系统球菌感染有较好的表现。本患者血培养明确为金黄色葡萄球菌,对多种抗生素敏感,但患者曾于院外使用去甲万古霉素、替考拉宁等药物症状控制欠佳,且伴多发脑脓肿形成,因此入院后即选用利奈唑胺治疗,后根据药敏结果加用左氧氟沙星联合抗感染治疗,症状逐渐好转,连续应用4周后停药,以后症状未再复发,说明其对感染灶的清除能力强,远期疗效满意。因此,本患者选用合适抗生素足量、足疗程的抗感染治疗是成功治愈的关键。
【专家评析】
本例患者为典型感染性心内膜炎并发脑脓肿病例,患者入院前当地医院检查可见二尖瓣赘生物形成,再次复查超声心动图赘生物不明显,随后脑部磁共振显示多发脑脓肿形成,考虑赘生物脱落致多发脑脓肿,此患者入院后病情危重,且血培养明确为金黄色葡萄球菌感染,在获得培养结果并且对治疗反应进行评估后,及时调整抗生素的治疗,选择有针对性的药物,是治疗成功的关键。如此患者无病原学培养结果,治疗上也应采取“降阶梯”治疗原则,尽快控制病情,防止病情迅速恶化,随后根据病原学检查结果及临床反应适时换用窄谱抗生素。“降阶梯”治疗可在获得培养结果之前早期使用足够的抗菌治疗,最有可能改善重症感染患者的预后。延迟使用足够的抗生素治疗将增加重症患者的死亡危险。因此对于重症患者,广谱抗生素的治疗应在临床诊断一旦建立后立即开始,同时进行相关病原学检测,细菌培养的目的主要是为了确认临床诊断和为其后改用窄谱抗生素提供依据,同时可防止细菌耐药性的产生,并降低治疗费用。
(环球医学编辑:余霞霞)
来源:《急诊临床病案评析:感染与心血管性疾病》
作者:陈旭岩 王仲
页码:400-404
出版:人民卫生出版社
- 评价此内容
- 我要打分
近期推荐
热门关键词
最新会议
- 2013循证医学和实效研究方法学研讨会
- 欧洲心脏病学会年会
- 世界帕金森病和相关疾病2013年会议
- 英国介入放射学学会2013年第25届年会
- 美国血液学会2013年年会
- 美国癫痫学会2013年第67届年会
- 肥胖学会 2013年年会
- 2013年第9届欧洲抗体会议
- 国际精神病学协会 2013年会议
- 妇科肿瘤2013年第18届大会
- 国际创伤压力研究学会2013年第29届…
- 2013年第4届亚太地区骨质疏松症会议
- 皮肤病协会国际2013年会议
- 世界糖尿病2013年大会
- 2013年国际成瘾性药年会
- 彭晓霞---诊断试验的Meta分析
- 武姗姗---累积Meta分析和TSA分析
- 孙凤---Network Meta分析
- 杨智荣---Cochrane综述实战经验分享
- 杨祖耀---疾病频率资料的Meta分析
合作伙伴
Copyright g-medon.com All Rights Reserved 环球医学资讯 未经授权请勿转载!
网络实名:环球医学:京ICP备08004413号-2
关于我们|
我们的服务|版权及责任声明|联系我们
互联网药品信息服务资格证书(京)-经营性-2017-0027
互联网医疗保健信息服务复核同意书 京卫计网审[2015]第0344号




会员登录

