老爷爷咳嗽咳痰伴反复发热 竟是这种细菌在捣乱
老爷爷反复发作胸闷、喘息10年,曾于笔者医院心内科住院诊断为慢性心功能不全,经治疗好转出院。入院前2天,受凉后出现喘息加重伴咳嗽、咳黄痰、发热,体温最高38.5℃,夜间不能平卧入睡,伴尿少,就诊于笔者医院急诊科,为进一步诊治收入急诊病房。该患者患有何病?如何治疗?
【病情介绍】
患者,男性,85岁。因“间断喘息10年,再发伴咳嗽、咳痰2天”于2011年6月18日入院。患者10年来反复发作胸闷、喘息,夜间高枕卧位入睡,曾于笔者医院心内科住院诊断为慢性心功能不全,经治疗好转出院。2天前患者受凉后出现喘息加重伴咳嗽、咳黄痰、发热,体温最高38.5℃,夜间不能平卧入睡,伴尿少,就诊于笔者医院急诊科,为进一步诊治收入急诊病房。既往史:冠心病病史20年,脑梗死病史4年,遗留右侧肢体活动不利、失语,卧床1年,压疮半年,否认高血压、糖尿病病史,否认药物过敏史。
体格检查:T 38.2℃,P 112次/分,R 24次/分,BP 132/89mmHg。神志欠清,消瘦,双肺呼吸音粗,可闻及湿啰音,双肺底为著,散在干鸣音,心率112次/分,律齐,未闻及明显病理性杂音,腹软,无压痛,肝脾肋下未触及,双下肢轻度水肿,骶尾部可触及3cm×4cm大小压疮。
辅助检查:血常规:WBC 10.7×109/L,Hb 109g/L,N 83.8%,PLT 88×109/L;血气分析:pH 7.46,二氧化碳分压24.7mmHg,氧分压95mmHg,BE −6.3mmol/L,碳酸氢根17.7mmol/L;生化全项:TP 48.9g/L,ALB 24.7g/L,PA 0.09g/L,Na+ 156mmol/L,Cl− 124.7mmol/L,CO2 21.4mmol/L,BUN 10.62mmol/L,Ca2+ 1.92mmol/L,血磷0.71mmol/L,CHO 2.44mmol/L,LDH 355U/L,HDL 0.52mmol/L,LDL 1.23mmol/L,CRP 141.21mg/L。BNP 9219ng/L。尿常规:尿潜血(++),尿白细胞(+++),镜检红细胞2~3个/HP,镜检白细胞满视野。胸片(6月18日):考虑肺水肿,不除外合并感染。
入院诊断:重症肺部感染;泌尿系感染;慢性心功能不全急性失代偿期,心功能Ⅳ级;冠状动脉粥样硬化性心脏病;陈旧性脑梗死;呼吸性碱中毒合并代谢性酸中毒;低蛋白血症;电解质紊乱,高钠血症、高氯血症、低钙血症。
诊疗经过:患者入院后经验性应用拉氧头孢2g,每日2次抗感染,间断后鼻道吸痰,予吸氧、雾化、祛痰、平喘、补液等常规治疗。患者体温进行性下降,6月22日痰培养回报铜绿假单胞菌,对头孢菌素、喹喏酮类、碳氢霉烯类抗生素敏感。因对头孢吡肟定量结果≤2,改用头孢吡肟2g,每日2次;尿培养示酵母样真菌,加用氟康唑0.4g,每日1次,碳酸氢钠膀胱冲洗每日2次。患者体温波动在37~38℃,6月27日患者突发高热,体温39.1℃,血压下降,予多巴胺5~10μg/(kg·min),当日痰培养回报铜绿假单胞菌及鲍曼/溶血不动杆菌。铜绿假单胞菌药敏同前,鲍曼不动杆菌仅对头孢哌酮-舒巴坦钠敏感,对左氧氟沙星及亚胺培南中介,余均耐药,尿培养阴性。胸CT示双肺感染,左侧胸腔积液。
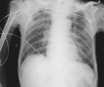
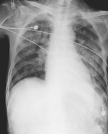
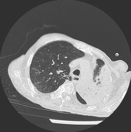
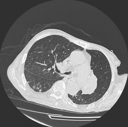
抗生素改用头孢哌酮-舒巴坦钠3g,每8小时1次,拔除深静脉导管。7月1日体温降至36.5℃,痰培养示鲍曼不动杆菌,药敏同前,管尖培养铜绿假单胞菌,血尿培养未见细菌生长,因患者体温不高,痰量减少,血压升至正常水平,继续应用头孢哌酮-舒巴坦钠,剂量3g,每12小时1次。7月3日、7日痰培养仍为鲍曼不动杆菌,未见铜绿假单胞菌,7月12日血、尿、痰培养未见细菌生长,降阶梯治疗,停用头孢哌酮-舒巴坦钠,改美洛西林钠-舒巴坦2.5g,每8小时1次,感染控制好,患者于7月20日带药出院。住院期间胸部X线片见图1~图6。部分化验结果对比见表1。
表1 部分化验结果对比
图1 2011年6月19日胸片

图2 2011年6月27日胸片

图3 2011年7月8日胸片

图4 2011年6月28日胸CT

图5 2011年7月12日胸CT

图6 2011年7月19日胸CT
重要提示
1.高龄患者,既往有脑梗死病史,长期卧床,咳痰不利,心功能不全,肺循环差,易出现重症肺部感染。
2.适时根据药敏及临床症状调整抗生素治疗是治愈感染性疾病的关键。
【讨论】
重症肺部感染抗生素的应用至关重要,需要结合细菌培养结果及药敏结果科学合理的应用抗生素。在培养结果回报前抗生素的选用应选择覆盖广、耐药率低的药物,同时还要结合科室检出率,尤其要覆盖科室常见病原菌。此病例抗生素应用过程如下:
患者开始抗生素的选择是根据CAP治疗指南选择第三代头孢菌素,幸运的是,患者很快便有了病原学证据及相关药敏,这对于正确选择抗生素提供了极大帮助。根据药敏调整抗生素后患者病情曾一度好转,但之后突发高热,再次根据痰的药敏调整抗生素,选用头孢哌酮-舒巴坦钠主要是基于铜绿假单胞菌及不动杆菌耐药率在2009~2010年CHINET检测中耐药率优势明显,临床效果也得到各方证实。由于感染比较严重,剂量选择3g,每8小时1次,重拳猛击能够有效控制感染的进展。之后在患者症状减轻后适时降阶梯治疗,降阶梯使用抗生素有望缩短患者的病程,提高治愈率。
【专家析评】
该病例是比较典型的脓毒血症、感染中毒性休克患者,特点为高龄男性,急性发病,冠心病病史20年,脑梗死病史4年,卧床多年,伴有压疮和营养不良。急性心力衰竭、卧床、营养不良、免疫力低下为此次肺部感染的主要诱发因素。入院当时为社区获得性肺炎,入院后给予抗生素及相关治疗后体温下降,症状好转,但在第5天后体温再次增高,培养为铜绿假单胞菌和鲍曼/溶血不动杆菌,表明可能又出现了新的院内获得性肺炎。在重症感染后出现的血压下降需要血管活性药物维持血压,表明出现了感染中毒性休克。这类患者的死亡率非常高,但从此例患者治疗结果上看是比较满意的,最关键的治疗是抗感染选用了合适的抗生素,及时控制了炎症。
这是一个治疗比较棘手的患者,心力衰竭是肺部感染最重要的诱因之一,感染又加剧了心肌的损伤,循环的衰竭导致多脏器功能不全,直至出现MOF。因此在治疗上对心力衰竭的控制也极其重要。这就要考虑在补液的同时注意心脏功能的情况,调整合适的前后负荷,给予正性肌力药物,保证组织灌注的需要。本病例未过多的描述心脏治疗的情况,但从BNP的变化来看,心功能很快恢复了,不仅得益于感染的控制,也得益于心力衰竭的控制。当然纠正电解质紊乱、营养支持、呼吸道加强管理、其他脏器的保护等也是不可缺少的治疗,应全面考虑问题才能达到良好的效果。
参考文献
1.汪复,朱德妹,胡付品,等.2009年中国CHINET细菌耐药监测.中国感染与化疗杂志,2010(5).
2.汪复,朱德妹,胡付品,等.2010年中国CHINET细菌耐药监测.中国感
(环球医学编辑:余霞霞)
来源:《急诊临床病案评析:感染与心血管性疾病》
作者:陈旭岩 王仲
页码:409-412
出版:人民卫生出版社
- 评价此内容
- 我要打分
近期推荐
热门关键词
最新会议
- 2013循证医学和实效研究方法学研讨会
- 欧洲心脏病学会年会
- 世界帕金森病和相关疾病2013年会议
- 英国介入放射学学会2013年第25届年会
- 美国血液学会2013年年会
- 美国癫痫学会2013年第67届年会
- 肥胖学会 2013年年会
- 2013年第9届欧洲抗体会议
- 国际精神病学协会 2013年会议
- 妇科肿瘤2013年第18届大会
- 国际创伤压力研究学会2013年第29届…
- 2013年第4届亚太地区骨质疏松症会议
- 皮肤病协会国际2013年会议
- 世界糖尿病2013年大会
- 2013年国际成瘾性药年会
- 彭晓霞---诊断试验的Meta分析
- 武姗姗---累积Meta分析和TSA分析
- 孙凤---Network Meta分析
- 杨智荣---Cochrane综述实战经验分享
- 杨祖耀---疾病频率资料的Meta分析
合作伙伴
Copyright g-medon.com All Rights Reserved 环球医学资讯 未经授权请勿转载!
网络实名:环球医学:京ICP备08004413号-2
关于我们|
我们的服务|版权及责任声明|联系我们
互联网药品信息服务资格证书(京)-经营性-2017-0027
互联网医疗保健信息服务复核同意书 京卫计网审[2015]第0344号




会员登录

