21岁男子感染性心内膜炎合并肺实变久治不愈 如何破解困局?
21岁男性,4个月前一次着凉后出现发热,体温39℃左右。伴咳嗽,干咳为主,少量白痰,发热时伴有头痛、肌肉酸痛,咳嗽时有轻度胸痛,当地诊所考虑“肺炎”。间断治疗1个月效果不佳,遂转至当地市医院呼吸科住院治疗。因病情逐渐加重转至上级医院,后因行心脏手术转至笔者医院。该患者患有何病?如何治疗?
【病情介绍】
患者,男性,21岁。主诉“发热4个月,喘憋1周”于2010年3月4日来诊。患者自述4个月前一次着凉后出现发热,体温39℃左右。伴咳嗽,干咳为主,少量白痰,发热时伴有头痛、肌肉酸痛,咳嗽时有轻度胸痛。无喷嚏、鼻塞、流涕、咽痛,无呕吐、腹泻,无心悸、腹痛等不适。当地诊所考虑“肺炎”,给予阿莫西林、氨曲南点滴和感冒冲剂、板蓝根口服治疗。间断治疗1个月效果不佳,仍每日发热,偶有畏寒、寒战,体温高峰38~41℃,仍有干咳伴极少量黄白痰,咳嗽时伴有双侧胸部疼痛。遂转至当地市医院呼吸科住院治疗。查血常规:WBC 8.8×109/L,N 73.6%,Hb 130g/L,PLT 117×109/L;肝功能:TBil 39.2μmol/L,DBil 20.0μmol/L,ALT 110U/L,Alb 30g/L;肾功能:Cr 88μmol/L,BUN 6.51mmol/L;心肌酶谱:CK 329U/L,CKMB 73μg/L,LDH 1092U/L;尿便常规正常;心电图提示窦性心动过速。查肺炎衣原体抗体1∶40,冷凝集试验1∶64;肺炎支原体抗体、军团菌抗体、结核分枝杆菌抗体均阴性;查胸部CT提示少许条索影(图1)。


图1 入院时胸部CT
考虑“衣原体肺炎可能,病毒性肺炎不除外,心肌炎可能,药物性肝损可能”。联合使用头孢哌酮-舒巴坦、阿奇霉素、左氧氟沙星抗炎治疗,同时加用利巴韦林抗病毒治疗,每日使用地塞米松5mg对症治疗,以及保肝、营养心肌等支持对症治疗。抗炎、抗病毒治疗2周病情无好转,并逐渐出现低氧,自然不吸氧状况下指氧93%左右,发热、咳嗽、胸痛情况无明显变化,不服退热药时仍每日发热,有时体温高峰可达40℃以上。
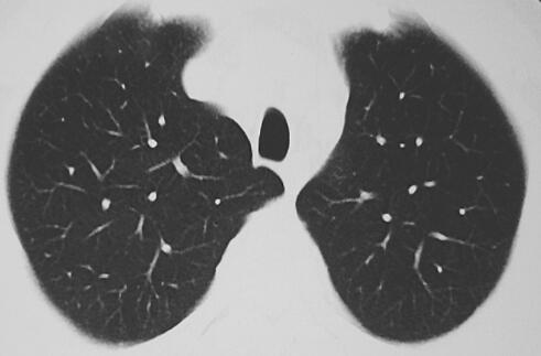
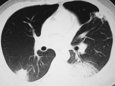
因病情逐渐加重转至上级医院,查HIV、乙肝都为阴性,查血培养阴性,查腹部B超提示肝稍大、回声增粗,查CTPA未见肺栓塞征象,查胸部HRCT可见双肺多个结节病变(图2)。


图2 胸部CT示双肺多个结节病变
行肺部结节穿刺活检可见纤维素样物和少许淋巴细胞、中性粒细胞浸润。查经胸超声心动图可见左心室腱索赘生物16mm×13mm。诊断“感染性心内膜炎、机化性肺炎”,给予美洛西林+依替米星输液治疗3周,患者病情仍逐渐加重,每日发热体温最高可达41℃。
因感染控制不佳,考虑为心脏瓣膜局部病灶未清除所致。为行心脏手术转至笔者医院。笔者医院复查心脏超声提示赘生物20mm×11mm,体温持续在40℃以上,心率可达160次/分。因患者一般状况迅速变差,转来笔者医院急诊,因病情危重入抢救室。个人史、既往史无特殊。
体格检查:BP 132/88mmHg,HR 145次/分,R 30次/分,T 39.5℃,SPO2 94%(储氧面罩15L/min)。患者神清,重病喘憋面容。全身皮肤未见皮疹和出血点,无颈静脉怒张,颈软无抵抗;双肺呼吸音粗,未闻及干湿性啰音,无呼吸音减低;心律齐,心音有力,未闻及心脏杂音;四肢活动好,无水肿;腹部软,无压痛、反跳痛、肌肉紧张,胆囊区、阑尾区无压痛,肝肾区无叩痛,肠鸣音正常。
辅助检查:血常规:WBC 9.1×109/L,N 75.6%,Hb 110g/L,PLT 157×109/L;肝功能:TBil 49.2μmol/L,DBil 28.0μmol/L,ALT 125U/L,Alb 28g/L;肾功能:Cr 128μmol/L,BUN 8.51mmol/L;心肌酶谱:CK 309U/L,CK-MB 30.1μg/L,cTnI 0.55μg/L;动脉血气分析:pH 7.33,PaO2 67mmHg,PaCO2 30mmHg,BE −8.8mmol/L。
入院诊断:亚急性感染性心内膜炎。
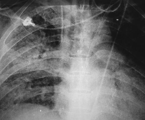
诊治经过:入室后给予吸氧监护,抽血培养,每小时1次,共抽3次血培养后开始经验性抗感染治疗。选用万古霉素+阿米卡星联合治疗,以及其他输液支持对症治疗。患者体温、症状、氧合以及一般情况仍无好转,第3天将阿米卡星换为亚胺培南-西司他汀钠。第4天因患者储氧面罩吸氧时氧合在90%左右,给予患者经口气管插管接呼吸机辅助通气,氧浓度50%+PEEP 10cmH2O的条件下可维持指氧93%左右。多次经气管插管吸痰送检细菌、真菌、结核涂片、培养均阴性,5次血培养结果均阴性,抽血查免疫全套、肿瘤标志物全套均阴性,复查床旁胸片提示双肺多发渗出(图3)。

图3 胸部X线片示双肺多发渗出
考虑患者病毒和PCP感染不能除外,加用阿昔洛韦、磺胺+甲泼尼龙治疗,同时加用免疫球蛋白静脉治疗。患者病情无改善,1周后呼吸机100%纯氧仍不能维持氧合,给予患者体外膜肺氧合(ECMO)支持治疗。做特殊感染项目的全面筛查时Q热立克次体抗体回报阳性,结合临床考虑Q热诊断可能性大,胃管入米诺环素+氯霉素治疗。患者病情迅速出现好转,抗Q热治疗3天后体温降至正常,4天后氧合改善明显,停用ECMO,10天后停用呼吸机并拔除气管插管,20天后病情好转返家并门诊随诊。
最终诊断:亚急性感染性心内膜炎,肺部感染,Q热立克次体感染。
重要提示
1.年轻男性,既往体健,亚急性起病。
2.主要表现为IE症状,且超声可明确诊断,但多次血培养(−),经验性抗感染治疗效果差。
3.ECOM在关键时刻的生命支持。
4.明确特殊病原体感染后,对症用药,迅速好转。明确病原体为治疗感染之根本。
【讨论】
该患者为不明原因发热(FUO),FUO的病因中最常见的仍然是感染性疾病,其中感染性心内膜炎是必须要考虑的一种病因。该患者经多个医院的UCG都证实为感染性心内膜炎。感染性心内膜炎的初始治疗原则是:急性者每小时1次共做3次血培养后开始经验性治疗;亚急性者若第2日仍未见细菌生长,则再做血培养3次后开始经验性治疗;已开始使用抗生素者停药3~5天后开始做血培养;经验性抗感染方案首选青霉素类+氨基糖苷类,次选头孢曲松,替代方案为万古霉素+(或不加)氨基糖苷类,疗程4~6周。
但是该患者经过规律抗感染治疗无效,且多次血培养结果为阴性,因此可以将该患者归纳为“血培养阴性的抗感染治疗无效的感染性心内膜炎”。根据现行的5年制、7年制、8年制人卫版统编内科学教材“感染性心内膜炎”一章均明确指出:血培养阴性的感染性心内膜炎最常见的病因是真菌、Q热立克次体和鹦鹉热衣原体感染。
因此,该患者虽属少见,但是教科书已早有提及。
【专家析评】
本例患者以急性发热起病,突出表现包括:①发热;②肺炎表现;③肝功能异常;④心内膜炎;⑤白细胞正常;⑥普通抗生素治疗无效。
Q热又称“昆士兰热”,是一种由立克次体所致的全身感染性疾病,主要累及的脏器包括肺、肝和心(包括心肌和瓣膜)。其传染源多为家畜或昆虫,在人群中也可以传播。
本例患者在临床表现上比较典型,但是由于患者没有家畜接触史,也非来自牧区,因此医师不易考虑到Q热的可能性。
在此可以总结出:如果患者同时出现发热、肝损害和心内膜炎,应当考虑患者是否存在Q热的可能性,并可以通过检查Q热特异性抗体帮助确诊。
(环球医学编辑:余霞霞)
来源:《急诊临床病案评析:感染与心血管性疾病》
作者:陈旭岩 王仲
页码:414-418
出版:人民卫生出版社
- 评价此内容
- 我要打分
近期推荐
热门关键词
最新会议
- 2013循证医学和实效研究方法学研讨会
- 欧洲心脏病学会年会
- 世界帕金森病和相关疾病2013年会议
- 英国介入放射学学会2013年第25届年会
- 美国血液学会2013年年会
- 美国癫痫学会2013年第67届年会
- 肥胖学会 2013年年会
- 2013年第9届欧洲抗体会议
- 国际精神病学协会 2013年会议
- 妇科肿瘤2013年第18届大会
- 国际创伤压力研究学会2013年第29届…
- 2013年第4届亚太地区骨质疏松症会议
- 皮肤病协会国际2013年会议
- 世界糖尿病2013年大会
- 2013年国际成瘾性药年会
- 彭晓霞---诊断试验的Meta分析
- 武姗姗---累积Meta分析和TSA分析
- 孙凤---Network Meta分析
- 杨智荣---Cochrane综述实战经验分享
- 杨祖耀---疾病频率资料的Meta分析
合作伙伴
Copyright g-medon.com All Rights Reserved 环球医学资讯 未经授权请勿转载!
网络实名:环球医学:京ICP备08004413号-2
关于我们|
我们的服务|版权及责任声明|联系我们
互联网药品信息服务资格证书(京)-经营性-2017-0027
互联网医疗保健信息服务复核同意书 京卫计网审[2015]第0344号




会员登录

