28岁男子发热、咳嗽、进行性呼吸困难 加重后出现黑便
28岁男性,最初因着凉开始发热,咳嗽,咳少量白痰,乏力,略消瘦。外院静脉滴注头孢类抗生素(具体不详)及口服阿奇霉素,未见好转,且发热持续不退(37.8~38.5℃),咳嗽加重,且出现进行性呼吸困难,乏力,食欲差,恶心,伴黑色柏油便。遂至笔者医院就诊。
患者男性,28岁,于2011年10月8日入院。
一、主诉
发热、咳嗽、进行性呼吸困难1个月,加重伴黑便1周。
二、病史询问
(一)初步诊断思路及问诊目的
患者28岁,男性,近期有发热、咳嗽、呼吸困难症状,首先把呼吸道感染性疾病作为第一要考虑的诊断,但如何考虑黑便—消化道症状的出现?因此,问诊应该注意感染相关原因、发病时主要症状及特点、伴随症状、用药经过及效果如何等问题,并且兼顾重要鉴别疾病的临床表现,以寻找符合两个系统同时受累的感染性疾病表现的证据。
(二)问诊主要内容及目的
1.发病前是否有遇冷、接触感染患者、感冒或醉酒史?
入秋时节,气温转低,可能出现病毒感染;下呼吸道感染或肺炎患者常有一定的诱发因素;醉酒后的误吸可导致吸入性肺炎。
2.咳嗽是否伴有咳痰?是否咳黄痰?
如伴随咳嗽逐渐出现黄痰及脓性痰则是感染的重要依据。
3.刚发病时是否测了体温?是否用了感冒药物?
明确发病时体温情况及药物应用后效果。
4.入院前是否应用了药物?什么药物?效果如何?
通过了解院外应用药物的情况及是否有效,判断感染致病菌的可能性,并进一步分析下一步药物的选择等问题。
5.既往有何种疾病,是否有呼吸系统、消化道系统症状?
某些慢性呼吸系统疾病可能通过感染急性起病,加重呼吸系统症状。本患者有呼吸困难症状,要注意既往是否患支气管哮喘;患者发热,抗生素治疗效果不佳,注意询问结核中毒症状;后期发热,又出现消化道出血,是并发症还是疾病累及两个系统。
6.询问呼吸困难是否有平卧加重或夜间平卧时憋醒的表现,既往是否患有心肌炎及先天性心脏病病史,以鉴别心源性呼吸困难。
7.何种职业?接触史及长期服药史?
很多呼吸系统疾病与职业及化学物质接触相关,如石棉肺、鸽子肺、过敏性肺泡炎等。
8.流行病学史
注意当时当地的流感流行情况,有无甲流、禽流感、SARS等呼吸系统传染病,注意菌痢、斑疹伤寒、霍乱、暴发型肝炎、寄生虫等消化道疾病。
(三)问诊结果及临床分析
患者为年轻男性,无固定工作,曾到过新疆打工,现为一家食品类超市的理货员,否认既往有慢性呼吸系统疾病及消化系统症状,否认心脏病史。无醉酒误吸史,无明确家畜、生禽类接触史。患者最初因着凉开始发热,咳嗽,咳少量白痰,乏力,略消瘦,无盗汗。诊疗过程:规律静脉滴注头孢类抗生素(具体不详)及口服阿奇霉素,未见好转,且发热持续不退(37.8~38.5℃),咳嗽加重,且出现进行性呼吸困难,乏力,食欲差,恶心,伴黑色柏油便。
【临床分析】
问诊的结果符合呼吸系统感染性疾病的特点,进一步需要仔细的肺部查体,注意肺部听诊是否存在啰音,并通过实验室检查,细菌学及影像学检查寻找感染的病原学证据。能否单纯用感染性疾病解释进行性呼吸困难?主要考虑是感染的伴随症状。
评价:问诊是为诊断寻找下一步辅助检查提供线索,并为鉴别诊断提供依据。从患者症状进展和治疗效果看,存在的疑点:如果考虑社区获得性肺炎,为什么规律应用头孢类药物及大环内酯类药物后症状不改善,并且呼吸困难进行性加重,是常见病原菌感染还是非典型病原菌或非感染性疾病?同时要鉴别特殊病原体感染如SARS、禽流感、新型甲流病毒、急性传染病(必须追问流行病学史),继发性肺结核,结缔组织疾病,血液系统疾病,恶性肿瘤等。
三、体格检查
(一)重点检查内容和目的
考虑患者呼吸系统感染的可能性最大,对患者进行全面检查,应重点注意准确测量体温和肺部体征,尤其是啰音。啰音是否分布在双肺底、有无帛裂音、有无干啰音及吸气相-呼气相等亦应格外注意。
(二)体格检查结果及临床分析
体温38.3℃,脉搏90次/分,呼吸23次/分,血压130/70mmHg。神志清楚,步入病房,呼吸急促,被迫坐位。双瞳孔等大等圆,口唇发绀,气管居中,颈部浅表淋巴结未触及,无三凹征。胸廓对称,双侧呼吸运动一致,双肺叩诊呈清音。双肺听诊多处可闻及哮鸣音及少许水泡音。心界不大,心音纯,律齐,未闻及奔马律和各瓣膜区杂音。腹软,剑突下无压痛,肝脾未触及,移动浊音阴性。四肢、神经等系统检查未见异常。
【临床分析】
体格检查结果与问诊后初步考虑呼吸系统感染的思路相吻合。体温38.2℃,双肺干鸣音表明气道内可能有分泌物或炎症所致狭窄。心脏检查未见异常,不支持心源性疾病;腹部查体腹软无压痛,无包块,暂不支持消化道溃疡及胃肠部肿瘤;无杵状指等长期缺氧的体征;无大小关节变形及结节性红斑等风湿免疫疾病改变。进一步实验室和影像学检查的主要目的是明确病变部位、病原学,判断病情及鉴别诊断,同时为制订治疗方案提供依据。
评价:体格检查“听诊双肺多处哮鸣音,少许水泡音”,符合肺部感染的体征。患者年龄轻,临床症状重,但肺部体征相对轻,外院抗感染治疗效果不佳,这又不完全符合一般肺炎的发生发展。是否我们在病史采集时漏掉了重要临床信息,导致诊断有误,影像学将会为我们提供哪些信息呢?
四、实验室和影像学检查
(一)初步检查内容及目的
1.血常规、C-反应蛋白、血沉:
进一步证实感染性疾病。
2.血清支原体、军团菌、病毒抗体检查:
明确病原。
3.痰菌涂片、痰菌培养:
明确病原。
4.动脉血气分析:
评价病情。
5.胸部影像学:
明确诊断并了解病变部位和范围。
(二)检查结果及临床分析
【检查结果】
1.血常规:
白细胞计数8.79×109/L,中性粒细胞百分比46.6%,淋巴细胞百分比44.6%,单核细胞百分比8.5%,红细胞计数5.14×1012/L,血红蛋白145g/L,血小板计数287×109/L。
2.C-反应蛋白:
54.26mg/L,血沉:58mm/h。
3.痰涂片(Giemsa染色):
疑似囊样结构。
4.痰菌培养:
三次均未见霉菌生长,正常菌群生长。
5.便常规:
便潜血(+)。
6.动脉血气分析(未吸氧状态):
pH 7.42,PaO2 49mmHg,PaCO2 32mmHg。
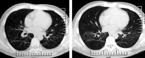
7.胸部影像学:
胸部CT示双肺点状高密度影,磨玻璃样改变(图1)。

图1
【临床分析】
重要的检查结果有两项:①静脉血淋巴细胞百分比增高,CRP、ESR增高;②胸部影像学示双肺多发浸润影;结合患者的病史和体格检查结果,进一步支持感染性疾病——社区获得性肺炎(community acquired pneumonia,CAP)的诊断,但目前病原学尚不明确。
五、治疗方案与理由
血常规中白细胞总数、中性粒细胞百分比正常,淋巴细胞百分比增高不除外合并病毒感染,给予莫西沙星抗感染治疗,喜炎平抗病毒,祛痰、抑制胃酸分泌及补液对症治疗。1天后化验结果回报,军团菌抗体:1∶400(+),病毒抗体系列阴性,考虑军团菌感染,继续莫西沙星抗感染治疗。
【方案】
莫西沙星0.4g,每日1次,静脉滴注。
【理由】
在对CAP实施抗感染治疗时常常尚未经微生物学检查明确病原体。因此,初诊治疗常是经验性的。CAP最主要的病原体包括肺炎链球菌、葡萄球菌属、肺炎支原体等。本患者为年轻人,既往无肺部疾病,因此肠杆菌科和葡萄糖非发酵菌(绿脓杆菌、鲍曼不动杆菌等)感染的可能性不大。院外应用静脉头孢,效果不佳,选择药物如能覆盖非典型病原体则胜算很高。莫西沙星属“呼吸喹诺酮”,对CAP的主要病原体均有效,包括非典型病原体如支原体,衣原体,军团菌等,患者军团菌抗体1∶400(+),不除外军团菌感染,该药在肺部的血药浓度很高,更有利于CAP的经验性治疗。
六、治疗效果及临床分析
(一)治疗效果
经莫西沙星治疗3天后体温稍降低,但仍可达38℃。双肺干鸣音较前增加,呼吸困难无缓解。此间实验检查结果:①血常规复查:白细胞计数7.16×109/L;中性粒细胞百分比67.9%;淋巴细胞百分比25.0%;②胸部X线检查(治疗一周后):双肺磨玻璃样影改变较前增多(图2);③无黑便,便常规:便隐血(+)。

图2
(二)临床分析
患者拟诊为CAP,经过治疗病情好转不明显,应该考虑两个问题:①是否为特殊病原体感染?②是否为非感染性疾病?根据患者的临床特点及胸部影像学为双肺广泛磨玻璃样影,应注意排除可能形成磨玻璃样影的疾病如病毒感染、过敏反应、风湿免疫性疾病肺累及、ANCA相关性血管炎等。患者黑便,应除外消化系统疾病:消化性溃疡、溃疡性结肠炎、肠结核、克罗恩病、消化系统肿瘤等,建议完善钡餐、胃镜及肠镜等相关检查,患者拒绝。因此,重新深入询问病史,并进行有针对性的检查非常重要。
评价:从患者病史查体出发,初步诊断CAP及军团菌感染是合理的,但经过规范化抗感染治疗无效并加重,CAP的诊断似乎并不全面,尚待斟酌。重新整理思路,查看每一个环节,如病史采集、查体、实验室检查结果的判读、治疗效果的评估等都可以影响诊断。完整的观察病情及诊疗思路是非常必要的。
七、再问病史和实验室检查结果
反复与患者交谈,询问病史,追问既往史,发现疑点有三:①患者自诉近期“体质差”,乏力,时有腹泻,未曾正规诊治;②患者医疗手册记录,3个月前因“肛周脓肿”于当地肛肠诊所局部处理治疗,具体不详,追问病史,近半年反复肛周疾病发作,当地诊所治疗,未在正规医院就诊;③问及病症及肛周具体治疗情况时,患者眼神闪躲,言词闪烁,不肯触及话题。
【分析】
患者自诉近期“体质差”,肛周反复感染,尚可以解释患者发热、黑便及便隐血阳性结果,可还提醒我们忽略了什么,为什么患者会这样。患者男性,青壮年,自诉正常从事体力劳动,未问及反复感染病史时,很容易忽视免疫系统缺陷类疾病。完善HIV检查及T细胞亚群检查,评价患者免疫指标。
【结果】
HIV抗体(+);T淋巴细胞亚群:CD4+38/μl,CD4+百分比4%,CD8+925/μl,CD8+百分比96%,CD4+明显下降。提示:患者HIV病毒感染。
通过HIV阳性结果回报,再次深入且有针对性地询问病史:患者承认自己同性恋(男-男倾向)。
补充上述临床资料后,诊断思路变得清晰起来。患者的主要临床特点、检查结果显示患者获得性免疫性缺陷综合征;肺孢子菌肺炎,患者黑便,考虑因免疫力低下获得性机会病毒感染肠道受累。
评价:询问至此,病情才算清晰,本来顺着“治疗无好转,胸部CT影像异常”这条线索应该捕捉到这一信息,本病例就不至于绕了一圈又回到原点。所以诊断思路不应该局限在对患者基本情况的固有思维,注意常见疾病,应与不常见疾病的鉴别相结合,注意问诊及技巧,思考、治疗反复推敲结合,注意思维死角。
八、调整治疗方案及疗效
【方案】
继续莫西沙星静脉滴注;复方新诺明0.96g(2片),每6小时1次,口服;甲泼尼龙40mg,每日1次,静脉滴注,5天后改为泼尼松20mg,每日2次,口服,至出院。
【理由】
复方新诺明是治疗肺孢子菌肺炎的主要用药,而甲泼尼龙主要是缓解患者的呼吸困难症状,抑制肺孢子菌肺炎的炎症反应和肺损伤。
【疗效】
治疗3天后,呼吸困难较前缓解,肺部哮鸣音减少;治疗8天后,呼吸困难明显好转,吸氧流量逐渐减少。后患者拒绝复查胸部CT及血气分析,无法取得客观指标。
【最终诊断】
获得性免疫性缺陷综合征、肺孢子菌肺炎、Ⅰ型呼吸衰竭
九、对本病例误诊误治的思考
艾滋病,即获得性免疫缺陷综合征(acquired immune deficiency syndrome,AIDS),是人类感染人类免疫缺陷病毒(human immunodeficiency virus,HIV)后导致免疫缺陷,从而并发一系列机会性感染及肿瘤,严重者可导致死亡的综合征。目前,艾滋病已经从一种致死性疾病变为一种可控的慢性病。HIV感染者和艾滋病患者是本病的唯一传染源,HIV主要存在于感染者和患者的血液、精液、阴道分泌物、乳汁中。常见的机会感染包括:呼吸道感染、中枢系统疾病、消化系统疾病、口腔、皮肤、眼部及常见肿瘤。疾病受累器官较多,疾病初期表现不同,故保持对本病的警惕性是十分重要的。
影响本病例迅速诊断的原因是:忽视了发热不常见病因—免疫系统疾病患者肺部感染。
本病例诊治过程给我们的思考:①问诊与辅助检查结合的重要性:年轻男性,病史1个月,呼吸困难,胸部查体可闻及干鸣音及水泡音,胸部CT示间质改变,常规抗感染治疗无明显好转,似乎与常见肺炎的表现不同;②伴随症状应与主要症状相联系:肺部感染症状与黑便未能用一元论解释;;③打破思维禁锢:问诊不应局限本次疾病及本系统疾病,考虑可能遗漏的病史,时刻保持鉴别诊断的警惕;④对痰涂片疑似囊状结构应引起注意,进一步检查确认,应有严谨的科学态度。
综上所述,本病例误诊误治关键点是:①思维禁锢于常见疾病;②对AIDS认识不足;③初期误诊导致初期误治。
小贴士
肺孢子菌肺炎(PCP)影像学特点
以两肺间质性和肺泡性病变为基础:(1)肺间质渗出、水肿,主要表现为磨玻璃样病变(GGO),即云雾状密度增高影,且在此背景下可见支气管血管束,间质病变加重或伴纤维组织增生时可表现为细网格状改变;(2)肺泡渗出,主要表现为斑片状阴影,病变加重时出现斑片融合或大片实变。
PCP的影像学表现可依病变发展而呈动态变化:病变部位可由肺门周围、下肺后段、内基底段向上肺叶蔓延;病变表现可由最初的肺纹理增粗、肺透光度减低、小灶性渗出及GGO向弥漫性实变过渡。
气囊性病变是诊断PCP的特征性病变,其趋于多发性或对称性,大小不定,壁薄,常伴大量GGO,可发生于肺的任何部位,但好发于肺上叶和胸膜下。
除上述常见表现外,PCP少见的影像学特点包括:大叶性实变、粟粒样病变、肺门和(或)纵隔淋巴结肿大、胸腔积液、肺不张、肿块、空洞性结节和多发性小结节,以及肺外脏器侵犯等。
沈阳医学院附属中心医院 夏书月 赵炎
(环球医学编辑:余霞霞)
来源:《防范与走出常见诊疗误区:呼吸疾病临床病例精粹》
作者:康健
页码:32-37
出版:人民卫生出版社
- 评价此内容
- 我要打分
近期推荐
热门关键词
最新会议
- 2013循证医学和实效研究方法学研讨会
- 欧洲心脏病学会年会
- 世界帕金森病和相关疾病2013年会议
- 英国介入放射学学会2013年第25届年会
- 美国血液学会2013年年会
- 美国癫痫学会2013年第67届年会
- 肥胖学会 2013年年会
- 2013年第9届欧洲抗体会议
- 国际精神病学协会 2013年会议
- 妇科肿瘤2013年第18届大会
- 国际创伤压力研究学会2013年第29届…
- 2013年第4届亚太地区骨质疏松症会议
- 皮肤病协会国际2013年会议
- 世界糖尿病2013年大会
- 2013年国际成瘾性药年会
- 彭晓霞---诊断试验的Meta分析
- 武姗姗---累积Meta分析和TSA分析
- 孙凤---Network Meta分析
- 杨智荣---Cochrane综述实战经验分享
- 杨祖耀---疾病频率资料的Meta分析
合作伙伴
Copyright g-medon.com All Rights Reserved 环球医学资讯 未经授权请勿转载!
网络实名:环球医学:京ICP备08004413号-2
关于我们|
我们的服务|版权及责任声明|联系我们
互联网药品信息服务资格证书(京)-经营性-2017-0027
互联网医疗保健信息服务复核同意书 京卫计网审[2015]第0344号




会员登录

