一青年发热、咽痛1周伴关节痛 怎么了?
36岁男性,主诉“发热、咽痛1周”。发病前曾受凉、劳累,起病急,高热,体温最高达39.3℃,伴有畏寒、寒战,咽痛持续存在,吞咽动作时加重,自觉周身乏力。先后于门诊应用头孢哌酮钠/舒巴坦2.0g,静脉滴注及莫西沙星0.4g,口服各1天,疗效不佳。该患者患有……
患者男性,36岁,于2013年2月12日入院。
一、主诉
发热、咽痛1周。
二、病史询问
(一)初步诊断思路及问诊目的
患者青壮年男性,新近出现发热、咽痛,按常见病优先考虑的原则应首先考虑上呼吸道感染。因此,问诊目的主要围绕上呼吸道感染性疾病的诱因(原因)、发病时主要症状及特点、伴随症状,是否曾应用抗生素治疗及效果如何等问题展开,并兼顾主要鉴别疾病的临床表现,以寻找符合上呼吸道感染性疾病表现的证据。
(二)问诊主要内容及目的
1.发病前是否受凉、感冒?
上、下呼吸道感染或肺炎患者常有一定的诱发因素。
2.发热的热度(低热、中度发热、高热还是极高热),规律(稽留热或者弛张热),性质(持续性还是间断性),持续的时间,加重或者缓解的因素?
不同的疾病表现出的热型不同,如稽留热:大叶性肺炎;弛张热:风湿热及严重肺结核;间歇热:急性肾盂肾炎、败血症;不规则热:流行性感冒、肺结核及支气管肺炎等。
3.发热时是否伴有咳嗽,若有咳嗽应询问咳嗽的性质、节律、时间、发作特征、诱发因素及体位影响?
如伴随咳嗽逐渐出现黄痰则是感染的重要依据。干咳或刺激性咳嗽见于慢性喉炎、急性气管-支气管炎、支气管哮喘等;咳嗽伴多痰见于肺脓肿、空洞性肺结核、慢性支气管炎等。阵发性咳嗽多见于气道异物、支气管哮喘及支气管肿瘤;连续性咳嗽一般见于支气管、肺部炎症。慢性支气管炎咳嗽往往冬季加重,过敏性哮喘咳嗽春秋或夏季明显。支气管哮喘发作出现阵发性咳嗽;过敏性哮喘咳嗽多于接触变应原等刺激和剧烈运动后诱发。支气管扩张、肺脓肿、大量胸腔积液改变体位时可引起咳嗽。胃食管反流、心功能不全引起的咳嗽卧位时加重。
4.发热时是否伴有咳痰,咳痰的量、色、气味及性质?
大量脓痰多见于支气管扩张、肺脓肿;细菌性肺炎痰液常呈黄色、黏稠;肺炎克雷伯杆菌肺炎痰液为砖红色呈果冻状;肺炎链球菌肺炎痰液可为铁锈色;绿脓杆菌肺炎痰液为绿色;厌氧菌感染痰液有恶臭;白色念珠菌感染的痰呈白色透明、黏稠。
5.刚发病时是否用了治疗感冒的药物?是否用了解热药物?
明确发病后体温的变化是否受到了药物的影响。
6.入院前是否应用了抗生素?什么药?效果如何?
通过了解院外抗感染治疗的情况来考虑感染性疾病的可能性,并进一步分析药物的选择是否合理等问题。
7.发病后是否出现过排尿改变、腰痛、胸闷心悸、关节痛等症状?
明确是否伴有急性肾小球肾炎、风湿性心脏瓣膜病、风湿性关节炎等并发症。
8.既往有何种疾病,是否有类似症状出现?
某些慢性呼吸系统疾病发病可能是隐袭性的,在过程中急性加重如肺结核。本患者有咽痛症状,要注意既往是否出现过,还要询问咽痛是否伴有吞咽困难、是否有咽部异物感、声音嘶哑、呼吸困难以鉴别咽部肿物等疾病。
9.何种职业?
诸多呼吸系统疾病与职业相关,既有急性或亚急性发病者(如外源性过敏性肺泡炎),亦可表现为隐袭起病(矽肺等)。
(三)问诊结果及临床分析
患者为青年,职业为职员,无特殊粉尘等接触史。既往曾反复出现过扁桃体感染,无咽炎、喉炎等疾病。本次发病前曾受凉、劳累,起病急,高热,体温最高达39.3℃,伴有畏寒、寒战,咽痛持续存在,吞咽动作时加重,否认异物感,否认声音嘶哑及呼吸困难,自觉周身乏力,无盗汗,无胸闷心悸、无关节红肿痛、无关节活动受限、无肾区叩痛及尿频尿急尿痛。先后于门诊应用头孢哌酮钠/舒巴坦2.0g,静脉滴注及莫西沙星0.4g,口服各1天,疗效不佳。
【临床分析】
通过问诊可明确,患者曾反复出现扁桃体感染,本次起病急,高热、咽痛符合感染性疾病的特点,应在体格检查时重点注意扁桃体有无充血、肿大,表面有无脓苔,并通过实验室检查和影像学检查寻找感染的证据。
评价:对诊断思路具有重要导向作用的信息在初次病史采集时均能获取到,病史询问无漏洞,给疾病的诊断提供了明确的依据。
三、体格检查
(一)重点检查内容和目的
考虑患者上呼吸道感染的可能性最大,因此在对患者进行系统地、全面地检查同时,应重点注意准确测量体温、扁桃体和肺部的查体。同时,为明确有无并发症应注意心脏大小、是否有杂音,有无腰痛,有无肾区叩击痛,关节有无红肿痛及活动受限。
(二)体格检查结果及临床分析
体温39.3℃,呼吸20次/分,脉搏90次/分,血压120/80mmHg。神清语明,急性热病容,呼吸平稳,自主体位,营养中等。巩膜无黄染,睑结膜无苍白,口唇无发绀,气管居中,无三凹征。咽部红肿,双侧扁桃体Ⅱ°肿大,表面见脓苔;胸廓对称,双侧呼吸运动一致,双肺叩诊呈清音,双肺呼吸音粗,未闻及明显干、湿啰音;心界不大,心率90次/分,律齐,各瓣膜区未闻及病理性杂音;全腹软,无压痛、反跳痛及肌紧张;肾区无叩痛,双下肢无水肿,关节无红肿、活动不受限,未见皮疹及红斑、无压痛,生理反射存在,病理反射未引出。
【临床分析】
体格检查结果与问诊后初步考虑上呼吸系统感染—化脓性扁桃体炎的思路相吻合。患者发病一周,应考虑急性化脓性扁桃体炎的早期并发症,但患者目前无中耳炎,鼻窦炎,咽周围脓肿或会厌炎等的症状,进一步实验室和影像学检查的主要目的是明确诊断,了解是否伴有并发症,并判断病情,为进一步治疗提供依据。
评价:患者的病史及体征均支持初步诊断——化脓性扁桃体炎,无漏洞。
四、实验室和影像学检查
(一)初步检查内容及目的
1.血常规、C-反应蛋白、血沉:
进一步证实是否是感染性疾病。
2.血清支原体、衣原体、军团菌、病毒抗体检查:
明确病原。
3.咽拭子培养:
明确病原。
4.血培养:
明确病原。
5.肝功能、肾功能、心肌酶、心电图:
明确有无并发症。
6.胸部影像学:
明确有无并发症。
(二)检查结果及临床分析
【检查结果】
1.血常规:白细胞计数19.73×109/L,中性粒细胞百分比86.2%,红细胞计数5.18×1012/L,血红蛋白147g/L,血小板计数279×109/L。
2.超敏C-反应蛋白>5mg/L,C-反应蛋白171.6mg/L;血沉46mm/h。
3.肝功能、肾功能、心肌酶、心电图:正常范围。
4.咽拭子培养、血培养:待3天后出结果。
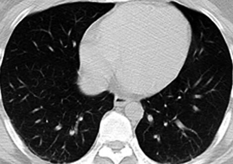
5.胸部CT:两下肺背段少许模糊斑片影(图1)。

图1
【临床分析】
重要的检查结果有三项:①末梢血白细胞计数、中性粒细胞百分比均增高;②C-反应蛋白增高;③血沉增高。结合患者的病史和体格检查结果,进一步支持上呼吸道感染—化脓性扁桃体炎的诊断。进一步的处理应是立即选择合适的抗感染药物进行治疗,其目的有四:①缓解急症病情;②防止风湿热;③预防化脓性扁桃体炎并发症;④限制致病性球菌播散。
五、治疗方案及理由
【方案】
阿奇霉素0.5g,每日1次,静脉滴注。
【理由】
化脓性扁桃体炎的主要病原体为A组β溶血性链球菌(GABHS)和C组β溶血性链球菌、葡萄球菌、肺炎链球菌等,因为患者青霉素批号过敏,且发病以来曾用过头孢哌酮钠/舒巴坦钠及莫西沙星等药物,均未显效,故选用针对球菌有效的阿奇霉素。
六、治疗效果及临床分析
(一)治疗效果
应用阿奇霉素治疗5天,于第2天始患者热退、体温持续正常4天,无咽痛,此间实验室检查结果:①白细胞计数13.38×109/L,中性粒细胞百分比64%;②血清各种抗体(支原体、结核、军团菌、病毒)均为阴性;③咽拭子及血培养:未见细菌生长;④心脏彩超(2013年2月14日):射血分数60%,二尖瓣轻度反流,左房略大,静息状态下左室整体收缩功能正常;⑤尿常规正常。患者体温正常4天,血象稍高,要求出院停止治疗;出院3天后(2013年2月20日)患者再次出现发热,体温37.8℃,无寒战,无咽痛,无吞咽困难,无心悸,无咳嗽咳痰,同时伴有双侧腰痛,无肾区叩痛,腰椎无压痛,尿量可,左膝关节红肿、压痛;月22日患者双侧膝关节仍有压痛,双侧胫前出现多个结节红斑。
(二)临床分析
患者拟诊为化脓性扁桃体炎,经过针对性的治疗后体温降至正常,但随着病情进展再次出现发热并伴有腰痛及关节红肿压痛、胫前红斑等症状,应考虑患者出现了肾脏及关节改变的并发症,因此重新进行深入的体格检查及再次实验室检查非常重要。
评价:该患者化脓性扁桃体炎的诊断思路及治疗过程均是合理的,但对治疗效果进行评估时只考虑到了症状的改善而忽视了实验室检查结果,停用抗生素的判读是错误的,3天后患者病情反复,再次发热并腰痛、关节痛。
七、再次查体和实验室检查结果
通过再次深入而全面的查体:患者肾区无叩痛,左膝关节充血红肿,双侧胫前可见多个大小不等的结节红斑,局部有压痛。实验室检查结果:①血常规:白细胞计数15.88×109/L,中性粒细胞百分比82.6%;②风湿三项:抗链球菌溶血素“O”440.06U/ml,类风湿因子正常,C-反应蛋白81.8mg/L;③丙氨酸氨基转移酶105.3U/L;④肾功能、心肌酶、尿常规、抗核抗体谱、心电图正常;⑤膝关节、腰椎X线检查:左膝关节轻度退变。左侧髌骨上方点状高密度影,钙化?腰椎正侧位未见异常。⑥泌尿系彩超:前列腺钙化。
【临床分析】
①患者抗链球菌溶血素“O”升高,支持患者链球菌感染的诊断;②患者膝关节X线检查提示左侧髌骨上方点状高密度影,而风湿性关节炎一般不会出现此种表现,追问病史该患者左膝关节曾受外伤,考虑高密度影与外伤有关,为陈旧性。
评价:本病例在治疗中应监测实验室检查结果,尤其是抗链球菌溶血素“O”及红细胞沉降率,作为停药指标,可能会减少并发症的出现。
八、调整治疗方案及疗效
结合以上实验室检查结果,证实患者存在链球菌感染,故再次应用青霉素原液做试敏,结果为阴性。因此给予新的治疗方案。
(一)新方案
青霉素注射液400万单位,每6小时1次,静脉滴注;甲泼尼龙片4mg,每日3次,口服;复方二氯醋酸二异丙胺片40mg,每日2次,口服。
(二)临床疗效
治疗3天后,体温降至正常,血常规、抗链球菌溶血素“O”较前明显下降,抗链球菌溶血素“O”为324.39U/ml;治疗6天后,患者转氨酶降至正常,停用复方二氯醋酸二异丙胺片;治疗8天后,双侧胫前结节红斑消退;治疗2周后,患者血常规、血沉、C-反应蛋白及抗链球菌溶血素“O”降至正常。
【最终诊断】
急性化脓性扁桃体炎、咽部链球菌感染、风湿性关节炎伴结节红斑
诊断依据:患者发热,左膝关节肿痛;查体:扁桃体肿大,表面可见脓苔,左膝关节充血红肿,双侧胫前可见多个大小不等的结节红斑,局部有压痛;实验室检查:抗链球菌溶血素“O”升高。
九、对本病例误诊误治的思考
急性化脓性扁桃体炎多见于儿童与青年,在冬、春季节多发。临床表现有发热、咽痛、头痛等症状。检查可见咽部及扁桃体充血、水肿以及脓性分泌物,可呈点片状或膜状物。恢复期部分患者可有风湿病或肾炎,并可反复发作或形成病灶。血白细胞总数显著增加,中性粒细胞分类明显增高,血沉加快,抗链球菌溶血素“O”增高,易反复发作。
化脓性扁桃体炎的病原学多为病毒。如鼻病毒、冠状病毒、腺病毒、单纯疱疹病毒、副流感病毒和流感病毒等,另外细菌感染中以A组β-溶血性链球菌(GABHS)和C组β-溶血性链球菌为常见,其他细菌,如非溶血性链球菌、葡萄球菌、肺炎链球菌、流感嗜血杆菌、肺炎支原体、肺炎衣原体等也可致病。
咽部急性链球菌感染的并发症根据其病程进展分为早期并发症和晚期并发症。早期并发症包括:扁桃体周围炎及周围脓肿、急性中耳炎、急性淋巴结炎、咽旁脓肿等。晚期并发症包括:①急性风湿热,多在病程2周左右出现,部分病人可出现风湿性关节炎。大小关节均可累及,为游走性,可有红肿,关节腔可有浆液性渗出液。另一部分人可发生风湿性心肌炎、心内膜炎及心包炎。急性期过后可留有永久性心瓣膜损害导致风湿性心脏病;②急性肾小球肾炎,多发生于病程3周左右,A组β-溶血性链球菌与肾炎的发生关系密切。疾病多持续1个月左右,大部分可完全恢复,少数可迁延成慢性肾炎;③急性关节炎,多数病人可在关节处出现红肿、结节性红斑、或活动受限等表现。
化脓性扁桃体炎的诊断:根据咽喉痛、发热、吞咽困难和颈淋巴结压痛,加上扁桃体充血和有渗出物即可确诊。GABHS培养阳性是唯一诊断依据。根据本病的典型病史、体征及辅助检查,该病诊断容易,但因其并发症较多且往往不是在发病初期表现出来,故保持对本病的警惕性是十分重要的。
(一)问诊的重要性
该患者因发热咽痛就诊,既往反复多次诊断化脓性扁桃体炎,应对其致病菌所引起的并发症引起足够的重视,应遵循其特点进行详细深入的、挖掘性的问诊。
(二)正确分析实验室检查结果是关键
本病例初诊时考虑为急性化脓性扁桃体炎,经过初期的治疗后体温下降但血象未降至正常应引起足够的重视。更应吸取的教训是在对疾病恢复时完善实验室检查,异常指标进行复查,再考虑停药,可防止出现急性化脓性扁桃体炎各种晚期并发症,而本病的并发症恰恰是本病最大危害,因此实验室检查结果往往是诊断疾病的关键。
如果在诊治伊始即对实验室检查结果做出正确的分析,就会对后续治疗做出正确的判断。因此,如欲做到不漏诊,不误诊,那么对于实验室检查结果监测并分析判断是关键。临床思维应该是一个动态的过程,应随着病程的演进而发生变化。临床医生要加强专业知识学习,不断拓宽诊断思维,善于分清主次,去伪存真,以减少误诊。
综上所述,本病例误诊误治关键点是:①实验室检查结果的分析不足;②对化脓性扁桃体炎并发症的认识不足;③初期错误判读导致初期重视不足。
小贴士
化脓性扁桃体炎的并发症
早期并发症:扁桃体周围炎及周围脓肿、急性中耳炎、急性淋巴结炎、咽旁脓肿;
晚期并发症:急性风湿热、急性肾小球肾炎、急性关节炎。
中国医科大学附属第四医院 王笑歌 凌媛
(环球医学编辑:余霞霞)
来源:《防范与走出常见诊疗误区:呼吸疾病临床病例精粹》
作者:康健
页码:82-86
出版:人民卫生出版社
- 评价此内容
- 我要打分
近期推荐
热门关键词
最新会议
- 2013循证医学和实效研究方法学研讨会
- 欧洲心脏病学会年会
- 世界帕金森病和相关疾病2013年会议
- 英国介入放射学学会2013年第25届年会
- 美国血液学会2013年年会
- 美国癫痫学会2013年第67届年会
- 肥胖学会 2013年年会
- 2013年第9届欧洲抗体会议
- 国际精神病学协会 2013年会议
- 妇科肿瘤2013年第18届大会
- 国际创伤压力研究学会2013年第29届…
- 2013年第4届亚太地区骨质疏松症会议
- 皮肤病协会国际2013年会议
- 世界糖尿病2013年大会
- 2013年国际成瘾性药年会
- 彭晓霞---诊断试验的Meta分析
- 武姗姗---累积Meta分析和TSA分析
- 孙凤---Network Meta分析
- 杨智荣---Cochrane综述实战经验分享
- 杨祖耀---疾病频率资料的Meta分析
合作伙伴
Copyright g-medon.com All Rights Reserved 环球医学资讯 未经授权请勿转载!
网络实名:环球医学:京ICP备08004413号-2
关于我们|
我们的服务|版权及责任声明|联系我们
互联网药品信息服务资格证书(京)-经营性-2017-0027
互联网医疗保健信息服务复核同意书 京卫计网审[2015]第0344号




会员登录

