年轻小伙发热12天 是肺炎还是另有隐情?
29岁男性,连续发热12天。曾自服“清开灵、布洛芬”,仍发热,后口服“罗红霉素”3天(具体药量不详),静脉滴注“左氧氟沙星”,发热仍不缓解,遂来笔者医院就诊。该患者怎么了?如何治疗?
患者男性,29岁,于2013年3月5日入院。
一、主诉
发热12天。
二、病史询问
(一)初步诊断思路及问诊目的
患者男性,年龄相对较轻,近半月出现发热,且有咽痛症状,按常见病优先考虑的原则应将感染性疾病放在首位。感染性疾病中又以呼吸道感染最常见,因此,问诊目的主要围绕感染性疾病的诱因(原因)、发热持续时间、热型、伴随症状、是否曾抗感染治疗及效果如何等问题展开,以寻找符合感染性疾病表现的证据。
(二)问诊主要内容及目的
1.发病前是否有诱因
下呼吸道感染或肺炎患者常有一定的诱发因素如着凉、误吸、劳累等。
2.是否有伴随症状
如细菌、毒素入血时可伴明显寒战;呼吸系统感染常有咳嗽、咳痰;泌尿系感染常有尿频、尿急、尿痛;消化系统疾病常有恶心呕吐;神经系统疾病常有头痛等症状。
3.热型
某些疾病有特殊热型,根据热型可以诊断,应仔细询问患者的体温变化。
4.入院前诊治情况,效果如何
通过了解院外抗感染治疗的情况来判断疾病性质,并进一步分析药物的选择是否合理,为下一步治疗以及合理用药提供依据。
5.既往有何种疾病
某些慢性呼吸系统疾病发病可能是隐袭性的,在发病过程中有急性加重,如肺结核。其他系统如自身免疫性疾病,慢性阑尾炎、肛周脓肿等急性发作期可表现为发热。
6.是否畏光、四肢关节的红、肿、痛;是否有口干、眼干、鼻干;是否有出血倾向;体重是否有变化。
明确有无非感染性发热,如风湿免疫性疾病、血液系统疾病、恶性肿瘤等。
7.何种职业,是否有流行病学接触史、冶游史、不洁注射史。
某些传染性疾病如布氏杆菌病、急性病毒性肝炎、人类免疫缺陷病毒感染等可表现发热。
(三)问诊结果及临床分析
患者为会计,既往身体健康。发病前1月曾前往泰国旅游,同行人员无类似表现。否认冶游史,否认不洁注射史,否认牛羊接触史,否认禽类接触史,否认生食水产品史,否认类似患者接触史。发病前4天其女儿发热、咳嗽,现痊愈。本次发病前1天午夜前往机场接机,自觉受凉,后出现畏寒,发热,体温最高39.0℃,多于午后出现,无寒战,无咳嗽、咳痰,咽痛,无流涕。曾自服“清开灵、布洛芬”3天,仍发热,后口服“罗红霉素”3天(具体药量不详),静脉滴注“左氧氟沙星”4天,0.6g,每日1次,仍发热,遂来诊。病来无胸闷气短,无尿路刺激症状,无腹痛、腹泻,体温升高时头痛、肌肉酸痛,热退后消失。无头晕,无恶心呕吐。
【临床分析】
通过问诊可明确患者既往无呼吸系统疾病,无流行病学接触史;本次发病有受凉这一诱因,后出现发热、畏寒、咽痛,这符合感染性疾病的特点。应在体格检查时重点注意咽部查体、肺部听诊是否存在啰音,并通过实验室检查和影像学检查寻找感染的证据。
评价:这是初次病史采集,由于患者发热时间较长,因此询问比较详细,看似无明显漏洞。患者受凉后发热,唯一伴随症状为咽痛,呼吸系统感染可能性最大,但患者发热时间似乎过长,应用药物效果不佳,是治疗措施不得当,还是有其他隐源性发热因素?这在我们心中留下疑问。
三、体格检查
(一)重点检查内容和目的
患者发热之前有受凉史,之后出现发热、咽痛,考虑上呼吸道感染的可能性最大。因此在对患者进行系统地、全面地检查的同时应重点注意准确测量体温,观察咽部和肺部体征,尤其是啰音。同时也应注意有无其他系统感染,注意神经系统、消化系统等查体。
(二)体格检查结果及临床分析
体温37.5℃,呼吸18次/分,脉搏76次/分,血压120/70mmHg。神志清楚,呼吸平稳,自主体位。周身皮肤未见皮疹、出血点及破溃,浅表淋巴结未触及。口唇无发绀,咽赤,左侧扁桃体Ⅰ度肿大,无脓苔,咽后壁可见淋巴滤泡,颈软,气管居中,胸廓对称,双侧呼吸运动一致,双肺叩诊呈清音,双肺听诊呼吸音粗,未闻及干湿啰音。心音纯,律齐,各瓣膜区未闻及病理性杂音。腹软,无压痛、反跳痛及肌紧张,肝脾肋下未触及,肝区无叩痛,双肾区无叩痛,双下肢无水肿,四肢关节无红肿。
【临床分析】
体温37.5℃,咽赤,左扁桃体略大,咽后壁可见淋巴滤泡,体格检查结果与问诊后初步考虑呼吸系统感染的思路相吻合。心脏、腹部、神经系统未见异常,不支持胆系、神经系统、泌尿系、胃肠道感染。进一步实验室和影像学检查的主要目的是明确病变部位、病原学,并判断病情,为治疗方案提供依据。
评价:病史中患者受凉后发热、咽痛,查体见咽红、扁桃体肿大、咽后壁淋巴滤泡,这都提示此次发病是急性的、感染性的,但这些信息都是非特异性的,对疾病诊断及病原体判断都没能提供有力的证据,体格检查未发现其他系统感染或可引起发热的其他疾病证据。
四、实验室和影像学检查
(一)初步检查内容及目的
1.血常规、C-反应蛋白、血沉:
进一步证实感染性疾病。
2.血清肺炎支原体、军团菌、病毒抗体检查:
明确病原。
3.痰菌涂片、痰菌培养:
明确病原。
4.肝功能、肾功能:
评价病情。
5.胸部影像学、心脏彩超、肝胆脾胰彩超:
明确诊断并了解病变部位和范围。
(二)检查结果及临床分析
【检查结果】
2013-03-06(入院第二天),相关结果回报:
1.血常规:白细胞计数5.76×109/L,中性粒细胞百分比44.6%,淋巴细胞百分比48.8%(20%~40%),血小板计数184×109/L,异型淋巴细胞:阴性。
2.超敏C-反应蛋白>5.0mg/L,常规C-反应蛋白15.4mg/L,血沉:正常范围。
3.尿常规、便常规正常。
4.痰结核菌涂片:阴性。肺炎支原体抗体IgM:1∶160阳性。肝炎八项:HBsAb阳性,余阴性。
5.肝功能:丙氨酸氨基转移酶152.9U/L,天门冬氨酸氨基转移酶96.8U/L,余正常。肾功能正常。
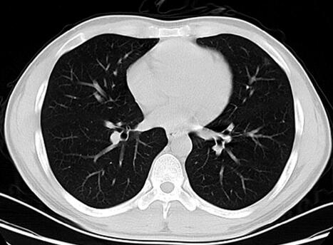
6.胸部CT:左肺上叶下舌段可见斑片状磨玻璃影(图1),肝胆脾胰彩超:脾大(脾肋间厚约4.5cm,肋间长15.4cm),胆囊壁毛糙。

图1
【临床分析】
重要的检查结果有五项:①末梢血淋巴细胞百分比增高;②胸部CT示左肺上叶磨玻璃影;③肝功能异常,以酶系升高为主;④脾大;⑤肺炎支原体抗体IgM 1∶160阳性。结合患者的病史和体格检查结果,进一步支持感染性疾病——社区获得性肺炎(CAP)的诊断,目前病原学考虑肺炎支原体感染。
但有些疑问需要进一步解决:①患者诊断社区获得性肺炎,致病菌为肺炎支原体,院外应用“罗红霉素、左氧氟沙星”,这些都是针对不典型致病菌的药物,但患者仍有发热,原因何在?病原体耐药?治疗不规范?合并其他疾病?混合感染?②淋巴细胞比例升高,单纯用支原体感染解释不通,是否存在混合感染?或药物性淋巴细胞升高?③患者肝功能异常、脾脏增大原因不清,是肺炎支原体感染的肺外表现?药物性?感染性?血液系统疾病?④患者胸部影像学改变与发热程度似乎不符,如此小斑片影能否引起持久发热?或院外抗感染治疗有效?
进一步的处理应是:①立即选择合适的抗感染药物进行治疗,其目的有二,首先是治疗感染,其次是通过治疗明确或修正诊断;②进一步检查明确肝功能异常、脾大原因;③明确淋巴细胞比例升高原因。
【目前诊断】
肺炎、急性肝损伤
五、治疗方案及理由
【方案】
莫西沙星0.4g,每日1次,静脉滴注抗感染;热毒宁20ml,每日1次,静脉滴注清热抗病毒;血必净40ml,每日1次,静脉滴注抗炎,清除炎症介质;复方二氯醋酸二异丙胺40mg,每日2次,口服保肝;异甘草酸镁注射液注射液保肝。
【理由】
CAP最主要的病原体包括肺炎链球菌、肺炎支原体、流感嗜血杆菌、肺炎衣原体。本患者入院实验室检查提示肺炎支原体抗体阳性,考虑明确存在肺炎支原体感染,但患者院外应用“罗红霉素、左氧氟沙星”体温未下降,不除外混合感染、耐药菌感染等,因此选择的抗生素需要即能覆盖肺炎链球菌和非典型病原体感染,又对耐药肺炎支原体敏感。莫西沙星属“呼吸喹诺酮”,对CAP的主要病原体均有效,包括非典型病原体。该药在肺部的血药浓度很高,且对耐药肺炎支原体感染有效。患者病初有着凉史,查体咽部可见淋巴滤泡,血常规淋巴细胞高,不除外病毒感染,选用热毒宁、血必净中药制剂。患者肝功能异常,予保肝对症治疗。
六、治疗效果及临床分析
(一)治疗效果
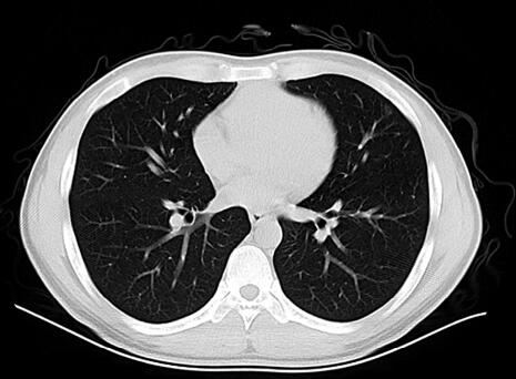
经莫西沙星5天治疗,胸部CT(复查):左肺上叶磨玻璃影较前吸收(图2)。体温稍降低,但仍可达38.0℃(图3)。

图2

图3
此期间实验检查结果:
2013年3月7日:血常规:白细胞计数7.4×109/L;中性粒细胞百分比30.5%,淋巴细胞百分比63.8%;异型淋巴细胞(-)。军团菌、结核抗体、呼吸道病毒抗体均为阴性。痰菌培养:未生长细菌。T淋巴细胞计数:CD3+CD4+14.8%,CD3+CD8+82.5%,CD4+/CD8+0.18。
2013年3月8日:血常规:白细胞计数9.27×109/L;中性粒细胞百分比27.6%,淋巴细胞百分比68.6%。
2013年3月9日:血常规:白细胞计数10.29×109/L;中性粒细胞百分比23.6%,淋巴细胞百分比70.3%;异型淋巴(-)。肝功能:丙氨酸氨基转移酶363U/L,天门冬氨酸氨基转移酶275.9U/L,余正常。复查肺炎支原体抗体IgM 1∶320阳性。
(二)临床分析
根据患者临床表现考虑:
1.着凉后发热,胸部CT异常,肺炎支原体抗体阳性,CAP诊断成立。
2.肝功能异常考虑可能为:①支原体感染肺外表现;②药物性肝损伤;③其他感染所致。
3.经抗感染治疗后胸部CT影像较前略吸收,但体温不降的可能原因:①患者入院前口服罗红霉素3天,静脉滴注左氧氟沙星4天,未见好转,不除外耐药菌、混合菌感染;进一步检查,同时停用莫西沙星,改为静脉滴注厄他培南、口服地红霉素抗感染;②特殊病原体感染,如结核、真菌、病毒等;③同时存在多种疾病;④非感染性疾病;⑤药物热。
4.淋巴细胞比例进行性增高(图4),其原因是什么?是否与目前发热有关?应进一步检查。

图4
评价:经过积极抗感染治疗,患者胸部影像学较前好转,但症状无好转,但发热原本认为CAP的诊断思路是合理的,但经过规范化抗感染治疗的“验证”,CAP的诊断似乎并不合理。原来的诊断思路错了吗?错在哪个环节?是病史采集不够仔细?查体不够细致?实验室检查不全面?结果的判读错误?很多问题用单一疾病解释不通,能否存在多种疾病?
七、进一步检查结果
病史采集及体格检查无新发现,进一步检查结果如下。
2013年3月11日:血常规:白细胞计数11.9×109/L,中性粒细胞百分比19.4%,淋巴细胞百分比77%,异型淋巴细胞百分比7%。患者发热时间长,淋巴细胞比例进行性升高,那么临床上常见的淋巴细胞异常升高、长期发热、肝功能受损的疾病有哪些呢?病毒感染性疾病、恶性肿瘤、血液病等,该患已排除病毒性肝炎、麻疹、腮腺炎等疾病,再次行病毒抗体检测。
2013年3月12日:肿瘤系列正常;淋巴结彩超:颈部、胰周、腹股沟可见小淋巴结,大者1.4cm×0.9cm;除外淋巴结炎、肿瘤。
2013年3月13日:
1.抗核抗体、抗中性粒细胞胞浆抗体、抗线粒体抗体阴性,抗O阴性,类风湿因子阴性;甲功正常;除外风湿免疫性疾病及亚急性甲状腺炎。
2.肥达、外斐试验阴性;1,3-β-D-葡聚糖正常,内毒素正常,血培养阴性,HIV阴性,布氏杆菌抗体阴性;除外特殊病原体如布氏杆菌病、伤寒、副伤寒、获得性免疫缺陷综合征,除外败血症、真菌感染。
3.复查支原体抗体IgM 1∶320阳性;滴度较前升高,考虑支原体感染明确。
4.骨髓穿刺示骨髓有核细胞增生活跃,无核红细胞/有核细胞为21∶1,G 51.2%,E 18.0%,G∶E 为2.84∶1,粒系增生活跃,除分叶核比值偏低外,余正常,红系以中晚幼为主,正常,淋巴细胞比值及形态大致正常,计数偶见网状细胞,见巨型核67只,血小板散在成簇易见,NAP 19分,NAP阳性率13%;除外已知的血液系统疾病。
5.复查肝炎八项,较前无变化;肝功能:丙氨酸氨基转移酶441.6U/L,天门冬氨酸氨基转移酶316.8U/L,余正常,除外急性肝炎。
6.血常规:白细胞计数12.27×109/L,中性粒细胞百分比13.9%,淋巴细胞百分比80.6%,异型淋巴细胞13%。
7.复查EB病毒抗体弱阳性。
综上,该例患者由此诊断明确:传染性单核细胞增多症合并支原体感染。
评价:患者最初以发热、咽痛来诊,支原体抗体阳性,胸部CT可见斑片影,因此早期以抗感染为主,经抗感染治疗后患者胸部影像学较前好转,但症状无好转,单纯一元论无法解释。该患者目前发热20天,因此属不明原因发热。不明原因发热分为感染性及非感染性,进一步检查,排除非感染性疾病如肿瘤、自身免疫性疾病、特殊药物、吸收热等,排除可引起长期发热的细菌性疾病如伤寒、副伤寒、布氏杆菌病、梅毒等,排除引起长期发热的病毒性疾病如AIDS、病毒性肝炎等。结合患者病初咽痛,淋巴结彩超提示周身淋巴结稍大,肝功能异常,血常规淋巴细胞比例升高,异型淋巴细胞>10%,EB病毒抗体阳性,至此诊断逐渐明朗,该患者为传染性单核细胞增多症合并支原体感染,淋巴细胞比率进行性升高是传染性单核细胞增多症本身特征。其肝功能异常、淋巴结肿大、脾大是两种疾病共同作用的结果。该例病例症状不典型,合并支原体感染,EB病毒抗体出现晚等多种原因导致临床误诊误治。
八、调整治疗方案及疗效
【方案】
红霉素0.6g,每日2次,静脉滴注;复方二氯醋酸二异丙胺80mg,每日1次;血必净40ml,每日2次,静脉滴注;异甘草酸镁注射液0.2g,每日1次,静脉滴注。
【理由】
该患者目前发病已20天,已过感染急性期,加之肝功能异常明显,因此未应用阿昔洛韦、更昔洛韦等抗病毒药物。针对支原体感染、肝功能损伤、免疫功能下降应用药物。
【疗效】
治疗第3天,体温下降,最高37.5℃。治疗5天后,临床症状消失,2013年3月17日血常规复查:白细胞计数8.46×109/L,中性粒细胞百分比16.3%,淋巴细胞百分比75.9%;肝功能:丙氨酸氨基转移酶449U/L,天门冬氨酸氨基转移酶264.3U/L;腹部彩超见脾大(脾肋间厚约4.3cm,肋间长13.6cm),较前改善。
治疗5天最高温度变化如图5所示。

图5
治疗结束时(3周)病情稳定,血常规:白细胞计数6.64×109/L,中性粒细胞百分比31.3%,淋巴细胞百分比61.3%;肝功能:丙氨酸氨基转移酶156.7U/L,天门冬氨酸氨基转移酶51.6U/L。
【最终诊断】
传染性单核细胞增多症合并支原体感染
九、对本病例误诊误治的思考
传染性单核细胞增多症(infectious mononucleosis,IM)主要是由EB病毒感染引起的一种单核-巨噬细胞系统急性增生性传染病。多见于儿童,近年成人发病率逐渐升高,其特征性表现是发热、咽峡炎、淋巴结及肝脾肿大以及外周血中出现大量的异型淋巴细胞。临床表现多种多样,缺乏特异性,且常常累及全身多个脏器如肝、脾、神经系统、皮肤、肾脏等。其症状与体征的多样性和不典型性给早期诊断及治疗带来困难,误诊率为35.4%~71.8%不等。在传染性单核细胞增多症患者中,外周血异型淋巴细胞多在发病后3天开始升高,2~3周达高峰,单纯一次异型淋巴细胞阴性或<10%,不能否定该病。另外嗜异凝集试验及EBV抗体检测虽然是诊断该病的重要指标,但国内研究显示其阳性率低,约30%~60%不等,故结果为阴性不能否定该病。
肺炎支原体感染大多表现为呼吸道症状,以发热、咳嗽、咳痰为主。其感染也可累及肺外系统,包括:神经系统(脑膜炎)、消化系统(恶心、呕吐、转氨酶升高)、血液系统(溶血性贫血)、皮疹等,表现复杂多样,肺炎支原体抗体滴度进行性升高有助于鉴别。
该患者两种疾病同时存在,是先有传染性单核细胞增多症后有支原体感染,还是先有支原体感染后有传染性单核细胞增多症,目前无从知晓,其异型淋巴细胞及EB病毒抗体出现晚,原因不清,可能原因为:①IM感染在后;②支原体感染影响其表达;③应用药物的影响;另外有报道,儿童支原体感染可引起IM,至今尚无成人类似报道。
导致该患者临床误诊原因总结如下:①对IM认识不足;②该病症状、体征的多样性及不典型性;③辅助检查受限,国内很多研究表明嗜异性凝集试验及EB病毒抗体IgM、IgG敏感性差,我院不能进行嗜异性凝集试验的检查;④IM合并支原体感染后使临床表现更错综复杂,影响对疾病判断;⑤异型淋巴细胞及EB病毒抗体出现晚。
如何避免:①加强对该病的认识,遇到发热、咽痛、肝功能异常、淋巴细胞比例升高时应警惕该病,注重外周血异型淋巴细胞的诊断意义;②人体是复杂的,获得疾病更是多种多样的,当遇到复杂、用一元论解释不清的情况时应考虑存在两种或两种以上疾病同时存在的可能。
综上所述,本病例误诊误治关键点是:①对IM认识不足,没有临床“兴奋灶”;②IM临床表现错综复杂,合并支原体感染时临床表现更是复杂多变,影响判断;③应用抗生素时间长,早期未检测出异型淋巴细胞,EBV抗体早期始终阴性。
小贴士
传染性单核细胞增多症诊断标准
1.发热;
2.咽峡炎;
3.浅表淋巴结肿大;
4.肝脾肿大;
5.皮疹;
6.外周血异型淋巴细胞大于10%;
7.血嗜异性凝集试验阳性;
8.EBV抗体阳性。
诊断标准:1~5项任何3项加6~8项任何1项即可诊断。
中国医科大学附属第四医院 王笑歌 赵广丹
(环球医学编辑:余霞霞)
来源:《防范与走出常见诊疗误区:呼吸疾病临床病例精粹》
作者:康健
页码:284-290
出版:人民卫生出版社
- 评价此内容
- 我要打分
近期推荐
热门关键词
最新会议
- 2013循证医学和实效研究方法学研讨会
- 欧洲心脏病学会年会
- 世界帕金森病和相关疾病2013年会议
- 英国介入放射学学会2013年第25届年会
- 美国血液学会2013年年会
- 美国癫痫学会2013年第67届年会
- 肥胖学会 2013年年会
- 2013年第9届欧洲抗体会议
- 国际精神病学协会 2013年会议
- 妇科肿瘤2013年第18届大会
- 国际创伤压力研究学会2013年第29届…
- 2013年第4届亚太地区骨质疏松症会议
- 皮肤病协会国际2013年会议
- 世界糖尿病2013年大会
- 2013年国际成瘾性药年会
- 彭晓霞---诊断试验的Meta分析
- 武姗姗---累积Meta分析和TSA分析
- 孙凤---Network Meta分析
- 杨智荣---Cochrane综述实战经验分享
- 杨祖耀---疾病频率资料的Meta分析
合作伙伴
Copyright g-medon.com All Rights Reserved 环球医学资讯 未经授权请勿转载!
网络实名:环球医学:京ICP备08004413号-2
关于我们|
我们的服务|版权及责任声明|联系我们
互联网药品信息服务资格证书(京)-经营性-2017-0027
互联网医疗保健信息服务复核同意书 京卫计网审[2015]第0344号




会员登录

