患者咳嗽1个月且嗜酸性粒细胞增多 20天前曾喝过未处理的山泉水
52岁男性,1个月前无明确诱因出现咳嗽,夜间明显,偶感气短。未服用任何药物,症状逐渐加重。近2周自觉发热,未测体温。夜间偶有发冷和寒战。发病2周时胸部X线示右下肺透过度略下降,口服“头孢”一周效果不佳。行血常规检查发现外周血白细胞计数增高,嗜酸性粒细胞增高,静脉使用头孢类抗生素(具体药物及剂量不详),治疗一周症状无改善。为明确诊断及治疗来笔者医院就诊。该患者怎么了?如何治疗?
患者男性,52岁,于2012年9月27日入院。
一、主诉
咳嗽1个月,发现外周血嗜酸性粒细胞增多一周。
二、病史询问
(一)初步诊断思路及问诊目的
患者为中年男性,病史不长,呈亚急性经过,呼吸道症状仅有咳嗽。按照常见病、多发病优先考虑的原则应注意除外呼吸系统感染性及非感染性疾病、慢性呼吸道疾病的急性加重,还要注意除外非呼吸道疾病引起的咳嗽,如慢性心功能不全、结缔组织病肺部受累等疾病。
另外患者在外院发现外周血嗜酸性粒细胞增多。嗜酸细胞增多是指外周血中嗜酸性粒细胞绝对值>0.5×109/L。临床上嗜酸性粒细胞增多可见于多种疾病,统称为嗜酸性粒细胞增多症,包括寄生虫感染、变态反应性疾病、感染性疾病、特发性高嗜酸性粒细胞综合征、肿瘤、嗜酸性粒细胞肺浸润、胃肠道疾病、免疫性疾病等,其中以寄生虫和变态反应性疾病最为常见。
因此,问诊目的应主要围绕是否存在共患因素如不洁饮食史和居住环境的变化、感染性疾病和变态反应性疾病的诱因、发病时的主要症状和特点、伴随症状、治疗情况和效果等问题展开,并注意询问重要鉴别诊断疾病的特点,为明确诊断提供依据。
(二)问诊的主要内容和目的
1.发病的特点
咳嗽为呼吸道疾病常见的症状。不同呼吸道疾病的咳嗽症状特点不同,如肺炎的咳嗽多为刺激性咳嗽,常伴有咳白痰或脓痰,发热也比较常见;支气管哮喘咳嗽多为干咳,季节变化时明显,典型者伴发作性喘息或胸闷,可自行或治疗后缓解,发作间歇期可以无症状;慢性支气管炎为慢性咳嗽、咳痰,冬重夏轻,持续2年以上;肺结核患者的咳嗽常伴午后低热,有时咯血;支气管扩张症为反复咳嗽、咳脓痰,咯血等;肺脓肿常有醉酒或误吸史,咳嗽伴发热,咳脓臭痰等特点。问诊应围绕主要症状的特点、持续时间、诱因和缓解的因素、是否有季节性及伴随症状等进行。
2.是否存在诱因
感染性疾病常有着凉、劳累、醉酒等诱因;变态反应性疾病常有接触过敏原等诱因。
3.发病后诊治情况
根据病史和发病后的辅助检查结果判断既往的诊断是否成立,确认需补充和复查的检查项目;问清发病后用药的剂量、疗程和治疗效果,对进一步诊治具有一定的指导意义。
4.既往有何种疾病,长期使用何种药物。
某些慢性呼吸道疾病起病隐袭,只有在疾病急性加重时才表现出症状如肺结核合并感染,特发性肺纤维化等;慢性左心功能不全也会导致咳嗽,高血压病患者使用ACEI类药物可导致咳嗽;糖尿病患者易合并肺结核;变态反应性疾病常有荨麻疹、过敏性鼻炎、药物过敏史等病史。
5.个人史
患者个人史的采集也非常重要。长期吸烟者可能患有慢性支气管炎,吸烟也是肺癌的易患因素;诸多呼吸系统疾病与职业相关,可以急性或亚急性发病如过敏性肺炎,也可以慢性起病,如矽肺和煤工尘肺。对于具有外周血嗜酸性粒细胞增高的患者,更应着重了解患者的生活环境、饮食情况是否具有与嗜酸细胞增高相关的因素,如有不洁饮食史、疫区旅行史和宠物饲养史可能出现寄生虫感染;新近装修的居室可能有装修污染诱发的支气管哮喘。
(三)初步问诊结果及临床分析
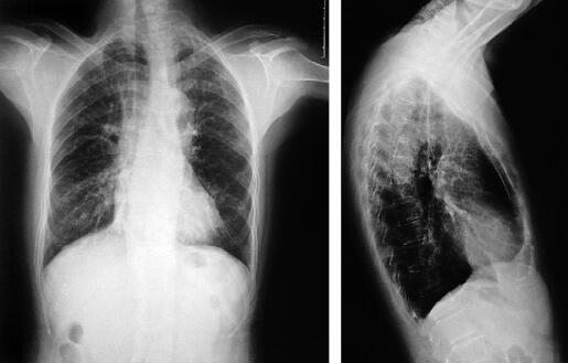
患者为电工,既往体健。吸烟40年,每天吸烟约10支。患者于1个月前无明确诱因出现咳嗽,夜间明显,无咳痰,偶感气短,但无喘息。未服用任何药物,症状逐渐加重。近2周自觉发热,未测体温。夜间偶有发冷和寒战,无盗汗。发病2周时胸部X线示右下肺透过度略下降(图1),口服“头孢”一周效果不佳。行血常规检查发现外周血白细胞计数增高,为15.7×109/L;嗜酸性粒细胞增高,计数达6.94×109/L,百分比为44.2%,静脉使用头孢类抗生素(具体药物及剂量不详),三天后复查外周血白细胞计数仍增高(17.6×109/L),嗜酸性粒细胞为8.98×109/L,百分比为51%。治疗一周症状无改善。为明确诊断及治疗来诊。

图1
患者病来无咯血,无胸痛,无尿急、尿频、尿痛;无双下肢水肿;近一周来食欲差,恶心明显,进食后上腹疼痛,无呕吐,无腹泻。睡眠不佳,精神和体力差,体重减轻5kg。患者否认生活条件的改变和不洁饮食史。无疫区旅行史和宠物饲养史。无变态反应性疾病病史。
患者儿子亦因咳嗽在医院检查发现外周血嗜酸性粒细胞计数及比例增高(比例55.3%),患者的妻子也有轻度咳嗽,查血常规亦发现嗜酸性粒细胞增高。一家三口均有外周血嗜酸性粒细胞增高,考虑可能有共同的致病因素。反复追问病史,患者均否认不洁饮食史,居住的情况无任何改变。与患者共同住居的老母亲没有相应的症状和外周血嗜酸性粒细胞增高表现,似乎病因与居住环境和日常饮食无关。经过详细问诊未找到共同致病因素。
【临床分析】
患者为中年男性,咳嗽2周时胸部X线示右下肺透过度略下降,因此当地医院按照“肺炎”予抗感染治疗,效果不佳时应考虑可能为病情未得到有效控制、未覆盖非典型致病菌、非感染性疾病的可能。检测血常规发现白细胞总数增高,似乎支持炎症的诊断,但伴血嗜酸性粒细胞增多,这一点不符合普通细菌感染的情况,不能除外支气管哮喘(尤其是咳嗽变异性哮喘)、嗜酸性粒细胞增多伴肺浸润、寄生虫感染、血管炎、其他过敏性疾病及某些血液病等的可能,应围绕可能引起外周血嗜酸性粒细胞增高的疾病进行详细询问和检查。尤其是患者的儿子和妻子同时发现外周血嗜酸性粒细胞增高,应注意是否为共同的致病因素引起(如环境中存在致敏物质和不洁食物等因素),尽管患者否认了该项因素,还应该继续追查。患者消化道症状与静脉使用头孢菌素同时出现,应继续观察,注意除外因药物引起的消化道不良反应。
三、体格检查
(一)重点检查内容和目的
考虑患者为支气管哮喘或嗜酸性粒细胞增多伴肺浸润的可能性较大,在对患者进行体格检查时应着重检查肺部体征是否存在哮鸣音。患者存在恶心的症状,应注重腹部体征的检查,注意是否存在肝脾肿大,腹部压痛、反跳痛和肌紧张等情况。
(二)体格检查结果和思维提示
体格检查结果:体温36.2℃,脉搏80次/分,呼吸20次/分,血压130/80mmHg。一般状态佳,自主体位,神清语明。口唇无发绀,巩膜无黄染。双锁骨上未触及淋巴结。胸廓形态正常,呼吸节律规整,双肺叩诊呈清音。肺肝界位于右锁骨中线第六肋间。双肺呼吸音清,未闻及干湿啰音。心率80次/分,律齐。各瓣膜听诊区未闻及病理性杂音。腹软,无压痛、反跳痛和肌紧张。肝肋下未触及。双下肢无水肿。神经系统检查未见异常。
评价:该患者体格检查未见异常,但仍不能除外前面我们怀疑的疾病,尤其是要围绕支气管哮喘和嗜酸性粒细胞增多的原因进行相应检查,结合血液生化、肺功能、胸部影像学等检查进一步明确诊断。
四、辅助检查
【检查结果】
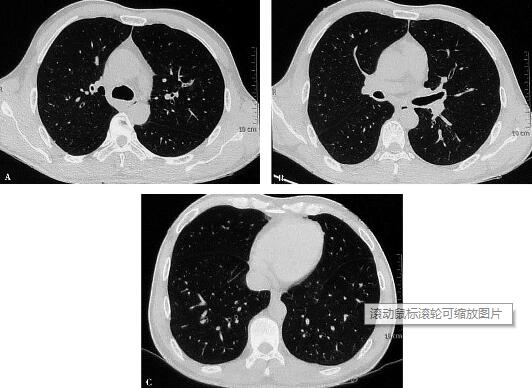
①血常规:白细胞计数17.48×109/L,嗜酸性粒细胞计数6.68×109/L,百分比38.2%。②动脉血气分析:pH 7.447,PaO2 84.8mmHg,PaCO2 46.6mmHg,HCO-3 30.2mmol/L。③肺功能:肺通气功能、小气道功能、弥散功能均正常,支气管激发试验阳性。④胸部CT:双肺散在纤维索条影(图2)。⑤血液生化检查:血清IgE及真菌抗原检测均正常,过敏原检测和粪便中寄生虫卵、潜血检查均阴性,风湿病抗体和抗中性粒细胞抗体均阴性。⑥PPD试验,结果为14mm×15mm。

图2
【临床分析】
①患者抗感染治疗前后血常规白细胞总数、嗜酸性细胞计数和比例均升高,提示既往抗感染治疗无效;②肺功能及血气分析未见异常,虽然支气管激发试验阳性,但因病史不典型且嗜酸性粒细胞增高原因不明确,只能说明存在气道高反应;③患者否认不洁饮食史,无疫区旅行史及无宠物饲养史,消化道症状轻微,近期恶心,无腹痛腹泻,粪便寄生虫卵、潜血检测阴性,尽管与儿子具有相同的病情,但目前无充分的寄生虫感染证据;④既往无变态反应性疾病病史(如荨麻疹、过敏性鼻炎、药物过敏史等),无风湿性疾病相关疾病的症状和体征,风湿病相关抗体阴性,血清IgE正常,因此无明确变态反应性疾病、血管炎的证据;⑤胸部CT示双肺纤维索条影,未见斑片浸润影,影像学不符合嗜酸性粒细胞增多伴肺浸润的表现;⑥PPD试验,结果(++),结合胸部CT表现,不支持肺结核的诊断;⑦患者无免疫功能低下基础,无系统症状,真菌抗原阴性,无确切真菌感染证据。
五、进一步检查
为除外嗜酸性粒细胞增多同时伴肺部或支气管受累的其他疾病,该患者行支气管肺泡灌洗,镜下支气管及黏膜未见异常,灌洗液中细胞总数为0.06×109/L,巨噬细胞百分比为88%,中性粒细胞百分比为3%,淋巴细胞百分比为4%,嗜酸性粒细胞百分比为5%。尽管支气管肺泡灌洗液中嗜酸性粒细胞较正常略增多(正常参考值为0~1%),但不足以诊断嗜酸性粒细胞肺浸润。
患者几次外周血嗜酸细胞总数和比例均明显增高,不除外血液系统疾病导致的嗜酸性粒细胞增多症。故行骨髓穿刺,结果示骨髓取材满意,粒细胞系统增生明显活跃,以嗜酸性粒细胞增生为主,细胞形态大致正常,嗜酸性粒细胞杆状核占2.8%,分叶核占32%,诊断为嗜酸性粒细胞增多症,未查到寄生虫。通过骨髓穿刺可以除外嗜酸性粒细胞白血病和其他血液系统肿瘤。
患者有消化道症状,在住院期间恶心加重,未吐,并出现腹泻,便次逐渐增加,住院一周时约每天4~5次。尽管入院时便常规未见异常,两次便检查均未查到寄生虫卵,不除外胃肠道疾病引起的嗜酸性粒细胞增高(如肠道肿瘤、溃疡性结肠炎、克罗恩病等),为明确诊断行纤维肠镜检查。镜下见盲肠散在斑状充血糜烂,并可见一条钩虫活动,诊断为大肠钩虫病,大肠炎(图3,箭头所指为活动的钩虫成虫)。至此,该患者诊断明确,嗜酸性粒细胞增多的原因为肠道寄生虫(钩虫)感染。胸部X线示一过性磨玻璃影考虑为Loffler's syndrome(吕弗勒综合征)。

图3
六、再问病史
患者经纤维肠镜确诊为大肠钩虫病,考虑可能为不洁饮食所致。经再三询问,仔细回忆,患者想起发病前20天左右一家三口曾在郊外山上饮用过未经处理的山泉水,患者母亲因行动不便未参加郊游活动,推测山泉水中可能存在钩虫虫卵致病。
七、治疗
患者诊断明确,为大肠钩虫病。建议口服阿苯达唑治疗。因患者咳嗽明显,对症给予复方甲氧那明口服。
【最终诊断】
大肠钩虫病、大肠炎
八、误诊误治原因分析
本病例起病原因不明,表现为咳嗽、发热和外周血白细胞总数增高,很像急性呼吸道感染,因此初治时按照呼吸道感染进行治疗。患者几次复查外周血嗜酸细胞计数和比例均增高,抗感染治疗效果不佳,咳嗽症状无改善,嗜酸细胞计数及比例均无下降,考虑此次发病原因应与呼吸道感染无关。
另外本病例虽然为肠道的寄生虫感染,但以呼吸道症状——咳嗽为首发症状,而且早期消化道症状比较轻微,仅有食欲缺乏和轻度的恶心,无腹痛、腹泻、呕吐等症状;无进行性贫血等现象;患者及家属对于不洁饮食史也未予以注意,尽管多次追问仍未得到可能的答案;入院检查时粪便中未查到虫卵、便潜血检测阴性;这些情况都影响了我们的判断,未能早期进行纤维肠镜检查。随着病情的发展,消化道症状逐渐加重,并出现腹泻。在除外感染和嗜酸性粒细胞肺浸润后行纤维肠镜发现活动的钩虫成虫后明确诊断。
综上所述本病例误诊误治的原因为:①患者忽视了不洁饮食史;②询问病史忽视了消化道症状。
小贴士
嗜酸性粒细胞增多症的病因
1.寄生虫感染
2.变态反应性疾病
3.使用某些药物
4.皮肤疾病
5.嗜酸细胞肺浸润
6.感染恢复期
7.血液病
8.恶性肿瘤
9.家族性嗜酸性粒细胞增多症
10.风湿性疾病
11.肉芽肿
12.胃肠道疾病
13.嗜酸细胞心内膜炎
14.特发性高嗜酸细胞综合征(HES)
小贴士
嗜酸性粒细胞增多症的分类
嗜酸性粒细胞增多症依据病因可分为四类:反应性、继发性、克隆性、特发性。
(一)反应性嗜酸性粒细胞增多
1.过敏性疾病 如支气管哮喘、过敏性鼻炎、药物过敏等。药物过敏可以表现为单纯嗜酸性粒细胞增多,也可引起间质性肾炎、血清病、胆汁郁积性黄疸、过敏性血管炎等。
2.感染性疾 如寄生虫、结核杆菌、衣原体感染。寄生虫感染是嗜酸性粒细胞增多最常见的原因。多数传染病在感染急性期嗜酸性粒细胞常减少,在恢复期会增多。唯有猩红热在感染急性期就会出现嗜酸性粒细胞增多。
3.皮肤病 如银屑病、湿疹、剥脱性皮炎。
(二)继发性嗜酸性粒细胞增多
1.风湿性疾病 类风湿性关节炎、Wegener肉芽肿、结节性多动脉炎等。
2.免疫缺陷病IgA缺乏症、移植物抗宿主病等。
3.肿瘤 各种实体肿瘤、淋巴瘤、囊性纤维化等。
4.内分泌疾病Adison病、垂体功能不全等。
5.间质性肾病。
(三)克隆性嗜酸性粒细胞增多
包括慢性嗜酸性粒细胞白血病(CEL)、慢性髓系白血病(CML)、急性髓系白血病(AML)、骨髓增殖性肿瘤。
(四)特发性嗜酸性粒细胞增多
特发性嗜酸性粒细胞综合征(IHES)
另外,根据所累及的组织器官不同,嗜酸性粒细胞增多症常以不同的疾病名称描述。主要有:嗜酸性粒细胞肺炎(肺嗜酸性粒细胞浸润,PIE)、嗜酸性粒细胞胃肠炎、嗜酸性粒细胞肉芽肿血管炎(Churg-Strauss syndrome,CSS)、嗜酸性粒细胞性心内膜炎、嗜酸性粒细胞性肌痛综合征等。
嗜酸性粒细胞肺炎是一种肺部嗜酸性粒细胞浸润的疾病,可能与寄生虫(钩虫、蛔虫等)和药物(呋喃妥因等)所致的变态反应有关,也可能是一种自身免疫病;嗜酸性粒细胞胃肠炎以胃肠道的某些部位有弥散性或局限性嗜酸性粒细胞浸润为特征,病因未明,有食物过敏假设,儿童多见;嗜酸性粒细胞肉芽肿血管炎是主要累及中、小动脉的系统性坏死性血管炎,多数学者认为与变应性炎症有关;嗜酸性粒细胞性心内膜炎病因未明,根据其好发于热带、亚热带贫苦地区中年人,有人认为与5-羟色胺摄入过多、营养不良、维生素E和色氨酸缺乏以及寄生虫病有关;嗜酸性粒细胞性肌痛综合征是嗜酸性粒细胞对肌肉造成的疾病,患者可有明显肌痛和肌肉痉挛、肺内可出现浸润性病变、心肌炎和心律不齐,少数患者可出现肺动脉高压、持续性周围神经萎缩甚至认知能力下降,目前该病病因不明。
中国医科大学附属第一医院 赵亚滨
(环球医学编辑:余霞霞)
来源:《防范与走出常见诊疗误区:呼吸疾病临床病例精粹》
作者:康健
页码:302-308
出版:人民卫生出版社
- 评价此内容
- 我要打分
近期推荐
热门关键词
最新会议
- 2013循证医学和实效研究方法学研讨会
- 欧洲心脏病学会年会
- 世界帕金森病和相关疾病2013年会议
- 英国介入放射学学会2013年第25届年会
- 美国血液学会2013年年会
- 美国癫痫学会2013年第67届年会
- 肥胖学会 2013年年会
- 2013年第9届欧洲抗体会议
- 国际精神病学协会 2013年会议
- 妇科肿瘤2013年第18届大会
- 国际创伤压力研究学会2013年第29届…
- 2013年第4届亚太地区骨质疏松症会议
- 皮肤病协会国际2013年会议
- 世界糖尿病2013年大会
- 2013年国际成瘾性药年会
- 彭晓霞---诊断试验的Meta分析
- 武姗姗---累积Meta分析和TSA分析
- 孙凤---Network Meta分析
- 杨智荣---Cochrane综述实战经验分享
- 杨祖耀---疾病频率资料的Meta分析
合作伙伴
Copyright g-medon.com All Rights Reserved 环球医学资讯 未经授权请勿转载!
网络实名:环球医学:京ICP备08004413号-2
关于我们|
我们的服务|版权及责任声明|联系我们
互联网药品信息服务资格证书(京)-经营性-2017-0027
互联网医疗保健信息服务复核同意书 京卫计网审[2015]第0344号




会员登录

