57岁男子发热伴咳嗽近一个月 多次治疗仍未见好转
57岁男性,因受凉后出现发热,体温高达39.5℃,咳嗽,少量白色黏痰,伴有乏力、食欲不振,当地医院就诊后,给予“左氧氟沙星”治疗。当日转诊至某三甲医院,完善检查后,给予“哌拉西林他唑巴坦+阿奇霉素”治疗,仍有高热,最高达40.2℃。随后将阿奇霉素改为万古霉素,仍有发热,为进一步诊治而入笔者医院。该患者怎么了?
【病情介绍】
患者,男,57岁,因“发热伴咳嗽24天”于2013年12月10日入院。患者2013年11月15日受凉后发热,体温高达39.5℃,咳嗽,少量白色黏痰,伴有乏力、食欲不振,于2013年12月1日就诊当地医院。门诊查外周血白细胞18.33×109/L,中性粒细胞比例87.6%,ESR 30mm/h,CRP 57mg/L,胸部CT示:右肺上叶纤维条索影,中叶炎性改变,给予“左氧氟沙星”治疗。于当日转诊至某三甲医院,查血液细菌培养及骨髓培养均阴性,气管镜检查黏膜活检示:少许支气管黏膜衬单层柱状上皮,散在慢性粒细胞浸润,给予“哌拉西林他唑巴坦+阿奇霉素”静脉滴注3天后,仍有高热,最高达40.2℃,将阿奇霉素改为万古霉素,用药至2013年12月9日仍有发热,为进一步诊治而入我院。
20年前诊断肺结核,已治愈。无高血压、糖尿病、冠心病等慢性病史。无吸烟史。患者有餐后牙签剔牙习惯。
【诊治经过】
入院后检查:体温38.2℃,血压125/75mmHg。皮肤黏膜未见黄染及出血点,浅表淋巴结未及肿大。左肺呼吸音清,右中下肺可闻及湿啰音,心率87次/分,心律齐,无杂音,腹平软,无压痛,肝脾肋下未及,脊柱四肢未见异常。2013年12月11日血常规:WBC 20.63×109/L,N% 86.0%。2013年12月26日血常规:WBC 12.32×109/L,N% 79.7%;BUN 8.05mmol/L,Cr 209µmol/L,ALP 144U/L,GGT 342U/L;多次痰涂片抗酸染色均阴性,痰培养阴性,PPD试验阴性,结核抗体阴性,支原体、衣原体及军团菌抗体均阴性,血清肿瘤标志物、ANA、ENA、抗dsDNA正常。
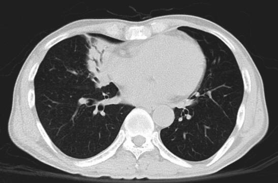
入院后给予亚胺培南西司他汀2.0g/d,静脉滴注治疗,患者体温降低,维持在37.5℃左右,咳嗽、咳痰等症状好转。血培养见放线菌。CT引导下经皮肺穿刺活检病理找到菌丝及孢子,拟诊真菌。2013年12月18日胸部CT示:右肺中叶大片高密度影,伴空气支气管征(图1)。


图1 2013年12月18日胸部CT
右肺中叶大片高密度影,伴空气支气管征
【最后诊断】
肺放线菌病。
【治疗和转归】
停用亚胺培南西司他汀,结合血培养结果于2013年12月20日更改为青霉素钠960万单位(每12小时1次)+多西环素(0.1g,2次/日),静脉滴注后体温逐渐正常,回当地医院继续给予青霉素静脉滴注及多西环素口服治疗,随访至今未复发。
【重要提示】
1. 中年男性,有餐后剔牙习惯。
2. 主要表现为发热,咳嗽。查体右中下肺可闻及湿啰音,胸部CT右肺中叶大片高密度影,伴空气支气管征。
3. 反复给予广谱抗感染药物治疗,患者仍有反复发热。
【讨论】
放线菌在形态上分化为菌丝和孢子,在培养特征上与真菌相似,过去一直将其划分为真菌。近代分子生物学研究表明,放线菌是属于一类具有分枝状菌丝体的细菌,革兰染色为阳性,因在固体培养基上呈辐射状生长而得名,为厌氧菌或兼性厌氧菌。1878年Israel首先描述肺放线菌病,该病致病菌多为伊氏(Israel)放线菌。目前尚未见肺放线菌病大宗病例报道及发病率等流行病学数据。
放线菌可寄生于口腔,包括牙齿、扁桃体窝等部位,可通过两种途径侵入肺部导致肺放线菌病:口腔误吸放线菌至气管-支气管,蔓延至肺、胸膜或胸壁,此为最常见感染方式;放线菌在口颊、齿龈等部位发生损伤时能侵入组织内,并通过血流感染引起肺放线菌病,常伴有其他系统、器官损伤。
肺放线菌病临床表现不典型。咳出黄色硫磺样颗粒物是其较为特异的表现,然而较少见。常见的临床表现包括咳嗽、咳痰、胸痛、咯血、发热、呼吸困难、体重下降及全身不适等。肺放线菌病常易误诊为肺部肿瘤、肺脓肿、肺部真菌感染,多因疑诊肺部肿瘤等行肺活检或切除而诊断为肺放线菌病,因其罕见临床医师往往不易考虑到该病。
肺放线菌诊断的主要方法为支气管镜、经皮肺穿刺或外科手术切除活检病理诊断,有少数报道为痰涂片和胸腔积液中找到放线菌。肺放线菌病的影像学表现无特异性,可表现为实质性团块影、片状影、结节、支气管充气征、空洞、胸腔积液、纵隔淋巴结肿大及胸膜增厚,病变部位以左下叶居多,可能与吸入途径感染有关;右中叶次之。目前,罕见报道肺放线菌病PET表现,2012年欧洲胸部影像学年会报告显示病灶18F-FDG摄取值增高,SUV平均为(5.73±2.74),与肺癌难以鉴别。
肺放线菌病预后较好,但存在复发风险,疗程宜长,目前主张用药6~12个月。大部分患者采取内科治疗,青霉素、磺胺类、四环素类及新一代氟喹诺酮类莫西沙星等均是有效药物,其中大剂量青霉素为首选,用药方案为初始静脉用药2~6周,1800万~2400万单位/天,随后口服药物6~12个月。部分患者需要外科手术治疗,包括药物治疗反应不佳、反复咯血、不能排除肿瘤的患者。
【评述】
肺放线菌病相对罕见。近年来由于激素、细胞毒性药物和免疫抑制剂的大量应用以及器官移植、HIV免疫功能低下患者增多,肺放线菌病的报道有所增加,然而该病病原学证据较难获得,临床医师对该病认识不足、警惕性不够,因此早期诊断肺放线菌病非常困难。
本例患者两次血培养放线菌阳性,并送至复旦大学上海医学院病原微生物教研室确诊。目前,该病例血培养放线菌阳性为国内外首次报道,并通过肺穿刺活检病理和临床针对性治疗效果等确诊为肺放线菌病,总结经验和体会如下:首先,接诊该病例后首先考虑为肺部感染性疾病,入院后即送检血培养;其次,我们积极和本院细菌生物室和病理科医师反复沟通,多次做需氧和厌氧血培养,并告知少见细菌感染可能;培养96小时后见细菌菌落,终于经过团体协作确诊该病。
(张有志 龙丰)
(环球医学编辑:余霞霞)
来源:《呼吸疑难少见病例解析》
作者:林江涛
页码:131-133
出版:人民卫生出版社
- 评价此内容
- 我要打分
近期推荐
热门关键词
最新会议
- 2013循证医学和实效研究方法学研讨会
- 欧洲心脏病学会年会
- 世界帕金森病和相关疾病2013年会议
- 英国介入放射学学会2013年第25届年会
- 美国血液学会2013年年会
- 美国癫痫学会2013年第67届年会
- 肥胖学会 2013年年会
- 2013年第9届欧洲抗体会议
- 国际精神病学协会 2013年会议
- 妇科肿瘤2013年第18届大会
- 国际创伤压力研究学会2013年第29届…
- 2013年第4届亚太地区骨质疏松症会议
- 皮肤病协会国际2013年会议
- 世界糖尿病2013年大会
- 2013年国际成瘾性药年会
- 彭晓霞---诊断试验的Meta分析
- 武姗姗---累积Meta分析和TSA分析
- 孙凤---Network Meta分析
- 杨智荣---Cochrane综述实战经验分享
- 杨祖耀---疾病频率资料的Meta分析
合作伙伴
Copyright g-medon.com All Rights Reserved 环球医学资讯 未经授权请勿转载!
网络实名:环球医学:京ICP备08004413号-2
关于我们|
我们的服务|版权及责任声明|联系我们
互联网药品信息服务资格证书(京)-经营性-2017-0027
互联网医疗保健信息服务复核同意书 京卫计网审[2015]第0344号




会员登录

