肠梗阻患者口服某药物数天 不料出现了咳嗽、咳痰伴发热的症状
45岁男性,无明显诱因出现咳嗽,咳痰伴发热。外院胸部CT检查示“双下肺大片状影,双侧少许胸腔积液”,血液G试验阳性(>1000pg/ml),诊断“肺炎”,给予哌拉西林他唑巴坦联合替考拉宁抗感染,伏立康唑抗真菌,治疗后咳嗽、咳痰等症状缓解不明显,仍间断发热。为进一步诊治转入笔者医院。哪里出了问题?
【病情介绍】
患者,男,45岁,工人。因“咳嗽、咳痰、发热15天”于2013年11月2日入院。自2013年10月18日以来,患者无明显诱因出现咳嗽,咳黄脓痰,量中等,每日约数毫升至10ml不等,伴发热,热型不规则,体温最高40℃,伴胸痛,为钝痛,不剧烈。外院胸部CT检查示“双下肺大片状影,双侧少许胸腔积液”,血液G试验阳性(>1000pg/ml),诊断“肺炎”,给予哌拉西林他唑巴坦联合替考拉宁抗感染,伏立康唑抗真菌,治疗后咳嗽、咳痰等症状缓解不明显,仍间断发热。为进一步诊治转入我院。
2013年3月1日曾于某三级医院检查肠镜示:回盲部溃疡(性质待定),考虑“肠结核”,并给予三联抗结核(HRE)治疗,后一直规律口服抗结核药物至入院。1个月前因“肠梗阻”入住当地医院,行液体石蜡口服治疗10天。无高血压、糖尿病、冠心病等慢性病史,无肝炎、结核、疟疾等传染病史。无粉尘、毒物、放射性物质接触史,无疫区接触史,无食生鱼、生肉史。无手术输血史,无食物、药物过敏史,预防接种史不详。无烟酒嗜好。家族史无特殊。
【诊治经过】
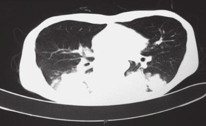
入院后检查:消瘦,双肺呼吸音减弱,未闻及干湿性啰音,无胸膜摩擦音。复查胸部CT示(图1):双下肺大片状实变影。2013年11月6日血常规示:WBC 15.02×109/L,HGB 82g/L。肝肾功能未见明显异常。入院后诊断:①肺部感染(结核?真菌?);②机化性肺炎?加用吡嗪酰胺四联抗结核,给予莫西沙星抗感染,伏立康唑抗真菌治疗。但患者仍有发热,最高体温达40℃,咳嗽、咳痰缓解不明显。于2013年11月12日在CT引导下行经皮肺穿刺术,肺组织活检病理检查结果:镜下见肺泡间隔增宽,纤维组织增生,肺泡上皮增生,肺泡腔扩张,部分腔内见胞浆空亮的泡沫状组织细胞,特殊染色示PAS(-),抗酸(-),六胺银(-)。


图1 2013年11月6日胸部CT(A.肺窗,B.纵隔窗)
双下肺斑片影,内有明显支气管充气征象,边缘可见磨砂玻璃样大小不一的结节状病灶
【最后诊断】
外源性类脂性肺炎。
【治疗和转归】
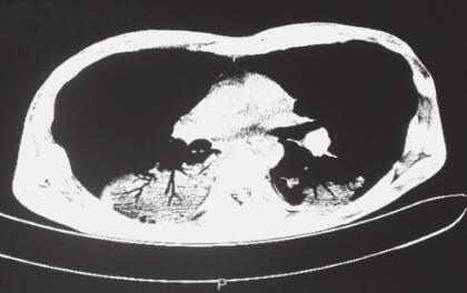
给予糖皮质激素(甲泼尼龙)40mg/d,静脉点滴,2周后逐渐减量,持续3个月,并辅以机械排痰、拍背、体位引流及加强营养等对症处理。治疗1周后患者精神状态明显好转,咳嗽、咳痰症状减轻,发热症状消失。2014年1月27日我院门诊复查胸部CT(图2)对比2013年11月15日CT可见双下肺病灶吸收明显,病灶周围可见高密度小结节影及纤维条索影。


图2 2014年1月27日复查胸部CT
患者双下肺斑片影明显吸收消散
【重要提示】
1. 中年男性,病程较短,有因肠梗阻口服液体石蜡等脂质性物质病史。
2. 主要表现为咳嗽、咳痰、胸痛,合并微生物感染时有发热、咳脓痰、血象升高等表现,但多无特异性;查体双肺呼吸音减弱,胸部CT检查提示双下肺大片状实变影,病灶周围可见高密度小结节影。
3. 反复给予抗感染等治疗,效果不佳。
【讨论】
外源性类脂性肺炎(exogenouslipoid pneumonia)由Laughlin在1925年首次报道,是指油脂类物质误吸入肺引起的肺组织慢性炎症反应,属于慢性间质性肺炎。
本病的病因较为明确,是由于脂类物质误吸入肺而引起。脂类物质得以进入呼吸道的原因包括解剖结构的缺陷(如腭裂)、会厌功能缺陷(麻醉、瘫痪等)、胃肠道功能失调(胃食管反流综合征等)或有长期脂类物质慢性吸入史。该病高发于40~60岁年龄段,且男性多于女性。
外源性类脂性肺炎患者的临床表现多以咳嗽、咳痰、发热等非特异性症状为主,且查体时少见阳性体征,加之本病的部分胸部CT检查可表现为类似于肺癌的结节影伴有纵隔、肺门淋巴结肿大,或类似肺部感染、大叶性肺炎的肺部斑片影,因此本病极易与肺癌、肺部感染等疾病混淆从而造成误诊。因此,详细的问诊并获得有油脂类物质误吸史或长期使用脂类药物的病史,对诊断具有重要提示作用。
目前,诊断外源性类脂性肺炎的金标准为肺组织病理活检,其镜下病理改变为:①肺泡腔内充满大量泡沫状组织细胞;②肺泡间隔内淋巴细胞增生,似“花蕾样”突入肺泡内;③病变区肺泡上皮呈立方形,显示腺样肺泡结构。
外源性类脂性肺炎目前尚无有效治疗手段,应以预防为主,勿用液状石蜡滴鼻和导泻,易患人群应格外注意。本病的病理生理基础主要为脂类物质在肺泡内与巨噬细胞作用而产生的一系列炎症反应,故单纯抗生素治疗效果不明显,仅当合并微生物感染时使用有效,因此治疗上应以加强脂类物质的排出为主,机械排痰、体位引流、拍背促咳等均简便有效,必要时尽早行肺泡灌洗;对于肺泡内的慢性间质性炎症,有报道表示糖皮质激素的长期治疗可能是一种有效的措施,但目前仍无大样本临床研究进一步证实,故激素的使用仍应慎重并强调个体化治疗;长期内科治疗无效者,局部肺叶切除术是非常必要的,可达到根治疾病的目的。
【评述】
外源性类脂性肺炎在临床上较为少见,国内外少见对本病的文献报道,且由于本病临床表现缺乏特异性,导致临床医师极易对本病误诊、漏诊。临床思维欠缺亦是导致本病误诊误治的一个主要原因。回顾这一疑难病例,可以发现获得油脂类物质误吸史或长期使用脂类药物的关键病史对疾病的诊断具有至关重要的作用。患者既往诊断“肠结核”,因不完全肠梗阻而口服液体石蜡对症处理。治疗后半月出现咳嗽、咳痰等临床症状,发病与服药存在明显的时间相关。此外,患者胸部CT提示双下大片状实变影,但肺部却没有出现明显的阳性体征,这种胸部查体与影像学改变上不相称对我们诊断外源性类脂性肺炎也具有一定的提示作用。最后,患者在疾病病程中出现外周血血象增高,血清G试验阳性,结合患者胸部CT的征象,提示患者在病程中极易合并细菌、真菌等感染,但长期反复使用高强度的抗生素治疗后,患者咳嗽、咳痰、发热等临床症状并未得到有效缓解,因此在单纯使用抗生素治疗效果不明显时,我们应该要将诊断的眼光发散到患者是否罹患非感染性肺部疾病之上。本例患者在追溯到有口服液体石蜡的病史,考虑了外源性类脂性肺炎的诊断后,立即给予甲泼尼龙抗感染治疗及一系列促进脂类物质排出的对症治疗,病情迅速好转,其疗效亦证实了诊治方向的正确性。
外源性类脂性肺炎目前仍属于少见病,发病的最初诊断常为肺部感染、肺癌等其他呼吸道疾病,但只要我们对本病的临床表现和诊断标准有了清晰的认识,从病史、临床表现、体征、影像学及组织病理学等方面是不难进行鉴别,并最终得以正确诊治的。
(余晶晶)
参考文献
1.Pielaszkiewicz-Wydra M,Homola-Piekarska B,Szcześniak E,et al. Exogenous lipoid pneumonia-a case report of a fire-eater. Pol J Radiol,2012,77(4):60-64.
2.Khilnani GC,Hadda V. Lipoid pneumonia:An uncommon entity. Indian J Med Sci,2009,63(10):474-480.
3.Zhang J,Xie CM,Huang XY,et al. Clinical Analysis of 19 Cases with Lipoid Pneumonia. Chin J Respir Crit Care Med,2009,8(5):465-468.
(环球医学编辑:余霞霞)
来源:《呼吸疑难少见病例解析》
作者:林江涛
页码:139-142
出版:人民卫生出版社
- 评价此内容
- 我要打分
近期推荐
热门关键词
最新会议
- 2013循证医学和实效研究方法学研讨会
- 欧洲心脏病学会年会
- 世界帕金森病和相关疾病2013年会议
- 英国介入放射学学会2013年第25届年会
- 美国血液学会2013年年会
- 美国癫痫学会2013年第67届年会
- 肥胖学会 2013年年会
- 2013年第9届欧洲抗体会议
- 国际精神病学协会 2013年会议
- 妇科肿瘤2013年第18届大会
- 国际创伤压力研究学会2013年第29届…
- 2013年第4届亚太地区骨质疏松症会议
- 皮肤病协会国际2013年会议
- 世界糖尿病2013年大会
- 2013年国际成瘾性药年会
- 彭晓霞---诊断试验的Meta分析
- 武姗姗---累积Meta分析和TSA分析
- 孙凤---Network Meta分析
- 杨智荣---Cochrane综述实战经验分享
- 杨祖耀---疾病频率资料的Meta分析
合作伙伴
Copyright g-medon.com All Rights Reserved 环球医学资讯 未经授权请勿转载!
网络实名:环球医学:京ICP备08004413号-2
关于我们|
我们的服务|版权及责任声明|联系我们
互联网药品信息服务资格证书(京)-经营性-2017-0027
互联网医疗保健信息服务复核同意书 京卫计网审[2015]第0344号




会员登录

