48岁男子修汽车后反复咳嗽、咳痰伴胸闷、气促 误吸汽油惹的祸?
48岁男性,修汽车后,突然出现反复咳嗽、咳痰,偶见痰中带血,伴有右侧胸痛、活动后气促,当地医院行胸部CT检查发现“两肺炎症改变”,给予抗感染治疗,症状无改善。之后复查胸部CT示肺部病变范围扩大,并出现发热,药物治疗后仍感胸闷,咳较多白黏痰。为求进一步诊疗,入住笔者科室。该患者患有……
【病情介绍】
患者,男,48岁,农用车司机。因“咳嗽、胸痛、气促10天”于2012年3月3日入院。患者10天前修汽车后,突然出现反复咳嗽、咳痰,偶见痰中带血,伴有右侧胸痛、活动后气促,曾于当地医院行胸部CT(图1)检查发现“两肺炎症改变”,先后给予“头孢美唑、头孢哌酮舒巴坦钠”抗感染等对症支持治疗,症状无改善。2012年2月29日复查胸部CT示肺部病变范围扩大,并出现发热,后给予“阿奇霉素、头孢吡肟”等药物治疗,患者仍感胸闷,咳较多白黏痰,为求进一步诊疗,入住我科。


图1 2012年2月21日胸部CT示双肺炎症改变
患者既往体质可,否认“高血压、冠心病、糖尿病”病史;否认“肝炎、结核”病史;否认手术、外伤、输血史,否认特殊用药及药物过敏史。患者无粉尘、发霉物质、毒物、放射性物质接触史,无食生鱼、生肉史;有吸烟史25年,20支/天;不饮酒。
【诊治经过】
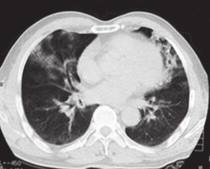
入院体格检查:T 36.8℃,P 86次/分,R 20次/分,BP 131/82mmHg,SpO2 91%,浅表淋巴结不大,颈静脉无充盈,双肺呼吸音粗,双下肺可闻及湿啰音。心率86次/分,律欠齐,未及明显杂音。腹平软,双下肢无水肿。入院后完善相关检查,胸部CT(图2)示:右肺中下叶及左舌段下叶见大片状模糊影,内部密度不均匀,见支气管充气征;两侧少量胸腔积液。血常规(3月3日):WBC 23.71×109/L,N% 88.8%。CRP 74.8mmol/L。血气分析(3月3日鼻导管吸氧3L/min):pH 7.41,PCO2 32.00mmHg;PO2 61.0mmHg;CRP 74.8mmol/L;BNP 58.0pg/ml。凝血功能,大、小便常规正常。血管炎4项、自身免疫抗体谱、结核抗体、支原体、衣原体抗体、HIV均为阴性。肿瘤全套:正常范围内。多次痰找抗酸杆菌、痰找癌细胞均为阴性。痰涂片:见G-杆菌;痰培养:肺炎克雷伯杆菌。血培养:阴性。仔细追问病史,患者诉在修车过程中有“吸入一大口汽油”史。


图2 2012年3月3日胸部CT
右肺中下叶及左舌段下叶见大片状模糊影,内部密度不均匀,见支气管充气征;两侧少量胸腔积液
【最后诊断】
1.汽油性吸入性肺炎。
2.医院获得性肺炎。
【治疗和转归】
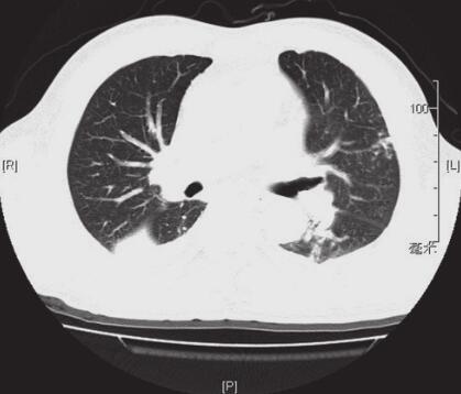
给予甲泼尼龙(80mg,每12小时1次,d1~7,80mg,1次/日,d8~9)抗炎、亚胺培南西司他汀抗感染治疗。患者胸闷、气促缓解,咳嗽消失。2012年3月12日复查血常规示:白细胞8.9×109/L,N% 58.8%。胸部CT(图3):病变较前明显吸收。患者病情好转出院,回家继续口服泼尼龙15mg,2次/日,3个月后停用,现随访一般情况可。


图3 2012年3月12日复查胸部CT示两肺病变较前明显吸收
【重要提示】
1.患者为中年男性,急性起病,病情进展快,有“汽油误吸”史。
2.临床表现为非特异性咳嗽、胸痛、气促,查体双下肺存在湿性啰音,胸部CT表现为多叶多段肺部炎症改变。
3.单纯抗感染治疗无效,激素治疗有效。
【讨论】
类脂质肺炎是一种少见的疾病,包括外源性类脂质性肺炎和内源性类脂质性肺炎。外源性类脂质性肺炎是指误吸汽油、柴油、液体石蜡、鱼肝油等油脂类物质入肺内所致。本例是吸入汽油后引起的汽油吸入性肺炎,为外源性类脂性肺炎中的一种。汽油主要成分是C4~C12烃类,主要成分为脂肪烃和环烃类,含有少量芳香烃和硫化物,其易挥发,不溶于水,易溶于脂肪及有机溶剂。汽油吸入后,可损伤假复层纤毛运动系统进入肺泡腔,一方面可破坏肺泡表面活性物质,使肺泡血管通透性增高,进而导致肺泡渗出增多;另一方面,在肺内沉积的脂质物质可激发局部细胞调控的炎症反应,引起局灶性肺炎,继发异物性肉芽肿和肺纤维化形成。汽油误吸常发生于石油工人、司机。汽油吸入后的流动分布与体位、气管、支气管的解剖形状有关。误吸时患者多为右倾斜位;因右主支气管粗短、陡直,故误吸多入右肺,以中叶和下叶基底段多见。
汽油吸入引起的症状与麻醉剂中毒相似,临床症状轻重与吸入量的多少呈正相关。吸入少量汽油,就可以出现轻度中毒,表现为头晕头痛,恶心呕吐,心悸乏力,酒醉样感,神志恍惚等。吸入高浓度量多者,则有剧烈咳嗽,咳痰带血、胸痛、呼吸困难、发绀、意识丧失等表现。肺部查体局部多可闻及湿性啰音,可有肺部实变体征,发绀和呼吸窘迫体征。实验室检查方面缺乏特异性。部分患者可出现血象正常或升高、低氧血症。胸部影像学上表现为多样性。早期可出现肺部渗出、磨玻璃影、铺路石和胸腔积液改变,误吸时间较久也可表现为油性密度影结节,可合并支气管扩张和肺气肿。
临床确诊可借助支气管镜下肺泡灌洗和(或)经支气管镜活检或者术后病理检查确定。其中,支气管肺泡灌洗液可检出油性物质或含脂质肺泡巨噬细胞,肺组织病理活检发现脂质肉芽肿有助于确诊,但需注意肺组织切片不应用石蜡封闭,以免石蜡将组织内油脂溶解从而影响判断。大部分患者根据明确的汽油接触和误吸史,症状、体征和影像学检查,结合支气管肺泡灌洗液检出油性物质或脂质肺泡巨噬细胞诊断;部分患者误吸量少,误吸后数月甚至数年之久才因肺部不适或肺部阴影就诊,经反复追问也不一定能获知误吸史,此时可能需要经皮肺活检,经支气管镜肺活检或开胸肺活检组织病理学检查。
临床治疗包括以下几个方面:①按一般肺炎治疗原则进行:因吸入汽油可将油管、患者口腔内细菌带入肺部,故需考虑经验性抗细菌治疗。汽油误吸多发生于青壮年劳动者,体质相对较好,基础病较少,可按照社区获得性肺炎诊治原则,选择青霉素、头孢菌素、头霉素类、喹诺酮类等抗生素。
②支气管镜下肺泡灌洗治疗:但目前存在争议。部分学者发现早期支气管镜下肺泡灌洗可减少肺内汽油负荷,减轻对肺泡细胞持续性损伤,改善肺功能;部分学者认为汽油为类脂性物质,比重轻于水,具有疏水性,支气管肺泡灌洗不会使类脂性物质下沉而使病灶扩散。③糖皮质激素治疗:部分学者主张早期用激素治疗,认为其可降低肺血管通透性,减少肺泡渗出,促进肺泡表面活性物质合成,防治肺不张。国外报道主张小剂量口服泼尼松,30mg/d,治疗2周,逐渐减量以至停用激素。国内何波对一例吸入汽油20ml后持续高热的患者给予甲泼尼1000mg,1次/日,冲击治疗,酌情减量,治疗11天终获痊愈。亦有部分学者认为激素治疗副作用多,且不能减少并发症发生,不推荐早期使用激素类药物。④对症处理:吸氧、止痛等;对低氧血症或发生ARDS时还需使用机械通气。若同时有汽油误入消化道,应及时服用牛奶或植物油。并给予保护胃黏膜的药物,以减轻或避免损害胃膜。⑤手术切除:对于基础情况可,病灶局限于单侧且面积大者,常规治疗方法难以奏效,可选择手术切除。
【评述】
外源性类脂性肺炎临床少见,缺乏特异性,易被误诊为肺炎、肺结核和肺癌,我们一方面应提高多此类疾病的认识,注意一些医源性因素如灌肠、插胃管过程一定要避免液体石蜡等油脂类润滑剂误入肺内引起类脂性肺炎发生;另一方面应该提高临床问诊技巧,汽油等油脂类物质误吸及接触史对此种疾病的诊疗至关重要。如本例患者发病前的“一大口汽油误吸史”就是本例的关键突破点,所以在临床工作中,我们应更加注意强化问诊基本功,美国著名学者Harey曾提出诊断疾病过程的“五指”理论,其中拇指代表问诊。病史的完整性和准确性对疾病的诊断和处理至关重要,特别是对于那些病情复杂而又缺少典型表现的病例,深入细致的问诊往往可以给我们意想不到的收获。
(张秀峰 涂容芳)
参考文献
1.Sza bo-Gay O,Benoit N,Doutrellot-Philippon C,et al. Occupational lipid pneumonia induced by cutting fluids exposition. Presse Med,2011,40(6):656-659.
2.Baron SE,Haramati LB,Rivera VT. Radiological and clinical findings in acute and chronic exogenous lipoid pneumonia. J Thorac Imaging,2003,18(4):217-224.
3.Lee KH,Kim WS. Squalene aspiration pneumonia in children:radiographic and CT findings as the first clue to diagnosis. Pediatr Radiol,2005,35(6):619-623.
4.Weinberg I,Fridlender ZG. Exogenous lipoid pneumonia caused by paraffin in an amateur firebreather. Occupational Medicine,2010,60(3):234-235.
5.Betancourt SL,Martinez-Jimenez S,Rossi SE. Lipoid Pneumonia:Spectrum of Clinical and Radiologic Manifestations Sonia L. AJR Am J Roentgenol,2010,194(1):103-109.
6.Sias SM,Daltro PA. Clinic and radiological improvement of lipoid pneumonia with multiple bronchoalveolar lavages. Pediatr Pulmonol,2009,44(4):309-315.
7.Sias SM,Ferreira AS,Daltro PA,et al. Evolution of exogenous lipoid pneumonia in children:clinical aspects,radiological aspects and the role of bronchoalveolar lavage. J Bras Pneumol,2009,35(9):839-845.
8.Lococo F,Cesario A. Idiopathic lipoid pneumonia successfully treated with prednisolone. Heart Lung,2012,41(2):184-187.
(环球医学编辑:余霞霞)
来源:《呼吸疑难少见病例解析》
作者:林江涛
页码:196-199
出版:人民卫生出版社
- 评价此内容
- 我要打分
近期推荐
热门关键词
最新会议
- 2013循证医学和实效研究方法学研讨会
- 欧洲心脏病学会年会
- 世界帕金森病和相关疾病2013年会议
- 英国介入放射学学会2013年第25届年会
- 美国血液学会2013年年会
- 美国癫痫学会2013年第67届年会
- 肥胖学会 2013年年会
- 2013年第9届欧洲抗体会议
- 国际精神病学协会 2013年会议
- 妇科肿瘤2013年第18届大会
- 国际创伤压力研究学会2013年第29届…
- 2013年第4届亚太地区骨质疏松症会议
- 皮肤病协会国际2013年会议
- 世界糖尿病2013年大会
- 2013年国际成瘾性药年会
- 彭晓霞---诊断试验的Meta分析
- 武姗姗---累积Meta分析和TSA分析
- 孙凤---Network Meta分析
- 杨智荣---Cochrane综述实战经验分享
- 杨祖耀---疾病频率资料的Meta分析
合作伙伴
Copyright g-medon.com All Rights Reserved 环球医学资讯 未经授权请勿转载!
网络实名:环球医学:京ICP备08004413号-2
关于我们|
我们的服务|版权及责任声明|联系我们
互联网药品信息服务资格证书(京)-经营性-2017-0027
互联网医疗保健信息服务复核同意书 京卫计网审[2015]第0344号




会员登录

