34岁男子发热、咳嗽伴盗汗 多次治疗不见好反而加重 问题出在…
34岁男子,无明显诱因下出现发热、咳嗽,程度较重,自行服药无好转,遂到区中心医院门诊就诊,多次治疗均不见效果,且咳嗽剧烈伴明显盗汗加重,转至笔者科室。该患者怎么了?
【病情介绍】
患者,男,34岁,公司销售员。因“发热伴咳嗽1个月余”于2014年12月19日入院。患者于2014年11月起无明显诱因下出现发热、咳嗽,程度较重,呈刺激性咳嗽,偶有咳痰,痰呈脓黄痰,偶伴有痰中带血;最高体温38℃左右,发热多为午后,伴有盗汗,无呼吸困难、胸痛、气促等表现;初自服头孢拉定(2粒,3次/天)无好转,遂到区中心医院门诊就诊,血常规示WBC 11.4×109,N% 78.9%,给予头孢呋辛抗感染1周,症状无改善,仍有发热、干咳伴盗汗;2014-11-15收住该院呼吸科病房,遂给予帕尼培南-倍他米隆及左氧氟沙星抗感染治疗1周余,影像学仍有进展,后更换为注射用头孢哌酮钠舒巴坦钠(3.0g,静脉滴注,2次/日)、万古霉素(0.5,静脉滴注,每8小时1次)抗感染,孟鲁司特钠控制气道高反应,同时给予氨溴索化痰、二羟丙茶碱止喘、可待因止咳、标准桃金娘油肠溶胶囊化痰,治疗半月患者体温仍持续不退,发热多于午后,体温在38.5℃以下,咳嗽剧烈伴明显盗汗加重转笔者科室。发病以来,神清、精神萎,体重减轻5kg。
既往体健,否认高血压、糖尿病、心脏病,否认肝炎和结核,有吸烟史8年,每天半包;有饮酒嗜好,间断饮酒,发病前无醉酒史。不饲养鸽子及宠物等。已婚未育。祖母因肺癌过世。
【诊治经过】
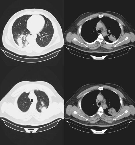
入院后完善相关检查,血常规示WBC 10.4×109,N% 80.9%,血气分析正常,肝肾功能、电解质、血糖未见明显异常,ANA、ENA阴性,P-ANCA弱阳性,PR3 20.19,C-ANCA阴性,MPO阴性,循环免疫复合物0.071↑;复查胸部CT,较外院末次检查继续进展(图1及图2的胸部CT表现),遂行支气管镜检查术;术中见左、右主支气管及各亚段支气管黏膜充血肿胀、管腔通畅、未见新生物,气管镜检查细菌、真菌和TB等病原学均阴性,行隐球菌乳胶凝集试验1∶320阳性,后行经皮肺穿刺活检病理结果是:送检组织未见正常肺组织结构,可见大量类上皮细胞及吞噬隐球菌孢子的异物巨细胞,伴淋巴细胞和巨细胞浸润,符合隐球菌感染表现。

图1 2014年12月5日胸部CT提示两肺多发实变影

图2 2014年12月15日胸部CT
两肺多发实变影,伴空腔样改变
【最后诊断】
肺隐球菌病(急性型)。
【治疗和转归】
停用左氧氟沙星,改用氟康唑0.4g,静脉滴注,1次/日,抗真菌治疗,3天后患者发热缓解,2周余后咳嗽及盗汗等症状改善,静脉抗感染3周后改为口服序贯治疗出院。
【重要提示】
1. 患者为青年男性,无基础疾病和免疫低下。
2. 起病急性,表现为发热、干咳及盗汗等感染症状伴中毒症状。
3. 规则抗生素治疗病灶迅速扩大,有空洞形成,短期影像学变化大。
4. 细菌及结核等病原学检查阴性,乳胶凝集试验阳性。
5. 病理证实肺隐球菌病。
【讨论】
肺隐球菌病(pulmonary cryptococcosis)是由新生隐球菌感染所引起的亚急性或慢性深部真菌病,急性感染的患者较少。隐球菌广泛存在于自然界,主要因吸入呼吸道致病,有些患者可能和接触鸽子等有关。随着抗生素广泛应用、恶性肿瘤放化疗、器官移植、AIDS的增多其发病率逐渐增加,但与其他侵袭性肺真菌病不同的是:肺隐球菌不仅发生于免疫抑制患者,还常发生于免疫健全的人,尤其是青年男性是肺隐球菌病的好发人群。
肺隐球菌的临床表现缺乏特异性,可表现为无症状型、慢性型和急性型(常见于免疫缺陷宿主),但我们这个以急性型表现的患者是免疫健全的,与细菌导致的急性感染很类似,因此很容易误诊;临床可表现为发热、咳嗽、咳痰、胸痛及咯血等,如合并隐球菌脑膜炎的患者有头痛;个别患者伴有盗汗、消瘦等中毒症状,我们这例患者就合并显著的盗汗及消瘦,此时需要和肺结核鉴别。大约30%左右的肺隐球菌合并隐球菌脑膜炎,需要行脑脊液穿刺排除。
肺隐球菌病影像学特点也呈多样性:①结节或肿块病变,直径0.6~10.0cm不等,孤立或多发,40%病灶周边或邻近肺野环有晕征;②浸润实变病变,呈大叶或节段性分布;③弥漫粟粒影;④弥漫混合病变,表现为结节、斑片、团块、大叶实变多样化病灶共存;⑤少见表现有间质性肺炎型、空洞型、合并钙化、胸腔积液、肺门或纵隔淋巴结肿大;临床表现及影像学特点和患者免疫功能有关,免疫健全宿主常形成隐球菌肉芽肿,病变组织可见单核细胞和多核巨细胞胞质内含大量隐球菌孢子,影像学为结节;免疫缺陷宿主中不易形成肉芽肿,肺泡腔内充满隐球菌孢子,病灶内有较多的液性物质,影像学表现为渗出;本病例属于弥漫混合病变型。
由于临床和影像学都缺乏特异性,赖国祥教授等回顾分析了中国22年的隐球菌报道,发现肺隐球菌的误诊率100%。46.21%误诊为肺癌,19.4%误诊为肺结核。19.4%误诊为细菌性肺炎,还有25.37%被反复误诊各种疾病。
肺隐球菌确诊需要病理学诊断,但体液染色、培养(呼吸道、脑脊液、尿液)价值也很大,乳胶凝集试验的敏感性和特异性都很高,滴度>1∶4提示有隐球菌感染,滴度越大诊断价值越大,乳胶凝集试验还可以作为疗效的监测指标。需要关注的是新型隐球菌细胞壁中含1,3-β-D葡聚糖较少,其荚膜非常厚,很难将1,3-β-D葡聚糖释放入血,所以G试验经常为阴性。
肺隐球菌首选治疗是氟康唑,对于免疫正常无症状者,使用氟康唑200~400mg/d,治疗3~6个月,有轻至中度症状免疫正常者疗程6~12个月。对不能耐受氟康唑者可选用伊曲康唑200~400mg/d,6~12个月;免疫抑制伴弥漫性感染、中枢感染者使用两性霉素B 0.4~0.7mg/kg·d),总剂量为1000~2000mg;对肺部病灶局限内科治疗不佳的可以手术切除。
【评述】
肺隐球菌由于临床症状和影像学多样化,缺乏特异性,因为误诊率非常高;肺隐球菌病是侵袭性肺真菌病最常见的类型,占所有肺部真菌感染的20%左右。值得关注的是肺隐球菌病很容易发生于免疫健全者,起病多为亚急性和慢性,免疫低下者会急性起病;但此例患者属于健康青年,起病非常急、伴显著的类似结核的中毒症状、胸部CT变化非常快,呈多形性和多态性;抗生素治疗无效;需要考虑有无特殊病原体感染,但肺隐球菌病患者G试验经常阴性,G试验阴性不能排除肺真菌感染;乳胶凝集试验对诊断肺隐球菌病的敏感性和特异性都很高,确诊需要尽早行病灶处的病理活检;诊断肺隐球菌病时一定需要明确有无合并中枢感染,抗真菌治疗疗程比较长,根据患者症状轻重、患者免疫状态和病灶的播散情况决定疗程;氟康唑是首选药物,伊曲康唑和两性霉素也可以用于治疗。
(丁永杰 周敏)
参考文献
1. 赖国祥,张玉华,林安庆. 国内22年肺隐球菌病回顾性分析. 中国实用内科杂志,2005,25(2):176-178.
2. 《中国真菌学杂志》编辑委员会. 隐球菌感染诊治专家共识. 中国真菌杂志,2010,5(2):65-68.
3. 刘又宁,佘丹阳,孙铁英. 中国1998年至2007年临床确诊的肺真菌病患者的多中心回顾调查. 中华结核和呼吸杂志,2011,34(2):86-90.
(环球医学编辑:余霞霞)
来源:《呼吸疑难少见病例解析》
作者:林江涛
页码:258-262
出版:人民卫生出版社
- 评价此内容
- 我要打分
近期推荐
热门关键词
最新会议
- 2013循证医学和实效研究方法学研讨会
- 欧洲心脏病学会年会
- 世界帕金森病和相关疾病2013年会议
- 英国介入放射学学会2013年第25届年会
- 美国血液学会2013年年会
- 美国癫痫学会2013年第67届年会
- 肥胖学会 2013年年会
- 2013年第9届欧洲抗体会议
- 国际精神病学协会 2013年会议
- 妇科肿瘤2013年第18届大会
- 国际创伤压力研究学会2013年第29届…
- 2013年第4届亚太地区骨质疏松症会议
- 皮肤病协会国际2013年会议
- 世界糖尿病2013年大会
- 2013年国际成瘾性药年会
- 彭晓霞---诊断试验的Meta分析
- 武姗姗---累积Meta分析和TSA分析
- 孙凤---Network Meta分析
- 杨智荣---Cochrane综述实战经验分享
- 杨祖耀---疾病频率资料的Meta分析
合作伙伴
Copyright g-medon.com All Rights Reserved 环球医学资讯 未经授权请勿转载!
网络实名:环球医学:京ICP备08004413号-2
关于我们|
我们的服务|版权及责任声明|联系我们
互联网药品信息服务资格证书(京)-经营性-2017-0027
互联网医疗保健信息服务复核同意书 京卫计网审[2015]第0344号




会员登录

