大妈反复发热、咳嗽 按肺炎治疗后不能缓解还出现了气喘
56岁女性,入院前6天余无明显诱因出现发热,伴畏寒、寒战,偶有咳嗽、呈阵发性刺激性干咳,先后就诊于当地医院及笔者医院急诊科,查血常规、CRP提示炎症指标升高,肺部CT示双肺炎,拟诊“双肺炎”,先后给予“左氧氟沙星、哌拉西林他唑巴坦”抗感染2天、“头孢噻肟、莫西沙星”抗感染1天,现仍反复发热,咳嗽,爬一层楼后即感气喘。该患者确诊为?如何处理?
【病情介绍】
患者,女,56岁,农妇,因“反复发热、咳嗽6天余,气喘2天”于2014年6月26日入院。入院前6天余无明显诱因出现发热,体温波动38℃左右,傍晚明显,伴畏寒、寒战,偶有咳嗽、呈阵发性刺激性干咳,先后就诊于当地医院及我院急诊科,查血常规、CRP提示炎症指标升高,肺部CT示双肺炎,拟诊“双肺炎”,先后给予“左氧氟沙星、哌拉西林他唑巴坦”抗感染2天、“头孢噻肟、莫西沙星”抗感染1天,现仍反复发热,体温波动38~40.3℃,咳嗽、咳出少量黄脓痰,爬一层楼后即感气喘,发病以来精神、食欲、睡眠较差,大小便正常,体重无明显改变。既往无高血压、糖尿病、冠心病等慢性病史,无肝炎、结核、疟疾等传染病史。患者出生于莆田,近1个月穿拖鞋走街串巷卖海鲜干货。无粉尘、毒物、放射性物质接触史,无疫区接触史,无食生鱼、生肉史。无手术输血史,无食物、药物过敏史,预防接种史不详。无烟酒嗜好。已婚,配偶及女儿体健,家族史无特殊。
【诊治经过】
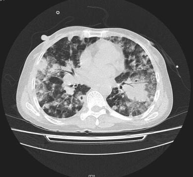
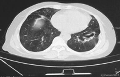
入院后检查:生命体征尚平稳,急性病容,呼吸急促,有发热,体温38.6℃,双肺散在湿性啰音。心律齐,心率快,114次/分,各瓣膜听诊区未闻及杂音,腹部无明显阳性体征,双下肢无水肿。脑膜刺激征阴性,病理征未引出。血常规:WBC 18.3×109/L,N% 94.1%,HGB 108g/L,PLT 130×109/L。红细胞沉降率:96mm/h。PCT 18.7ng/ml,BNP 15 200pg/ml,肝肾功能未见明显异常。低钠血症,低钾血症,结核菌素试验(+)。3次痰抗酸染色未见抗酸杆菌。3次痰培养未发现致病菌。血气分析(吸氧2L/M)提示:pH 7.492,PaO2 59.3mmHg,PaCO2 16.3mmHg。抗核抗体(ANA)、ANA谱、dsDNA抗体及抗中性粒细胞抗体均正常。钩端螺旋体抗体、恙虫病抗体、流行性出血热抗体均阴性。真菌D-葡聚糖+曲霉菌半乳甘露聚糖抗原:均正常。HAV+HIV+HCV+TPPA抗体:均正常。呼吸道感染病原体IgM抗体:呼吸道合胞病毒-IgM抗体阳性(+),余均阴性。(2014年6月29日)肺部CT平扫(图1):):①双肺弥漫性病变伴空洞形成,肺炎并脓肿?肉芽肿性病变?②左下肺脓肿形成。


图1 2014年6月29日胸部HRCT
双肺弥漫性病变伴空洞形成,左下肺脓肿形成
入院后给予“哌拉西林他唑巴坦+盐酸莫西沙星”抗感染,盐酸氨溴索祛痰、多索茶碱解痉治疗及营养心肌、纠正电解质紊乱等对症治疗,4天后,患者仍反复发热,体温最高达39.3℃,气喘同前,考虑病情无改善,抗生素改用“比阿培南+万古霉素”抗感染3天,仍反复发热,体温波动同美罗培南前,气喘同前,(2014年7月2日)血培养报告:检出类鼻疽伯克霍尔德菌,对美罗培南、阿莫西林/克拉维酸钾、复方磺胺甲噁唑片敏感。
【最后诊断】
脓毒血症、类鼻疽伯克霍尔德菌性肺炎。
【治疗和转归】
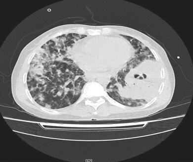
抗生素改用美罗培南、复方磺胺甲噁唑片抗感染,并给予丙种球蛋白静脉滴注,3天后患者体温逐渐下降至正常。血培养未再发现病原菌,继续使用抗生素21天后,患者病情稳定,症状明显好转,复查肺部CT病灶(图2)较前有吸收,给予出院,继续口服复方磺胺甲噁唑片、阿莫西林/克拉维酸钾,并门诊随访,2014年12月1日复查肺部CT(图3),病灶较前明显吸收。


图2 2014年7月31日胸部HRCT
双肺弥漫性斑片影较前吸收,左下肺空洞影,壁厚


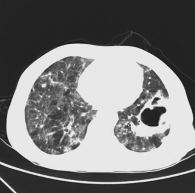
图3 2014年12月1日胸部HRCT
双肺弥漫性斑片影较前明显,左下肺空洞影缩小
【重要提示】
1. 中年男性,病程较短,病情进展快。
2. 主要表现为高热、呼吸困难,查体双肺散在湿性啰音,胸部CT检查提示双肺弥漫性结节空洞影,肺组织坏死性改变。
3. 反复给予抗感染、祛痰、平喘等治疗,效果不佳。
【讨论】
类鼻疽是由类鼻疽伯克霍尔德菌所致的地方性传染病,流行于东南亚和澳大利亚北部等热带地区。我国疫源地分布情况调查表明,类鼻疽杆菌主要分布于海南、广东、广西和福建。
该菌广泛存在于流行地区的水和土壤之中,在水和土壤中可存活3年以上,特别是在不流动的死水中,如池塘、稻田以及菜场中,是热带及亚热带地区死水和土壤中一种常见的腐生菌。感染者大多数通过破损的皮肤污染而感染本病,少数通过吸入或饮用污染病菌的水而发病。人与人及动物与人之间直接传播的可能性很小,但带菌的动物(主要是猪和羊)能将该菌传播到远离流行区的水和土壤中。类鼻疽病临床表现纷繁复杂,可表现为急性、亚急性、慢性和亚临床感染,45%~60%患者表现为败血症伴多器官感染或脓肿,其中急性肺部感染是类鼻疽最常见的临床类型,临床表现为寒战、发热、咳嗽、咳痰、呼吸困难等;胸部X线:斑点、小片或大片样致密影,部分融合成类圆形透亮区,形成空洞,部分病例伴有肺脓肿或胸腔积液,易被误诊为其他细菌引起的肺部感染、肺结核、肺脓肿。大部分患者伴有基础性疾病,其中以糖尿病、肝硬化多见。可见类鼻疽临床表现复杂,缺乏特异性,容易被误诊为肺结核、或其他化脓菌所致的败血症、肺脓肿。故凡是生活在疫区(热带、亚热带),有上述基础疾病者,出现不明原因的发热,经常规抗菌药物治疗无效的化脓性疾病或抗结核治疗无效的“肺结核”患者,应注意本病,及时作病原学检查,包括渗出物、脓液、血液等,做涂片、培养或免疫学试验,尽快确诊。
早期文献报道该病死率达90%,随着抗生素的发展和应用,病死率仍然高达50%。类鼻疽治疗,主要是尽早使用敏感的抗菌药物为主,支持对症治疗为辅并积极治疗基础疾病。国内一些研究显示类鼻疽伯克霍尔德菌对许多常规抗菌药物普遍耐药,对碳青霉烯类如亚胺培南、哌拉西林/他唑巴坦、复方磺胺甲噁唑片等均有较高的敏感性。要注意足够的疗程,具体疗程目前并无统一的规定,有人主张不少于30~90天,有化脓性病灶者应同时口服复方磺胺甲噁唑片连续抗炎治疗6~12个月。有脓肿形成宜采取外科切开引流手术。
【评述】
该患者在发病前常穿拖鞋走街串巷卖海鲜干货,其感染途径很可能是通过破损的皮肤污染而感染本病。患者的主要临床表现为咳嗽、发热和气促,并无特异性,许多肺部感染的临床表现也都如此。对肺组织可以造成破坏的病原体也很多。因此对于感染性疾病争取明确病原体是非常重要的。类鼻疽伯克霍尔德菌在我国主要分布于海南、广东和广西沿海地区,福建地区并不多,故在开始并未考虑到该菌的可能性。该患者早期经验性抗感染治疗效果并不佳,如万古霉素对类鼻疽伯克霍尔德菌肯定是没有疗效的,比阿培南、哌拉西林/他唑巴坦对类鼻疽伯克霍尔德菌有一定疗效,但由于病初并没有明确病原体,故当患者体温没有短时间下降时,就不能坚持使用下去了。对于该患者,血中培养出类鼻疽伯克霍尔德菌,肺部多发空洞、脓肿形成,必须联合使用敏感抗生素治疗,并且疗程要长,同时加强对症支持治疗,如使用丙种球蛋白加强患者被动免疫治疗。
(丁海波)
参考文献
1. 蒋忠军,宋阳,陆振豸. 我国类鼻疽研究的历史与现状. 中国热带医学,2002,2(2):176.
2. 金浩承,陈雪华,潘珏,等. 发热-干咳-右膝关节肿痛-双侧胸腔积液伴左侧气胸-类鼻疽伯克霍尔德菌感染. 中华医学杂志,2005,85(18):1287-1288.
3. 贾杰,莫成锦. 类鼻疽假单胞菌感染的诊断与治疗. 中华传染病学杂志,1999,17(4):271.
4. 陈海,杨小敏,王才春. 类鼻疽伯克霍尔德菌败血症4例. 中华传染病杂志,2004,22(3):208-209.
5. 蔡笃运,贾杰. 104例类鼻疽伯克霍尔德菌感染与耐药性分析. 重庆医学,2009,38(18):2362-2363.
6. 钟有清,林慧. 海南岛类鼻疽40例患者的临床特征及随访分析. 中华肺部疾病杂志(电子版),2014,7(2):187-189.
(环球医学编辑:余霞霞)
来源:《呼吸疑难少见病例解析》
作者:林江涛
页码:305-309
出版:人民卫生出版社
- 评价此内容
- 我要打分
近期推荐
热门关键词
最新会议
- 2013循证医学和实效研究方法学研讨会
- 欧洲心脏病学会年会
- 世界帕金森病和相关疾病2013年会议
- 英国介入放射学学会2013年第25届年会
- 美国血液学会2013年年会
- 美国癫痫学会2013年第67届年会
- 肥胖学会 2013年年会
- 2013年第9届欧洲抗体会议
- 国际精神病学协会 2013年会议
- 妇科肿瘤2013年第18届大会
- 国际创伤压力研究学会2013年第29届…
- 2013年第4届亚太地区骨质疏松症会议
- 皮肤病协会国际2013年会议
- 世界糖尿病2013年大会
- 2013年国际成瘾性药年会
- 彭晓霞---诊断试验的Meta分析
- 武姗姗---累积Meta分析和TSA分析
- 孙凤---Network Meta分析
- 杨智荣---Cochrane综述实战经验分享
- 杨祖耀---疾病频率资料的Meta分析
合作伙伴
Copyright g-medon.com All Rights Reserved 环球医学资讯 未经授权请勿转载!
网络实名:环球医学:京ICP备08004413号-2
关于我们|
我们的服务|版权及责任声明|联系我们
互联网药品信息服务资格证书(京)-经营性-2017-0027
互联网医疗保健信息服务复核同意书 京卫计网审[2015]第0344号




会员登录

