一例肺结核引起的高钙血症患者诊治经验体会
67岁男性,入院前1年,患者无明显诱因出现全身乏力,偶有头晕、恶心、消瘦,体重下降4kg,伴尿频,多次于笔者医院及外院门诊就诊。入院前2个月前,患者上述症状再发,伴食欲缺乏、恶心,于外院查血生化,考虑为高钙血症,未治疗,上述症状仍持续存在,未再复查血钙。患者现入笔者医院进一步诊治。如何诊治?
一、病情摘要
1.基本情况
男性患者,67岁,以“全身乏力1年,食欲缺乏2个月,再发2周”为主诉于2016年12月入院。入院前1年,患者无明显诱因出现全身乏力,偶有头晕、恶心、消瘦,体重下降4kg,伴尿频,夜尿5~6次/d,无呕吐、腹痛、骨痛,多次于我院及外院门诊就诊。查血钙(Ca)2.5~3.25mmol/L,肌酐(creatinine,Cr)167~177μmol/L,甲状旁腺激素(parathyroid hormone,PTH)6.96pg/ml;骨密度:L2~4骨矿含量减低,左股骨颈、大转子骨矿含量减低;全身骨显像未见异常。患者曾不规律使用鲑降钙素降钙,复查血钙仍高于正常。入院前2个月前,患者上述症状再发,伴食欲缺乏、恶心,于外院查血生化,显示Cr 177μmol/L,钙2.93mmol/L,磷(P)0.97mmol/L”,考虑为高钙血症,未治疗,上述症状仍持续存在,未再复查血钙。患者现入我院进一步诊治。
2.既往史
患者于30年前患病毒性脑炎,已治愈;10年前诊断患高血压、脑梗死,不规律服用氨氯地平治疗,未监测血压;10年前诊断双肾结石,1年前于外院行肾结石体外碎石术;2年前行右侧青光眼手术;1年前诊断冠状动脉粥样硬化性心脏病。家族中无类似疾病发病史。
3.入院查体
体温36.6℃,脉搏78次/min,呼吸20次/min,血压135/75mmHg。神志清楚,全身浅表淋巴结未触及肿大。甲状腺无肿大。双肺呼吸音清,未闻干、湿啰音;心律齐,A2>P2,各瓣膜听诊区未闻杂音。腹平软,全腹无压痛、反跳痛,肝、脾肋下未及。四肢肌力、肌张力正常、对称,双下肢无水肿。
4.入院前检查
常规检查:
血常规、尿常规、粪常规及隐血试验未见异常。
多发性骨髓瘤检验:
尿κ链19.8mg/L,λ轻链13mg/L;血κ链3.29g/L,λ轻链1.63g/L。
骨代谢指标:
β-胶原特殊序列2.47ng/ml,总Ⅰ型胶原氨基端延长肽(total procollagen type 1 aminoterminal propeptide,TP1NP)194ng/ml,骨钙素(osteocalcin,Ost)89.9μg/L,PTH 6.76pg/ml,25-羟维生素D 5.2ng/ml,24小时尿钙11mmol/d,24小时尿磷15.7mmol/d,同步血肌酐152μmol/L,钙2.57mmol/L,磷0.85mmol/L,尿肌酐7.4mmol/L,肾小管磷重吸收率62%(正常参考值:>78%)。
T淋巴细胞刺激γ-干扰素释放试验(T lymphocyte stimulation interferon gamma release test,T-SPOT)阴性。
甲状腺功能:
促甲状腺激素(thyroid stimulating hormone,TSH)2.42mIU/L,游离三碘甲状腺原氨酸(free triiodothyronine,FT3)3.1pmol/L,游离甲状腺素(free tetraiodothyronine,FT4)15.2pmol/L。
自身免疫相关检查:
抗核抗体阳性(1∶100),其余项目正常。
肿瘤相关检查:
癌胚抗原(CEA)、甲胎蛋白(AFP)、糖类蛋白肿瘤标志物199(carbohydrate antigen 199,CA199)、前列腺特异抗体(prostate-specific antigen,PSA)均正常。
其他实验室检查:
血沉(ESR)12mm/h,肾素活性(卧位)0.02μg/(L·h),肾素活性(立位)0.31μg/(L·h),醛固酮(卧位)105.91ng/L,醛固酮(立位)128.89ng/L。皮质醇(8am)281.3nmol/L,皮质醇(4pm)181.7nmol/L。降钙素1.53pg/ml。
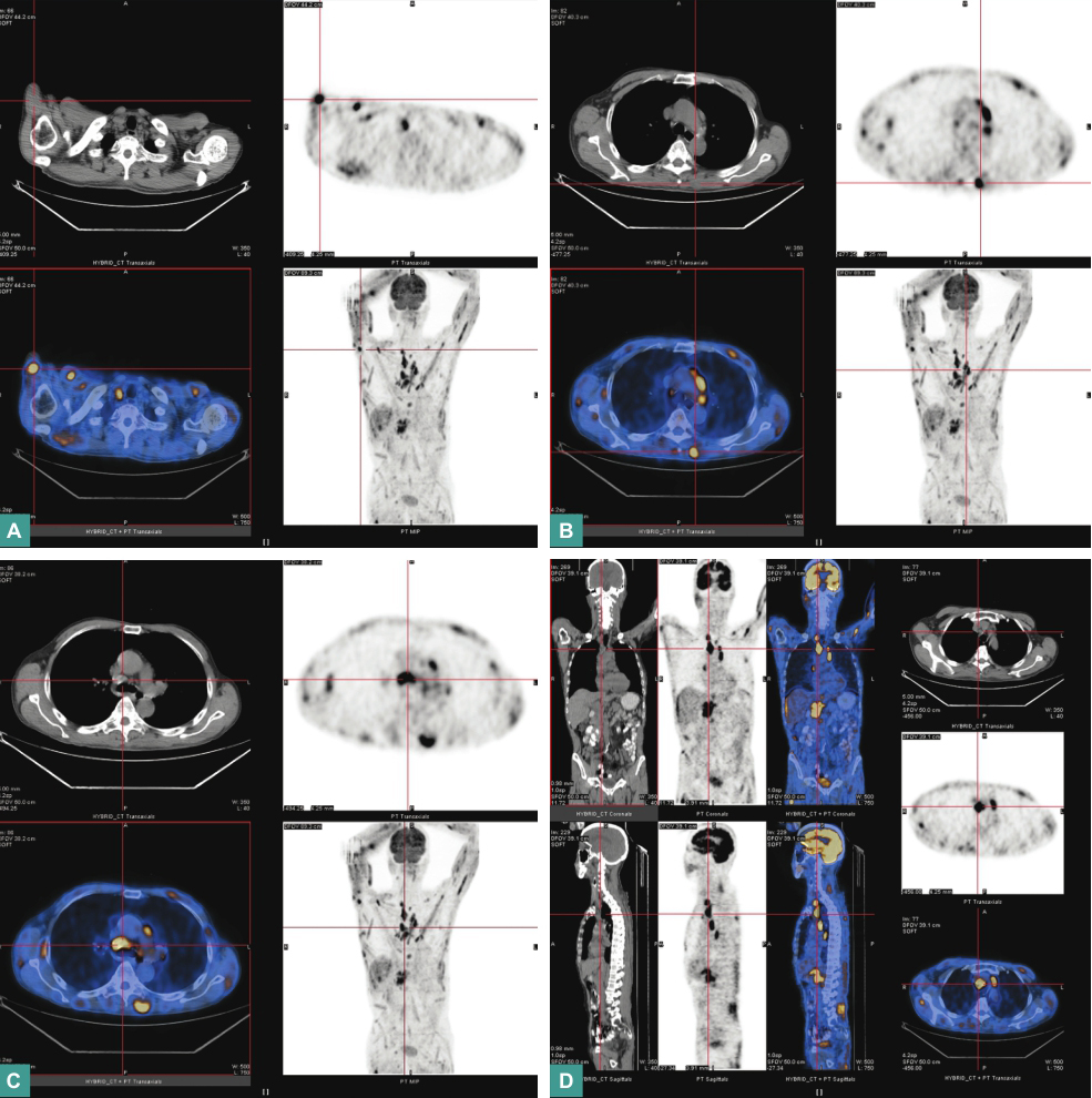
全身正电子发射计算机断层显像(positron emission tomography,PET)-CT(图1):

图1 全身PET-CT扫描
①全身肌肉多发高代谢灶,右侧锁骨上窝、纵隔内及腹膜后多发高代谢结节影;②右肺上叶后段及右肺中叶近胸膜下少许小结节影,代谢未见增高;③双肺散在多发斑片影、结节影、条索影,代谢未见增高;④肺气肿,双侧胸膜轻度增厚;⑤脾轻度增大;⑥双肾结石;前列腺钙化灶;⑦双侧颈部、腋窝、肝胃间隙及双侧腹股沟区多发小结节影,代谢未见增高。
5.初步诊断
高钙血症原因待查。
二、诊治过程
【病例特点】
1.一般情况
患者为老年男性,慢性起病,无长期口服钙剂、利尿剂等药物使用史,无高钙血症家族史。
2.主要症状和体征
头晕、乏力、恶心、呕吐,无阳性体征。
3.实验室检查
PTH水平低下,肾小管磷重吸收率下降。血κ链、λ链水平下降,甲状腺功能、皮质醇、降钙素、自身免疫指标、肿瘤指标未见异常。
4.影像学检查
全身PET-CT提示全身肌肉多发高代谢灶,右肺上叶、中叶近胸膜下小结节,考虑有炎性肉芽肿可能。
5.治疗反应
患者多次使用鲑降钙素治疗,效果不佳。
【鉴别诊断思路】
高钙血症为内分泌系统急症,严重时可危及生命,须进行紧急救治,并积极寻找病因,以免发生严重后果。在高钙血症的鉴别诊断中,需要注意以下问题:
本例患者的情况是否为PTH依赖性高钙血症?
PTH依赖性高钙血症多为甲状旁腺不适当分泌PTH,不受高钙血症负反馈调节。本例患者入院前后多次查PTH水平,均提示低于正常水平,并且无高钙血症家族史,发病前无含锂盐药物使用史,全身PETCT未提示甲状旁腺占位病变,故不支持PTH依赖性高钙血症,应重点是排查恶性肿瘤、结节病、肉芽肿、肾病等其他引起非PTH依赖性高钙血症的病因。
在非PTH依赖性高钙血症中,本例患者可能的病因有哪些?
(1)恶性肿瘤:
恶性肿瘤导致的高钙血症发生率仅次于甲状旁腺功能亢进症(甲旁亢),其中血液系统肿瘤约占20%。本例患者为老年男性,虽然各项肿瘤指标阴性,碱性磷酸酶(alkaline phosphatase,ALP)、乳酸脱氢酶(lactate dehydrogenase,LDH)等指标正常,但是PET-CT提示全身肌肉多发高代谢灶,右侧锁骨上窝、纵隔内及腹膜后多发高代谢结节影,为淋巴瘤可能性大,下一步可进行骨髓片检查、肌肉结节活检等进一步明确诊断。
(2)结核和其他肉芽肿疾病:
本类疾病患者发生高血钙的概率为2%~12%。本例患者否认结核病史,无咳嗽、咳痰、咯血以及发热、消瘦等结核中毒症状,结核分枝杆菌感染相关指标阴性,不支持结核病诊断。但影像学检查提示的病变部位系结核好发部位(PET-CT提示右肺上叶后段及右肺中叶近胸膜下有少许小结节影,考虑有肉芽肿可能),因此不能完全排除结核等肉芽肿疾病。
(3)肾病:
本病患者虽有肾功能不全表现,但无急性加重病史及导致肾功能急性恶化的诱因,无少尿期到多尿期尿量动态改变,因此考虑为肾病导致高钙血症可能性小。
【诊疗措施】
1.进一步检查
(1)行骨髓穿刺术及骨髓片检查,结果提示:粒细胞系增多伴核左移,增生性贫血。
(2)行左侧背部肌肉结节活检术,病理表现为肉芽肿性炎症。特殊染色:聚丙烯酰胺(polyacrylamide,PAM)染色、过碘酸雪夫(periodic acid-Schiff,PAS)染色、抗酸染色均为阴性。结核分枝杆菌核酸检测阴性。
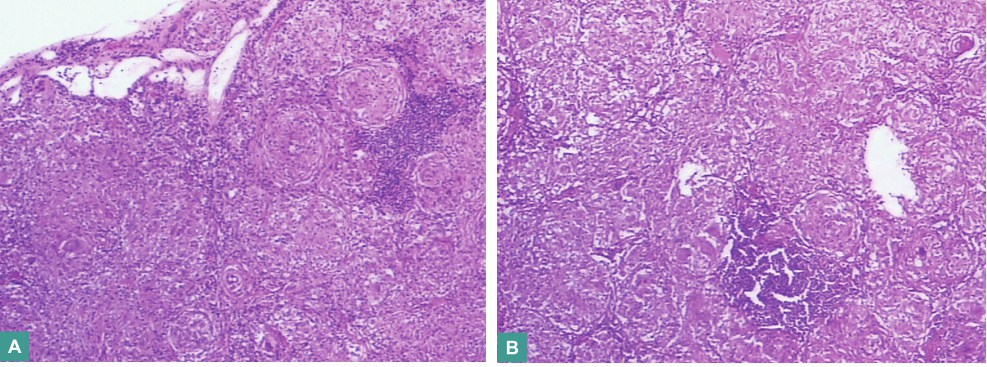
(3)为进一步明确诊断,结合全身PET-CT检查结果(右侧锁骨上窝、纵隔内及腹膜后多发高代谢结节影),请胸外科会诊,行全麻下右侧单操作孔胸腔镜下纵隔淋巴结清扫术,术中探查见右肺上叶部分粘连,奇静脉弓上、上腔静脉旁以及气管隆嵴下多发肿大淋巴结。完整切除上纵隔及气管隆嵴下数个淋巴结并送病理检查:镜下见结核样肉芽肿结节,伴少量干酪样坏死(图2),符合结核病理特征;特殊染色:PAS染色、抗酸染色、六胺银(periodic acid-silver methenamine,PASM)染色均阴性。

图2 纵隔内淋巴结镜下病理表现(HE染色,×100)
2.最后诊断
肺结核。
【临床转归】
确诊后,患者转入结核病院进一步治疗。经抗结核治疗约4个月后,多次复查血钙,稳定在正常范围内。
【临床难点】
本例患者无典型结核中毒症状,T-SPOT阴性,以高钙血症的全身症状为首发表现,临床症状及肺部影像学表现均不典型,极易误诊和漏诊。对于诊断不明、病灶不明的高钙血症患者,需警惕结核病可能,并注意与淋巴瘤、韦格纳肉芽肿及其他特殊感染和转移性肿瘤相鉴别。全身PET-CT是一种对寻找原发病灶极富意义的诊断工具。
如何解释结核导致的高钙血症?
结核导致高钙血症在临床上并不常见,尤其本例患者结核病的症状极不典型,因此容易漏诊或误诊。Adrian R. Martineau研究表明,结核分枝杆菌抗原与巨噬细胞上的Toll样受体结合,导致巨噬细胞分泌1α羟化酶的活性增强,促使25-(OH) D3向1,25-(OH)2D3转化增加;另一方面,1型辅助性T细胞(helper T cell type 1,Th1)细胞分泌γ干扰素(interferon-γ,IFN-γ)等细胞因子,使1,25-(OH)2D3降解酶活性降低,由此造成维生素D代谢调节机制障碍,最终导致结核患者发生高钙血症。
三、点睛析评
钙在维持人体正常结构和生理功能方面起重要作用。当体内、外各因素作用于钙磷代谢的各环节,使过多的钙进入细胞外液或钙排泄减少,就会导致高钙血症。引起高钙血症的疾病众多,一般可根据甲状旁腺细胞功能异常与否分为PTH依赖性和非PTH依赖性高钙血症两大类(通过检测血PTH可以鉴别)。PTH依赖性高钙血症患者,血PTH升高,通过甲状旁腺彩超和甲状旁腺甲氧基异丁基异腈(methoxyisobutylisonitrile,MIBI)放射性核素扫描一般容易诊断;非PTH依赖性高钙血症的病因鉴别相对复杂,除常见的恶性肿瘤可引起高钙血症外,还需注意结节病和肉芽肿疾病等少见病因,以免漏诊。临床上有少部分患者缺乏原发病的典型特点,给病因诊断带来困难。对诊断有异议时,需注意多次、多处行病变部位活检以明确诊断,及时修正诊断思路。如果初次病理检查结果无特异性表现,应积极动员患者再次进行活检。
知识来源
人卫知识数字服务体系
- 评价此内容
- 我要打分
近期推荐
热门关键词
最新会议
- 2013循证医学和实效研究方法学研讨会
- 欧洲心脏病学会年会
- 世界帕金森病和相关疾病2013年会议
- 英国介入放射学学会2013年第25届年会
- 美国血液学会2013年年会
- 美国癫痫学会2013年第67届年会
- 肥胖学会 2013年年会
- 2013年第9届欧洲抗体会议
- 国际精神病学协会 2013年会议
- 妇科肿瘤2013年第18届大会
- 国际创伤压力研究学会2013年第29届…
- 2013年第4届亚太地区骨质疏松症会议
- 皮肤病协会国际2013年会议
- 世界糖尿病2013年大会
- 2013年国际成瘾性药年会
- 彭晓霞---诊断试验的Meta分析
- 武姗姗---累积Meta分析和TSA分析
- 孙凤---Network Meta分析
- 杨智荣---Cochrane综述实战经验分享
- 杨祖耀---疾病频率资料的Meta分析
合作伙伴
Copyright g-medon.com All Rights Reserved 环球医学资讯 未经授权请勿转载!
网络实名:环球医学:京ICP备08004413号-2
关于我们|
我们的服务|版权及责任声明|联系我们
互联网药品信息服务资格证书(京)-经营性-2017-0027
互联网医疗保健信息服务复核同意书 京卫计网审[2015]第0344号




会员登录

