肝胆管结石合并胆管炎行经皮肝穿刺胆道镜取石术并发胸腔感染病例解析
44岁男性,6年前因“胆囊结石及胆总管结石”行“胆囊切除+胆总管探查T管引流术”,术中发现肝内胆管结石(术中肝内胆管结石取石情况不详);6年来偶有发热伴上腹痛,予抗感染等对症支持治疗后可好转。此次因发热、腹痛1个月入院。如何诊治?
病例介绍
患者,男,44岁。
1.患者胆道结石术后,因“胆道结石伴胆管炎复发”入院。
2.主诉 胆道结石术后6年余,发热、腹痛1个月。
3.现病史 6年前患者因“胆囊结石及胆总管结石”行“胆囊切除+胆总管探查T管引流术”,术中发现肝内胆管结石(术中肝内胆管结石取石情况不详);患者6年来偶有发热伴上腹痛,予抗感染等对症支持治疗后可好转;1个月来患者再发右上腹疼痛伴发热,最高体温:39.3℃,使用抗生素治疗后好转。
4.查体 T 37.3℃,P 81次/min,R 16次/min,BP 114/73mmHg,神清,皮肤巩膜无黄染、腹平软,无压痛及反跳痛,无肌紧张,右上腹陈旧性手术瘢痕,其余未见明显阳性体征。
5.实验室检查 血常规:CRP 78mg/L,WBC 13.9×109/L,NE 89%,Hb 119g/L,PLT 226×109/L:肝肾功能:ALT 97.0U/L(↑),AST 68.8U/L(↑),TBIL 10.7μmol/L,DBIL 4.1μmol/L,ALB 36.2mg/L。甲胎蛋白(AFP)8.2ng/ml,癌胚抗原(CEA) 3.94ng/ml,CA199 25.93U/ml,肝功能Child-Pugh评分5分,分级A级,吲哚菁绿(ICG)15min滞留率<10%。
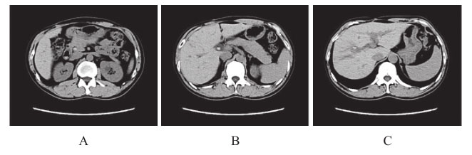
6.上腹部CT及MRCP 肝右叶胆管结石伴远端胆管扩张,胆总管上段及下段结石(图1、图2)。

图1 MRCP:肝右叶胆管结石,胆总管结石

图2 上腹部CT:肝右叶胆管结石及胆总管结石
7.诊断
(1)肝内胆管结石(S8)(分型:胆管炎型)。
(2)胆总管结石。
8.治疗过程
(1)入院第1天:控制胆道感染,抗生素(头孢地嗪钠2g静脉滴注 每12小时一次)、完善术前评估及准备。
(2)入院第5天,患者胆道感染控制后,行一期经皮经肝胆道造瘘胆道镜取石术(percutaneous transhepatic cholangioscopic lithotripsy with one-step biliary fistulation,PTCSL-OBF),手术经过:Ⅰ期超声引导下经皮肝穿刺胆道造瘘,使用硬质胆道镜取尽S8段胆管结石及胆总管结石,并置入14F猪尾巴管引流。
(3)术后治疗
1)抗生素(头孢哌酮舒巴坦3g静脉滴注 每12小时一次)。
2)营养支持(葡萄糖、高BCAA含量的氨基酸)。
(4)术后1周后出现反复发热:体温及血常规情况(图3、图4)。

图3 患者体温情况

图4 患者血常规情况
进一步排查患者发热原因:
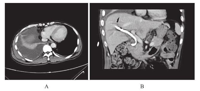
1)胸腹部增强CT:双侧胸腔积液伴两肺膨胀不全,右侧为著。经皮胆道镜碎石取石术后改变,胆管外引流管在位(图5)。

图5 腹部CT:胆管外引流管在位;胸部CT:右侧大量胸腔积液伴右肺不张
2)T管造影:肝内外胆管未见明显充盈缺损,胆总管下段通畅(图6)。

图6 T管造影
3)胸部超声提示:右侧大量胸腔积液,包裹性积液伴分隔。
(5)患者术后发热考虑右侧大量胸腔积液所致,遂分别于术后12天及14天,两次行超声引导下右侧胸腔穿刺置管引流术,引流出淡褐色清亮液体,考虑含少许胆汁及陈旧性血液。
两次超声引导下胸腔穿刺引流效果不佳,于术后16天行胸腔镜胸腔引流术:右侧胸腔大量纤维素样渗出、多分隔的浓稠的淡黄色胶冻样积液或混有淡红血性液体,肺与胸壁间粘连,肺表面覆盖包裹纤维膜(图7)。手术清理剥除纤维膜和积液、分离粘连,大量稀碘伏水及生理盐水、奥硝唑冲洗胸腔。置胸管3根从切口处及取腋后线第9肋间引出胸壁。

图7 胸腔镜手术探查
术后胸腔引流液培养回报:铜绿假单胞菌,敏感药物:亚胺培南、美洛培南、阿米卡星、环丙沙星、左氧氟沙星。血培养:阴性。
(6)目前诊断
1)右侧胸腔感染。
2)经皮肝穿刺胆道引流术后。
(7)右侧胸腔感染考虑胆汁污染右侧胸腔所致,针对右侧胸腔感染治疗
1)保证右侧胸腔引流通畅,定期右侧胸腔冲洗。
2)针对胆汁培养中铜绿假单胞菌治疗,根据胆汁培养药敏,升级抗生素使用亚胺培南1.0g 静脉滴注 每8小时一次联合莫西沙星400mg 静脉滴注 每日一次抗感染治疗。
(8)治疗后评估
1)血常规基本恢复正常(图8)。

图8 术后血常规情况
2)胸部CT:右侧胸腔积液,较前明显好转;右侧少许感染(图9)。

图9 术后MRCP
3)复查MRCP肝内胆管无结石残留(图10)。

图10 术后胸部CT
指南节选及推荐
节选自急性胆道系统感染的诊断和治疗指南(2011版)、东京指南2018版(TG18)。
急性胆管炎的抗菌治疗。
所有怀疑急性胆管炎的患者应立即使用抗菌药物,进行胆汁培养和血液培养。社区获得性与院内获得性急性胆管炎的致病菌不同。前者的致病菌多为肠道需氧菌,如大肠埃希菌、克雷伯菌属、肠球菌。后者的致病菌则为各种耐药菌,如甲氧西林耐药的金黄色葡萄球菌、万古霉素耐药的肠球菌以及铜绿假单胞菌。胆汁细菌培养若为阳性,提示急性胆管炎病情严重、预后不佳。
在选择经验性治疗的抗菌药物时需综合考虑所选抗菌药物抗菌谱、急性胆管炎的严重程度、有无肝肾疾病、患者近期(1年内)使用抗菌药物史、当地致病菌及其耐药情况、抗菌药物在胆汁中的浓度。在明确致病菌后,应根据药敏试验结果选择合适的抗菌药物进行目标治疗,避免出现双重感染或细菌耐药而导致治疗失败。
轻度急性胆管炎常由单一的肠道致病菌,如大肠埃希菌感染所致,应使用单一抗菌药物治疗。首选第一代或二代头孢菌素(如头孢替安等)或氟喹诺酮类药物(如莫西沙星等)。由于目前肠道细菌普遍产生β-内酰胺酶,对青霉素类和头孢唑林耐药,推荐使用β-内酰胺类/ β-内酰胺酶抑制剂复合制剂,如哌拉西林他唑巴坦、头孢哌酮/舒巴坦、氨苄西林舒巴坦等。抗菌药物治疗2~3天后可停药。
中度、重度急性胆管炎常为多重耐药菌感染,首选含β-内酰胺酶抑制剂的复合制剂、第三代和四代头孢菌素、单环类药物,应静脉用药。如果首选药物无效,可改用碳青霉烯类药物,如美罗培南1.0~3.0g/d。亚胺培南/西司他丁1.5~3.0g/d。如果怀疑铜绿假单胞菌感染,推荐使用头孢哌酮/舒巴坦、哌拉西林他唑巴坦。中度、重度急性胆管炎抗菌治疗应至少持续5~7天,之后根据症状、体征以及体温、白细胞、C反应蛋白来确定停药时间。需要强调的是,不适当地使用或过度使用第三代和四代头孢菌素以及碳青霉烯类药物可导致耐药菌株出现。
病例总结
1.在肝胆管结石围手术期治疗中,术前应充分评估并控制胆道感染,必要时先穿刺引流。
2.经皮肝胆道镜取石术术后并发胸腔感染非常少见,形成原因考虑在手术胆管穿刺过程中为精确穿刺至目标胆管,穿刺路径经过胸腔,使得少许胆汁经窦道至胸腔导致形成感染。
3.Ⅰ期经皮肝穿刺胆道镜取石术中,Ⅰ期穿刺扩张的胆管窦道,并非十分牢固,在手术过程中,伴有胆汁的冲洗液经过窦道可能外渗至腹腔及胸腔,所以在术后短期内应尽早使用超声或CT等影像学检查排除有无胸腔及腹腔积液,早期穿刺置管,充分引流,防止后期出现脓肿分隔。
4.经皮肝胆道镜取石术后出现的腹腔及胸腔感染,治疗上应尽早将胆汁培养,依据胆汁培养结果及药敏试验选择合适敏感的抗生素。
析评
经皮经肝穿刺胆道镜取石术(percutaneous transhepatic cholangioscopic lithotripsy,PTCSL)始于20世纪70年代的日本,是治疗肝胆管结石病的重要微创方法。与开腹手术和腹腔镜手术比较,PTCSL具有创伤小、出血量少、并发症少、便于重复施行等优势。因此,该技术尤其适用于多次胆道手术后的复杂胆道结石及常规内镜方法取石困难的患者。传统的PTCSL取石需要多次扩张窦道,取石周期长,且容易引起出血、胆汁漏及胆道感染等并发症。因此,目前我中心使用一期经皮经肝胆道造瘘胆道镜取石术(percutaneous transhepatic cholangioscopic lithotripsy with one-step biliary fistulation,PTCSL-OBF)治疗肝胆管结石。
PTCSL术后胸腔积液、腹腔积液通常易于发现和处理,与胆汁渗漏或取石过程中冲洗液流入有关;所以PTCSL术后胸腔及腹腔感染往往与胆道感染菌群一致。PTCSL围手术期发生感染甚至于感染性休克与胆道压力过高、手术时间过长、隐匿的细菌入血有关,通常表现为术中发热、低血压。术中发生感染性休克应立即终止手术,予以放置引流管、抗感染、抗休克等对症治疗。感染性休克的预防措施包括:①胆管炎急性期禁行PTCSL。②使用带负压吸引功能的“Y”形鞘管,可避免胆道压力过高。③控制取石时间≤3小时。
本例患者出现胸腔感染后多次胸腔穿刺治疗效果欠佳,后行胸腔镜胸腔引流术后治愈,所以在PTCSL围手术期仍应当注意:①术前如有胆管炎的患者,术前需积极抗感染治疗,感染较重的患者保守治疗无效的,先引流,感染控制后考虑取石。②严格控制手术时间及胆管冲洗压力。③术后常规胆汁培养;抗感染治疗需依据培养结果,无培养情况下经验性使用三代头孢类,严重者可考虑联合喹诺酮类,甚至升级至碳青霉烯类,同时需防治二重感染。④术后常规复查胸部超声,如有胸腔积液,及早穿刺引流。
点评
复杂肝胆管结石是肝胆管结石的一大难题,遵循“去除病灶、取尽结石、矫正狭窄、通畅引流、防治复发”的20字方针,外科治疗方法主要包括胆管切开取石术、肝部分切除术、肝门部胆管狭窄修复重建术和肝移植术。随着微创技术的发展,一期经皮经肝胆管造瘘胆道镜取石术也逐渐运用于临床,它克服了腹腔粘连以及再次手术解剖肝门部而发生的并发症,尤其适用于胆管残留结石的再手术、既往有胆道手术史的复杂肝内外胆管结石、合并门静脉高压及门静脉海绵样变患者的治疗。超声引导下的目标胆管的选择,穿刺入路的规划是一期经皮经肝胆管造瘘胆道镜取石术的实施环节,也是手术安全的技术保障,因此穿刺前应通过CT/MRI等影像资料,将肝实质、肝内外胆管结石、肝内血管进行数字三维重建,预先制订手术方案,设计规划穿刺入路和通道。
该肝胆管结石的患者做了一期经皮经肝胆管造瘘胆道镜取石术后出现胸腔感染,考虑在胆管穿刺过程中为到达目标胆管,穿刺路径经过胸腔所致,做了胸腔镜胸腔引流术以及抗感染治疗以后,患者最终的结局还是比较好的。从这个患者的诊治过程可以总结一些经验,首先治疗理念上一期经皮经肝胆管造瘘胆道镜取石术未完全解决胆道狭窄的问题,有可能会增加后期结石复发以及胆管恶变的概率;其次为预防肝胆管结石患者术后胸、腹腔及切口感染等,尽量不在胆管炎急性期或感染未完全控制时行手术治疗;术前详细的术前规划显得尤为重要;控制感染仍需强调感染病灶通畅引流,并积极行各类标本的细菌培养,根据药敏结果合理使用抗生素,包括必要的影像学检查等。
参考文献
[1]TAKADA TSS, NAKAMURA K. Percutaneous Transhepatic Cholangioscopy as a New Approach to the Diagnosis of Biliary Disease [J]. Gastroenterol Endosc, 1974, 16: 106-111.
[2]马信奎,刘勇,张伟.经皮经肝胆道镜硬镜碎石术治疗肝内胆管结石患者临床疗效研究[J].实用肝脏病杂志,2019,22(4):593-596.
[3]张建,李晓辉,卢智略,等.经皮肝胆道造瘘硬性胆道镜一步法碎石取石与传统腹腔镜治疗肝内胆管结石疗效比较[J].海南医学,2016,27(21):3496-3498.
[4]王平,陈小伍,叶琛,等.经皮胆道硬镜在治疗肝胆管结石近期、远期疗效的研究[J].实用医学杂志,2014,30(22):3579-3582.
[5]CHOI JH, LEE SK. Percutaneous transhepatic cholangioscopy: does its role still exist?[J]. Clin Endosc, 2013, 46(5): 529-536.
[6]JENG KS, SHEEN IS, YANG FS. The benefits of a second transhepatic route in failed percutaneous management of difficult intrahepatic biliary strictures with recurrent hepatolithiasis[J]. Surg Laparosc Endosc Percutan Tech,2001, 11(3): 170-175.
[7]KIM JH, LEE SK, KIMm MH, et al. Percutaneous transhepatic cholangioscopic treatment of patients with benign bilio-enteric anastomotic strictures[J]. Gastrointest Endosc, 2003, 58(5): 733-738.
[8]CANNAVALE A, BEZZI M, Cereatti F, et al. Combined radiologicalendoscopic management of difficult bile duct stones: 18-year single center experience[J]. Therap Adv Gastroenterol, 2015, 8(6): 340-351.
[9]LEE JH, KIM HW, KANG DH, et al. Usefulness of percutaneous transhepatic cholangioscopic lithotomy for removal of difficult common bile duct stones[J]. Clin Endosc, 2013, 46(1): 65-70.
[10]TRIKUDANATHAN G, SINGH D, SHRESTHA P, et al. Percutaneous transhepatic cholangioscopy with intraductal electrohydraulic lithotripsy for management of choledocholithiasis in an inaccessible papilla[J].VideoGIE, 2017, 2(6): 152-154.
[11]张宇华.急性胆道感染《东京指南(2018)》拔萃[J].中国实用外科杂志,2018,38(7):767-774.
[12]吴琛,游伟,张龙,等.Ⅰ期经皮经肝胆道造瘘胆道镜取石术治疗肝胆管结石病的临床疗效[J].中华消化外科杂志,2020,19(8):843-848.
[13]朱灿华,王平,孙北望,等.超声引导经皮肝Ⅰ期胆道造瘘联合硬质胆道镜治疗复杂肝胆管结石[J].中华肝胆外科杂志,2020,26(2):103-107.
[14]中华医学会外科学分会胆道外科学组.急性胆道系统感染的诊断和治疗指南(2011版)[J].中华消化外科杂志,2011,10(1):9-13.
知识来源
人卫知识数字服务体系
- 评价此内容
- 我要打分
近期推荐
热门关键词
最新会议
- 2013循证医学和实效研究方法学研讨会
- 欧洲心脏病学会年会
- 世界帕金森病和相关疾病2013年会议
- 英国介入放射学学会2013年第25届年会
- 美国血液学会2013年年会
- 美国癫痫学会2013年第67届年会
- 肥胖学会 2013年年会
- 2013年第9届欧洲抗体会议
- 国际精神病学协会 2013年会议
- 妇科肿瘤2013年第18届大会
- 国际创伤压力研究学会2013年第29届…
- 2013年第4届亚太地区骨质疏松症会议
- 皮肤病协会国际2013年会议
- 世界糖尿病2013年大会
- 2013年国际成瘾性药年会
- 彭晓霞---诊断试验的Meta分析
- 武姗姗---累积Meta分析和TSA分析
- 孙凤---Network Meta分析
- 杨智荣---Cochrane综述实战经验分享
- 杨祖耀---疾病频率资料的Meta分析
合作伙伴
Copyright g-medon.com All Rights Reserved 环球医学资讯 未经授权请勿转载!
网络实名:环球医学:京ICP备08004413号-2
关于我们|
我们的服务|版权及责任声明|联系我们
互联网药品信息服务资格证书(京)-经营性-2017-0027
互联网医疗保健信息服务复核同意书 京卫计网审[2015]第0344号




会员登录

