一例双侧颈部及纵隔淋巴结转移的甲状腺髓样癌诊疗经验分享
46岁男性,3年前体检发现甲状腺肿物,未行诊治;1个月前在当地综合医院超声检查提示:甲状腺右叶实性结节伴沙砾样钙化,右下颈部可疑淋巴结肿大;2周前超声检查提示甲状腺右叶低回声病变,性质待定。如何处理?
【病例简介】
患者男性,46岁。因甲状腺肿物3年余于2017年5月15日收住院治疗。3年前患者体检发现甲状腺肿物,未行诊治;1个月前在当地综合医院超声检查提示:甲状腺右叶实性结节伴沙砾样钙化,右下颈部可疑淋巴结肿大;2周前到河南省肿瘤医院,超声检查提示甲状腺右叶低回声病变,性质待定。双颈可见淋巴结肿大,超声引导下穿刺:右甲状腺下极结节考虑为癌,右甲状腺上极结节考虑为癌,右颈淋巴结考虑癌转移。CEA 148.90ng/ml,降钙素>2000pg/ml。为进一步诊治2017年5月11日来本院,门诊超声提示甲状腺右叶肿物,考虑恶性;甲状腺左叶结节,考虑良性;右颈淋巴结探及;甲状腺功能:血清降钙素2647.00pg/ml。颈胸部CT:甲状腺右叶低密度结节,边界欠清楚,右侧气管壁受压,管腔受压略左移。即于2017年5月15日收住院手术治疗。患者发病以来,无声嘶、吞咽不适、呛咳、憋气等症状。
既往史:2010年曾行肠息肉内镜手术。否认结核、肝炎等传染病史。否认高血压、心脏病及糖尿病病史。否认药物、食物过敏史。
【影像学及实验室检查】
1.2017年5月12日颈部超声
甲状腺右叶肿物,大小约4.2cm×2.0cm,边界欠清楚,形态不规则,CDFI可见血流信号(图1、图2)。左叶低回声结节,大小约0.3cm。右侧气管旁,中下颈及锁骨上多个低回声结节,较大者约1.1cm×0.6cm。余双颈未见肿大淋巴结。

图1 颈部超声示甲状腺右叶肿物

图2 颈部超声示甲状腺右叶肿物CDFI可见血流信号
超声诊断:
甲状腺右叶肿物,考虑恶性;甲状腺左叶结节,考虑良性;右颈淋巴结探及。
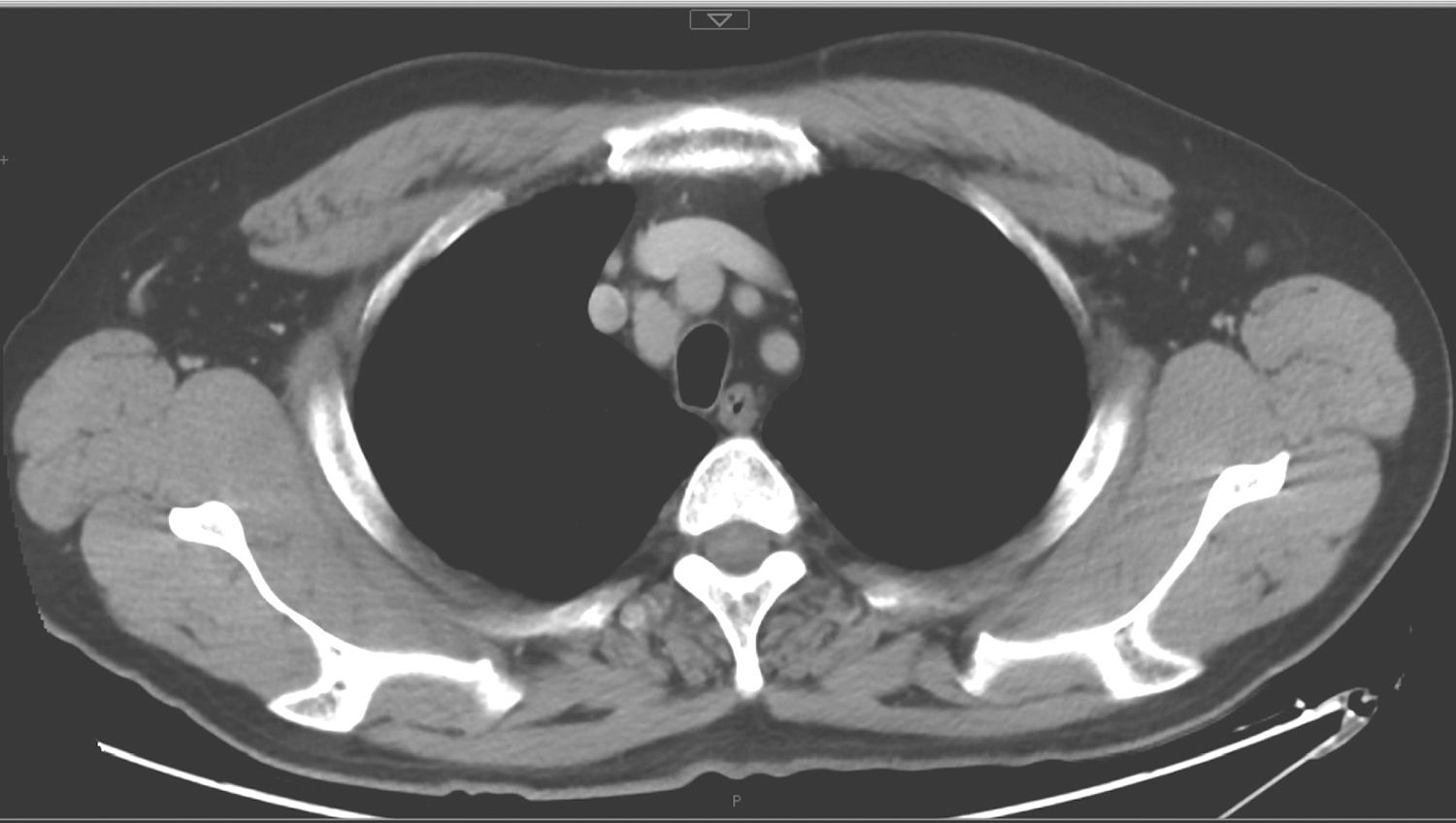
2.2017年5月15日颈胸部CT
甲状腺右叶低密度结节,约3.2cm×2.2cm,边界欠清楚,右侧气管壁受压,管腔受压略左移(图3);右侧气管食管沟、双侧锁骨上区及上纵隔多发淋巴结影,大者短径约1.5cm(图4);双下肺条索影,余双肺及纵隔未见明确结节或实变;双侧肺门未见明确肿大淋巴结;双侧胸腔、心包未见积液。

图3 颈部CT示甲状腺右叶低密度结节致气管壁受压左移

图4 胸部CT示上纵隔多发淋巴结影
影像学诊断:
(1)甲状腺右叶低密度结节,考虑为恶性,请结合超声观察。
(2)右气管食管沟、双侧锁骨上区及上纵隔多发淋巴结影,需警惕转移。
(3)双下肺条索影,建议随诊。
3.2017年5月12日实验室检查
血清降钙素(CAL)2647pg/ml,癌胚抗原(CEA)160.80ng/ml。
【入院诊断】
甲状腺髓样癌,双颈纵隔淋巴结转移。
【治疗经过】
2017年5月17日在全麻下行甲状腺全切除,双颈淋巴结清扫(右Ⅱ~Ⅵ区,左Ⅲ、Ⅳ、Ⅵ区),胸骨劈开上纵隔淋巴结清扫术。
手术过程:
经口腔插管给予全麻,麻醉成功后,常规术区消毒铺巾,取颈前领式切口,先行甲状腺左叶及左Ⅵ区淋巴结清扫,术中送冰冻病理检查,而后行右颈Ⅱ~Ⅴ区淋巴结清扫、甲状腺右叶及峡部切除和右Ⅵ淋巴结清扫,依据术中左Ⅵ区淋巴结冰冻病理检查报告淋巴结转移癌,行左颈Ⅲ、Ⅳ区淋巴结清扫。术中探查见甲状腺腺叶内多发结节,大者于右叶中下直径3.0cm,质硬,与右Ⅵ区肿大淋巴结融合,侵及周围带状肌,右Ⅵ区多发肿大淋巴结,融合,质硬,包绕喉返神经。左侧Ⅵ区多发直径0.5cm肿大淋巴结,质硬;颈部手术完毕后,取第2肋间L形胸骨劈开,上纵隔淋巴结清扫,术中见右上纵隔无名静脉深面多发淋巴结肿大并融合,直径2.0cm左右。冲洗术野,创面彻底止血,放置引流管,关闭胸腔,逐层缝合切口,患者清醒后拔除气管插管,安返病房。
【术后处理】
1.密切观察生命体征的变化。
2.密切观察引流的量和颜色。
3.静脉补充钙剂,避免发生低钙症状。
4. 2017年5月18日实验室检查:甲状旁腺素(PTH)45.47pg/ml,癌胚抗原(CEA)137.70ng/ml,血清降钙素(CAL)126.50pg/ml。
【术后病理】
(甲状腺右叶)甲状腺癌,结合免疫组化结果符合髓样癌。肿瘤最大径4cm,累及甲状腺被膜外纤维脂肪组织,可见脉管瘤栓,周围甲状腺呈结节性甲状腺肿改变。
(甲状腺左叶)结节性甲状腺肿。
(右上纵隔肿物)纤维脂肪及神经组织,未见癌累及。
淋巴结转移性癌(24/88),部分累及淋巴结被膜外。
(左颈Ⅵ区淋巴结1)1/1
(左颈Ⅵ区淋巴结2)1/1
(1)(左气管食管沟淋巴结)2/2
(2)(右颈Ⅱ区淋巴结)1/18
(3)(右颈Ⅲ区淋巴结)5/11
(4)(右颈Ⅳ区淋巴结)6/9
(5)(右颈Ⅴ区淋巴结)0/5
(6)(右气管食管沟淋巴结)5/5
(7)(左颈Ⅲ区淋巴结)1/21
(8)(左颈Ⅳ区淋巴结)0/8
(9)(左颈Ⅴ区淋巴结)0/1
(10)(右颈前肌肉)0,肌肉组织
(11)(上纵隔淋巴结清扫)2/6
免疫组化结果显示:
TTF1(+++),TG(+),CT(+++),ChrA(+++),Syno(+++),CD56(+++),AE1/AE3(+++),CK19(+++),CEA(+++),Ki-67(+<5%)。
pTNM:
pT3N1b(请结合临床)。
【术后随诊】
1.2017年6月26日实验室检查
促甲状腺激素(TSH)6.71μIU/ml,癌胚抗原(CEA)14.33ng/ml,血清降钙素(CAL)125.40pg/ml。
2.2017年9月13日实验室检查
促甲状腺激素(TSH)0.04μIU/m;癌胚抗原(CEA)4.38ng/ml;血清降钙素(CAL)94.50pg/ml。
3.2018年1月23日术后8个月门诊复查
颈部超声:甲状腺区术后改变,未见复发和转移。实验室检查:促甲状腺激素(TSH)0.06μIU/ml,癌胚抗原(CEA)5.04ng/ml,血清降钙素(CAL)125.20pg/ml。
【专家点评】
甲状腺髓样癌起源于甲状腺滤泡旁细胞(C细胞),是甲状腺癌病理类型中的一类,约占甲状腺癌的2%,由于近年来甲状腺乳头状癌相对发病率明显升高,甲状腺髓样癌的百分比低于之前报道的3%~5%。其发病、诊断和治疗都独具特点,其预后介于分化型甲状腺癌和未分化癌之间。
甲状腺髓样癌可分为散发性和遗传性两大类。临床表现为单侧或双侧甲状腺肿物;肿瘤侵犯喉返神经时可出现声音嘶哑;肿瘤较大,压迫气管、食管时可出现呼吸不畅或吞咽困难;部分病人可出现面部潮红、心悸、腹泻、消瘦等类癌综合征;淋巴结转移多见,且较早出现,转移率高,约10%出现双颈淋巴结转移,初诊时颈淋巴结转移率可高达70%,其中1/4患者以此为首诊症状。手术切除是治疗甲状腺髓样癌首选的根治方法。
降钙素是由C细胞合成分泌的,是髓样癌特异性的肿瘤标志物,降钙素是起源于滤泡旁细胞的甲状腺髓样癌的诊断、判断手术疗效和术后随诊的重要指标。但其他恶性肿瘤,如燕麦细胞癌、肺癌、胰腺癌、子宫癌、前列腺癌等;某些异位内分泌综合征、严重骨病、肾脏疾病、嗜铬细胞瘤、自身免疫性甲状腺疾病、高胃泌素血症等,降钙素也会升高。降钙素是甲状腺髓样癌敏感而特异性的指标,但临床上也发现部分甲状腺髓样癌患者降钙素水平不高,这部分患者不能用降钙素来诊断及评价手术效果和作为术后随诊指标。降钙素术后1周左右降至稳定水平,故可将此时降钙素水平作为一个监测点。术前降钙素水平增高经手术治疗的甲状腺髓样癌患者术后1个月时血清降钙素水平降至正常,说明肿瘤彻底切除,降钙素仍高于正常的患者多有肿瘤残留。术后随访甲状腺髓样癌患者若发现降钙素持续增高,提示肿瘤残留复发或有远处转移。
癌胚抗原(CEA)是大肠癌组织产生的一种糖蛋白,最初发现于结肠癌和胎儿肠组织中,CEA升高常见于大肠癌、胰腺癌、胃癌、乳腺癌、甲状腺髓样癌等。但吸烟、妊娠期和心血管疾病、糖尿病、非特异性结肠炎等疾病也会升高,所以CEA不是恶性肿瘤的特异性标志,在诊断上只有辅助价值。超过50%的甲状腺髓样癌存在血清CEA的高表达,表达水平与降钙素具有同步性。甲状腺髓样癌患者检测到的血清CEA增高一般不会像消化道肿瘤那样明显,CEA升高更容易发生在肿瘤分化比较差的患者中,如果甲状腺髓样癌患者的降钙素水平稳定而CEA持续升高往往说明肿瘤去分化,是预后不佳的标志。由于血清CEA半衰期较降钙素长,约为2~8天,因此甲状腺髓样癌术后血清CEA恢复正常的时间将更长。如肿瘤切除彻底,降钙素及CEA一般在术后3个月全部恢复正常,但血清CEA下降的过程较降钙素滞后。因此动态检测降钙素和癌胚抗原对于判断手术效果和肿瘤复发具有重要意义。
该例患者术前结合影像检查、穿刺细胞学检查及实验室检查,诊断甲状腺髓样癌右颈及上纵隔淋巴结转移是成立的。目前对甲状腺髓样癌的治疗主要是手术。2015年3月美国甲状腺协会(ATA)公布了甲状腺髓样癌的管理指南修订版,指南推荐对甲状腺髓样癌建议全甲状腺切除,中央区淋巴结清扫;术前影像检查侧颈淋巴结转移,应行侧颈淋巴结清扫(Ⅱ~Ⅴ区);术前影像检查侧颈淋巴结无转移,可依据血清降钙素的水平考虑侧颈淋巴结清扫(Ⅱ~Ⅴ区);术前影像检查同侧颈淋巴结转移,对侧颈淋巴结无转移,如果血清降钙素超过200pg/ml,应考虑对侧颈淋巴结清扫(Ⅱ~Ⅴ区);而2018年NCCN第1版甲状腺癌指南,对甲状腺髓样癌推荐甲状腺全切除;单侧病变、肿瘤直径小于1cm,建议清扫同侧颈Ⅵ区淋巴结,其余均建议清扫双侧颈Ⅵ区淋巴结;对临床或影像明确侧颈转移的患者,建议同侧或双侧治疗性颈淋巴结清扫(Ⅱ~Ⅴ区),而对中央区广泛转移cN0患者,可考虑同侧预防性颈淋巴结清扫;术后一般不推荐辅助性放射治疗,除非手术无法切除的患者,可考虑放射治疗。由此看来,甲状腺髓样癌的手术相比分化型甲状腺癌的手术更加积极。该例患者术前尽管超声和CT检查结果病变范围不一致,我们仍然完成双侧颈淋巴结清扫,基本符合2017年NCCN第二版甲状腺癌指南,术中肿瘤切除彻底,未见明确肿瘤残存;术后第1天血清降钙素明显降低到126.50pg/ml,术后1个月复查血清降钙素,降低不明显,为125.40pg/ml;结合术后病理报告:(甲状腺右叶)甲状腺癌,结合免疫组化结果符合髓样癌,肿瘤最大径4cm,累及甲状腺被膜外纤维脂肪组织,可见脉管瘤栓,不能排除潜在微小病灶存在的可能,建议靶向药物(凡德他尼)治疗。该指南对手术无法切除或远处转移的病灶,推荐凡德他尼(Vandetanib)或卡博替尼或临床试验或其他小分子激酶抑制剂。凡德他尼作为甲状腺髓样癌的靶向治疗的首选药物,在美国已获得FDA批准。
为探讨甲状腺髓样癌初治合理的手术术式,中国医学科学院肿瘤医院曾回顾性分析73例甲状腺髓样癌初治病例资料,结果显示多灶性甲状腺髓样癌占26.0%(19/73),全组颈淋巴结转移率为58.9%(43/73),其中中央区淋巴结转移率52.1%(38/73),同侧颈淋巴结转移率53.4%(39/73),双侧颈转移率11.0%(8/73),临床N0颈淋巴结隐匿性转移率为18.9%(7/37)。多因素logistic回归分析显示,中央区淋巴结转移是该侧颈淋巴结转移的独立危险因素,原发灶T4是对侧颈淋巴结转移的独立危险因素。因此,我们建议甲状腺髓样癌手术应常规行患侧中央区清扫,并包含上纵隔区域;术中证实有中央区淋巴结转移的病例,建议行该侧颈清扫术;T4病例建议行全甲状腺切除+中央区+双颈清扫术。
目前,对甲状腺髓样癌手术方式的选择,国内缺乏相应指南,基本上参考分化型甲状腺癌的手术处理原则。
知识来源
人卫知识数字服务体系
- 评价此内容
- 我要打分
近期推荐
热门关键词
最新会议
- 2013循证医学和实效研究方法学研讨会
- 欧洲心脏病学会年会
- 世界帕金森病和相关疾病2013年会议
- 英国介入放射学学会2013年第25届年会
- 美国血液学会2013年年会
- 美国癫痫学会2013年第67届年会
- 肥胖学会 2013年年会
- 2013年第9届欧洲抗体会议
- 国际精神病学协会 2013年会议
- 妇科肿瘤2013年第18届大会
- 国际创伤压力研究学会2013年第29届…
- 2013年第4届亚太地区骨质疏松症会议
- 皮肤病协会国际2013年会议
- 世界糖尿病2013年大会
- 2013年国际成瘾性药年会
- 彭晓霞---诊断试验的Meta分析
- 武姗姗---累积Meta分析和TSA分析
- 孙凤---Network Meta分析
- 杨智荣---Cochrane综述实战经验分享
- 杨祖耀---疾病频率资料的Meta分析
合作伙伴
Copyright g-medon.com All Rights Reserved 环球医学资讯 未经授权请勿转载!
网络实名:环球医学:京ICP备08004413号-2
关于我们|
我们的服务|版权及责任声明|联系我们
互联网药品信息服务资格证书(京)-经营性-2017-0027
互联网医疗保健信息服务复核同意书 京卫计网审[2015]第0344号




会员登录

