MPGN型C3肾小球肾炎一例诊治经验分享
20岁男性,发现蛋白尿4个月,如何诊治?
男性,20岁。
主诉
发现蛋白尿4个月。
现病史
4个月前患者体检发现 BP 140/100mmHg,尿蛋白(++++),尿蛋白定量 5g/24h,尿沉渣(-);ALB 35.21g/L,SCr 74μmol/L;外院予福辛普利、美托洛尔,行肾穿刺活检未成功。3个月余前加用泼尼松60mg/d,并逐渐减量,尿蛋白1.49~2.16g/24h。为进一步诊治入院。发病来,患者无发热、皮疹或关节肿痛,体重增加13kg。
既往史
无特殊。
入院查体
血压140/80mmHg,脉搏90次/分,一般情况好,心肺腹查体未见明显异常,双下肢不肿。
辅助检查
尿蛋白(+),定量 1.32g/24h;RBC 0~3/HP,WBC 偶见/HP;ALB 38.4g/L,SCr 69μmol/L;CCr 176.45ml/min。
血常规:WBC 11.52×109/L,Hb 149g/L,PLT 220×109/L。
乙肝五项:抗-HBs(+),余均阴性。抗HCV抗体和抗HIV抗体均(-)。IgG 4.08g/L↓,IgA 和 IgM 正常,C3 0.5g/L↓,C4 0.18g/L;CRP<1.00mg/L,RF<20.0U/ml;冷球蛋白(-);ANA、抗ds-DNA抗体及ENA谱均阴性;血、尿免疫固定电泳未见单克隆区带。
胸片和超声心动图未见异常。双肾B超:双肾大小正常,实质回声稍强。
初步诊断
慢性肾炎综合征 慢性肾脏病1期 肾性高血压
诊断思路和临床诊治经过
患者青年男性,临床主要表现为大量蛋白尿,无血尿,肾功能正常,经糖皮质激素治疗后尿蛋白明显减少。结合患者临床表现及辅助检查,目前无继发性肾小球疾病证据,考虑为原发性肾小球疾病,需肾活检明确病理类型,并指导进一步治疗和判断患者预后。
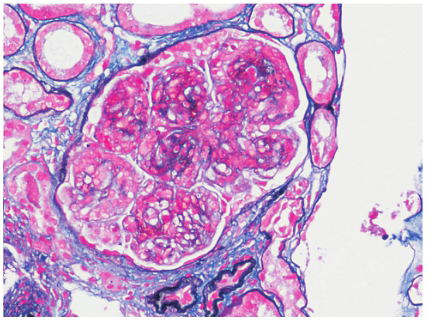
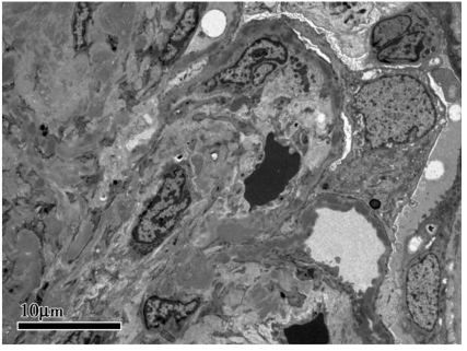
肾活检示免疫荧光:C3(+++),余阴性,系膜区、毛细血管壁颗粒样沉积(图1)。光镜下可见24个肾小球,肾小球系膜细胞和基质中重度弥漫增生,广泛插入,基底膜增厚,双轨征形成,系膜区、内皮下嗜复红蛋白沉积;肾小管上皮空泡及颗粒变性,灶状萎缩;肾间质灶状淋巴和单核细胞浸润伴纤维化;小动脉管壁增厚;符合膜增生性肾小球肾炎(MPGN)(图2)。电镜下肾小球系膜细胞和基质中度增生,广泛插入,基底膜增厚,上皮下、基底膜内、内皮下、系膜区均可见电子致密物沉积,上皮足突广泛融合(图3);符合MPGN。结合患者免疫荧光结果,最终诊断为C3肾小球肾炎。

图1 MPGN型C3肾小球肾炎:C3在肾小球系膜区、毛细血管壁团块状和颗粒状沉积(+++)。(荧光×200)

图2 MPGN型C3肾小球肾炎:肾小球系膜细胞增生和系膜基质增多,毛细血管壁增厚,双轨征形成(PASM+Masson×200)

图3 MPGN型C3肾小球肾炎:系膜区和内皮下电子致密物沉积,上皮细胞足突节段性融合(电镜×4 000)
进一步检测患者血清H因子浓度正常,抗H因子抗体阴性;I因子浓度正常。
入院后继续口服泼尼松50mg/d及福辛普利、美托洛尔治疗;肾活检后加用环磷酰胺50mg每日2次。对患者随访2年,尿蛋白渐阴性,血肌酐正常,血压控制良好。
最终诊断
C3肾小球肾炎 膜增生性肾小球肾炎 慢性肾脏病1期 肾性高血压
讨论
这是一病理表现为MPGN的C3肾小球肾炎的病例。
国际上有学者提出:C3肾小球病(C3 glomerulopathy)定义为肾小球C3沉积为主(C3c沉积较其他免疫分子≥++),而不论电子致密物的沉积部位。提出“C3肾小球病”这一疾病的意义在于其有共同的发病机制,均与补体旁路调节异常相关;同时,也提醒在临床中遇到肾小球C3沉积为主的患者,需寻找补体旁路途径调节异常的因素。C3肾小球病包括致密物沉积病(dense deposit disease,DDD)和C3肾小球肾炎(C3 glomerulonephritis,C3GN)。DDD特征表现为电镜下肾小球基底膜致密层见均质飘带状电子致密物沉积;除DDD外的C3肾小球病基本上都归为C3肾小球肾炎;C3肾小球肾炎的电子致密物可沉积在系膜区和/或内皮下,少数还伴上皮下、肾小球基底膜内电子致密物沉积。
C3GN临床表现差异大,可出现不同程度的蛋白尿、血尿和肾功能受损。Servais等报道36.5%~50%的患者在10年内发展至终末期肾病;而Sethi等报道其短期和长期预后均较好(随访4个月至23年,中位26.4个月),2例肾移植后100%在1~1.5年后复发。C3GN病理表现差异也很大,可以为MPGN、毛细血管内增生性肾小球肾炎、新月体性肾小球肾炎、系膜增生性肾小球肾炎或局灶增生/硬化性肾小球肾炎。
在部分C3肾小球肾炎患者中发现补体旁路调节蛋白如H因子、I因子、膜辅助因子(membrane cofactor protein,MCP)、CFHR5或C3基因突变,部分患者血清中还发现了C3肾炎因子(C3Nef)或抗H因子抗体阳性,提示C3GN发病与补体旁路途径调节异常有关。对该患者只进行了部分补体旁路调节蛋白检测,未发现异常;该患者是否存在其他补体旁路调节异常仍需要进一步研究(如H因子基因和功能检查、C3Nef等)。
C3肾小球病发病均与补体旁路调节相关。但同样是补体旁路调节异常,为何会形成不同的病理类型的具体机制不清,可能与不同的病理发病机制、特别是补体异常活化的阶段或异常因子等相关。也有作者提出病理表型可能与细胞表面补体旁路调节异常(MCP活性增强或减退)相关。
治疗上,目前尚无肯定的治疗方案,尚缺乏相关的系统性临床研究;回顾性研究发现,用ACEI和ARB可以改善预后,免疫抑制剂中吗替麦考酚酯可能改善预后。目前已有个案报道C5单抗对部分患者有效,尤其是有活动性病变者(蛋白尿/肾功能近期升高、尿C5b-9升高、肾脏病理新月体形成或毛细血管内增生)。
参考文献
1.FAKHOURI F, FREMEAUX-BACCHI V, NOEL L H, et al. C3 glomerulopathy: a new classification[J]. Nat Rev Nephrol, 2010, 6(8): 494-499.
2.SETHI S, NESTER C M, SMITH R J. Membranoproliferative glomerulonephritis and C3 glomerulopathy: resolving the confusion[J]. Kidney Int, 2012, 81(5): 434-441.
3.SERVAIS A, FREMEAUX-BACCHI V, LEQUINTREC M, et al. Primary glomerulonephritis with isolated C3 deposits: a new entity which shares common genetic risk factors with haemolytic uraemic syndrome[J]. J Med Genet, 2007, 44(3): 193-199.
4.SETHI S, FERVENZA F C, ZHANG Y, et al. C3 glomerulonephritis: clinicopathological findings, complement abnormalities, glomerular proteomic profile, treatment, and follow-up[J]. Kidney Int, 2012, 82(4): 465-473.
5.SERVAIS A, NOEL L H, ROUMENINA L T, et al. Acquired and genetic complement abnormalities play a critical role in dense deposit disease and other C3 glomerulopathies[J]. Kidney Int, 2012, 82(4): 454-464.
知识来源
人卫知识数字服务体系
- 评价此内容
- 我要打分
近期推荐
热门关键词
最新会议
- 2013循证医学和实效研究方法学研讨会
- 欧洲心脏病学会年会
- 世界帕金森病和相关疾病2013年会议
- 英国介入放射学学会2013年第25届年会
- 美国血液学会2013年年会
- 美国癫痫学会2013年第67届年会
- 肥胖学会 2013年年会
- 2013年第9届欧洲抗体会议
- 国际精神病学协会 2013年会议
- 妇科肿瘤2013年第18届大会
- 国际创伤压力研究学会2013年第29届…
- 2013年第4届亚太地区骨质疏松症会议
- 皮肤病协会国际2013年会议
- 世界糖尿病2013年大会
- 2013年国际成瘾性药年会
- 彭晓霞---诊断试验的Meta分析
- 武姗姗---累积Meta分析和TSA分析
- 孙凤---Network Meta分析
- 杨智荣---Cochrane综述实战经验分享
- 杨祖耀---疾病频率资料的Meta分析
合作伙伴
Copyright g-medon.com All Rights Reserved 环球医学资讯 未经授权请勿转载!
网络实名:环球医学:京ICP备08004413号-2
关于我们|
我们的服务|版权及责任声明|联系我们
互联网药品信息服务资格证书(京)-经营性-2017-0027
互联网医疗保健信息服务复核同意书 京卫计网审[2015]第0344号




会员登录

