一例高龄(>80岁)胃肠道间质瘤的诊治经验分享
胃肠道间质瘤(gastrointestinal stromal tumor,GIST)好发于中老年,其中高龄GIST患者的临床特征及治疗有一定特殊性,需要引起临床医师重视。由于高龄GIST患者普遍存在就诊延迟,临床确诊时往往症状已经明显,肿瘤分期偏晚;加之老年患者往往合并各类慢性病或器官功能不全,治疗更加困难。对于部分合并内脏功能显著不全的老年GIST患者,需要通过多学科诊疗团队(multidisciplinary team, MDT)来开展诊疗。
【病例摘要】
患者,男性,83岁,2016年5月11日因“反复黑便2个月伴头晕乏力”于当地医院就诊,胃镜诊断考虑GIST可能,收治入院拟行外科手术。术前冠状动脉CT造影提示冠脉粥样硬化,左前降支近段局限闭塞,右冠脉近段局部管腔重度狭窄,余管腔多发轻度狭窄,主诊医师考虑外科手术风险较大,暂不考虑手术治疗。2016年7月27日至笔者医院就诊并接受冠脉造影,提示冠心病,冠脉三支严重病变。因患者冠脉三支严重病变,合并有胃GIST伴慢性出血,经多学科讨论后决定同期手术,收治入院。
既往史及家族史
高血压史20余年,平素药物控制可。否认药物过敏史;父母已故,家族中无类似病史。
体格检查
生命体征平稳,贫血貌,皮肤黏膜无黄染。腹部平坦,未见胃肠型及蠕动波。腹软,无压痛反跳痛,未及腹部包块,无肌紧张;肠鸣音正常。
辅助检查
外院胃镜:胃小弯侧4.0cm×4.0cm占位病灶,凸向腔内,顶端溃疡,上覆污苔,黏膜脆,触之易出血。
镜下诊断:胃占位,GIST可能。
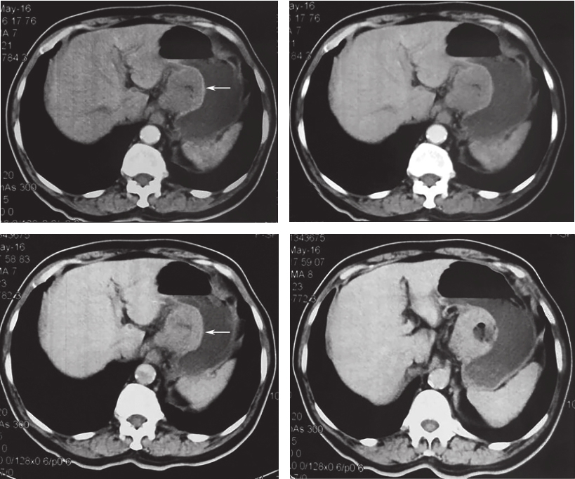
外院上下腹增强CT:胃小弯侧GIST可能(3.5cm×3.2cm),伴周围淋巴结肿大,胆囊结石,胆囊炎(图1)。

图1腹部CT见胃小弯软组织团块
外院心脏多普勒彩色超声:左心房增大,室间隔基底段增厚,二尖瓣及主动脉瓣钙化,左心室收缩功能正常,左心室舒张功能减退,左心射血分数为 63%。
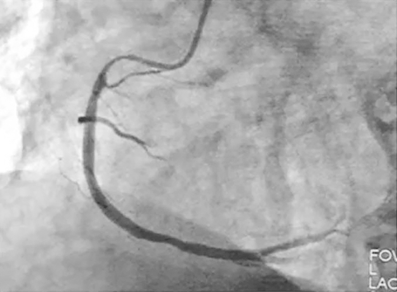
笔者单位冠脉造影:冠心病,冠脉三支严重病变,前降支中段第一对角支发出后闭塞,回旋支中段第一钝缘支发出后闭塞,右冠脉开口处狭窄95%(图2)。


图2冠脉造影显示冠脉三支严重病变
初步诊断
1.胃小弯占位性病变:GIST可能性大
2.冠状动脉粥样硬化多支病变
3.高血压3级 极高危
4.胆囊结石
【治疗过程】
(一)病例分析
患者为高龄男性,因消化道出血就诊。胃镜及影像学提示胃小弯侧GIST,手术指征明确。但患者一般情况较差,冠脉三支严重病变,手术风险巨大。多学科讨论认为患者合并消化道出血,如行冠脉支架置入术则术后抗凝治疗会加重消化道出血。胃肿瘤未见转移,评估可切除,考虑同期行冠脉搭桥及胃GIST切除术。因全身麻醉及手术风险大,围手术期需严密监护。
(二)治疗方案
于2016年8月15日在全麻下行不停跳冠状动脉旁路移植术。术见各冠脉病变同造影。主动脉钙化严重。手术常规操作,因左乳内动脉(left intramammary artery,LIMA)血流不佳,弃用。在易扣、分流栓、不停跳搭桥固定器辅助下,行冠状动脉旁路移植术。随后行胃GIST切除术,术中见肿瘤位于胃贲门下方小弯侧,直径4.5cm,表面伴溃疡出血。沿胃底大弯侧分离胃体,游离贲门左侧,于肿块周围断扎肝胃韧带,切开小弯侧胃壁浆膜,沿肿块包膜外完整切除肿块;以2-0可吸收线连续缝合胃壁黏膜,间断缝合浆肌层;手术顺利,术后抗感染、强心、扩冠脉和抗血小板等治疗(图3)。

图3肿瘤标本大体观
(三)术后病理及基因检测
病理诊断:胃GIST,大小4.0cm×3.0cm×2.5cm,核分裂象<2个/50HPF,按改良NIH危险度分级为:低危。
免疫组织化学染色:CD117(+/-),CD34(+),DOG-1(+),SMA(-),S-100(-),Ki-67(+/-),ALK(-),β-catenin(+)。
基因检测:c-KIT基因第11外显子突变,第555密码子杂合性突变,GTA>CCA,导致缬氨酸改变为脯氨酸,第556密码子杂合性突变,CAG>CAT,谷氨酰胺改变为组氨酸,第557~559密码子丢失,导致编码氨基酸色氨酸、赖氨酸和缬氨酸缺失。c-KIT基因第9、13、17及PDGFRA基因第12、18外显子均为野生型。
【预后】
患者于术后5天进食半流质饮食,术后12天拔管出院。病理证实为低危胃GIST,未进行伊马替尼辅助治疗。截至2018年12月中旬,门诊及电话随访,患者生活质量良好,未诉明显不适。
【经验与体会】
本病例中的高龄患者本已在外院收治,拟行外科手术,术前心脏彩超检查射血分数大于60%,并未显示明确的手术禁忌。但在麻醉科术前访视询问病史时,患者反映存在劳累后胸痛症状,故主诊医师暂停了手术,加做了CT冠脉造影,发现了冠状动脉严重病变,避免了贸然施以外科手术。如果在术前评估的环节中没有做到细致全面,后果可能不堪设想。
消化道恶性肿瘤及冠脉病变都是需要限期处理的情况,在上述两种病变合并存在时以何种病情作为优先处理对象要根据实际情况决定。冠脉多支病变随时有心源性猝死可能,应优先处理。GIST生物学行为相对惰性,如果本例患者并无肿瘤引起溃疡出血,可以考虑先行冠脉支架置入术,待心脏病情稳定后限期行胃肿瘤切除术。然而本例患者存在消化道出血,冠脉支架置入后需要进行的抗凝治疗会加重消化道出血,治疗上存在矛盾,也是本病例治疗上的难点所在。最后结果显示同期行冠脉搭桥手术及胃肿瘤切除术是本病例合理的治疗选择。
围绕本病例中高龄患者的诊疗方案,本院组织了前后两次多学科诊疗团队(MDT)讨论,第一次讨论后决定先行冠脉造影明确冠脉病变严重程度,第二次讨论根据冠脉造影结果决定同期手术并落实了具体的实施方案。胃肠外科、心内科、心外科、麻醉科、重症医学科、肿瘤科、消化科和临床营养科等相关科室全程参与了本病例的多学科协作诊疗。在整个治疗过程中,各学科多方无缝协作,为治疗展开缜密的围手术期准备工作,确保了治疗的成功。患者从MDT讨论中有机会获得最佳治疗选择,多位专家共同制订的治疗方案也有效降低了医疗风险。
本例GIST位于贲门下方小弯侧,直径4cm左右,最终选择的手术方案是先行冠脉搭桥手术,后行腹部手术。腹部手术为开腹胃肿瘤切除术(胃壁切开沿肿瘤包膜外完整切除)。术式选择时考虑到以下几点:①冠脉搭桥手术风险大于腹部手术,且是无菌手术,需要优先处理,且先行冠脉搭桥手术将手术过程中心血管意外的风险降到最低;②患者高龄,心肺功能不全,冠脉搭桥后,不考虑行腹腔镜手术;③选择最直接有效的开腹手术方式,避免手术时间过于延长,避免过大的手术创伤对患者的打击。
【专家点评】
GIST临床表现无特异性,老年患者就诊相对较晚,常合并呼吸系统疾病及循环系统疾病,手术风险相对较大。另外老年患者营养状况差,术后恢复慢,同时基础疾病也严重影响患者的恢复。老年患者术后生活质量低,依从性差,不能定期随访。因此针对老年GIST患者,应努力提高早期诊断率,术前明确诊断,充分评估患者手术风险,积极行多学科会诊以降低患者手术风险;术后给予合理规范的综合治疗,改善老年GIST患者的预后。
知识来源
人卫知识数字服务体系
- 评价此内容
- 我要打分
近期推荐
热门关键词
最新会议
- 2013循证医学和实效研究方法学研讨会
- 欧洲心脏病学会年会
- 世界帕金森病和相关疾病2013年会议
- 英国介入放射学学会2013年第25届年会
- 美国血液学会2013年年会
- 美国癫痫学会2013年第67届年会
- 肥胖学会 2013年年会
- 2013年第9届欧洲抗体会议
- 国际精神病学协会 2013年会议
- 妇科肿瘤2013年第18届大会
- 国际创伤压力研究学会2013年第29届…
- 2013年第4届亚太地区骨质疏松症会议
- 皮肤病协会国际2013年会议
- 世界糖尿病2013年大会
- 2013年国际成瘾性药年会
- 彭晓霞---诊断试验的Meta分析
- 武姗姗---累积Meta分析和TSA分析
- 孙凤---Network Meta分析
- 杨智荣---Cochrane综述实战经验分享
- 杨祖耀---疾病频率资料的Meta分析
合作伙伴
Copyright g-medon.com All Rights Reserved 环球医学资讯 未经授权请勿转载!
网络实名:环球医学:京ICP备08004413号-2
关于我们|
我们的服务|版权及责任声明|联系我们
互联网药品信息服务资格证书(京)-经营性-2017-0027
互联网医疗保健信息服务复核同意书 京卫计网审[2015]第0344号




会员登录

