-
伴有黄疸、血红蛋白尿的急性肾损伤1例
环球医学资讯
2017年03月31日
点击量:529
1小时条评论患者,男性,57岁,2009年2月17日入院。 主诉:发作性腹泻、酱油色尿、黄疸21月,尿量减少23天。 现病史:患者于2007年5月7日参加聚餐后出现腹泻,为稀水样便,当晚腹泻6次,当晚出现酱油色尿,为全程血尿,伴有巩膜黄染。查尿常规:蛋白++,潜血+++,红细胞8...
-
单纯超滤治疗慢性肾衰竭合并急性肾衰竭 疗效如何?
环球医学资讯
2017年03月23日
点击量:580
1小时条评论患者,女性,60岁,已婚,湖北人。于2008年10月5日入院。 主诉:双下肢水肿1年余,尿量减少1周。 现病史:患者1年前无明显诱因出现双下肢水肿,当时无颜面部水肿,无胸闷胸痛,无恶心呕吐,无明显尿量变化,间断门诊及住院治疗,症状间断好转。半年前在我科住院,...
-
膜性乙肝病毒相关肾炎1例
环球医学资讯
2017年03月15日
点击量:430
1小时条评论患者,男性,46岁。 主诉:尿中泡沫半年,下肢水肿1个月。 现病史:患者半年前无明显诱因出现尿中泡沫,持续不消失,夜尿1~2次,每日尿量较前无明显变化,无肉眼血尿,无水肿,无尿频尿急尿痛,未行诊治。1个月前发现双下肢水肿,为凹陷性水肿,伴轻度眼睑水肿,...
-
多发性骨髓瘤临床表现为肾病综合征
环球医学资讯
2017年03月09日
点击量:551
1小时条评论病例介绍 主诉 双下肢水肿、泡沫尿3个月余。 现病史 患者3个月前无明显诱因出现双下肢凹陷性水肿,尿中泡沫增多,且不易消散,无尿量减少、夜尿增多、血尿,无腰痛,无恶心、呕吐等症状。2天前出现双侧眼睑及颜面部水肿加重,于当地医院检查血浆白蛋白15g/L,尿蛋...
-
前列腺癌根治术后生化复发 如何诊断治疗?
环球医学资讯
2017年02月27日
点击量:3135
1小时条评论【病例资料】 患者男性,50岁。 现病史:于2004年6月体检发现前列腺结节,血清前列腺特异抗原(PSA):.20ng/ml,后在半年内多次复查PSA值,为2.41~5.95ng/ml。直肠指诊:右侧叶质硬结节。前列腺MRI:前列腺右侧外周带低信号区。胸片、骨扫描未见异常。2005年2月...
-
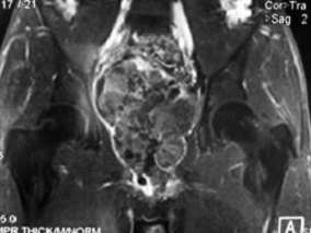
关于前列腺肉瘤 你想知道的都在这个病例中
环球医学资讯
2017年02月21日
点击量:463
1小时条评论【病例资料】 患者男性,19岁。 主诉:进行性排尿困难伴间断性全程肉眼血尿1个月余,排便困难2周。 现病史:患者1个月前无明显诱因出现排尿费力,尿线变细,伴尿痛,为耻骨后疼痛,自行口服抗生素,疗效不佳;25天前突然出现间断性全程肉眼血尿,伴尿痛,无尿急、...
-
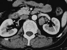
继发于甲状旁腺腺瘤的肾结石1例
环球医学资讯
2017年02月15日
点击量:300
1小时条评论【病例资料】 患者男性,50岁。 主诉:体检发现右肾结石1个月。 现病史:患者1个月前于当地医院体检时发现右肾结石,具体情况不详。患者无发热,无腰痛、腹痛,无肉眼血尿,无尿频、尿急、尿痛症状。当地医院诊断:右肾结石。患者接受体外冲击波碎石治疗两次,自...
-
面部变红2年,痤疮并血压高1年,皮肤变薄,更年期综…
环球医学资讯
2017年02月09日
点击量:335
1小时条评论【病例资料】 患者女性,44岁。 主诉:因面部变红2年,痤疮并发现血压高1年。 现病史:患者2年前开始发现面部发红伴肤色加深,无明显变圆,体重无明显增加。当地医院服中药治疗,效果不明显。1年前逐渐出现面部、腰背部痤疮,毛发增生较明显,同时出现间断头晕,...
-
膀胱肿瘤的表现 开腹后发现其并非元凶
环球医学资讯
2017年02月04日
点击量:616
1小时条评论【病例资料】 患者男性,36岁。 主诉:尿频、尿痛、血尿伴腹痛3个月。 现病史:患者于3个月前无明显诱因出现下腹部疼痛,呈阵发性疼痛,多在餐后发作,无放射痛。大便次数增多,3~4次/日,大便偶然带血,并出现血尿、尿痛、尿道排出少量气体。发热,寒战,体温最...
-
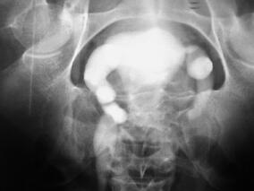
排尿困难伴双肾积水6年余 缘何诊治歧义?
环球医学资讯
2017年01月24日
点击量:623
1小时条评论【病例资料】 患者男性,27岁。 主诉:排尿困难伴双肾积水6年余。 现病史:6年前,患者因排尿困难伴左肾绞痛,于当地医院就诊,诊为:双肾输尿管积水;膀胱憩室;膀胱颈部梗阻。行膀胱憩室切除+左输尿管再植+膀胱颈部楔形切除术治疗,术后病理提示:左输尿管开口...










会员登录

