-
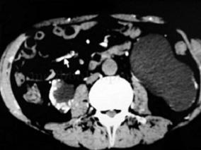
先天性巨输尿管症合并重复肾重复输尿管畸形1例
环球医学资讯
2017年01月19日
点击量:305
1小时条评论【病例资料】 患者男性,22岁。 主诉:发现腹部肿物1年余。 现病史:患者1年前发现腹围增大,似可触及肿物,未予诊治。近1年来,腹围增大渐加重。患者无腹痛、腹胀、恶心和呕吐,无便秘和腹泻等排便症状,也无尿频、尿急和排尿困难等排尿症状。1周前于我院行超声...
-
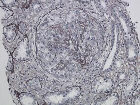
急性感染后肾小球肾炎1例
环球医学资讯
2017年01月13日
点击量:435
1小时条评论病例介绍 主诉 发热、咳嗽7天,血尿1天。 现病史 患者7天前受凉后出现发热,体温最高点在每日午后,最高体温为38.8℃,体温升高前有畏寒,伴咳嗽、咳少量白色黏痰,伴轻微头痛、咽痛,无鼻塞、流涕。自服清开灵颗粒每天3次、每次2 包(3g/包),服药后体温可下降...
-
从发病至确诊达5年之久,结节病所致肾损害的概率为…
环球医学资讯
2017年01月03日
点击量:355
1小时条评论患者,女性,57岁。 主诉:反复四肢肌肉酸痛伴乏力5年,夜尿增多1年。 现病史:患者5年前出现四肢肌肉酸痛,乏力,头昏,时轻时重,偶伴头痛,未引起重视。4年前偶测血压(BP)200/100mmHg,口服降压药,BP 控制在120/80mmHg 左右,期间感面色潮红,四肢乏力加重...
-
以溶血性贫血为首发表现的系统性红斑狼疮
环球医学资讯
2016年12月27日
点击量:3540
1小时条评论患者,女性,21岁,未婚。 第一次住院(2007年3月20日入院): 主诉:乏力、胸闷、腹痛4天。 现病史:患者4天前无明显诱因出现明显乏力、胸闷,伴左上腹痛,持续性隐痛,食欲差,无恶心、反酸,无腹胀、黑便,无胸痛、咳痰。曾到消化科就诊,予平胃舒等药物口服治...
-
面部红斑9年余,尿频尿急尿痛伴发热10天,是尿路感…
环球医学资讯
2016年12月22日
点击量:1086
1小时条评论患者,女性,40岁,汉族。 主诉:面部红斑9年余,尿频尿急尿痛伴发热10天。 现病史:患者约9年余前因面部红斑至外院就诊,经住院检查诊断为系统性红斑狼疮、狼疮性肾炎、心包积液,予应用泼尼松口服治疗,后激素服用不规则,中途自行停药。入院前3个月来反复出现发...
-
周身乏力3月,加重伴恶心10天,最终死亡,为何接连2…
环球医学资讯
2016年12月22日
点击量:597
1小时条评论患者,男性,63岁,山东青岛人。于2004年10月5日入院。 主诉:周身乏力3月,加重伴恶心10天。 现病史:患者3月前无明显诱因出现乏力,食欲缺乏,未予治疗,10天前出现乏力加重,伴恶心、呕吐,到某市人民医院查尿常规:蛋白++++,潜血+++;血常规:血红蛋白...
-
男35岁,肾移植后下肢皮肤溃疡1月余,移植肾失功还…
环球医学资讯
2016年12月09日
点击量:449
1小时条评论患者,男性,35岁,广东人。 主诉:反复乏力、食欲缺乏16年,下肢皮肤溃疡1月余。 现病史:患者于16年前开始出现反复乏力、食欲缺乏,于外院确诊慢性肾小球肾炎、慢性肾衰竭(尿毒症期),血液透析数次后于广州某医院行同种异体肾移植术,术后出现急性排斥反应给予...
-
男72岁,间断头晕、腹胀、憋喘10余天,发现肾功能下…
环球医学资讯
2016年12月09日
点击量:287
1小时条评论患者,女性,72岁,于2009‐9‐11 入院。 主诉:间断头晕、腹胀、憋喘10 余天,发现肾功能下降4天。 现病史:患者于2009年8月30日无诱因出现头晕、腹痛、腹胀,伴咳嗽、咳痰,痰为少量白色黏痰,憋喘,无多饮、多食、多尿等症状。在某市中医院诊断心衰给予对症处理...
-
男23岁,全程肉眼血尿2天,病情稳定出院6个月后复查…
环球医学资讯
2016年11月29日
点击量:3442
1小时条评论患者,男性,23岁,学生。 第一次住院(于2008年10月16日入院): 主诉:全程肉眼血尿2天。 现病史:患者两天前因打篮球跌伤后出现右侧腰部疼痛,呈轻度持续性钝痛,解全程肉眼血尿,无血块,无尿频尿急尿痛,无腹痛、腹胀,无胸闷、呼吸困难,无头昏、眼花,无发...
-
男18岁,突发抽搐伴神志恍惚2小时余
环球医学资讯
2016年11月29日
点击量:269
1小时条评论患者,男性,18岁,陕西人,于2009年8月14日17时收入神经内科。 主诉:突发抽搐伴神志恍惚2小时余。 现病史:患者于2小时前被人发现四肢剧烈抽搐,双眼上翻,神志恍惚,表情恐惧,无恶心、呕吐,无角弓反张,我院急诊查头颅CT 未见明显异常,血电解质示:钾离子3.5...










会员登录

