-
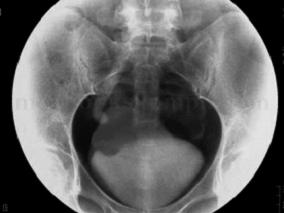
中年女性,发现多囊肾、肾功能异常4年余,发热2个月
环球医学资讯
2016年09月20日
点击量:381
1小时条评论患者,中年女性。 主诉:发现多囊肾、肾功能异常4年余,发热2个月。 现病史:患者于4年余前于我院检查肾功能异常(具体不详),测血压升高,CT 示多囊肾,在我院间断服中药治疗。近两年患者未复查肾功能,平时服用非洛地平控制血压,血压控制尚可。1年前因多囊肾囊...
-
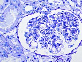
女6岁1个月,反复眼睑及双下肢水肿,发现镜下血尿3…
环球医学资讯
2016年08月25日
点击量:589
1小时条评论患者,女性,6岁1个月,汉族。 主诉:反复眼睑及双下肢水肿,发现镜下血尿3年10月。 现病史:患儿于3年10月前无明确诱因出现眼睑及双下肢水肿,水肿为对称性,伴尿量减少,于当地医院就诊,查尿蛋白+++,潜血++,血清白蛋白22g/L,诊断为肾病综合征。予口服...
-
男70岁,咳嗽、气喘、少尿1周
环球医学资讯
2016年08月25日
点击量:460
1小时条评论患者,男,70岁,安徽人。 第一次住院:2006年2月14日。 主诉:咳嗽、气喘、少尿1周。 现病史:1周前受凉后出现咳嗽,伴胸闷、气喘,于当地县医院就诊,诊断为慢性支气管炎急性发作。予头孢哌酮、氨茶碱等药物治疗,症状无好转,并出现双下肢水肿、少尿,轻度恶心...
-
女20岁,间断无痛全程肉眼血尿3个月余,加重1个月伴…
环球医学资讯
2016年08月17日
点击量:707
1小时条评论【病例资料】 患者女性,20岁。 主诉:间断无痛全程肉眼血尿3个月余,加重1个月伴心悸、乏力。 现病史:患者近3个月余出现间断无痛全程肉眼血尿,近1个月加重,并出现心悸、乏力。入院前外院以肾盂肾炎治疗无效,曾行膀胱镜检查诊断膀胱海绵状血管瘤,予以膀胱冲...
-
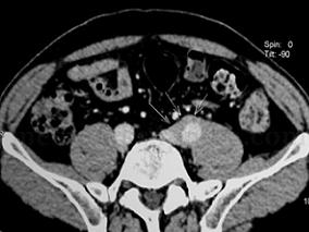
男43岁,间断全程无痛肉眼血尿3年余,加重10天,右…
环球医学资讯
2016年08月17日
点击量:1133
1小时条评论【病例资料】 患者男性,43岁。 主诉:间断全程无痛肉眼血尿3年余,加重10天,发现右肾占位2天。 现病史:患者3年前无明显诱因出现肉眼血尿,主要为全程肉眼血尿,不伴发热、腰痛、尿痛等症状,尿中无血块,外院行泌尿系超声检查,未见明显异常,予抗感染治疗后血...
-
男50岁,饮酒后双下肢肿痛、无力6天,无尿3天
环球医学资讯
2016年08月09日
点击量:640
1小时条评论患者,男性,50岁。 主诉:饮酒后双下肢肿痛、无力6天,无尿3天。 现病史:患者于2008年10月24日中午饮自制米酒约750g左右,当时无特殊不适。下午盘坐地板上玩电脑游戏约3小时后,感双下肢麻木、不能站立,并渐出现双下肢肌痛、尿量减少,解酱油色尿数次,量少。3...
-
女32岁,经期尿痛1年,血尿伴右肾积水5个月
环球医学资讯
2016年07月27日
点击量:574
1小时条评论【病例资料】 患者女性,32岁。 主诉:经期尿痛1年,血尿伴右肾积水5个月。 现病史:近1年来患者开始出现月经期尿痛,不伴有尿急、尿频,5个月前因疼痛加重就诊于外院,行妇科超声检查导尿时导出血尿。为进一步检查来我院泌尿科就诊,行泌尿系B超检查示右肾积水,...
-
男54岁,因左下腹痛1个月入院
环球医学资讯
2016年07月27日
点击量:733
1小时条评论【病例资料】 患者男性,54岁。 主诉:左下腹痛1个月。 现病史:患者2009年2月8日晚无明显诱因出现左下腹绞痛,无放射,不伴腹泻、恶心、呕吐、发热,与体位、进食无明显关系。2009年2月9日于我院急诊就诊,查肾功能Cr 168mu;mol/L,B超提示左肾积水,左侧输尿管...
-
女21岁,因间断肉眼血尿、尿少、颜面下肢水肿1周,…
环球医学资讯
2016年07月19日
点击量:1563
1小时条评论一、病史摘要 王times;times;,女,21岁,学生,重庆云阳人。因间断肉眼血尿、尿少、颜面下肢水肿1周,加重2天,于2006年9月22日入院。 患者于1周前受凉后突发肉眼血尿1次,为全程性,自觉尿量有所减少,具体量不详,双侧腰部胀痛,颜面、双下肢水肿,无畏寒、寒战...
-
女11岁,因颜面、双下肢水肿伴腰部胀痛4天入院
环球医学资讯
2016年07月19日
点击量:1040
1小时条评论一、病史摘要 患者王times;times;,女性,11岁,学生,重庆市渝北区人。因颜面、双下肢水肿伴腰部胀痛4天,于2005年9月21日入院。 患者诉于2005年9月10日左右受凉后鼻塞流涕并轻微咳嗽,无痰,经口服感冒药治疗后好转。4天前发现颜面和双下肢出现水肿,颜面水肿晨...










会员登录

