-
男59岁,发作性胸闷5天,加重6+小时
环球医学资讯
2016年09月21日
点击量:419
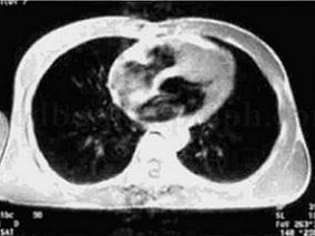
1小时条评论一、病情介绍 患者男性,59岁。 主诉:发作性胸闷5天,加重6+小时。 现病史:患者于2010年3月5日出现发作性胸骨后憋闷,伴气短,多于逆风步行或爬楼梯时发生,未予重视。2010年3月10日,上午10点左右在行走过程中再次出现胸闷,伴胸痛、气短、大汗,疼痛向左臂内...
-
男32岁,心悸、胸闷4年,加重3个月,伴晕厥3次
环球医学资讯
2016年09月21日
点击量:383
1小时条评论一、病历摘要 (一)临床资料 姓名:李某某;性别:男;年龄:32岁;民族:汉;婚否:已婚;出生地:黑龙江;职业:农民; 主诉:心悸、胸闷4年,加重3个月,伴晕厥3次。 病史:患者于4年前开始出现活动后心悸、胸闷、胸痛、气短,休息后可缓解,在当地县医院诊...
-
男51岁,发作性胸闷1天
环球医学资讯
2016年09月12日
点击量:922
1小时条评论一、病情介绍 患者男性,51岁。 主诉:发作性胸闷1天。 现病史:患者于入院前1日晚进食冷牛肉后2小时左右出现胸骨后憋闷伴心悸,之后出现恶心、呕吐,呕吐物为胃内容物,且伴有出汗,呕吐后胸闷症状缓解,但仍有恶心、出汗,持续3~4小时后就诊于本院急诊,当时测...
-
男36岁,因“血压升高1年半、头晕半年”入院
环球医学资讯
2016年09月12日
点击量:376
1小时条评论一、病例摘要 患者男性,36岁,因血压升高1年半、头晕半年入院。 患者1年半前体检时发现血压高,约150/100mmHg。未予处理。半年前始感头晕,在当地医院就诊,给予尼群地平10mg每日3次降压治疗,效果不明显。后住院治疗。 既往史及家族史无特殊。 查体:T36.5℃...
-
女29岁,间断胸闷、气短3年余,加重伴夜间不能平卧1周
环球医学资讯
2016年09月08日
点击量:1084
1小时条评论一、病情介绍 患者女性,29岁。 主诉:间断胸闷、气短3年余,加重伴夜间不能平卧1周。 现病史:患者于3年前开始出现胸闷、气短等症状,多在活动或劳累后出现,经休息后症状可好转,上述症状间断出现,曾在当地医院以扩张型心肌病、心功能不全治疗,病情时有反复,...
-
男62岁,因反复胸闷、胸痛2年,伴呼吸困难,加重1+…
环球医学资讯
2016年09月06日
点击量:1822
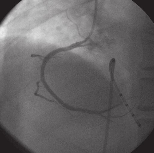
1小时条评论余times;,男,62岁,因反复胸闷、胸痛2年,伴呼吸困难,加重1+小时入院。2年前,活动后(爬坡)出现胸部闷痛,发冷,伴呼吸困难,多汗,且进行性加重,无黑蒙、晕厥,无端坐呼吸,无双下肢水肿,休息后很快好转,自服硝酸甘油后也可好转。1+小时前,无明显诱因出...
-
男46岁,咳嗽、咳痰、活动后气短3个月入院
环球医学资讯
2016年09月06日
点击量:209
1小时条评论一、病情介绍 患者男性,46岁。 主诉:咳嗽、咳痰、活动后气短3个月。 现病史:患者于2007年12月感冒后出现咳嗽、咳白色黏痰,同时出现活动后气短,当时无胸闷痛、心悸等,未引起重视,2008年2月患者咳嗽、咳痰加重,不能平卧,伴咯血,量不多,同时出现水肿、...
-
女31岁,因“停经近8月,胸闷、气短1周”为主诉入院
环球医学资讯
2016年09月05日
点击量:365
1小时条评论【疾病概述】 妊娠合并心脏疾病时,人们通常希望以保守治疗为主,待分娩或胎儿成熟后再行手术以减少手术所可能引起的流产及早产发生。但当病情严重危及生命,手术不可避免时,在手术同时如何确保胎儿安全成为重要问题。目前,国内外多为心脏瓣膜置换术中同时行剖宫...
-
女1岁,体重8.5kg,平时易感冒,喜蹲踞,哭闹,活动…
环球医学资讯
2016年09月05日
点击量:290
1小时条评论患儿,女性,1岁,体重8.5kg,平时易感冒,喜蹲踞,哭闹,活动后口唇青紫明显【1】。7个月时体检发现心脏杂音,到当地医院就诊。诊断为:先天性心脏病,法洛四联症。为行进一步治疗来我院就诊。门诊以先天性心脏病,法洛四联症收入院。择期手术。 一、手术前的临床...
-
男67岁,因“风湿性心脏病,二尖瓣关闭不全”入院
环球医学资讯
2016年08月31日
点击量:297
1小时条评论一、简要病史 患者,男性,67岁,因风湿性心脏病,二尖瓣关闭不全入院,欲行体外循环下二尖瓣置换术。既往:风湿性心脏病史二十年。查体:神清,一般状况好,心功能Ⅱ级,查体合作,BP 136/63mmHg,HR 87次/分,SpO 2 97%,体重72kg,双肺呼吸音清,双侧对称。心...










会员登录

