-
男51岁,发作性胸闷18天
环球医学资讯
2016年08月26日
点击量:679
1小时条评论一、病情介绍 患者男性,51岁。 主诉:发作性胸闷18天。 现病史:患者于2011年5月19日无明显诱因出现发作性胸闷、出汗,无心悸、气短,每次持续2~3分钟,休息后症状缓解,与劳累、激动无关系,5月23日,患者两次出现上述症状,次日在晋中市第三医院查心电图提示V...
-
男39岁,胸闷、胸痛、气短、乏力1个月
环球医学资讯
2016年08月18日
点击量:1074
1小时条评论男性,39岁。 【主诉】 胸闷、胸痛、气短、乏力1个月。 【现病史】 患者1个月前无明显诱因突然出现胸闷、胸痛、气短、乏力,无心悸及其他不适,持续约1分钟后缓解。在河北省第四人民医院住院治疗,做冠状动脉CT A 示:冠状动脉多发混合型及非钙化斑块,前降支近...
-
男88岁,反复胸闷、头晕1年
环球医学资讯
2016年08月18日
点击量:277
1小时条评论【一般情况】 男,88岁,汉族。 【主诉】 反复胸闷、头晕1年。 【病史摘要】 患者近1年来无明显诱因下出现胸闷、头晕,无胸痛、心悸。查心电图提示三度房室传导阻滞,收入院治疗。既往有2型糖尿病病史多年,现予以诺和灵30R24U/早,20U/晚餐前皮下注射,未监...
-
男56岁,6个月前无明显诱因出现乏力,活动后气短,…
环球医学资讯
2016年08月15日
点击量:1807
1小时条评论【病例3】 病例和相关检查 患者,男性,56岁,6个月前无明显诱因出现乏力,活动后气短,腹泻,消瘦,近3个月来双下肢水肿。查体:双下肢水肿,心脏听诊心律齐,未闻及明显杂音。 超声图片 如图2‐1‐213,图2‐1‐214。 图2‐1‐213 心尖左室长轴切面前室间隔及...
-
男1岁3个月,因“咳嗽、气促8天,发热2天”入院
环球医学资讯
2016年08月15日
点击量:581
1小时条评论一、病史摘要 患儿,男,1岁3个月,因咳嗽、气促8天,发热2天入院。母孕早期有感冒病史,否认放射线接触及有害药物应用史。生后患儿有吃奶中断、吐奶、多汗等表现,剧烈哭吵后口唇、面色稍发绀。否认先天性心脏病家族史。查体:T 38℃,P 125次/分,R 50次/分,体...
-
男14个月,发现心脏杂音10个月
环球医学资讯
2008年10月16日
点击量:1095
1小时条评论男孩,14个月,患儿家长带其就诊。 主诉:发现心脏杂音10个月。 一、根据家长的主诉,需要进一步地询问 1.如何发现心脏杂音? 2.平时是否易患上感?是否易治愈?是否患过肺炎?治疗效果如何? 3.自幼吃奶是否有力?目前活动后是否气促?是否有点头样呼吸? ...
-
女63岁,8小时前无诱因出现胸闷、心悸、胸痛,为压…
环球医学资讯
2008年02月16日
点击量:1370
1小时条评论【病例1】 病史和相关检查 患者,女性,63岁,8小时前无诱因出现胸闷、心悸、胸痛,为压痛,伴后背痛,无大汗,含服硝酸酯类药物10分钟后疼痛缓解。心电图示:V1~V4导联ST段抬高,T波倒置。冠状动脉造影示:前降支近端限局80%狭窄,前降支远端30%~40%狭窄。 超声...
-
男8个月,生后发现心脏杂音,当地医师建议孩子长大…
环球医学资讯
2008年02月16日
点击量:465
1小时条评论患者,男孩,8个月,患儿家属带孩子就诊。 主诉:生后发现心脏杂音,当地医师建议孩子长大点再治疗。 一、根据家长主诉需要进一步询问。 1.患儿有无多发感冒和肺炎病史? 2.患儿生长发育的情况? 3.患儿是否有发绀现象? 4.患儿有无昏厥现象? 5.患儿有...
-
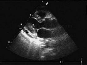
女44岁,反复咳嗽、低热5年余,呼吸困难、腹胀、下…
环球医学资讯
2016年07月25日
点击量:2289
1小时条评论病史和相关检查 患者,女性,44岁。反复咳嗽、低热5年余,呼吸困难、腹胀、下肢水肿10天来诊。 查体:慢性病容,双肺可闻及湿性啰音,心脏浊音界向两侧扩大,心尖搏动弱,心音低而遥远,颈静脉怒张,肝大,腹水,下肢轻度水肿。 超声图片 如图2‐1‐220。 图2...
-
男68岁,喘憋反复发作13年,加重20天,夜间不能平卧…
环球医学资讯
2016年07月20日
点击量:1508
1小时条评论男性,68岁。 【主诉】 喘憋反复发作13年,加重20天,夜间不能平卧2天。 【现病史】 患者1997年曾于外院诊断为急性心肌梗死,予保守治疗,此后未规律服药;20天前活动后出现喘憋、胸闷,无胸痛,休息后缓解;2天前睡觉时从床上摔下,出现夜间不能平卧,且姿势改...










会员登录

