男51岁,发作性胸闷1天
一、病情介绍
患者男性,51岁。
主诉:发作性胸闷1天。
现病史:患者于入院前1日晚进食冷牛肉后2小时左右出现胸骨后憋闷伴心悸,之后出现恶心、呕吐,呕吐物为胃内容物,且伴有出汗,呕吐后胸闷症状缓解,但仍有恶心、出汗,持续3~4小时后就诊于本院急诊,当时测血压为129/95mmHg,行心电图提示Ⅱ、Ⅲ、aVF、V4~V9导联ST段抬高0.1~0.5mV,V3R~V5R导联ST段抬高0.1~0.3mV,Ⅰ、aVL导联ST段压低0.1~0.3mV,三度房室传导阻滞,室性及交界性逸搏心律。考虑“急性下后壁、右室心肌梗死”,给予“尿激酶”静脉溶栓,溶栓后2小时ST段下降小于50%,为行进一步诊治转入心内科。患者自发病以来,精神欠佳,发病后曾吐一小口咖啡性液体,请消化科会诊后不除外上消化道出血,已给予“禁食,埃索美拉唑静脉泵入”,入急诊后未再呕吐咖啡色胃内容物,未大便,亦无尿,出汗较多。患者入院以来精神、食欲差,睡眠欠佳。
既往史:既往有糖尿病史15~16年,目前给予“诺和灵R早12U、午14U、晚14U”皮下注射,血糖控制尚可。高血压史6~7年,血压最高达180/100mmHg,平素口服“硝苯地平缓释片20mg/d”,平素很少监测血压,偶测血压在130~140/70~80mmHg;4年前因突发右侧肢体活动不利伴言语不利在本院诊断为“脑梗死”,目前右侧肢体活动尚可。否认肝炎、结核等传染病史,11岁患者因车祸行左下肢截肢术,当时曾有输血史,否认食物及药物过敏史。
个人史:生于原籍,现居于原籍。未到过疫区,无有害及放射物接触史。吸烟史30余年,2~3盒/日。近2个月有间断大量饮酒史。
家族史:父母均死于肺部疾病,否认其他家族遗传及传染病史。
查体:BP 104/78mmHg,急性病容,营养良好,神志清,查体合作。全身皮肤无黄染,无出血点。双侧眼睑无水肿,双侧瞳孔等大等圆,对光反射灵敏。唇无发绀。双肺呼吸音粗、左肺底可闻及少许湿啰音。心尖搏动无异常,心界叩诊向左侧扩大,心率79次/分,律齐,各瓣膜区未闻及杂音。腹部平软,无压痛,肝、脾肋下未触及。肠鸣音正常。脊柱呈正常生理弯曲,左下肢缺如,其余关节无红肿,运动自如,双侧肢体肌力正常、肌张力适中,双下肢无水肿。
辅助检查:
心电图(入院当时):Ⅱ、Ⅲ、aVF、V4~V6导联ST段抬高0.1~0.3mV,V3R~V5R导联ST段抬高0.1~0.3mV,Ⅰ、aVL导联ST段压低0.1~0.2mV,二度房室传导阻滞。
入院当时化验:血肌酐146.9μmol/L,肌钙蛋白-I 5.36ng/ml。
入院后心电监护:窦性心律,三度房室传导阻滞,间歇二度Ⅱ型房室传导阻滞。
入院诊断:冠状动脉粥样硬化性心脏病
急性下后壁、右室心肌梗死
心律失常
二度、三度房室传导阻滞
高血压3级(极高危组)
糖尿病
糖尿病肾病
肺部感染
上消化道出血
二、病例分析
(一)病例特点
1. 患者中年,男性。
2. 病史主要特点 进食后出现胸闷伴心悸,之后出现恶心、呕吐,呕吐物为胃内容物,且伴有出汗,呕吐后胸闷症状缓解,但仍有恶心,持续3~4小时后就诊于本院,当时测血压为129/95mmHg,行心电图提示Ⅱ、Ⅲ、aVF、V4~V9导联ST段抬高0.1~0.5mV,V3R~V5R导联ST段抬高0.1~0.3mV,Ⅰ、aVL导联ST段压低0.1~0.3mV,三度房室传导阻滞,室性及交界性逸搏心律。考虑急性下壁、后壁、右室心肌梗死,给予尿激酶静脉溶栓,溶栓后2小时ST段下降小于50%。
3. 发病后曾吐一小口咖啡性液体,请消化科会诊后不除外上消化道出血,已给予禁食,埃索美拉唑静脉泵入,之后未再呕吐咖啡色胃内容物,出汗较多。
4. 既往相关疾病 既往有糖尿病史及高血压史,平素血糖及血压均控制欠佳。4年前有脑梗死病史,目前右侧肢体活动尚可。
5. 阳性体征 BP 104/78mmHg,唇无发绀,双肺呼吸音粗,左肺底偶可闻及湿啰音。心率54次/分,律齐,各瓣膜听诊区未闻及病理性杂音。腹软,肝脾肋下未触及。右下肢无水肿,左下肢缺如。
6. 辅助检查特点 心电图:Ⅱ、Ⅲ、aVF、V4~V6导联ST段抬高0.1~0.3mV,V3R~V5R导联ST段抬高0.1~0.3mV,Ⅰ、aVL导联ST段压低0.1~0.2mV,二度房室传导阻滞;2011-11-14血肌酐146.9μmol/L,肌钙蛋白-I 5.36ng/ml。
(二)已明确的诊断及依据
根据患者病史、心电图演变及心肌酶改变,目前冠心病,急性下后壁、右室心肌梗死,心律失常——二度、三度房室传导阻滞;高血压3级(极高危组),陈旧性脑梗死;糖尿病诊断明确。
(三)鉴别诊断
患者胸痛的原因需进行如下鉴别:
1. 急性心肌梗死
胸骨中上段之后压榨样或窒息性疼痛,持续时间长,可达数小时或1~2天,含服硝酸甘油效果较差,血压常偏低甚至发生休克,可有心包摩擦音,常伴有发热、白细胞升高,血沉增快和血清心肌酶增高,心电图为特征性和动态性变化。
2. 心绞痛
可出现胸闷、胸痛、心悸等不适,多在活动或情绪波动后出现,部位位于胸骨后或心前区,呈紧缩感,持续3~5分钟,一般不超过30分钟,可伴出汗及肩背部放射性疼痛,含服硝酸甘油后症状可缓解,心电图有ST-T改变,化验心肌酶学不高,本病不除外,必要时行冠脉CT或冠脉造影以明确。
3. 肺动脉栓塞
多发生于下肢静脉血栓、长期卧床、骨折、房颤患者,可发生胸痛、咯血、呼吸困难、一过性晕厥,有右心负荷急剧增加的表现,心电图示Ⅰ导联S波加深,Ⅲ导联Q波显著、T波倒置,右胸导联T波倒置等改变,查血气提示低氧低碳酸血症,血D-二聚体增高,肺通气-灌注扫描或肺动脉CT有助于诊断。
4. 心功能不全
可出现活动后胸闷、气短,夜间不能平卧入睡,夜间阵发性呼吸困难,咳嗽等,多有高血压、冠心病、糖尿病、甲亢等危险因素,心脏超声可协助诊断。
三、入院后的病情及治疗中存在的问题
(一)关于补液及心功能的问题
入院后给予积极扩冠、抗血小板聚集、抗凝及稳定斑块治疗,仍有时感心悸,出汗较多,心电图提示Ⅱ、Ⅲ、aVF导联ST段仍抬高,且V3导联由rs波变为QS波,心电监护提示为窦性心律,曾有一度为一度、二度房室传导阻滞,近日一直为三度房室传导阻滞,交界区逸搏心律,心率在55~60次/分,血压在96~110/60~70mmHg,入院后给予补足入量后利尿治疗仍为尿量小于入量,床旁胸片提示心影扩大。患者右室心肌梗死后血压偏低,要补充容量,但同时合并前壁受累,心脏扩大,补液后加重心脏负荷,加之患者合并有糖尿病肾病,肾功能不全,利尿效果不佳也会加重心功能不全,故需监测患者静脉压,适当补液。
(二)关于糖尿病及并发症的问题
患者糖尿病10余年,平素血糖控制欠佳,入院后糖化血红蛋白8.7%,尿微量白蛋白/尿肌酐152.7mg/gCr,尿微量白蛋白120.0mg/L,尿肌酐6945.9μmol/L,血肌酐在122.1~146.3μmol/L,考虑存在糖尿病肾病,肾功能不全。入院后给予胰岛素治疗后,血糖控制仍欠佳,需调整降糖药物,观察肾功能情况。
(三)关于上消化道出血的问题
患者发病后曾吐一小口咖啡性液体,已给予埃索美拉唑静脉滴注,近3天未再呕吐咖啡色胃内容物,入院后灌肠排棕褐色大便,查便潜血弱阳性(±)。目前已给予流食,并加用胃黏膜保护剂。但考虑存在上消化道出血,无论急诊PCI还是溶栓均可增加出血并发症,今后需观察消化道出血情况。
(四)关于是否尽快行介入诊治的准备及风险问题
1. 考虑冠脉血管病变重,且可能既往前降支存在严重狭窄病变或慢性闭塞病变,右冠状动脉给予其侧支循环,此次右冠状动脉近端闭塞致前降支供血受阻,溶栓后血管未通,从而造成大面积梗死甚至梗死延展,心肌梗死后心脏扩大,心功能不全,病变重,目前存在进一步介入治疗的指征,但风险大。
2. 患者中年男性,既往有糖尿病、高血压及脑梗病史,此次因突发胸闷伴心悸入院,诊断为急性下壁、后壁、右室心肌梗死,心律失常——三度房室传导阻滞,溶栓后血管未通,且在心电图演变过程中提示有前壁慢性缺血坏死,目前仍有房室传导阻滞,且合并有心脏扩大,心功能不全,考虑血管病变重,应积极行冠脉造影术明确血管病变情况,必要时行PCI术以开通梗死相关动脉,改善供血,改善传导及心功能。但患者存在如下情况:
(1)小时候因车祸行左下肢截肢术,如行右下肢穿刺操作出现血管并发症必将增加右下肢的病变危险性。
(2)患者长年糖尿病史,有糖尿病肾损害,发病后一度有肌酐增高,行冠脉介入诊治使用造影剂有可能诱发急性肾衰竭,肾功能进行性恶化而需行血液透析。
(3)患者目前仍有房室传导阻滞,术中可能需行临时起搏器植入术;且患者心脏扩大,易发生恶性心律失常。
(4)患者心肌梗死溶栓后临床判断血管未通,且心肌梗死面积大,考虑血管病变重,有可能造影后已失去介入治疗的可能,或即使开通血管后房室传导阻滞仍不能恢复而需行永久起搏器植入术。
术前准备:患者右桡动脉搏动好,Allen试验阴性,穿刺途径可选择从右桡动脉穿刺。术中备用临时起搏器。
四、入院后的辅助检查及提示意义
入院后第二日复查心肌酶提示肌酸激酶同工酶330.2U/L,肌酸激酶4618.2U/L,乳酸脱氢酶1323.4U/L,天冬氨酸转氨酶725.3U/L,丙氨酸转氨酶137.8U/L。肌钙蛋白-I 50.78ng/ml。
入院时B型钠尿肽163.00pg/ml,2日后复查B型钠尿肽测定495.12pg/ml,提示心功能不全。
糖化血红蛋白8.7%,考虑患者血糖控制欠佳。
尿微量白蛋白/尿肌酐152.7mg/gCr,尿微量白蛋白120.0mg/L,尿肌酐6945.9μmol/L,血肌酐122.1μmol/L,尿素氮11.69mmol/L,考虑患者合并糖尿病肾病,肾功能不全。
复查心电图提示窦性心律,Ⅱ导联qr波、Ⅲ、aVF、V1~3导联为QS波,Ⅱ、Ⅲ、aVF、V4~V6导联ST段抬高0.05~0.2mV,Ⅰ、aVL导联ST段压低0.1~0.15mV,三度房室传导阻滞,交界区逸搏心律,复查心电图示:演变过程中V3~4导联由rs波变为QS波;再次复查心电图提示Ⅱ、Ⅲ、aVF、V1~3导联QS波,ST段恢复,T波浅倒。入院后行床旁胸片提示心影增大,双肺纹理增重;考虑患者心肌梗死面积大,心脏扩大,心律失常多样化,表明患者病情重,预后差。
颈椎片提示颈椎生理曲度变直;颈椎前纵韧带钙化。
心脏彩超提示双房及右室增大,二尖瓣、三尖瓣轻度反流,心包少量积液。
腹部彩超提示肝脏体积增大,门脉不宽,腹腔少量积液;双肾体积增大,胆、胰、脾、双肾上腺区及门静脉未见明显异常。
腹部大血管彩超提示右侧股动脉硬化斑块,左侧髂动脉及股动脉管径纤细,血流速度减低,右侧髂动脉及腹主动脉未见明显异常。
颈部血管彩超提示双侧颈动脉硬化伴斑块形成。
五、入院后的治疗方案及病情变化
入院后给予扩冠、扩血管、抗血小板聚集、抗凝、降糖、降脂、稳定斑块、利尿、抑酸及对症治疗后,病情较前好转且趋于稳定。
入院后患者未再出现胸闷、胸痛,未再出现呕血、黑便。患者发病后行溶栓治疗后心电图ST段回落小于50%,入院后心电图ST段仍抬高,考虑血管病变重,溶栓未通;发病后出汗较多,考虑可能与三度房室传导阻滞反射性交感神经兴奋有关,同时交感兴奋可导致周围血管收缩,皮肤湿冷。患者有糖尿病史多年,发病后查血肌酐增高,考虑糖尿病肾病,肾功能不全,且发病后尿量偏少,考虑可能与入量不足、出汗多有关,但亦不除外急性肾衰竭,经补足入量,监测肾功能治疗后出入量大致平衡,肾功能未再继续恶化。患者发病后曾有呕吐咖啡色物质,但既往无消化道溃疡病史,且仅一口,就诊后未再出现,亦无血压进行性下降及血红蛋白下降,入院后给予抗血小板及抗凝治疗,密切观察血压、心率及血红蛋白、大便情况,均未提示再次出血。
入院后观察患者心电图变化,患者发病后心电图V1~3导联ST段有抬高,且V3导联由rs波变为QS波,故考虑同时存在前间壁心肌梗死,一般情况下大的前降支可以出现前壁及下壁同时心肌梗死,但患者有右室心肌梗死,考虑此次罪犯血管仍为右冠状动脉,考虑可能既往有前降支的慢性闭塞,靠右冠状动脉侧支循环,此次右冠状动脉近端梗死,致使右冠状动脉及前降支供血部位缺血坏死,梗死面积大,导致心功能不全。
六、介入诊治情况
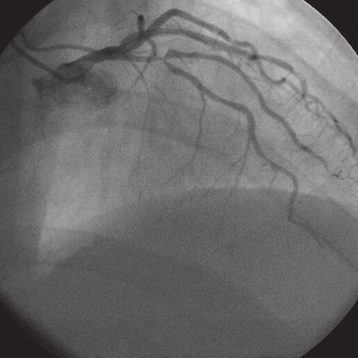
于入院后第10日患者行冠状动脉造影术+PCI术。取右侧桡动脉途径,冠状动脉造影,显示为右优势型,左主干未见有意义狭窄;前降支近端于第一对角支发出处99%狭窄,第一对角支开口99%狭窄;旋支未见有意义狭窄;右冠状动脉开口以远99%局限狭窄病变,后分叉前85%局限狭窄,考虑到患者前降支及右冠状动脉病变均较重,而此次梗死相关动脉为右冠状动脉,故决定先行右冠状动脉PCI术,择期行LAD PCI术。行右冠状动脉造影时心电监护出现一过性三度房室传导阻滞,故穿刺右股静脉成功后植入6F鞘管,沿鞘管送入起搏电极达右室心尖部备用,于右冠状动脉病变处植入2枚支架。术中心电监护为一度、二度房室传导阻滞,未再出现三度房室传导阻滞。1周后于前降支处再次行PCI术,植入1枚支架(图2-16-1~图2-16-5)。
七、最后诊断
冠状动脉粥样硬化性心脏病
急性下后壁、右室、前壁心肌梗死
心脏扩大
心功能不全
心律失常
二度、三度房室传导阻滞
高血压3级(极高危组)

图2-16-1 前降支PCI术前1
图2-16-2 前降支PCI术前2
图2-16-3 前降支PCI术后
图2-16-4 右冠状动脉PCI术前
图2-16-5 右冠状动脉PCI术后
糖尿病
糖尿病肾病
肾功能不全
肺部感染
上消化道出血
双侧颈动脉硬化伴斑块形成
右侧股动脉硬化伴斑块形成
左侧股动脉及髂动脉纤细
颈椎病
八、病情转归
患者经行PCI术后,心功能较前好转,心脏传导阻滞改善,复查心电图提示P-R 0.20毫秒,出量大于入量,血压平稳为110~120/70~80mmHg,血糖控制尚可,故出院。院外治疗1个月后随访患者无胸闷、胸痛、气短表现,各项指标平稳,仍嘱其坚持服药,院外定期复查。
九、病例的相关问题及解答
(一)右室心肌梗死的心电图是怎样的?
单纯的右室心肌梗死临床上较少见,右室心肌梗死多见于下壁及后壁急性心肌梗死累及右室壁,右室心肌梗死的早期诊断主要依据心电图右胸附加导联ST段的改变,如急性心肌梗死患者未能常规加做V3R~V5R导联心电图,难免漏诊右室心肌梗死。约50%的右室梗死患者发生于下后壁心肌梗死,且大部分是由于右冠状动脉锐缘支或附近支闭塞所致,最早报道的右室梗死心电图表现是右胸导联(V3R、V4R)ST段抬高,并在尸检中得到证实,其敏感性和特异性都很高,尤其是V4R导联可达90%;但通常这些改变早而短暂,一般在24小时或更长时间内逐渐消失,其发生机制是右室梗死后右室游离壁的缺血损伤产生向右前的ST向量。在下壁心肌梗死时V3R、V4R导联的ST段抬高伴T波直立者提示右冠状动脉闭塞;V3R、V4R导联的T波倒置提示旋支冠脉闭塞。近年来已证实右胸导联(V3R、V4R)ST段抬高≥10mm,对右室梗死的诊断尚存在一定的局限性,因为当有左束支传导阻滞、心包疾病、左室前壁损伤或梗死、急性肺栓塞时,V4R导联ST段抬高对诊断右室梗死无特异性。广泛性右室梗死并发大面积左室梗死时,V3R、V4R导联的ST段可无任何改变,但V5R~V7R导联的ST段则有异常改变。因此国内有人研究采用右胸导联来诊断右室梗死,并认为是一种新的敏感、可靠而简便的方法。
新近研究认为,右室梗死心电图新的综合诊断标准为:
1. Ⅲ导联ST段抬高>Ⅱ导联(STⅢ/Ⅱ>1)。
2. V2导联ST压低与aVF导联ST抬高的比值≤50%。
3. aVL及(或)V2、V3导联出现动态镜像梗死图形。
4. 梗死性电轴左偏超过-30°。
5. 二度以上房室传导阻滞或右束支传导阻滞。
以上标准综合诊断右室梗死的敏感性为96.77%,而任何一项改变的诊断特异性均≥90%,其中V2导联ST压低和aVF导联ST抬高比值50%,对伴随右室缺血和右冠状动脉右室支闭塞的敏感性为80%,特异性为90%,认为常规12导联也是诊断右室梗死的可靠方法之一。
(二)关于右室的相关解剖与生理是怎样的?
右室和左室的心排血量相同,但前者肌重仅为后者的1/6,并且由于肺循环血管阻力只是体循环血管阻力的1/10,因此右室仅完成每搏作功的1/4。右室是一个由窦状体和流出道组成的新月形腔,而左室则呈椭圆形的向心性结构。但这两个心室通过将其分割的室间隔和包绕两者的心包而相互依托。右冠状动脉是右室心肌供血的主要来源。多数患者右冠状动脉圆锥支动脉供血于右室流出道,锐缘支动脉供血于右室外侧壁,后降支动脉供血于右室后壁和室间隔。此外,右优势型右冠状动脉为左室后壁提供一定血供。左冠状动脉通常通过前降支小分支供血于右室前壁。然而,前降支近段严重狭窄可损害右室收缩功能。
(三)急性右室心肌梗死会有怎样的病理学改变?
右室心肌梗死往往发生在右冠状动脉近段、锐缘支动脉开口以近的部分。右冠状动脉通常是右室心肌梗死的罪犯血管,而广泛右室心肌梗死与右冠状动脉近段阻塞有关。右室心肌梗死也可以是粗大左旋支冠状动脉阻塞所致。前降支阻塞也可导致右室前壁梗死。右室缺血或梗死常常由于优势型右冠状动脉阻塞所致。右室缺血和(或)坏死可以分为4级。
1. Ⅰ级
右室后壁梗死面积小于50%。
2. Ⅱ级
梗死面积有限,但没有超过后壁的50%。
3. Ⅲ级
后壁梗死,但没有超过前侧壁的50%。
4. Ⅳ级
右室后壁梗死并且超过前侧壁的50%。
这种病理学分类解释了不同程度的右室缺血性坏死为什么可有不同的血流动力学和无创检查的表现,以及右室坏死通常伴有小面积左室后壁坏死。因此,右室心肌梗死一般导致右室功能障碍,对整个左室收缩功能影响甚微。然而,右室心肌梗死可发生在广泛前壁心肌梗死(左室前壁和间隔部梗死)时。此时,右室坏死和(或)缺血只累及右室前壁,并且与左室梗死连成一片。
然而,许多右冠状动脉阻塞并不导致严重右室坏死和功能障碍。这与左冠状动脉循环有很大程度上的不同:左冠状动脉阻塞时发生大面积左室坏死。这种不对称性可能是由于右室解剖学和生理学特点所决定。出现这种差别的部分原因是到压力较低的右室冠状动脉急性阻塞期间右室心肌需氧较少,灌注右室冠状血管的收缩期/舒张期的血流比率较大,血流动力学发生应激性改变时右室萃取更多氧能力增加,右室可通过Thebesian静脉得到直接灌注以及广泛存在的解剖侧支血管可防止右室发生不可逆缺血性损害。右室室壁薄、工作压力低,因此其收缩期与舒张期冠状动脉血流比率比左室大得多。
绝大多数右室心肌梗死患者表现为右冠状动脉近段高度狭窄,而没有右室心肌梗死的患者其右冠状动脉病变位于远段,没有累及右室锐缘支血管。新近研究证实了右室锐缘支向右室游离壁提供血流的重要性。这些研究显示,右室功能障碍程度与右室锐缘支血流受损程度有关。事实上,急诊冠状动脉介入治疗不能迅速恢复右室锐缘支血流与右室功能得不到恢复、持续性低血压、心排血量降低和病死率增高都有关系。优势型右冠状动脉达到成功再灌注但右室锐缘支持续闭塞的患者,择期经皮冠状动脉介入治疗开通右室锐缘支血管是否能够获益,还有待进一步观察。
(四)右室心肌梗死的临床诊断及意义是什么?
临床早期发现下壁心肌梗死合并急性右室心肌梗死,对于开始进行有创性血流动力学监测或无创检查前需要静脉输液或使用药物治疗的低血压或休克患者迅速采取正确的治疗,具有重要意义。即使在没有低血压或休克的患者,识别可能存在的右室缺血和(或)梗死,避免因错误使用利尿剂或扩血管治疗而进一步导致右室充盈减少和肺动脉性低血压,也具有重要意义。因此,准确和细致的物理检查常可早期建立右室心肌梗死的正确诊断,并可开始采取正确治疗,达到并维持循环状态稳定。对所有急性下壁心肌梗死患者,都应当疑诊右室功能障碍,后者占下壁心肌梗死患者的20%~50%,这取决于采用何种金标准。
然而,如前所述,由于右室能够明显耐受严重功能障碍,因此只有不到10%的患者可发生低血压或休克并发症。低血压、颈静脉压升高和双肺听诊清晰是急性下壁心肌梗死患者合并右室心肌梗死的三联征表现。右室心肌梗死还可有各种其他临床表现以及右室收缩功能和舒张功能障碍。临床评估时,颈静脉压升高(≥8cmH2O)、Kussmaul征阳性是诊断右室心肌梗死伴严重血流动力学改变的最敏感(88%)和最特异(100%)的指标。而低血压、颈静脉压升高和双肺听诊清晰这种传统三联征的敏感性仅为25%,但特异性为96%。单纯颈静脉压升高诊断右室心肌梗死的敏感性较高(88%),但特异性较低(69%)。因此,临床上通过细致评估颈静脉搏动,确定是否存在压力升高和Kussmaul征,可达到快速诊断性评估的目的,从而可以开始采取正确治疗,纠正低血压。而且,使用扩血管治疗可严重降低右心充盈压,应当十分谨慎地应用硝酸酯类药物和吗啡,避免引起体循环动脉性低血压。
(五)右室心肌梗死的超声诊断要点有什么?
超声心动图诊断右室心肌梗死的要点如下:
1. 右室节段性室壁运动异常。
2. 右心扩大,左室长轴切面舒张末期右室内径/左室内径>0.5,右室舒张末期内径>25mm及心尖四腔切面时右室内径/左室内径>1.0,均为右室受累的标志。
3. 室间隔矛盾运动或缺损。
4. 右心功能不全,右室短轴缩短率压低,右房压和肺动脉压升高(90%以上合并三尖瓣反流)。
5. 室间隔穿孔(常见于后室间隔)。
6. 心包梗死。
(六)右室心肌梗死的特殊性有什么?
右室梗死的病理生理、临床表现、治疗和预后均不同于左心室梗死,有其特殊性,简述如下:
1. 右室血供很特殊
右心室主要由右冠状动脉供血。右室下壁、侧壁主经由起缘于右冠状动脉近中段的锐缘支和右室支供血,右室前壁主要为双重供血,右冠状动脉的右室支和前降支的右室支供血。所以右室梗死绝大多数见于右冠状动脉近中段闭塞,右室前壁梗死少见,除非同时有左冠状动脉前降支的严重病变。左旋支在左冠状动脉优势型患者中供应右室下壁一部分血液,因此,左旋支闭塞也可能引起右心室梗死。由于右室与左室下壁、后壁同由右冠状动脉供血,故右室梗死大多和左室下壁梗死伴发,其发生率为12%~43%;单纯右室梗死少见,约为1.7%~2.4%。
2. 右室梗死的病理生理特点特殊
在生理情况下,右室心肌壁薄,由左右两侧冠状动脉所灌注,并有丰富的侧支循环。又由于肺循环压力低,右室做功远低于左室;在收缩期右室内心肌压力低,故有双期供血的生理特点。因此右室氧耗量与供氧量的比值低于左心室,故当右冠状动脉闭塞时常常发生左心室梗死而右心室梗死相对少见。
大面积右室梗死将导致体循环淤血和低心排血状态,甚至休克。其发生机制为:右心室缺血、坏死以及坏死周围大量的顿抑心肌,导致右室顺应性下降、收缩功能不全,从而使右室射血下降,肺血减少,左室前负荷下降,左室充盈减少而导致左室排血量降低。同时右室收缩末残存血量增加,右室压力增加,使体循环血流受阻,导致体循环淤血。另外,右室梗死后扩张,使心包腔内压增加,限制了左室充盈;右室容量扩大挤压室间隔,使之左移,阻碍了左室舒张充盈。
窦房结和房室结主要是右冠状动脉供血。右室梗死时,往往系右冠状动脉受累,常引起窦房结和房室结供血减少,而导致窦性心动过缓、窦房传导阻滞、窦性静止、一度、二度和三度房室传导阻滞。
3. 右室梗死的特殊临床表现
(1)体循环淤血征象:颈静脉怒张伴深吸气时增强,但右室梗死发病后并不立即出现慢性右心衰竭的下肢水肿。
(2)低血压、低心排血状态:病人表现为四肢冰凉、尿少,严重者可有意识障碍等类似休克症状。但此时与心源性休克不同的是患者并无呼吸困难及肺内啰音,X线胸片示两肺野清淅。
(3)心电图改变:由于解剖关系,右室梗死的心电图常以下壁或后壁梗死的图形为基础。右胸导联V3~V7的ST段抬高大于或等于1mm是诊断右室梗死的较可靠指标。其中V4R最有诊断价值,其敏感性为70%,特异性为91%,阳性预测值78%,若V4R~V7R有一个以上导联有类似变化则可提高敏感性达90%。
4. 右室梗死治疗的特殊性
右室梗死除按一般急性心肌梗死的基本治疗措施外,还有别于左室梗死的特殊性。
(1)大量补液扩容治疗:只要出现低心排、低血压状态,而无左心功能不全,即使有右心衰竭也应大量补液扩容治疗,以提高右室压力而增加左室灌注从而增加心排血量。补液一般每天3000~6000ml,可选用胶体液如血浆或血浆代用品和晶体液如生理盐水或平衡液。扩容中应严密监测血压、心率、呼吸、肺底啰音情况。有条件应行血流动力学监测。扩容到心排血量增高、血压提高或肺毛细血管楔压达18mmHg。若出现左心功能不全或肺毛细血管楔压大于18mmHg应停止扩容。对扩容反应不佳者可用多巴胺或多巴酚丁胺。
(2)缓慢心律失常的治疗:右室梗死常合并缓慢心律失常,如伴随有低血压或室性心律失常,可静脉注射阿托品0.5~1mg,多巴胺可兴奋β受体,增快心率。如上述药物效果不好,可用异丙肾上腺素,从1mg/min开始静脉滴注,根据心率调整用量可用至4mg/min,使心率维持在60~70次/分。对有症状或(和)低血压用药物治疗无效时应安装临时人工起搏器。
(3)慎用扩管剂及不用利尿剂:右室梗死时对硝酸甘油及其他血管扩张剂和利尿剂异常敏感,小剂量即可使血压下降。因此,若需用扩管剂,必须在充分补液的基础上小剂量开始,使用时注意血压变化。一般的情况下不用利尿剂。
5. 急性右室梗死预后好
急性右室心肌梗死只要注意其诊治的特殊性,绝大多数预后良好,若无伴有大面积左心室梗死,病死率极低。因此,临床上注意右室梗死诊治的特殊性,正确治疗很重要。
(七)正性肌力药物在右室心肌梗死的治疗中的作用有哪些?
正性肌力药物由于右室扩张压迫左室,因而有可能通过原始正性肌力治疗机制使右室去负荷。开始补充容量负荷不能提高体循环动脉血压时,临床研究已经证明多巴酚丁胺通常能够有效稳定血流动力学受到损害的患者。与硝普钠比较,多巴酚丁胺可明显增加心脏指数、每搏容量指数和右室射血分数,同时多巴酚丁胺能够维持前负荷,增加收缩力,结果随着室壁运动改善,每搏输出量和右室射血分数均增加。正性肌力治疗的主要目的就是提高体循环动脉血压。然而大剂量应用正性肌力药物可增强心肌收缩力和增加心率,加剧心肌需氧与供氧之间不平衡,因而在左冠状动脉有病变时引发心肌缺血。对于心源性休克或对20mg/(kg•min)多巴酚丁胺没有反应的患者,可选择多巴胺,因为后者的受体收缩作用明显强于前者。但多巴胺的正性频率作用较多巴酚丁胺强,导致的心率增加可进一步加剧心绞痛。如果初始的扩充容量负荷可增加右心和左心充盈压而心排血量没有明显改善的话,则继续扩充容量不可能提高心排血量,此时应当使用多巴酚丁胺来增强右室收缩力。
(八)右室心肌梗死的血流动力学变化特征有哪些?
1. 由于右室射血功能下降,右室收缩末期残存血量增加,右室压力升高,使体循环回流受阻,就会出现体循环淤血。
2. 正常情况下,右心室除了向肺供血进行气体交换外,对左心室前负荷的维持也起重要作用,从而影响左室的心排血量。右室缺血时血流动力学异常与下列因素有关:
(1)缺血程度及随后的功能异常。
(2)周围心包的限制作用。
(3)对室间隔的相互依赖。当右室缺血时,右室急性扩张,从而引起心包腔内的压力增加及右室收缩压、心排血量降低,而左室前负荷、舒张末直径及每搏量下降,同时室间隔左移。此时左右室的压力差成为肺动脉灌注的主要动力,因此,任何降低前负荷(扩静脉、利尿、血容量减少),减弱右房收缩力(右房梗死、房室脱节)及增加右室后负荷(左心功能不全)的因素均可导致严重后果。
(李丽琪)
十、专家点评
本病例的疑难之处及疾病特点:该患者中年,男性,存在吸烟、饮酒等高危因素,有高血压、糖尿病,且控制不佳,本次急性起病,心电图特点为Ⅱ、Ⅲ、aVF、V4~V9导联ST段抬高0.1~0.5mV,V3R~V5R导联ST段抬高0.1~0.3mV,Ⅰ、aVL导联ST段压低0.1~0.3mV,三度房室传导阻滞,室性及交界性逸搏心律,入院后心电图存在动态演变,急性下壁、后壁、右室心肌梗死诊断明确,给予尿激酶静脉溶栓,溶栓后2小时ST段下降小于50%,考虑溶栓未通。结合患者冠脉造影结果为前降支近端于第一对角支发出处99%狭窄,第一对角支开口99%狭窄;右冠状动脉开口以远99%局限狭窄病变,后分叉前85%局限狭窄,考虑本次梗死相关动脉为右冠状动脉,但前降支严重病变导致本次大面积累及前壁的心肌梗死,故首先开通罪犯血管有利于改善患者预后。另外该患者发病后产生严重心律失常则与罪犯血管对相应心肌细胞供血障碍有关。窦房结和房室结主要是右冠状动脉供血,右室梗死时,往往系右冠状动脉受累,常引起窦房结和房室结供血减少,而导致窦性心动过缓、窦房传导阻滞、窦性静止、一度、二度和三度房室传导阻滞。该患者即产生房室传导阻滞,改善相关动脉的供血后,心律失常也随之改善。
临床提示:该案例提示我们溶栓治疗对于严重的慢性闭塞病变治疗效果不佳;右室心肌梗死相对而言有诊断及治疗的特殊性;及时开通梗死相关动脉可以挽救存活心肌并减少并发症。
来源:《心血管疑难病例解析》
作者:刘晓红
参编:李丽琪 米春林 郭江林 冀友瑞 来春林
页码:105-116
出版:人民卫生出版社
- 评价此内容
- 我要打分
近期推荐
热门关键词
最新会议
- 2013循证医学和实效研究方法学研讨会
- 欧洲心脏病学会年会
- 世界帕金森病和相关疾病2013年会议
- 英国介入放射学学会2013年第25届年会
- 美国血液学会2013年年会
- 美国癫痫学会2013年第67届年会
- 肥胖学会 2013年年会
- 2013年第9届欧洲抗体会议
- 国际精神病学协会 2013年会议
- 妇科肿瘤2013年第18届大会
- 国际创伤压力研究学会2013年第29届…
- 2013年第4届亚太地区骨质疏松症会议
- 皮肤病协会国际2013年会议
- 世界糖尿病2013年大会
- 2013年国际成瘾性药年会
- 彭晓霞---诊断试验的Meta分析
- 武姗姗---累积Meta分析和TSA分析
- 孙凤---Network Meta分析
- 杨智荣---Cochrane综述实战经验分享
- 杨祖耀---疾病频率资料的Meta分析
合作伙伴
Copyright g-medon.com All Rights Reserved 环球医学资讯 未经授权请勿转载!
网络实名:环球医学:京ICP备08004413号-2
关于我们|
我们的服务|版权及责任声明|联系我们
互联网药品信息服务资格证书(京)-经营性-2017-0027
互联网医疗保健信息服务复核同意书 京卫计网审[2015]第0344号




会员登录

