-
SLE也能引起肺动脉高压?
环球医学资讯
2017年12月26日
点击量:604
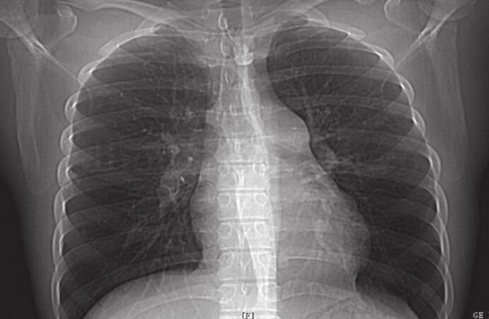
1小时条评论患者,女,21岁。因反复咳嗽、心悸、气短入院,经查体,诊断为肺动脉高压。经了解,患者于1年前出现手指雷诺现象,容易脱发,患者患肺动脉高压是否有其他原因? 【临床资料】 患者,女,21岁。因反复咳嗽7个月,活动后心悸、气短1个月入院。患者7个月前出现咳嗽,...
-
因自身免疫病引起的肺动脉高压 您知道吗?
环球医学资讯
2017年12月26日
点击量:1898
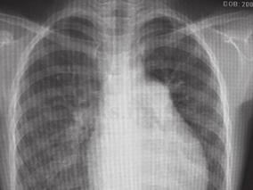
1小时条评论患者,男,17岁。自2006年来逐渐出现活动耐力下降,上楼时易气短,此次因活动后气短、乏力1年,晕厥2次来医院就诊,经过一系列检查被诊断为慢性血栓栓塞性肺动脉高压。然而,该患者年轻且无外伤、手术、卧床等血栓形成的易患因素,是什么原因导致患者形成血栓呢? ...
-
SLE也能引起肺动脉高压?
环球医学资讯
2017年12月26日
点击量:667
1小时条评论患者,女,21岁。因反复咳嗽、心悸、气短入院,经查体,诊断为肺动脉高压。经了解,患者于1年前出现手指雷诺现象,容易脱发,患者患肺动脉高压是否有其他原因? 【临床资料】 患者,女,21岁。因反复咳嗽7个月,活动后心悸、气短1个月入院。患者7个月前出现咳...
-
因自身免疫病引起的肺动脉高压 您知道吗?
环球医学资讯
2017年12月26日
点击量:317
1小时条评论患者,男,17岁。自2006年来逐渐出现活动耐力下降,上楼时易气短,此次因“活动后气短、乏力1年,晕厥2次”来医院就诊,经过一系列检查被诊断为“慢性血栓栓塞性肺动脉高压”。然而,该患者年轻且无外伤、手术、卧床等血栓形成的易患因素,是什么原因导致患者形成血...
-
HIV阳性患者活动后气短为哪般?
环球医学资讯
2017年12月21日
点击量:522
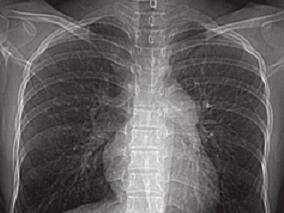
1小时条评论患者,女,33岁。近两年来查出HIV阳性,这次因活动后气短加重伴下肢水肿来院就诊。患者患有哪些疾病?详见以下病例 【临床资料】 患者,女,33岁。因活动后气短8年,加重伴下肢水肿2个月入院。8年前出现剧烈活动后气短,此后体力活动耐力逐渐下降,2008年在当地医...
-
一种特殊类型的肺动脉高压
环球医学资讯
2017年12月21日
点击量:352
1小时条评论46岁男性患者,5年前于外院诊断肝硬化,门静脉高压,长期服用拉米夫定。近来因活动后胸闷、气短3个月收入院。经检查,诊断为门脉高压相关性肺动脉高压。这种特殊类型的肺动脉高压的特点是什么?详见以下病例 【临床资料】 患者,男,46岁。因活动后胸闷、气短3个月...
-
如何鉴别小儿特发性肺动脉高压?
环球医学资讯
2017年12月19日
点击量:327
1小时条评论患儿,女,9岁。因活动后心悸、气短入院。其父亲死于肺动脉高压,家属中无其他人有类似疾病。查体:无发绀,左胸稍隆起,心界不大,心尖搏动呈抬举性,双肺未闻及干湿啰音。患儿发病的原因是否与遗传性的因素有关呢? 【临床资料】 患儿,女,9岁。因活动后心悸、...
-
小心!肺动脉高压也可能遗传
环球医学资讯
2017年12月19日
点击量:2349
1小时条评论父亲,42岁,因活动后胸闷、气短,曾被诊断为右心室心肌病。近来,偶有夜间憋醒,双下肢及颜面水肿。 女儿,16岁,因活动时胸骨后疼痛、气短1年来院诊治,被诊断为肺动脉高压,会不会是家族遗传呢? 【临床资料】 病例1 父亲,男性,42岁。因活动后胸闷、气短,间...
-
如何区分特发性肺动脉高压?
环球医学资讯
2017年12月12日
点击量:378
1小时条评论17岁女性患者,因活动后气短4年,反复晕厥2年入院。查体:双肺呼吸音清晰,未闻及干湿性啰音,双肺未闻及血管杂音。被当地医院诊断为肺动脉高压,如何鉴别是特发性还是继发性呢?详见以下病例 nbsp; 【临床资料】 患者,女,17岁。因活动后气短4年,反复晕厥2年入...
-
一种病死率可达50%的罕见肺血管畸形病
环球医学资讯
2017年12月12日
点击量:1070
1小时条评论56岁女性患者,发现口唇青紫40余年,活动后气短20余年,加重伴间断咯血3年。既往无其他疾病史。经检查,是一种比较罕见的肺血管畸形病,发病率约0.15%~0.2permil;,病死率可达50%左右。究竟是什么疾病呢? nbsp; 【临床资料】 患者,女,56岁。发现口唇青紫40余...










会员登录

