-
男28岁,因反复咳嗽、咳痰伴胸痛1个月余入院
环球医学资讯
2016年06月16日
点击量:466
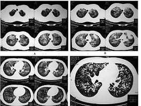
1小时条评论一、病史摘要 患者,男性,28岁,厨师。因反复咳嗽、咳痰伴胸痛1个月余,于2007年11月6日入院。患者于2007年9月21日无明显诱因出现咳嗽、咳白痰,量少,伴胸痛,自觉发热、盗汗、乏力、体重减轻、食欲差,进食后咳嗽伴呕吐,在当地医院行肺部CT检查(图20‐1),诊...
-
女63岁,因咳嗽、喘息11天入院
环球医学资讯
2016年06月16日
点击量:204
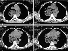
1小时条评论一、病史摘要 患者,女性,63岁,因咳嗽、喘息11天于2011年3月2日入院。患者2月20日晚因反酸、呕吐后出现咳嗽、喘息、气促,不能平卧,伴全身大汗,持续约1小时后自行缓解。数日来喘息症状反复发作,多在活动或进食后诱发或加重。2月24日至当地医院诊断为喘息性支气...
-
男11岁,因发热、咳嗽3天,喘息38小时,呼吸困难、…
环球医学资讯
2016年05月30日
点击量:658
1小时条评论患儿,男,11岁,学生。因发热、咳嗽3天,喘息38小时,呼吸困难、青紫2小时入院。 主诉、现病史、既往史及家族史 患儿3天前开始发热、咳嗽,体温最高38. 5℃,抗感染治疗2天,无好转; 38小时前开始喘息,渐加重,给予氟替卡松(辅舒酮)、沙丁胺醇(万托林)吸入治疗后...
-
男1岁7个月,因咳嗽、气喘2个多月入院
环球医学资讯
2016年05月30日
点击量:247
1小时条评论患儿,男性,1岁7个月,以咳嗽、气喘2个多月为主诉于2010年11月3日入住福建省立医院儿内科。 患儿2个多月来反复咳喘,剧烈时烦吵不安,喝水呛咳,在多家三甲医院给予头孢类药物、糖皮质激素、雾化等治疗,患儿咳喘时轻时重,外院肺部CT检查提示双肺呈磨玻璃样改变,...




会员登录

