-
冠状动脉造影时发现率仅为0.3%~0.8%的疾病
环球医学资讯
2017年12月06日
点击量:507
1小时条评论患者,女,17岁。因4个月前一过性头晕行超声心动图检查发现主动脉-肺动脉间存在异常血流,BP 120/80mmHg,心界不大,HR 80次/分,律齐,胸骨左缘第2、3肋间闻及3/6级收缩期吹风样杂音。可能是什么原因造成的?该如何补救? 【临床资料】 患者,女,17岁。入院前4个...
-
先心病中较常见的外周血管病变一例
环球医学资讯
2017年12月06日
点击量:310
1小时条评论患者,男,15岁。剧烈活动后心悸、气短,经查体发现心脏杂音12年,房间隔缺损修补术后9年。两次胸廓不对称,胸骨左缘第2~3肋间可闻及3/6级收缩期杂音。诊断为: 肺动脉狭窄。是否合并其它疾病? 【临床资料】 患者,男,15岁。因查体发现心脏杂音12年,房间隔缺...
-
小儿间断性呼吸困难还可能是因为……
环球医学资讯
2017年11月30日
点击量:445
1小时条评论患儿,女,1岁。因生后间断性呼吸困难,怀疑先天性心脏病就诊。经诊断心内结构未见明确异常,而是由一种罕见的先天性肺血管畸形所造成。详见以下病例 【临床资料】 患者,女,1岁。因生后间断性呼吸困难,怀疑先天性心脏病(简称先心病)就诊。查体:无特殊。胸片...
-
一种少见先天性肺血管畸形病
环球医学资讯
2017年12月06日
点击量:283
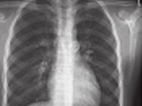
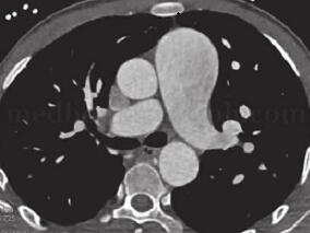
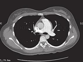
1小时条评论肺动脉异常起源于升主动脉(AOPA),是一种少见先天性肺血管畸形,该疾病的表现与其他常见大量左向右分流的先心病类似,无特异性症状和体征;因发病率低,所以常被忽视而漏诊、误诊。下面是2例这样的疾病 【临床资料】 例1 患者,男,28岁。活动后胸闷气短2年。 ...
-
肺动脉段明显突出 就是肺动脉高压吗?
环球医学资讯
2017年11月23日
点击量:905
1小时条评论特发性肺动脉扩张(IDPA)是一种比较少见的疾病,一般不需要治疗,预后良好。由于许多先天性和获得性心血管疾病均可引起肺动脉扩张,容易误诊,因此,正确鉴别IDPA和继发性肺动脉扩张有重要的临床意义。 【临床资料】 患者,女,20岁,因咳嗽、心悸2年入院。患者2...
-
患病率为二十万分之一的罕见疾病
环球医学资讯
2017年11月23日
点击量:603
1小时条评论22岁女性患者,3岁时因感冒就诊发现心脏杂音,诊断为先天性心脏病。半年前自觉食欲缺乏,活动后胸闷、气短,诊断为胃炎,十二指肠淤滞症,经保守治疗后好转出院。经检查有中度肺动脉高压,是否合并其他疾病? 【临床资料】 患者,女,22岁。3岁时因感冒就诊发现心...
-
6岁患儿肺动脉高压的原因是……
环球医学资讯
2017年11月16日
点击量:644
1小时条评论6岁患儿,男,因活动后胸闷、气短1年余入院。患儿1年前出现活动后胸闷、气短,无晕厥、咯血,院外检查发现肺动脉高压。肺动脉高压背后的原因是什么?详见以下病例 【临床资料】 患儿,男,6岁。因活动后胸闷、气短1年余入院。患儿1年前出现活动后胸闷、气短,无晕...
-
罕见动脉病——纤维肌性结构发育不良两例
环球医学资讯
2017年11月16日
点击量:492
1小时条评论肺动脉纤维肌性结构发育不良临床上罕见,且难以诊断。该文系阜外医院病理科阮英茆教授总结发表在中华病理学杂志(1998,27:396-397)上的2例病例报告,尸检证实均为肺动脉纤维肌性结构发育不良,实为难得,特此引用原文。 【临床资料】 例1 患者,女,46岁。因慢...
-
反复咳嗽、气促10余年 多次诊断慢阻肺却另有隐情
环球医学资讯
2017年11月10日
点击量:563
1小时条评论79岁男性,10余年前始,无明显诱因反复出现咳嗽、咳白色黏痰,症状多于气候变化或冬春季节明显,曾在当地卫生所按慢性支气管炎治疗可好转,但病情反复,并逐渐出现气促,病情呈进行性加重。2年前始,因上述症状加重,先后4次住院治疗诊断为慢性阻塞性肺疾病。该患者...
-
结节病非治不可吗?
环球医学资讯
2017年11月10日
点击量:247
1小时条评论本病例特点如下:①患者为33岁的青年男性。②1个月余前始无明显诱因出现消瘦、盗汗、右眼视力下降。③既往有右眼外伤、雪卡中毒史。④查体:颈部及左锁骨上可扪及数个绿豆至花生大小的淋巴结,质中,活动,无压痛,边界清。眼科发现有右眼视网膜脱离。⑤胸部CT 提示...










会员登录

