男46岁,心悸、气短、乏力、纳差1个月
一、病情介绍
患者男性,46岁。
主诉:心悸、气短、乏力、纳差1个月。
现病史:患者近1个月无明显诱因出现心悸、气短、乏力、纳差,不伴头晕、头痛、恶心、呕吐、胸痛、腹痛、腹泻等不适,且呈进行性加重,活动耐量渐减低,上2楼即需休息。曾于本院行心电图检查发现“心律失常:心房颤动”,因个人原因未入院治疗,自行服用药物治疗(具体不详),效果不佳,曾于本月19日因心悸、气短加重入本院急诊科,对症处理后症状缓解,但仍未住院。心悸、气短症状持续存在,乏力、纳差进行性加重,为求进一步诊治收入院。患者自发病以来,精神、食欲、睡眠均差,大小便如常,体重减轻约8kg。
既往史:否认“高血压”、“糖尿病”、“冠心病”等病史,否认“肝炎”、“结核”等传染病病史,否认手术史、外伤史、输血史,否认药物及食物过敏史。平时饮食规律,否认挑食及嗜食异物史。
查体:T 36.0℃,P 70次/分,R 20次/分,BP 120/80mmHg,H 180cm,W 90kg。发育正常,营养良好,焦虑面容,神清语利,精神智能正常,查体合作。全身未触及肿大淋巴结,皮肤黏膜无皮疹、黄染。唇红,颈静脉无怒张,双肺呼吸音清,未闻及干、湿啰音。心尖搏动点位于左锁骨中线外侧1.5cm处,心率70次/分,律齐,心音低钝,各瓣膜区未闻及病理性杂音。腹平软,肝脏增大,分别于肋下及剑突下2cm触及肝缘,未触及脾脏,双下肢水肿。肢体感觉、肌力、深浅反射正常,双侧巴氏征、布氏征均为阴性。
辅助检查:
入院后心电图示:心房颤动,电轴不偏,ST-T改变。
心肌酶:AST 21U/L,LDH 417U/L,CK 52U/L,CK-MB 9%。
肌钙蛋白0.09ng/ml。
腹部B超:肝淤血,慢性胆囊炎,胆结石。
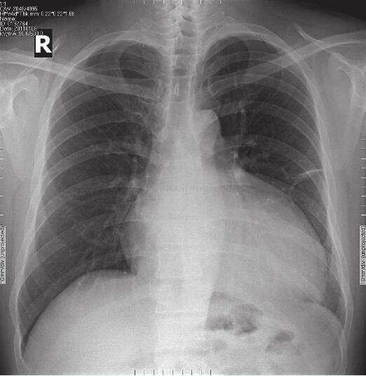
胸片:心影增大(图1-4-1)。
心脏彩超:全心扩大,二尖瓣少、中量反流,主动脉瓣少量反流,左心功能减低。
入院诊断:扩张型心肌病
心律失常
心房颤动伴快速心室反应
室性期前收缩
短阵室性心动过速
心脏扩大
心功能Ⅳ级
慢性胆囊炎
胆结石

图1-4-1 治疗前胸片
二、病例分析
(一)病例特点
1. 患者中年男性,既往否认“高血压”、“冠心病”等病史,近1个月出现心悸、气短、乏力、纳差等心功能不全表现。
2. 患者近1个月无明显诱因出现心悸、气短、乏力、纳差,不伴头晕、头痛、恶心、呕吐、胸痛、腹痛、腹泻等不适,且呈进行性加重,活动耐量渐减低,曾行心电图检查示心房颤动,自行服用药物治疗,效果差。心悸、气短症状持续存在,乏力、纳差呈进行性加重,夜间睡眠中有憋醒发生。
3. 查体心脏扩大且有肝脏肿大,下肢水肿。
4. 辅助检查 入院胸片、B超及心脏彩超均提示心功能不全。
(二)明确的诊断及依据
根据患者的病史、症状、体征、辅助检查考虑:扩张型心肌病,心律失常:心房颤动伴快速心室反应,室性期前收缩,短阵室性心动过速,心脏扩大,心功能Ⅳ级,慢性胆囊炎,胆结石。
(三)鉴别诊断
1. 缺血性心肌病
其基本病因是冠状动脉动力性和(或)阻力性因素引起的冠状动脉狭窄或闭塞性病变,是指由于长期心肌缺血导致心肌局限性或弥漫性纤维化,从而产生心脏收缩和(或)舒张功能受损,引起心脏扩大、充血性心力衰竭、心律失常等一系列临床表现的临床综合征。在某些冠心病病人中,由于心肌缺血引起心肌弥漫性纤维化,产生了一些类似于扩张型心肌病样表现。1995年WHO把缺血性心肌病定义为表现为扩张型心肌病伴收缩功能损害,其临床表现不能完全用冠状动脉病变和缺血的严重程度来解释者,患者有冠状动脉受累的临床指征,包括:休息或运动时监测心电图不正常,超声心动图异常以及心肌灌注不良等。该患者明确否认冠心病病史,需进一步明确相关检查,如冠脉造影、心肌核素扫描以明确冠脉血管情况。
2. 心肌病
包括扩张型心肌病,肥厚型心肌病,限制型心肌病等。其中扩张型心肌病较为常见,可发生于任何年龄,中年多见,可有心肌炎病史,临床表现可有进行性活动后心悸、气短,严重时可出现夜间阵发性呼吸困难,可伴水肿、少尿、腹胀、食欲减退,超声心动图可见四个心腔扩大,室壁均匀性变薄,室壁运动弥漫性减弱,心脏收缩及舒张功能降低。心电图多样化而不具特征性,可有多导联ST-T改变,可出现各种心律失常,部分病例可见病理性Q波。该患者目前有明确的临床表现支持此诊断,但心脏彩超提示存在节段性室壁运动异常,故需进一步除外缺血性心肌病后才能确诊。
三、入院后的辅助检查
入院后动态心电图示:24小时心搏总数74886次,平均心率52次/分,最慢41次/分,最快85次/分,全程为心房颤动,频发多源室性期前收缩,时呈二、三联律,有时成对出现或形成短阵性室性心动过速(由3~5个心搏组成)。
复查胸片:心影扩大,左肺纤维索条影(图1-4-2)。
复查心脏彩超:左室前壁节段性室壁运动异常,全心增大,心搏减弱,考虑缺血性心肌病,EF 18%。
多次复查心肌酶包括肌钙蛋白均在正常范围之内。

图1-4-2 治疗后胸片
四、入院治疗后的病情变化及存在的问题
1. 入院后给予减轻心脏前后负荷,增加心肌收缩力,控制心室率,预防栓塞并发症,抑酸保护胃黏膜等治疗,患者心悸、气短症状缓解,乏力感减轻,食欲好转,生命体征平稳,多次复查肝肾功能、电解质、血凝系列等指标大致正常,抗心衰治疗后复查肌钙蛋白恢复正常,进一步支持心功能不全诊断。1周后复查胸片提示心影大,但较前缩小(见图1-4-2)。
2. 复查心脏彩超提示左室前壁节段性室壁运动异常,全心增大,心搏减弱,考虑缺血性心肌病,患者没有明确的“高血压”、“冠心病”等病史,目前出现心衰表现,全心扩大,需进一步完善相关检查明确心脏扩大原因,寻找基础病因。
五、进一步诊断的思路
复查心肌酶学、肌钙蛋白、电解质等。观察心电图动态演变。必要时行冠脉造影检查或冠脉CT明确是否存在冠脉病变。
六、病情转归
入院后给予减轻心脏前后负荷,增加心肌收缩力,控制心室率,预防栓塞并发症,抑酸保护胃黏膜等治疗,患者心衰症状缓解。患者入院时查白蛋白低,考虑与纳差有关,给予积极营养支持治疗后复查白蛋白恢复正常,低蛋白血症纠正。
患者临床症状显著改善,病情相对平稳,考虑到患者心脏大、心功能差,行冠脉造影本身即存在很大危险,尚不能明确心脏扩大原因。结合患者病史及辅助检查结果,仍考虑扩张型心肌病,患者不同意进一步检查,故出院。
七、随访结果
患者入北京阜外心血管医院后进一步完善相关检查,行放射性核素扫描、冠脉螺旋CT及心脏彩超等检查冠脉未见异常,故仍考虑扩张型心肌病。继续抗心衰,稳定心室率,预防栓塞并发症等治疗,建议患者必要时行心脏移植治疗。患者一般情况好,从事一般日常活动无不适,定期复查肝肾功能、电解质、血脂系列、血凝系列等指标正常。
八、最后诊断
扩张型心肌病
心律失常
心房颤动伴快速心室反应
室性期前收缩
短阵室性心动过速
心脏扩大
心功能Ⅳ级
慢性胆囊炎
胆结石
低蛋白血症
九、病例相关的问题及解答
(一)扩张型心肌病可能的病因是什么?
本病的病因迄今未明,目前已发现本病与下列因素有关:
1. 病因
感染动物实验中柯萨奇病毒、脑心肌炎病毒不仅可以引起病毒性心肌炎,且可以引起类似扩张型心肌病的病变,临床上急性病毒性心肌炎患者长期随访中发现转变为扩张型心肌病的机会显著大于一般人群。
扩张型心肌病患者心肌活体标本病毒检查有炎性表现,不少本病患者血中柯萨奇病毒B中和抗体滴定度比正常人高;近年来用分子生物学技术在本病患者的心肌活检标本中发现有肠道病毒或巨细胞病毒的RNA,以上均说明本病与病毒性心肌炎关系密切,本病有可能是感染的持续存在。
2. 基因及自身免疫
研究发现本病与组织相容抗原有关,与非本病患者相比,本病中HLAB27、HLAA2、HLADR4、HLADQ4各位点增加,而HLADRw6位点则减少,HLA的变化与常染色体隐性遗传有关,可以解释部分本病患者的家族性倾向。另一方面,可以有免疫反应的改变,增高对病毒感染的易感性,导致心肌自身免疫损伤。
3. 细胞免疫
本病患者中自然杀伤细胞活性减低,减弱机体的防御能力,抑制性T淋巴细胞数量及功能减低,由此发生细胞介导的免疫反应,引起血管和心肌损伤。
综上所述,目前认为本病的可能发病机制是先有柯萨奇病毒侵蚀心肌,在心肌内增殖并引起心肌细胞坏死,第二阶段在心肌内不能找到病毒,但有淋巴细胞增多,此种细胞对心肌细胞致敏,引起免疫反应并致心肌细胞坏死,后期炎性细胞浸润减少或消失,成为纤维化,与肥大或减少的心肌细胞相互交织,构成扩张型心肌病的病变。病毒感染、免疫反应学说虽是目前主要发病学说,但还有许多问题有待进一步研究。
(二)扩张型心肌病的病理改变是什么?
病检时可见扩张型心肌病患者的心脏重量增加,约为正常的一倍。各心腔扩大,心肌灰白而松弛。心室壁心肌虽肥大,但因室腔扩大而室壁厚度仍近乎正常。心内膜也可增厚。心腔内附壁血栓形成不少见。心肌纤维化常见,呈灶性分布于室壁的内缘,也可心壁成片受损,心脏的起搏传导系统均可受侵犯。
本病的心脏显微镜检查缺乏特异性发现。可以见到心肌纤维肥大,细胞核固缩、变形或消失,胞质内有空泡形成。纤维组织增多,或因间质胶原组织增多,或因局灶性心肌纤维被纤维组织所替代。心肌纤维可被条索状纤维组织所分割。心内膜中胶原和弹性纤维也增加。不同程度的退行性变可以见到,多数为心肌细胞溶解,尤其多见于病程长的病例。电镜检查见心肌细胞的线粒体肿胀,嵴断裂或消失;肌质膜间隙扩大,有纤维状物质与颗粒状脂褐素;肌原纤维可以消失。
心肌病变使心脏收缩力减弱。早期左心室等容收缩期左心室内压力上升速度减慢,射血速度也减慢。此时每搏输出量减少由加速心率代偿,心排血量尚可维持。以后左心室排空不尽,有残余血量,舒张末期压增高,逐步发展左心衰竭。逐渐左心房、肺动脉压力相继升高,最后出现右心衰竭。少数病例病变以右心室为主,则发展为右心衰竭。心室的扩张使房室瓣环扩大,造成二尖瓣或三尖瓣关闭不全。心腔扩张,心室壁内张力增大,氧耗增多,心肌肥厚、心率加速引起心肌相对缺血,而心肌摄氧的能力已达极限,因而可引起心绞痛。心肌病变涉及起搏和传导系统可引起各种心律失常。
(三)扩张型心肌病的临床表现是什么?
各年龄均可发病,但以中年居多。起病多缓慢,最初检查时发现心脏扩大,心功能代偿而无自觉不适。经过一段时间后症状逐步出现,这一时期有时可达10年以上。
症状以充血性心力衰竭为主,其中以气急和水肿为最常见。最初在劳动或劳累后气急,以后在轻度活动或休息时也有气急,或有夜间阵发性气急。由于心排血量低,患者常感乏力。体检见心率加快,心尖搏动点向左下移位,可有抬举性搏动,心浊音界向左扩大,常可听到第三音或第四音,心率快时呈奔马律。由于心腔扩大,可有相对性二尖瓣或三尖瓣关闭不全所致的收缩期吹风样杂音,此种杂音在心功能改善后减轻。血压多数正常,但晚期病例血压降低,脉压小,出现心力衰竭时舒张压可轻度升高。交替脉的出现提示左心衰竭。脉搏常较弱。心力衰竭时两肺底可有啰音。右心衰竭时肝脏肿大,水肿的出现从下肢开始,胸水和腹水在晚期患者中不少见。各种心律失常都可出现,为首见或主要的表现,并有多种心律失常合并存在而构成比较复杂的心律,可以反复发生,有时甚顽固。高度房室传导阻滞、心室颤动、窦房传导阻滞或暂停可导致阿-斯综合征,成为致死原因之一。此外,尚可有脑、肾、肺等处的栓塞。
(四)2007年中华心血管病学会提出扩张型心肌病的诊断参考标准是怎样的?
1. 左室舒张末内径(LVEDd)>5.0cm(女)或5.5cm(男)。
2. 左室射血分数小于45%和(或)左室缩短速率(FS)小于25%。
3. 左室舒张期末内径≥2.7cm。
4. 必须排除其他特异性(继发性)心肌病和地方性心肌病(克山病),包括高血压、冠心病、心脏瓣膜病、先天性心脏病、缺血性心肌病、围生期心肌病、酒精性心肌病、代谢性和内分泌性疾病如甲状腺功能亢进、甲状腺功能减退、淀粉样变性、糖尿病等所致的心肌病、遗传家族性神经肌肉障碍所致的心肌病、肺心病、心动过速性心肌病、全身系统性疾病如系统性红斑狼疮、类风湿关节炎等所致的心肌病、中毒性心肌病等才可诊断特发性扩张型心肌病。
5. 有条件者可检测患者血清中抗心肌肽类抗体如抗心肌线粒体ADP/ATP载体抗体、抗肌球蛋白抗体、抗β1受体抗体、抗M2胆碱能受体抗体,作为本病的辅助诊断。临床上难与冠心病鉴别者需作冠状动脉造影。
(五)扩张型心肌病的治疗原则是什么?
目前扩张型心肌病的治疗发生了较大变化,不仅强调改善心力衰竭症状,更注重预防其进展,改善预后。一般的常规治疗充血性心力衰竭的方法对于扩张型心肌病的治疗都是很有效的,强心、利尿、扩血管、营养心肌等都可以根据具体患者加以运用,并能取得较好的效果。同时,临床研究表明,β受体阻滞剂能使扩张型心肌病患者临床症状和心功能得到明显改善,并能显著改善预后,降低心血管事件的发生。左室舒张末期内径明显缩小,射血分数增加,左室舒张末期压力减低;长期治疗可能有效减低病死率和减少心脏移植率。原则上β受体阻滞剂治疗扩张型心肌病心力衰竭应尽量小剂量开始,逐渐增加至最大耐受水平。一般多不用于急性期,多用于缓解期。近年来,国内在中医药调节免疫、抗病毒、改善心肌代谢的基础上采用中西医结合治疗扩张型心肌病方面取得了明显有益的效果。研究发现,黄芪、牛磺酸、生脉制剂既具抗病毒的作用,又有调节机体免疫,且有抑制缺氧心肌细胞凋亡的作用,能显著改善心脏功能,提高临床疗效。
(六)扩张型心肌病,缺血性心肌病及不伴心肌梗死心脏已扩大的冠心病患者临床体征有何不同?
缺血性心肌病(ischemiccardiomyopathy,ICM)系指冬眠心肌、弥漫性心肌纤维化或多灶性心肌梗死,单独或相互组合,出现以心力衰竭为主要特征的一组临床综合征,其临床表现酷似扩张型心肌病,两者鉴别困难。而不伴陈旧性心肌梗死(old myocardial infarction,OMI)但心脏已扩大的冠心病(coronary heart disease,CHD)患者与前两者表现亦有相似之处。虽然以上3种患者的临床症状表现相似,但发病机制大不相同,其临床特征亦不全相同。有研究观察扩张型心肌病患者与缺血性心肌病患者,扩张型心肌病患者中男性占82.1%(男∶女≈4.6∶1),显著高于缺血性心肌病和不伴陈旧性心肌梗死的冠心病患者,其饮酒率显著高于缺血性心肌病患者。扩张型心肌病患者与不伴陈旧性心肌梗死的冠心病患者的频发室性期前收缩平均水平以及心房颤动的患病率显著高于缺血性心肌病患者。而扩张型心肌病与缺血性心肌病患者的二尖瓣反流情况重于不伴陈旧性心肌梗死的冠心病患者。缺血性心肌病患者糖尿病患病率远高于其他两种患者。缺血性心肌病患者与不伴陈旧性心肌梗死的冠心病患者的脑血管意外患病率远高于扩张型心肌病患者。伴陈旧性心肌梗死的冠心病患者的高血压患病率最高。各组患者之间的吸烟率、外周血管病变以及室性心动过速情况比较差异均无统计学意义。不伴陈旧性心肌梗死的冠心病患者的室间隔明显厚于且射血分数明显高于扩张型心肌病患者和缺血性心肌病患者,并且不伴陈旧性心肌梗死的冠心病患者的左心房直径平均水平显著低于其他两种患者。三者心脏功能与预后相差甚远,提示我们更要认真予以鉴别诊断,给予及时到位的药物与非药物治疗,改善患者的生活质量与预后。
(七)目前可以采用的鉴别扩张型心肌病与缺血性心肌病的方法有哪些?
1. 冠状动脉造影是比较直观确切的方法,是诊断冠心病的金标准,为鉴别两种疾病提供了比较准确的依据。
2. 超声心动图具有形态学诊断和血流动力学判断意义,对扩张型心肌病和缺血性心肌病的诊断与鉴别具有重要价值。超声心动图能够详细提供心脏形态学、血流动力学、功能学方面的客观信息,值得临床进一步推广。
3. 由于扩张型心肌病和缺血性心肌病核素99mTc-MIBI心肌灌注显像的不同,故99mTc-MIBI在心肌灌注中的特异性表现可以作为扩张型心肌病和缺血性心肌病的诊断和鉴别诊断方法,有较高的临床应用价值,与冠脉造影有很好的相关性,值得在临床推广应用。
4. C反应蛋白是一种急性非特异性时相反应性蛋白,是炎症标志物中最重要、最敏感的一种,C反应蛋白被认为与动脉粥样硬化、冠状动脉疾病的发生发展有着密切的关系,是冠心病的一种危险因子,其在急性冠脉综合征中显著升高已被普遍认识,并可判断冠心病的严重程度。实验表明缺血性心肌病患者C反应蛋白明显高于扩张型心肌病患者,说明C反应蛋白有望成为鉴别扩张型心肌病与缺血性心肌病的方法。
十、专家点评
本病例的疑难之处及疾病特点:本例患者以心悸、气短、乏力、纳差等心功能不全表现入院,基础没有“高血压”、“冠心病”等病史,症状呈进行性加重,活动耐量渐减低,曾行心电图检查示心房颤动,夜间睡眠中有憋醒发生。入院查体心脏扩大且有肝脏肿大、下肢水肿,拍胸片、B超及心脏彩超均提示心功能不全。患者为中年男性,需明确心功能不全的基础病因,患者否认近期有感冒及消化道感染病史,近期病毒性心肌炎基本可除外,结合其年龄因素,考虑扩张型心肌病可能性大,患者明确否认“冠心病”病史,但缺血性心肌病致心衰不能除外。本病例疑难之处在于明确心脏扩大的基础病因,积极治疗原发病,更好地改善患者预后。
临床提示及进展:扩张型心肌病是一类既有遗传因素又有非遗传原因造成的复合型心肌病,以左室、右室或双侧心室腔扩大为临床特征,心脏收缩功能降低。自然病史不确定,很多病人症状轻微或没有症状,有的病人的病程呈进行性恶化,有1/4在1年内死亡,半数在5年内病故,少数者生存时间较长。扩张型心肌病可在任何年龄发病,以中年常见,男性多于女性。扩张型心肌病的主要病理改变是心脏扩大,两侧心室均有明显扩大,心尖部常变薄,镜下病理改变特征为心肌间质纤维化、细胞浸润、肌细胞长大及心肌细胞变性等非特异性退行性改变。由于我们对扩张型心肌病认识不足,临床上容易作出错误诊断,因此必须提高对扩张型心肌病的认识,凡出现心悸、胸闷、气短、双下肢水肿等临床特点者,应引起高度重视,仔细采集病史,同时需要进行心脏彩超、心脏三位片及相关的检查,综合分析,从而提高诊断正确性,以避免误诊。
扩张型心肌病和缺血性心肌病在临床工作中均较常见,临床症状上难以区别,能否对两种疾病作出及时正确的诊断,是提高抢救成功的关键。两者有不同的病因、病理、病程、治疗方法和预后,因此,准确诊断和鉴别有重要的临床意义。扩张型心肌病是心肌病中常见的一种,而这种病迄今病因不明,因而缺乏特异性诊断指标;缺血性心脏病则病因明确,是心肌的血供长期不足,心肌组织发生营养障碍和萎缩,或大面积心肌梗死后显微组织增生所致。这两种疾病在临床上均较常见,而且临床表现又都表现为心脏扩大,出现心力衰竭和心律失常,因此在鉴别诊断上始终缺少特异性指标。15%的扩张型心肌病患者可以出现心绞痛,而不少缺血性心肌病患者则可能不出现胸闷、胸痛等临床症状。心脏超声多普勒检查如果有节段性室壁运动障碍或室壁瘤则支持缺血性心肌病的诊断,但也有不少患者并无此改变。近年来,冠脉造影检查技术的逐渐成熟,为鉴别两种疾病提供了比较准确的依据。有研究发现数例扩张型心肌病患者冠脉有局限性的斑块浸润(20%~40%狭窄),说明存在动脉硬化,而以往认为扩张型心肌病患者冠脉应完全正常,看来不是完全正确的,这方面更确切的机制有待进一步的研究。
来源:《心血管疑难病例解析》
作者:刘晓红
参编:李丽琪 米春林 郭江林 冀友瑞 来春林
页码:27-34
出版:人民卫生出版社
- 评价此内容
- 我要打分
近期推荐
热门关键词
最新会议
- 2013循证医学和实效研究方法学研讨会
- 欧洲心脏病学会年会
- 世界帕金森病和相关疾病2013年会议
- 英国介入放射学学会2013年第25届年会
- 美国血液学会2013年年会
- 美国癫痫学会2013年第67届年会
- 肥胖学会 2013年年会
- 2013年第9届欧洲抗体会议
- 国际精神病学协会 2013年会议
- 妇科肿瘤2013年第18届大会
- 国际创伤压力研究学会2013年第29届…
- 2013年第4届亚太地区骨质疏松症会议
- 皮肤病协会国际2013年会议
- 世界糖尿病2013年大会
- 2013年国际成瘾性药年会
- 彭晓霞---诊断试验的Meta分析
- 武姗姗---累积Meta分析和TSA分析
- 孙凤---Network Meta分析
- 杨智荣---Cochrane综述实战经验分享
- 杨祖耀---疾病频率资料的Meta分析
合作伙伴
Copyright g-medon.com All Rights Reserved 环球医学资讯 未经授权请勿转载!
网络实名:环球医学:京ICP备08004413号-2
关于我们|
我们的服务|版权及责任声明|联系我们
互联网药品信息服务资格证书(京)-经营性-2017-0027
互联网医疗保健信息服务复核同意书 京卫计网审[2015]第0344号




会员登录

