男44岁,心悸、乏力、胸部不适1年余,进行性加重,近期活动气短
【病例1】
病例和相关检查 患者,男性,44岁,心悸、乏力、胸部不适1年余,进行性加重,近期出现活动气短,呼吸困难等症状。查体:心界增大,肝大,双下肢水肿,心脏听诊闻及第三及第四心音,偶发心律不齐。血压正常。X线检查:心影明显扩大,肺淤血。
超声图片 如图2‐1‐182,图2‐1‐183。

图2‐1‐182 心尖四腔心切面图心脏各心腔均扩大,以左室、左房扩大为著

图2‐1‐183 二尖瓣口水平M型超声左室呈“大心腔,小瓣口”改变,E峰至室间隔距离明显增大
超声描述 全心扩大,以左心为主,左室舒张末期内径78.5mm;主动脉振幅减低,呈充盈不足表现;二尖瓣开放相对小,左室呈“大心腔,小瓣口”,E峰至室间隔距离(EPSS)增大为25﹒6cm;室壁运动弥漫性减弱,左室射血分数34.5%;二尖瓣口E峰明显大于A,呈限制性充盈,二、三尖瓣中度反流;少量心包积液。
超声诊断 符合扩张型心肌病声像图改变,左室双期功能减低,二、三尖瓣中度反流(相对),少量心包积液。
临床最后诊断或病理诊断 临床经心内膜活检确诊为扩张型心肌病。
【讨论】
扩张型心肌病(dilated cardiomyopathy,DCM)是一种病因不清、发病机制尚待阐明、原发于心肌的疾病。以心肌广泛变性坏死、心肌收缩力减弱、心脏扩大、心力衰竭为主要病变。尽管病因尚未明确,但研究表明损伤的基本机制可能有三个方面:家族性及遗传性因素;病毒性心肌炎及其他细胞损害;免疫学异常。病理上,扩张型心肌病表现为心肌细胞减少,间质和血管周围纤维化,心脏四个心腔均明显扩大,心腔内可有附壁血栓。早期心肌舒张功能受损,继而收缩功能受损,心脏泵血功能衰竭,心脏排血功能减低,舒张末期压力增高,射血分数减少,肺循环、体循环淤血,最终导致严重的不可逆性心力衰竭。其临床症状是逐渐发展的。主要症状源于左室扩大,收缩功能下降而致的左心功能不全。最早出现的症状仅为疲倦无力,尤其是活动后,患者常不能耐受运动。晚期,静息状态下亦出现心功能不全症状,不同程度的呼吸困难、端坐呼吸、夜间阵发性呼吸困难甚至肺水肿。体检常显示有不同程度的心脏扩大和充血性心力衰竭表现。超声心动图对本病诊断有重要的意义。
常见超声表现
1﹒二维超声
(1)四个房室腔均明显增大,以左室、左房为著。侵犯右心的心肌病表现右心扩大为主(图2‐1‐184)。
(2)左室壁厚度相对变薄,部分病例也可略增厚。室壁弥漫性运动减弱。
(3)左室心尖部附壁血栓形成,随室壁运动轻度移动。血栓回声水平根据形成时间不同、机化程度不同而呈略低或略高回声,形状不规则(图2‐1‐185)。

图2‐1‐184 侵犯右心的心肌病,右房、右室明显扩大

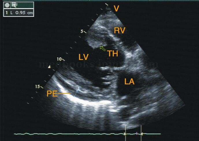
图2‐1‐185 左室长轴切面:室间隔靠近心尖部见一略强回声光团,中心回声略低;左室后壁后可见少量心包积液。TH:血栓
2﹒M型超声
(1)二尖瓣波群见左室明显增大,右室扩大,二尖瓣前后叶开放幅度变小,呈“钻石样”改变,形成“大心腔,小开口”,但前后叶仍呈镜像运动。E峰至室间隔距离(EPSS)明显增大,一般>10mm。
(2)室间隔及左室壁振幅弥漫性减低,以左室后壁为著。后壁振幅≤7mm,室间隔振幅≤3mm(图2‐1‐186)。
(3)心底波群见主动脉振幅减低或低平,主动脉瓣开放小,关闭速度减慢(图2‐1‐187)。

图2‐1‐186 左室M型超声室间隔及左室后壁运动幅度减低,厚度相对变薄

图2‐1‐187 心底波群M型超声主动脉根部振幅减低,瓣膜开放小,关闭速度减慢
(4)左心室收缩功能减低:左室射血分数(EF)≤30%,左室短轴缩短率(ΔD)≤15%~20%(见图2‐1‐188)。
3﹒彩色多普勒
(1)彩色多普勒可见各瓣口血流色彩暗淡。
(2)合并多瓣膜反流,最常见于二、三尖瓣、肺动脉瓣(图2‐1‐189)。
4﹒频谱多普勒
(1)各瓣口血流速度降低(图2‐1‐190)。

图2‐1‐188 左室收缩功能减低,EF、ΔD减低

图2‐1‐189 心尖四腔心切面彩色多普勒图像收缩期左、右房内出现蓝色稍花血流束
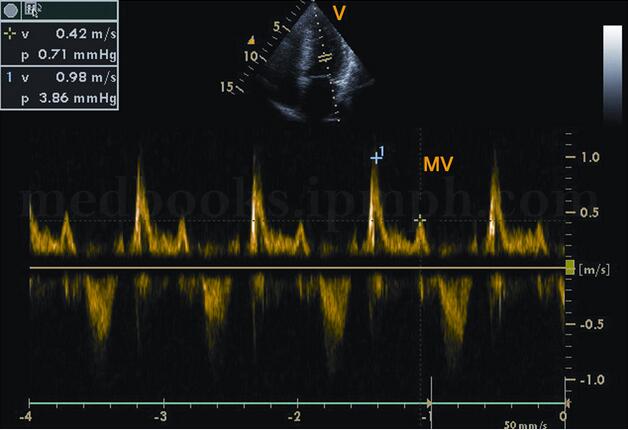
(2)二尖瓣口血流频谱异常的形态随疾病时期和程度不同,表现形式各异。①早期:A峰增高,E峰减低,E/A<1.0(图2‐1‐191)。②中期:呈“假性正常化”,二尖瓣E峰正常或稍增高,A峰减低,E/A>1.0(见图2‐1‐192)。DTI可以帮助鉴别这种“假性正常化”。③晚期:“限制性”充盈,E峰呈高耸的尖峰波,A峰极低或消失,E/A>1.5~2.0(图2‐1‐193)。
5﹒组织速度成像(TVI)正常人二尖瓣环组织多普勒Em峰>Am峰(图2‐1‐194)。扩张型心肌病室间隔二尖瓣环水平组织多普勒Em峰<Am峰(图2‐1‐195),等容舒张期延长。
鉴别诊断
1﹒缺血性心肌病 详见表2‐1‐1。
2﹒围生期心肌病及酒精性心肌病 围生期心肌病(PPCM)、酒精性心肌病(AHCM)在超声心动图上基本上与扩张型心肌病(DCM)无法鉴别,主要依靠病史。
(1)病史:PPCM发病时间局限在妊娠最后3个月或产后6个月内;既往无心血管系统疾病史,除外其他心血管疾病。AHCM均具有长期大量饮酒病史,一般每天摄取白酒150ml以上,持续5年以上,可形成AHCM。DCM无任何明确病史。
(2)超声心动图:这三种疾病都表现为全心扩大,室壁运动弥漫性减弱,合并二尖瓣、三尖瓣反流,心室内可有附壁血栓。但PPCM和AHCM一般情况下以左心室增大为著,其他房室腔变化较轻。

图2‐1‐190 主动脉瓣口血流峰值流速(Vmax)、流速积分(VTI)均减低

图2‐1‐191 二尖瓣口血流频谱:病变早期表现为A峰增高、E峰减低,E/A<1.0

图2‐1‐192 二尖瓣口血流频谱:当舒张功能减低到一定程度出现E峰增高的假性正常化,E/A>1.0

图2‐1‐193 二尖瓣口血流频谱:舒张功能进一步减低,出现“限制性”充盈不良,E峰呈高耸的尖峰波,A峰极低或消失,E/A>2.0

图2‐1‐194 组织多普勒成像正常人二尖瓣环水平组织频谱多普勒,Em>Am

图2‐1‐195 组织多普勒成像扩张型心肌病患者二尖瓣环水平组织多普勒,Am>Em
表2‐1‐1 扩张型心肌病与缺血性心肌病的鉴别诊断

(3)PPCM和DCM通过心内膜心肌活检在鉴别上可提供重要依据,但在DCM和AHMD之间心内膜心肌活检也无法鉴别。
(4)根据治疗后效果进行鉴别:PPCM在治疗后心功能会有明显改善,心腔变小,有人甚至可以再次妊娠都未见复发。AHMD则禁酒是首要的治疗措施,禁酒配合内科治疗,大多数病人心功能明显好转,一年即可出现明显改善,心脏也可以恢复正常大小。DCM治疗后效果不显著,左心室也难以恢复至正常。
注意事项及误诊漏诊原因分析
检查时应注意观察房室大小及室壁、瓣膜运动情况,评价房室瓣反流存在与否及其程度,重点测定心脏的整体和局部收缩、舒张功能,以指导临床治疗,估测预后。目前,超声是诊断扩张型心肌病较为准确、特异的方法,但有时需与其他一些引起心腔扩大的疾病相鉴别,此时要注意详细询问病史并结合临床相关检查,逐一除外其他病变。
来源:《超声医学》
作者:唐 杰 姜玉新
参编:姚克纯 尹立雪 赵博文 张梅 王建华
页码:245-251
出版:人民卫生出版社
- 评价此内容
- 我要打分
近期推荐
热门关键词
最新会议
- 2013循证医学和实效研究方法学研讨会
- 欧洲心脏病学会年会
- 世界帕金森病和相关疾病2013年会议
- 英国介入放射学学会2013年第25届年会
- 美国血液学会2013年年会
- 美国癫痫学会2013年第67届年会
- 肥胖学会 2013年年会
- 2013年第9届欧洲抗体会议
- 国际精神病学协会 2013年会议
- 妇科肿瘤2013年第18届大会
- 国际创伤压力研究学会2013年第29届…
- 2013年第4届亚太地区骨质疏松症会议
- 皮肤病协会国际2013年会议
- 世界糖尿病2013年大会
- 2013年国际成瘾性药年会
- 彭晓霞---诊断试验的Meta分析
- 武姗姗---累积Meta分析和TSA分析
- 孙凤---Network Meta分析
- 杨智荣---Cochrane综述实战经验分享
- 杨祖耀---疾病频率资料的Meta分析
合作伙伴
Copyright g-medon.com All Rights Reserved 环球医学资讯 未经授权请勿转载!
网络实名:环球医学:京ICP备08004413号-2
关于我们|
我们的服务|版权及责任声明|联系我们
互联网药品信息服务资格证书(京)-经营性-2017-0027
互联网医疗保健信息服务复核同意书 京卫计网审[2015]第0344号




会员登录

