男68岁,喘憋反复发作13年,加重20天,夜间不能平卧2天
男性,68岁。
【主诉】
喘憋反复发作13年,加重20天,夜间不能平卧2天。
【现病史】
患者1997年曾于外院诊断为“急性心肌梗死”,予保守治疗,此后未规律服药;20天前活动后出现喘憋、胸闷,无胸痛,休息后缓解;2天前睡觉时从床上摔下,出现夜间不能平卧,且姿势改变时出现咳嗽、咳痰。入院后患者喘憋、气短、胸部隐痛,活动后明显加重,伴有咳嗽、咯白色黏痰、不能平卧。
【既往史】
否认高血压、糖尿病及传染病等病史。
【查体】
左下肺闻及湿啰音,心界向左扩大,心率123次/分,律齐,心前区可闻及收缩期杂音,肝脾不大,双下肢无水肿。舌暗,苔薄白,脉沉涩。
【辅助检查】
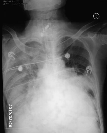
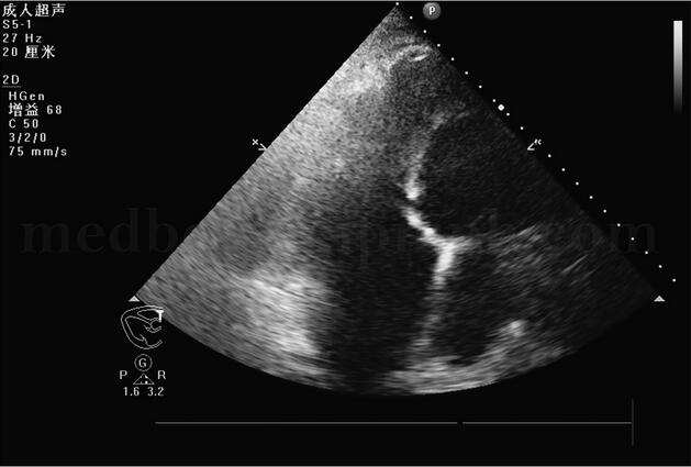
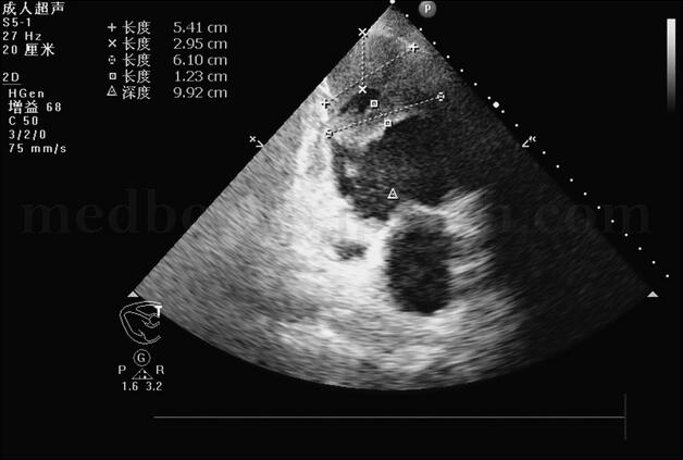
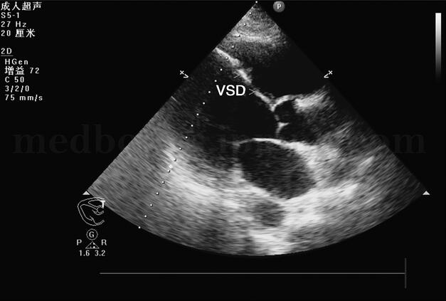
胸部X线片(图003‐1)示:肺水肿并双下肺感染改变;心尖部钙化,不除外室壁瘤可能;双侧胸腔积液,右侧叶间积液;右上肺高密度影。生化结果:心肌酶、肝肾功能正常。D‐二聚体:3129μg/L(0~300)。心电图(图003‐2)示:窦性心动过速,右束支传导阻滞,陈旧性前壁心肌梗死。超声心动图(图003‐3~图003‐5)显示室间隔破裂穿孔(因血栓封堵,无分流):室间隔中间可见两处回声缺失,直径均约为0.4cm,其左室面血栓形成。彩色多普勒:未见明确过隔分流。左室腔中间‐心尖段可见两块不规则形中低密度团块影附着,团块部分相互连接,两团块大小分别为5.4cm×2.95cm、6.1cm×1.23cm。

图003‐1 胸片

图003‐2 心电图

图003‐3 超声心动图1

图003‐4 超声心动图2

图003‐5 超声心动图3
【入院诊断】
中医诊断:喘证(气虚血瘀)。西医诊断:①冠状动脉粥样硬化性心脏病,陈旧性前壁心肌梗死,心功能Ⅳ级;②心脏破裂(室间隔穿孔);③肺部感染。
【治疗经过】
患者入院后完善相关检查,分别给予抗血小板、抗感染、血管紧张素转换酶抑制剂(ACEI)、利尿剂以及活血化瘀中药等治疗措施。患者入院第3天终因循环呼吸衰竭而死亡。
【讨论】
气虚血瘀证贯穿于诸多疾病中,如心病、脑病、肝病、肺病、肾病、脾胃病等。如何深化研究心脉病证之气虚血瘀证是摆在我们面前的课题。临床上气虚证和血瘀证的因果关系如何?多数情况下可能是气虚导致血瘀,诚如《医林改错》所言“元气既虚,必不能达于血管,血管无气,必停留而瘀”;然而目前气虚导致血瘀的过程尚缺乏物质形态学基础,理解起来还是不易。
本例患者摔伤后导致心脏破裂(室间隔两处穿孔),患者有血瘀证的全身表现,超声心动图发现左心室近心尖处有大量血栓影像,证实是血瘀证导致气虚证,随后发生气虚阳脱的病理结局。关于血瘀证导致气虚证的病机变化,在冠状动脉结扎动物模型上也得到了证实。目前结扎冠状动脉采用环缩术,即在冠状动脉前降支第1间隔支部位放置Ameroid缩窄环,克服了既往采用橡皮带结扎带来的用力不均一性,现已成功复制出冠心病血瘀气虚证模型。
益气活血治法在临床上取得了一系列成果,诸如经典方剂补阳还五汤治疗中风后遗症和冠心病心绞痛,具有益气活血作用之通心络胶囊的临床疗效则丰富了中医络病理论,其他如发挥速效作用的麝香保心丸、参芪益气滴丸等均取得了显著临床效果。如何进一步提高益气活血的临床疗效?我们认为应该从中医“风”的角度加以深化,将“风”引进冠心病领域也是目前人们继“毒”之后又一关注热点。
临床上动脉粥样硬化血栓相关性疾病(如心血管疾病、脑血管疾病、外周血管疾病、缺血性肾病、缺血性肠病,甚至代谢性心血管疾病糖尿病等)有一个共同特点,即发病迅速、变化多端、类似风证。“风”与冠心病的关联层出不穷:从冠心病的发病学来看,发病迅速、变化多端;从心绞痛发作部位、发作性质等不确定性也能联想至“风”;冠心病患者的心电图多变,诸如ST段的抬高与压低,新发左束支阻滞,阵发性左束支阻滞,室性心动过速,甚至心室颤动等,恶性心律失常机制——儿茶酚胺风暴更是反映“风性”。冠心病影像学[如造影观察到的冠状动脉TI MI血流变化、冠状动脉造影观察到的斑块形态多样性、血管内超声(IV US)或光学相干成像(OCT)观察到的易损斑块等]的多样、易损表现亦风也。从冠心病的治疗学来看,时间就是心肌、时间就是生命,也贯穿风性急变、抓紧时间救治之理念。
如何将风引进冠心病?我们认为动脉粥样硬化引起的急性心血管事件发病急骤,临床表现变化多端,类似中医风证;推测病位在心络,病因可能为风寒内侵、饮食不当、情志失调和年老体虚等。其病机包括虚实两端,实者,血瘀痰浊、郁腐成毒、热毒化风;虚者,久病入络、脉络失养、络虚风动。此热化之风或络虚之风,统称“络风”,也即动脉粥样硬化“络风内动”假说。冠心病急性心血管事件发生的病机为络风内动。外感六淫、毒随邪来,膏粱厚味、足生大疔,情志失调、毒邪变生,瘀血痰浊、郁腐生毒,多种渠道的“毒邪”导致毒损心络、心络变形、斑块破裂生风;此外,年老体虚、气血亏虚,久病入络、脉络空虚,络虚风动。此热化之风或络虚之风与冠状动脉斑块破裂过程有着内在的一致性(图003‐6)。
络风内动,当以息风通络之法。我们根据《别录》记载徐长卿“益气”,《福建民间草药》记载徐长卿“益气,逐风,强腰膝,解蛇毒”,为徐长卿“益气活血、息风通络”找到了依据。根据《太平圣惠方》记载“治恶疰心痛,闷绝欲死:鬼督邮(徐长卿)一两、安息香一两,做丸……”为其治疗急性冠状动脉综合征提供了依据。我们以徐长卿为君药,以威灵仙、人参、黄芪、三七等组成络衡滴丸,观察了90例不稳定型心绞痛患者,随机分为常规治疗组(30例)、络衡滴丸治疗组(30例)和通心络治疗组(30例),结果显示络衡滴丸治疗组患者心绞痛缓解的总有效率为93%,显著高于通心络治疗组和常规治疗组(P<0.05,P<0.01),且在降低血浆炎症介质水平(如C‐反应蛋白、白介素‐6、肿瘤坏死因子‐α、单核巨噬细胞‐1等)方面显著为优。推测络衡滴丸可能通过益气、活血、解毒、息风等环节起到稳定斑块、治疗心绞痛之作用。

图003‐6 动脉粥样硬化“络风内动”假说
来源:《心脏病学实践2011---中西医结合卷》
作者:胡大一 马长生 王 显
参编:赵海滨 陈可冀 陈凯先 张伯礼 朱海燕
页码:4-8
出版:人民卫生出版社
- 评价此内容
- 我要打分
近期推荐
热门关键词
最新会议
- 2013循证医学和实效研究方法学研讨会
- 欧洲心脏病学会年会
- 世界帕金森病和相关疾病2013年会议
- 英国介入放射学学会2013年第25届年会
- 美国血液学会2013年年会
- 美国癫痫学会2013年第67届年会
- 肥胖学会 2013年年会
- 2013年第9届欧洲抗体会议
- 国际精神病学协会 2013年会议
- 妇科肿瘤2013年第18届大会
- 国际创伤压力研究学会2013年第29届…
- 2013年第4届亚太地区骨质疏松症会议
- 皮肤病协会国际2013年会议
- 世界糖尿病2013年大会
- 2013年国际成瘾性药年会
- 彭晓霞---诊断试验的Meta分析
- 武姗姗---累积Meta分析和TSA分析
- 孙凤---Network Meta分析
- 杨智荣---Cochrane综述实战经验分享
- 杨祖耀---疾病频率资料的Meta分析
合作伙伴
Copyright g-medon.com All Rights Reserved 环球医学资讯 未经授权请勿转载!
网络实名:环球医学:京ICP备08004413号-2
关于我们|
我们的服务|版权及责任声明|联系我们
互联网药品信息服务资格证书(京)-经营性-2017-0027
互联网医疗保健信息服务复核同意书 京卫计网审[2015]第0344号




会员登录

