女44岁,反复咳嗽、低热5年余,呼吸困难、腹胀、下肢水肿10天
病史和相关检查
患者,女性,44岁。反复咳嗽、低热5年余,呼吸困难、腹胀、下肢水肿10天来诊。
查体:慢性病容,双肺可闻及湿性啰音,心脏浊音界向两侧扩大,心尖搏动弱,心音低而遥远,颈静脉怒张,肝大,腹水,下肢轻度水肿。
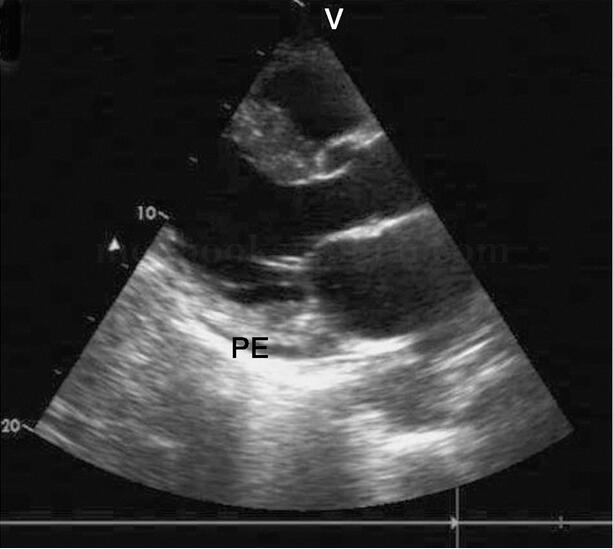
超声图片 如图2‐1‐220。

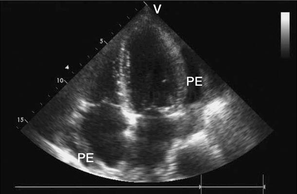
图2‐1‐220 中‐大量心包积液
A﹒左室长轴切面;B﹒心尖四腔心切面;PE:心包积液
超声描述 心脏各房室腔内径正常。升主动脉及主肺动脉内径正常。左室壁厚度正常,静息状态下未见节段性室壁运动异常,左室整体收缩功能正常。各瓣膜形态结构及启闭正常。心包腔内可见中~大量液性暗区。下腔静脉略增宽,塌陷指数略减低。各瓣膜血流频谱速度随呼吸变化幅度略有改变。
超声诊断 中~大量心包积液;下腔静脉略增宽,塌陷指数略减低。
临床最后诊断或病理诊断 浸润型肺结核,结核性心包炎。
【讨论】
心包积液系因心包脏、壁层受到刺激或损伤而发生。急性、迅速集聚的心包渗液比较少见,多由外伤、医源性心室壁穿刺或主动脉夹层而导致血液进入心包腔。心包积液大多数为慢性。
病因:心包积液的病因很多,可由病原微生物和某些代谢产物引起脏、壁层心包发生炎症反应,大多是一种伴发疾病,见于特发性或病毒性心包炎、结核性心包炎、尿毒症性心包炎、胶原性血管疾病、心肌梗死、黏液性水肿、硬皮病或肿瘤病变等。有些由全身各部位的病变所致,有些由各种物理因素和化学因素所致。引起心包积液的常见病因见表2‐1‐2。

表2‐1‐2 心包积液的病因分类
病理:心包积液绝大部分是由心包炎演变而来,多为渗出性。根据病因及炎症性质不同,积液可分为浆液性、纤维素性及浆液纤维素性、化脓性、出血性、新生物性、肉芽肿性等;根据病程又可分为急性、亚急性和慢性。病程在6周内为急性,6周至半年内为亚急性,超过半年为慢性。积液常为弥漫性,有的可为局限性。多数为纤维性,部分为浆液性。可痊愈。患急性纤维蛋白性心包炎时,在心包的壁层和脏层上附着一层纤维素渗出物,由浆液、纤维蛋白、白细胞、少许内皮细胞及变性坏死的组织所组成,这些渗出物可局限于一处或布满整个心脏表面。各种病因引起的心包炎都可产生血性渗出液,但以结核及肿瘤性最多见。肿瘤、外伤、结核及上腔静脉血栓形成,可导致淋巴液淤积及淋巴管破裂,引起乳糜性心包积液。
病理生理:心包积液引起的血流动力学变化,主要与心包腔内液体增长速度、液体量、积液性质、心包顺应性等因素有关。心包积液增长速度越快,积液量越多,对血流动力学的影响越大。急性纤维蛋白性心包炎一般不影响血流动力学,影响血流动力学变化的主要是渗出性心包炎。急性渗出性心包炎,其液体产生速度可超过心包代偿性扩张的程度,使心包腔压力急剧升高,150~200ml心包积液就可引起心包填塞。此时,心包腔内压力迅速上升,心房及心室的舒张活动受限,使心室的舒张压升高,心室舒张充盈受限,心室充盈急剧下降,导致心排血量减少,收缩压下降,体循环静脉和肺静脉压升高,可导致严重的血流动力学障碍,发生急性循环衰竭。心包压力增加缓慢者,即使液体量达到1000~2000ml,心包腔内压力可无明显升高,血流动力学无明显变化。
临床表现:取决于积液对心脏的压塞程度,轻者仍能维持正常的血流动力学,重者出现循环障碍或衰竭。呼吸困难是心包积液时最突出的症状,可能与支气管、肺受压及肺淤血等有关。也可因压迫气管、食管而产生干咳、声音嘶哑及吞咽困难。此外尚可有发冷、发热、心前区或上腹部闷胀、乏力、烦躁等。体征主要有心脏浊音界向两侧增大;心尖搏动弱;心音低而遥远;大量渗液可使收缩压降低,而舒张压变化不大,故脉压变小。按心包积液对心脏的压塞程度,脉搏可正常、减弱或出现奇脉。大量渗液可累及静脉回流,出现颈静脉怒张、肝大、腹水及下肢水肿。
常见超声表现
M型超声心动图可对本病可作出明确诊断,但是M型超声心动图不能全面反映心包积液的分布情况,定量估计积液量的误差可能较大。二维超声心动图为检查本病的最佳方法,优于M型超声心动图。二维超声心动图可在多个二维平面上观察心包积液的部位、范围及其与周围组织结构的空间关系,能全面观察心包积液的分布情况等。左心室长轴切面可观察到左室后壁及右室前壁心包内液性暗区;左心室短轴切面可显示左心室不同水平及部位的心包积液。
超声心动图把心包积液量分为微量、少量、中量及大量四个等级。
1﹒微量心包积液 心包腔内有液体30~50ml,局限于房室沟附近的左室后下壁区域,收缩期出现,舒张期可消失。超声心动图取左室长轴切面,M型和二维超声心动图显示左室后壁心包腔内液性暗区宽约0.2~0.3cm,而右室前壁不出现液性暗区,见图2‐1‐221。
2﹒少量心包积液 心包腔内液体约50~100ml,收缩期及舒张期均可见。
(1)M型超声心动图:左室后壁心包腔内液性暗区宽0.3~0.5cm左右,而右心室前壁心包腔内无液性暗区。
(2)二维超声心动图:在左室长轴切面上,积液可仅局限于左室后壁的后方、房室瓣环远端的左室后方,而心脏的前方、外侧和心尖部通常无液性暗区。在胸骨旁二尖瓣水平短轴切面,左室后壁心包腔内出现小弧形或月牙形液性暗区,见图2‐1‐222。

图2‐1‐221 微量心包积液PE:心包积液

图2‐1‐222 少量心包积液PE:心包积液
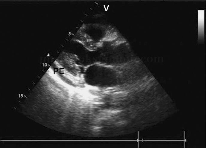
3﹒中量心包积液 心包腔内液体100~500ml。
(1)M型超声心动图:心尖及心室波群切面上,左心室后壁心包腔内液性暗区宽0.5~1.0cm,见图2‐1‐223,右心室前壁心包腔内液性暗区宽约0.2~0.5cm;主动脉根部运动幅度减低,左心房后心包腔内偶见少量液性暗区。
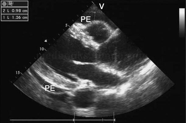
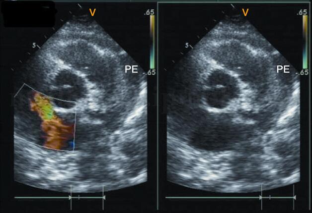
(2)二维超声心动图:积液主要局限于左室后壁区域,也可少量存在于前侧壁、心尖部,左房后方偶可见液性暗区,见图2‐1‐224。在大动脉短轴切面,右室流出道前方可见液性暗区,见图2‐1‐225。在心尖四腔心切面上,右室、左室侧壁、心尖部也可检测到液性暗区,如图2‐1‐226所示,液性暗区位于右房顶部及左心室外侧。剑突下四腔心切面液体位于右室前壁、心尖部和左室后壁。

图2‐1‐223 M型超声心动图显示中量心包积液,积液位于左室后壁PE:心包积液

图2‐1‐223 M型超声心动图显示中量心包积液,积液位于左室后壁PE:心包积液

图2‐1‐225 房间隔缺损患者,大动脉短轴切面显示中量心包积液PE:心包积液
4﹒大量心包积液 心包腔内液体超过500ml,积液包绕整个心脏,此时心脏在液体内摆动,即收缩期向前、舒张期向后。

图2‐1‐226 中量心包积液,心尖四腔心切面显示积液位于左室侧壁及右房顶部PE:心包积液
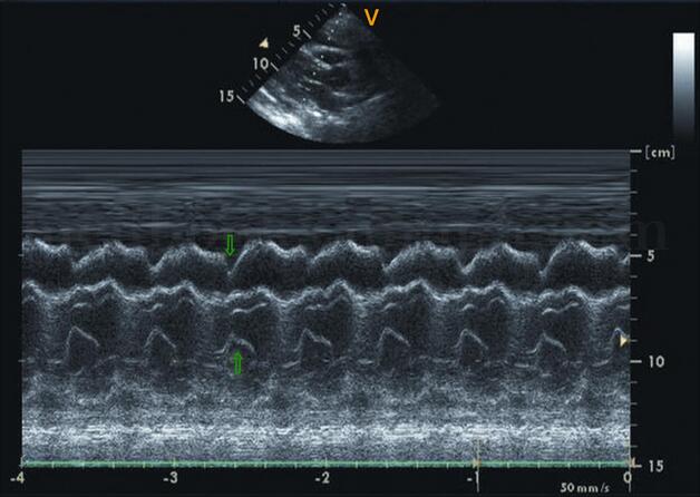
(1)M型超声心动图:左室后壁心包腔内液性暗区宽度约为1.0~2.5cm,右心室前壁心包腔内液性暗区宽度约为0.5~1.5cm;左心室后壁与室间隔同向运动;收缩期二尖瓣运动曲线EF斜率减低,右室前壁活动度增大及形态异常,可呈波浪式运动或塌陷征(图2‐1‐227),此时可能伴有心包填塞。
(2)二维超声心动图:整个心包腔内均可见较宽的液性暗区,液性暗区宽度大于2.0cm;心脏舒张受限,心腔内径缩小;部分患者可由于心包腔内压力

图2‐1‐227 大量心包积液
M型超声心动图示右室前壁与室间隔成同向运动,舒张早期右室前壁塌陷(上一个箭头所示),二尖瓣运动曲线EF斜率减低
过高而使右心室前壁、右心房后壁等部位出现凹陷(图2‐1‐228)。由于心包腔内有大量液体,心脏游离在液体内,出现前后或左右摆动,即心脏摆动征。升高的右房压可使下腔静脉、肝静脉扩张(图2‐1‐229)。
(3)彩色和脉冲多普勒:下腔静脉和肝静脉血流速度减慢,可见红色逆向的血流信号。
目前心包积液的估测有多种方法,比较简单、实用的方法是根据液性暗区宽度来估计积液量。一般认为,如果液性暗区宽0.3~0.5cm,液体量50~100ml;液性暗区宽0.5~1.0cm,液体量100~300ml;液性暗区宽1.0~2.0cm,液体量300~1000ml;液性暗区宽2.0cm以上时,液体量在1000ml以上。
鉴别诊断
主要与左侧胸腔积液和心外脂肪垫的鉴别。
1﹒左侧胸腔积液 胸腔积液时左室后壁与降主动脉的距离不变,左心室长轴切面显

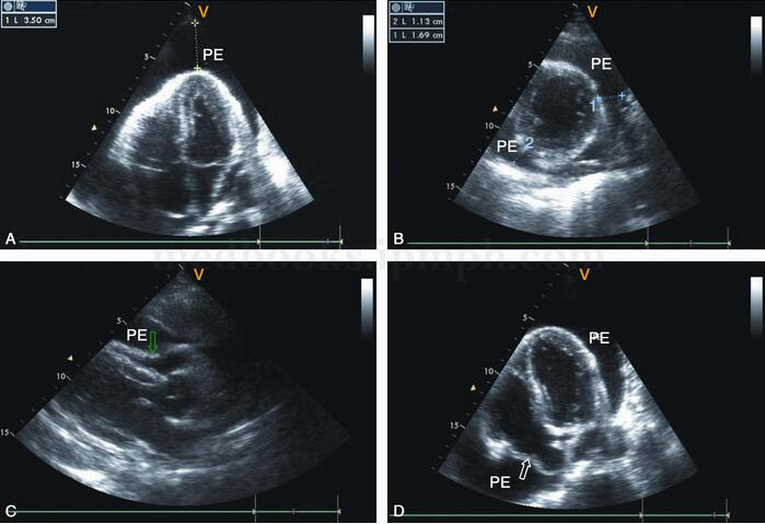
图2‐1‐228 大量心包积液
A﹒显示心尖部积液,厚度达35mm;B﹒左室短轴切面;C﹒大量心包积液使右室前壁受压塌陷;D﹒大量心包积液使右房壁受压塌陷PE:心包积液

图2‐1‐229 大量心包积液,肝静脉明显扩张
示液性暗区出现在降主动脉后方;而心包积液时液性暗区出现在心脏周围,左室后壁与降主动脉的距离加大。此外,左室后方存在大量液性暗区,而右室前方无液性暗区,通常提示为左侧胸腔积液,而非心包积液。
2﹒心外脂肪垫 左心室后壁心包腔内无液性暗区,加大增益,脂肪垫可出现点状回声。
注意事项及误诊漏诊原因分析
1﹒超声心动图检查心包积液操作简便,诊断迅速,并可动态观察心脏内部结构、心包积液程度和分布范围。但是,对于微量及少量心包积液,由于积液主要位于左室后壁后方的房室瓣环处,此时如果仪器的增益调节不当,可能会漏诊。同时需要注意的是,当发现微量或少量心包积液时,不要轻易诊断为急性心包炎,有时正常人或高血压患者左心室后壁心包腔内有少量或微量液体,但不需治疗即可消失。另外,慢性风湿性心脏病、扩张型心肌病、心力衰竭等心包腔内可出现少量积液,多无重要病理意义。
2﹒心包积液的液性暗区较小时,与心外脂肪垫不易鉴别。M型与二维超声心动图检查时可将心外脂肪垫误诊为心包积液。一般来讲,脂肪垫的回声稍高于液体,与真正的液性无回声区有所不同。
来源:《超声医学》
作者:唐 杰 姜玉新
参编:姚克纯 尹立雪 赵博文 张梅 王建华
页码:261-267
出版:人民卫生出版社
- 评价此内容
- 我要打分
近期推荐
热门关键词
最新会议
- 2013循证医学和实效研究方法学研讨会
- 欧洲心脏病学会年会
- 世界帕金森病和相关疾病2013年会议
- 英国介入放射学学会2013年第25届年会
- 美国血液学会2013年年会
- 美国癫痫学会2013年第67届年会
- 肥胖学会 2013年年会
- 2013年第9届欧洲抗体会议
- 国际精神病学协会 2013年会议
- 妇科肿瘤2013年第18届大会
- 国际创伤压力研究学会2013年第29届…
- 2013年第4届亚太地区骨质疏松症会议
- 皮肤病协会国际2013年会议
- 世界糖尿病2013年大会
- 2013年国际成瘾性药年会
- 彭晓霞---诊断试验的Meta分析
- 武姗姗---累积Meta分析和TSA分析
- 孙凤---Network Meta分析
- 杨智荣---Cochrane综述实战经验分享
- 杨祖耀---疾病频率资料的Meta分析
合作伙伴
Copyright g-medon.com All Rights Reserved 环球医学资讯 未经授权请勿转载!
网络实名:环球医学:京ICP备08004413号-2
关于我们|
我们的服务|版权及责任声明|联系我们
互联网药品信息服务资格证书(京)-经营性-2017-0027
互联网医疗保健信息服务复核同意书 京卫计网审[2015]第0344号




会员登录

