男8个月,生后发现心脏杂音,当地医师建议孩子长大点再治疗
患者,男孩,8个月,患儿家属带孩子就诊。
主诉:生后发现心脏杂音,当地医师建议孩子长大点再治疗。
一、根据家长主诉需要进一步询问。
1.患儿有无多发感冒和肺炎病史?
2.患儿生长发育的情况?
3.患儿是否有发绀现象?
4.患儿有无昏厥现象?
5.患儿有无智力障碍?
诊断思维提示:对于发现有心脏杂音的患儿,明确有无易感冒史及有无肺炎史,有助于区分是肺血增多型先天性心脏病,还是肺血减少型先天性心脏病,如果是肺血增多型先天性心脏病,还可帮助判断病情的轻重。患儿的生长发育是很重要的,先天性心脏病很多都会影响患儿的生长发育,严重先天性心脏病往往患儿的生长发育很差,同时这也会对决定手术时机有一定帮助。发绀的出现往往很容易判断为先天性心脏病,复杂的先天性心脏病往往发绀出现得较早,而流出道狭窄不是很严重的法洛四联症一般发绀在患儿6个月大以后出现。对于会走路的孩子一般还要问是否有“蹲踞”现象,这是法洛四联症患儿比较典型的表现。昏厥一般只有少数先天性心脏病会发生,如法洛四联症导致的缺氧发作,或者重度主动脉狭窄导致昏厥。通常,如果法洛四联症患儿出现缺氧发作,就需要尽早手术,甚至急诊手术。智力情况一般患儿父母很难说清楚,有些先天性心脏病同时会合并智力缺欠,如21三体综合征的患儿往往会合并先天性心脏病。
询问结果:患儿生后就发现了心脏杂音,患儿不易患感冒,也没得过肺炎,生长发育还可,体重不差于正常同年龄小儿,最近哭闹后可见口周有青紫,还没有发现有昏厥现象,没有发现有智力障碍。
根据患儿询问的结果,可考虑:患儿有先天性心脏病,法洛四联症,或者室间隔缺损,或者其他可能的先天性心脏病。
二、初步体检
1.患儿口唇是否发绀,手指及脚趾有无杵状指。
2.心前区是否有畸形或隆起,心前区是否有震颤。
3.足背动脉是否清晰。
4.患儿呼吸音是否粗糙。
5.肺部听诊是否有异常。
6.心前区听诊是否有杂音。
诊断思维提示:患儿家属有时不能明确发绀的情况,一般口唇较明显,如果长期发绀的话,手指及脚趾都可呈现杵状指,对发绀型先天性心脏病诊断有意义。如果患儿心脏较大的话,往往心前区可见隆起,有时触诊心前区可及震颤。足背动脉是否清晰,如果较弱的话,要怀疑是否有主动脉弓缩窄,或者中断。患有先天性心脏病的患儿往往呼吸音较粗,和先天性心脏病对肺部的影响有关,有些患儿还可听到明显的喘鸣音,则要考虑有无气管合并畸形。心脏杂音是很重要的,通常可在胸骨左缘3~4肋间可闻及粗糙的收缩期杂音,可伴有震颤。一般杂音愈低、愈短,则右心室流出道狭窄愈重。如患儿出现缺氧发作,则杂音消失。同时肺动脉瓣第2心音明显减弱、延长,甚至消失。如听到连续性杂音,多考虑为动脉导管未闭或者体肺侧支。
体检结果:患儿口唇有轻度发绀,未见明显杵状指,心前区略隆起,胸骨左缘可闻及粗糙的收缩期杂音,第二心音明显减弱。
三、进一步影像学检查
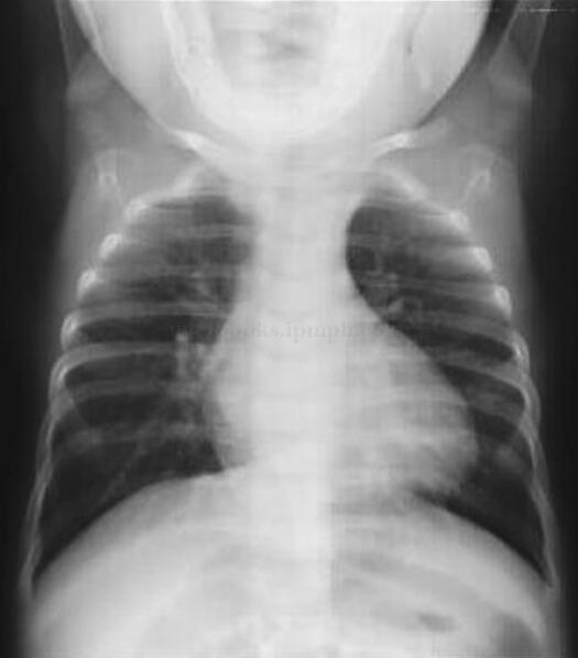
1.胸部X线检查。
诊断思维提示:胸部X线检查,主要为了评价心脏的形态和肺血的多少。对于区分肺血增多及减少型先天性心脏病有相当大的意义。法洛四联症的患儿特征为肺部血管纹理减少和左心腰凹陷形成“靴形心”。
检查结果:患儿右心房室增大,肺血管纹理明显减少(图73-1)。
2.心电图检查。
诊断思维提示:心电图检查,可明确术前法洛四联症患儿有无心律失常,同时右心室肥厚,电轴右偏对诊断有一定意义。
检查结果:患儿右心室肥厚,电轴右偏。
3.心脏超声检查。
诊断思维提示:目前,超声心动图能够确定大部分法洛四联症,同时也可以根据超声的结果制定手术方案。超声心动图能明确室间隔缺损的类型,大小,冠脉的情况,瓣膜的情况,初步确定肺动脉发育的情况,对手术或进一步检查有明确的指导意义。
检查结果:右心房室轻至中度增大,左心房室内径正常。主动脉内径增宽,骑跨于室间隔上约50%,室间隔嵴下回声脱失13.5mm,右心室流出道壁束及隔束增厚,内径偏窄,最窄处直径7.4mm。主肺动脉内径偏窄,左右肺动脉发育良好。肺动脉瓣回声偏强,开放活动欠佳。诊断:先天性心脏病,法洛四联症。
四、初步诊断
先天性心脏病,法洛四联症。

图73-1 法洛四联症X线检查
诊疗思维提示:先天性心脏病的诊断,目前较依赖心脏超声的检查结果,常见的先天性心脏病超声都可以作出明确的诊断,然而对于法洛四联症的患儿,如果提示肺动脉发育差,或者体肺侧支形成,一般还需要进一步检查,如心脏增强CT,甚至心血管造影,进一步明确肺动脉的起源、形态及相对准确的直径。同时也可明确有无其他合并畸形。同时与下列疾病进行鉴别:
1.室间隔缺损
与法洛四联症杂音相像,都比较明显,位置接近,但是肺动脉瓣第2心音有明显的区别,一般室间隔缺损肺动脉第2心音正常或亢进,而法洛四联症明显减弱。同时超声也会明确主动脉骑跨情况,容易与室间隔缺损合并右心室流出道狭窄鉴别。
2.右心室双出口
一般对于一部分右心室双出口的患者很难与法洛四联症区分,主要的判断目前还是主动脉骑跨的多少,接近50%就是法洛四联症,大于60%,则为右心室双出口。
五、治疗
法洛四联症手术适应证:由于法洛四联症对患儿身体有着明显的影响,如对心、肺、脑的继发损害,诊断明确,不合并其他严重心内畸形的法洛四联症(TOF),可在生后3~24个月行一期根治手术。如反复出现缺氧发作,亦可在3个月内行一期根治手术。如合并大的体肺侧支可介入栓堵后手术治疗。目前许多心脏中心多选择一期根治术,TOF早期一期根治术的死亡率和并发症较以前有明显的下降。对于患儿肺动脉发育较差的,可采用分期手术,一期行姑息手术如体-肺动脉分流以增加血液氧合,增加肺部血流量,促进肺血管床发育,为二期根治术创造良好的条件。
1.术前准备
完善相关检查,如血常规,血型,明确血红蛋白的含量,红细胞压积的大小,如果患儿二者皆明显高于正常,患儿需要多饮水,或者静脉输液,降低血液黏稠度,同时间断低流量吸氧,减轻症状。患儿如果有缺氧发作病史,则需要快速完善检查,尽早手术。如表现为低体重和低血色素小细胞性贫血者,多为营养不良的表现,其毛细血管通透性也会增加,体外循环术后在炎性介质的作用下易出现渗漏综合征及低心排综合征。这些患者术前应作充分准备,纠正贫血,最大限度地改善患者营养状况。一般患儿入院后还需要一次术前超声心动图检查,进一步明确诊断,同时对外科手术关心的问题进行进一步描述,有利于外科手术施行。对于有疑问的患儿,如肺动脉发育较差,怀疑大的体肺侧支存在,皆需要增强CT或心血管造影检查。肺动脉发育的情况一般有几个指标,如主动脉、肺动脉比值,McGoon指数,Nakata指数,比较重要的是后两者,McGoon比值的正常值为大于2.0,一般认为如果法洛四联症患者的McGoon比值大于1.2方考虑一期根治术。Nakata指数又称肺动脉指数,肺动脉指数正常值为≥330mm2/M2,肺动脉指数≥150mm2/M2方考虑一期根治术。如有明显大的体肺侧支,需要明确侧支动脉供血的位置,起源的位置,是否为双重供血。如果是双重供血可以术前或术后采用介入治疗封堵,如果不是双重供血的大的体肺侧支,需要采用unifocalization手术治疗。
2.手术治疗
(1)姑息手术:
通常有改良B-T手术,Waterston手术,Potts手术,中央分流术,姑息性右室流出道重建术等,目前多常用中央分流,或姑息性右室流出道重建术。目的是增加肺部血流,消除和改善发绀等症状,扩大肺血管床,促进肺血管发育,为根治手术做准备(图73-2)。

图73-2 法洛四联症姑息手术
(2)根治手术:
一般采用正中切口,大多采用右房、右室流出道切口,也有采用右房切口进行右室流出道疏通和室间隔缺损的修补(图73-3)。
3.术后并发症
(1)低心排出量综合征:
这是法洛四联症根治术后最常见的并发症。除因血容量不足外,产生原因多为心内畸形矫治不满意,如右心室流出道狭窄解除不够,修补的室间隔缺损有残余分流,右心室切口过长,右室流出道过度疏通,心肌保护差以及心包填塞等均可导致低心排出量综合征的发生。术后应常规使用正性肌力药物,增强心肌收缩力,改善循环。必要时可考虑使用少量扩血管药物,以减轻心脏前后负荷。
(2)呼吸窘迫综合征:
肺血管发育不良患者术后肺血管过度灌注所致。防治方法是对于肺内侧支循环较多者术中采用深低温低流量的方法,保证左心引流通畅,严格控制输液量,适当提高体内胶体渗透压,充分给氧,适当延长辅助呼吸时间,及时纠正酸中毒。
(3)心律失常:
术后早期出现的房室传导阻滞多与外科技术有关,随着手术技术的改进,房室传导阻滞的发生率已显著减少。一旦发生三度房室传导阻滞应安放临时起搏器,术后给予激素治疗,如一个月以上不能恢复应考虑安装永久起搏器。室上性心动过速,早期多因心肌损伤或缺氧所致,应改善通气,纠正水电解质酸碱紊乱,必要时可使用胺碘酮等药物。晚期出现室上性心动过速多由于流出道梗阻所致,需再次手术解除梗阻。室性期前收缩和室性心动过速多在晚期出现,可导致猝死,所以术后应定期随访监测。
(4)肾功能不全:
法洛四联症患者围术期容易出现肾功能不全,因此术中要保证肾脏的灌注量和降温,术后要维持血压,以保证肾脏的灌注。出现肾功能不全时,可以考虑腹膜透析。

图73-3 法洛四联症根治手术
(5)室间隔缺损残余分流:
多为缺损修补不完全或缝线撕脱所致,也可见于未发现的多发肌部室间隔缺损,分流量较大时可引起低心排血量综合征或肺水肿,应加强强心利尿。如残余分流较大,影响患者心肺功能的应考虑再次手术修补。
(6)右室流出道残余狭窄:
残余狭窄多见于肺动脉瓣环,也可发生于右室流出道加宽补片的远端。此类患者易发生右心衰、三尖瓣反流以及低心排血量综合征和各种心律失常,甚至猝死,狭窄严重者应再次手术矫治。
六、出院医嘱
患儿出院以后,需要定期复查,如心脏超声、心电图,出院后一般常规给予地高辛(有房室传导阻滞的禁用),利尿剂,钾制剂(如果给予保钾利尿剂可以不给),口服抗生素等。药物一般需要服用1个月,然后到门诊复查。同时还要嘱咐患儿家属控制患儿入量,以免引起胸腔或腹腔积液,再次入院治疗。
诊疗思维提示:法洛四联症患儿左心室一般较小,患儿接受手术后,一般心脏功能受损较大,主要是由于心脏切口较多,体外循环时间长所致,同时清除右心室流出道肌肉较多也可导致右心功能较差,如果同时存在流出道残余狭窄,可发生右心衰竭。因此在术后回家护理的过程中,有些患儿可能由于进食水过多,导致患儿出现呼吸困难、肝脏肿大、胸腹腔积液的右心衰竭的表现,而不得不再次住院治疗,因此,术后常规给予相应的强心利尿药,加上适当的限制入量,有助于患儿的康复。
来源:《儿外科疾病临床诊疗思维》
作者:李仲智
参编:孙宁 王强 王大勇 王焕民 田军
页码:238-242
出版:人民卫生出版社
- 评价此内容
- 我要打分
近期推荐
热门关键词
最新会议
- 2013循证医学和实效研究方法学研讨会
- 欧洲心脏病学会年会
- 世界帕金森病和相关疾病2013年会议
- 英国介入放射学学会2013年第25届年会
- 美国血液学会2013年年会
- 美国癫痫学会2013年第67届年会
- 肥胖学会 2013年年会
- 2013年第9届欧洲抗体会议
- 国际精神病学协会 2013年会议
- 妇科肿瘤2013年第18届大会
- 国际创伤压力研究学会2013年第29届…
- 2013年第4届亚太地区骨质疏松症会议
- 皮肤病协会国际2013年会议
- 世界糖尿病2013年大会
- 2013年国际成瘾性药年会
- 彭晓霞---诊断试验的Meta分析
- 武姗姗---累积Meta分析和TSA分析
- 孙凤---Network Meta分析
- 杨智荣---Cochrane综述实战经验分享
- 杨祖耀---疾病频率资料的Meta分析
合作伙伴
Copyright g-medon.com All Rights Reserved 环球医学资讯 未经授权请勿转载!
网络实名:环球医学:京ICP备08004413号-2
关于我们|
我们的服务|版权及责任声明|联系我们
互联网药品信息服务资格证书(京)-经营性-2017-0027
互联网医疗保健信息服务复核同意书 京卫计网审[2015]第0344号




会员登录

