如何治疗急诊PCI后出现的心力衰竭?
男性,52岁。
【主诉】
胸闷4年,加重伴喘憋半年余。
【现病史】
患者2007年5月以“冠心病,急性前壁心肌梗死,高血压”入外院(西医院)。予以急诊PCI 术,左冠脉前降支置入3枚支架,后又两次PCI 术,回旋支置入3枚支架。术后患者规律服用阿司匹林肠溶片、硫酸氢氯吡格雷、阿托伐他汀钙等药物维持治疗,未发作胸闷、胸痛,但患者逐渐出现活动后气短,2007年9月外院查超声心动图示:“缺血性心肌病,全心扩大(左室舒末径76mm),二尖瓣、三尖瓣、肺动脉瓣反流,左室收缩功能减低,EF:25%,限制性充盈障碍,右室舒张功能减低”,仍继服前药,规律在外院随诊。以后胸闷、胸痛进行性加重,伴有夜间阵发性喘憋,时时憋醒,双下肢水肿。2008年3月超声心动图示:缺血性心肌病,全心扩大(左室舒末径76mm),二、三尖瓣反流,肺动脉瓣反流,左室收缩功能减低,EF:17%。左室限制性充盈障碍。2008年5月入我院就诊。
【既往史】
高血压史3年余。否认糖尿病、高脂血症病史。
【查体】
T:36.0℃,P:92次/分,R:20次/分,BP:92/65mmHg。精神弱,营养中等,形体中等,面色萎黄,口唇发绀,颈静脉怒张,肝颈静脉回流征(+),颈动脉搏动正常,双肺呼吸音粗,双肺底可闻及湿啰音,心界向左扩大,心率92次/分,律齐,心尖部可闻及2/6 级收缩期吹风样杂音。舌淡暗,苔白腻,中有裂纹,脉沉弱。
【辅助检查】
ECG:窦性心律,心率90次/分,Ⅰ度房室传导阻滞,Ⅰ、aVL、V5 导联异常Q波;生化检查:K+:3.6mmol/L,Cr:109.2μmol/L,LDH:259 U/L,BNP:2279pg/ml。心脏超声:①左心增大,左室舒张末径72mm,右心房室内径正常;②二尖瓣少量反流;③室间隔变薄,室壁运动广泛减低。④二尖瓣流速单峰93c m/s。EF:30%。
【入院诊断】
中医诊断:喘症(阳虚水泛)。西医诊断:①冠状动脉粥样硬化性心脏病,陈旧性前壁心肌梗死,PCI 术后,缺血性心肌病,全心扩大,心功能Ⅳ级;②高血压3 级,极高危组。
【治疗经过】
阿司匹林肠溶片100mg 口服,每日1次,硫酸氢氯吡格雷75mg 口服,每日1次,酒石酸美托洛尔12.5~25mg 口服,每日2次(后改为卡维地洛10mg 口服,每日2次),缬沙坦80mg 口服,每日1次,螺内酯片20mg 口服,每日1次,阿托伐他汀钙片20mg 口服,每晚 1次,呋塞米20mg 静脉注射,每日1次,利尿。患者因其他原因,一直未复查造影。予以回阳救急汤加减:
黑附片6g 干姜6g 肉桂6g 白术12g
茯苓12g 蜜甘草6g 党参15g 太子参15g
麦冬10g 五味子12g 远志10g 丹参20g
陈皮9g 黄芪30g 当归9g 柏子仁10g
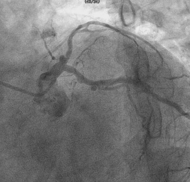
出院后长期标准西医药物+中医汤药治疗。西药如上,间断口服呋塞米片20mg,每日1次或隔日1次。患者在我院就诊期间及出院之后长期定期随诊,除了规范应用西药外,一直服用汤药。憋气、畏寒、乏力及水肿症状渐消失,日常活动恢复正常,仍体质较弱。舌淡暗红,苔少薄白,脉弦细。出院后,患者中药以后按四逆汤、参麦散、参苓白术散、六味地黄汤加减。1年后停用生脉散。具体根据证候变化,调整方剂剂型及剂量,包括温阳的淫羊藿、仙茅、桂枝、吴茱萸、山萸肉等;理气药物枳实、厚朴等;其中制附片渐增加到50g。患者2008年11月,2010年5月第二次住我院检查。2008年11月心脏超声:①左心增大,左室舒张末径67mm,右心房室内径正常;②各瓣膜形态结构未见异常,收缩期二尖瓣房侧见少量反流信号;③室间隔变薄,室壁运动弥漫性减低;④舒张期二尖瓣口前向血流A 峰55cm/s,E 峰29cm/s,EF:34%。心脏门控血池断层显像:左室腔明显增大,心尖部反向搏动,各室壁运动幅度明显降低,协调性差,LVEF:10%,RVEF:54%。BNP:1272pg/ml。2010年5月心脏超声:①左心增大,左室舒张末径78 mm,右心房室内径正常;②各瓣膜形态结构未见异常,收缩期二尖瓣房侧见少量反流信号;③室间隔变薄,运动明显减弱,余各节段室壁运动未见异常;④升主动脉及其根部不宽,搏动减弱,主肺动脉不宽;⑤舒张期二尖瓣口前向血流A 峰73c m/s,E 峰48c m/s,L VEF:40%。BNP:523pg/ml。复查冠脉造影(图090‐1、图090‐2):冠状动脉供血呈右冠优势型,左、右冠状动脉走行区可见钙化,左主干未见异常,前降支近段原支架100%闭塞,对角支较大,血流通畅,TI MI 血流3 级;回旋支支架内未见狭窄,远段90%×10mm 狭窄,钝缘支近段90%×10mm 狭窄;右冠状动脉中段70%×20mm 狭窄,锐缘支开口80%狭窄,前向血流TI MI 3 级。冠状动脉造影结论:冠状动脉粥样硬化性心脏病,三支病变,累及前降支、回旋支、右冠状动脉,前降支支架内再狭窄(100%闭塞)。

图090‐1 右冠脉造影

图090‐2 前降支近段支架内100%再狭窄
【讨论】
患者中年男性,以冠心病,急性心肌梗死在外院行急诊PCI 术。通常,急诊冠脉支架置入术后,患者预后是良好的,不会再继续发展到心力衰竭。本例患者,外院行急诊冠脉支架置入术。出院后,反复憋气、胸闷进行性加重,心力衰竭证候日趋明显。通常情况下,应及时再次冠脉造影,明确是否出现冠脉支架内亚急性血栓,并予以相应处理。患者由于其他原因,未行冠脉造影复查,继续常规药物治疗。心衰表现日趋严重,到我院寻求中药治疗。
患者拒绝造影复查。结合心脏超声、心电图等检查,冠心病、陈旧性心肌梗死、缺血性心肌病、心力衰竭诊断明确。于我院就诊前,2008年3月外院超声心动图示:L VEDD:76mm,EF:17%,二、三尖瓣反流,肺动脉瓣反流,左室收缩功能减低,左室限制性充盈障碍。患者心功能Ⅳ级,预后极差。到我院就诊后,继续标准西医药物治疗方案。同时,按中医“辨证论治”进行治疗。入院时,患者胸闷胸痛,时心慌,阵发性夜间喘憋,不能平卧,干咳无痰,恶心,无呕吐,口干,时有头晕,双下肢水肿,畏寒,无汗出,纳可,眠差,小便调,大便不干,2次/日。患者素体虚弱,正气不足,气虚无力运血,血脉痹阻发为胸闷,胸痛,脾阳虚而见畏寒,阳虚无力运水,水饮停聚,而见下肢水肿,水饮凌心,而见喘憋。舌淡暗,苔白腻,中有裂纹,脉沉弱均为阳虚水泛之征,故诊断为喘证,辨证为阳虚水泛,病性本虚标实,病位心、脾、肾,预后较差。
中药治以温阳利水为法,予以回阳救急汤加减。回阳救急汤出自《伤寒六书》,为四逆汤和六君子汤的基础上加减,加了肉桂,加强了温阳、补命门之火、祛寒的作用。六君子汤秉承“寒用六君”说法,即阳气虚,水湿不化而生湿痰。此汤药的适应证有“阳气虚,阴寒盛,阳不化阴,水泛为痰”。本患者用此方回阳通脉,结合西医治疗[1]。
本患者为典型冠心病,陈旧性心肌梗死,PCI 术后,缺血性心肌病,心力衰竭,心功能Ⅳ级。到我院就诊2年后,再行冠脉造影术,明确前降支支架内100%闭塞,结合患者病情,认为可能是患者支架置入后,1个月内形成慢性支架内血栓,导致支架内再狭窄;回顾病情,患者如当时尽早行冠脉造影复查,明确病情予以支架内球囊扩张术,则可能最大限度地避免左心室恶性重构,减少心衰的恶化程度。但患者选择了药物保守治疗。病情恶化,故到中医院求治,为中医治疗及疗效评估提出了新的要求。
患者到中医院就诊,中西医结合药物治疗,西药与西医院所用一样。中药,住院期间以回阳救急汤加减。出院后长期在门诊随诊,不间断地服用汤药,患者中药按(桂枝)四逆汤、参麦散、参苓白术散、六味地黄汤加减,近1年后停用生脉散。
冠心病组方遣药,强调阴中求阳与阳中求阴,气血双调。粗看似嫌夹杂,实则多能增效纠偏。如单用助阳附桂,每易劫阴升火,配伍育阴滋润地黄芍药则安;用补阴药收效不显时,适时加用参芪益气,每每立见显效,足可佐证。对冠心病虚证,要补时先看是否补得进,更要精选适宜的药物。此外,在冠心病表现为虚证,应在以补为主的同时加一二味活血、理气、祛痰药,即补中寓通寓化。治邪实时,求以活血化瘀为主,求以开痹化痰为主,求以芳香理气为主,但又不离痰、气、瘀合治大法。活血中佐加理气,理气中伍活血,有利于心脉气血流通,收效往往更佳。
本患者更宜加强温阳通痹治疗。心居阳位,在五行属火,为阳中之太阳。上焦阳气虚弱,心阳不振,以致阴邪上乘,水饮、痰浊、瘀血互结。胸阳痹阻,阳气不通。冠心病心阳不足的表现,主要为脾肺损伤,对水湿的运化与气化功能失调,或恣食膏粱厚味,痰浊内生,盘踞胸中,胸阳被扰,心阳受干,经脉不通,必胸闷或闷痛,心慌,气短,夜寐不安,肢体麻木,下肢水肿,食欲不振,口干不思饮,便溏或干,舌苔白厚或腻,脉沉滑。若脾肺损伤导致元气不足时,必以胸闷、心悸、短气不足以息、全身无力为主,舌体胖,边有齿痕,舌质淡,舌苔薄白,脉虚缓无力。在诊治冠心病的临证中,强调“有一分阳气,便有一分生机”,故轻则用薤白、桂枝以通阳,甚则用附子、干姜温阳,临床多用四逆汤、附子汤、通脉四逆汤等化裁治疗。桂枝四逆汤方(由桂枝、熟附子、干姜、当归、甘草组成)以温通心阳。方中桂枝既为君药,亦为使药,桂枝与附子主入少阴,温煦心肾,通达十二经脉;干姜、当归辛香善行,以养血通阳,益脉止痛,上四味药少量使用,又取“少火生气”之旨,甘草量大,假以“通经脉、利血气”。若气虚汗出较多者,加黄芪、党参;痛不除者,宜加檀香、乳香、没药或蒲黄、五灵脂。
纵观宣痹通阳疗法历史,《金匮要略》强调以宣痹通阳为主,设十方主治胸痹、心痛,共用药23 种,其中性温(热)的17 种,占73.9%,具有温阳、通阳作用的干姜、附子、吴茱萸、桂枝、薤白、白酒等药的总使用频率达42.1%,创立了通阳宣痹的瓜蒌薤白白酒汤、温理中阳的人参汤、强心温肾的薏苡附子散和温阳散寒的乌头赤石脂丸等经典方剂。北宋的《太平圣惠方》治疗卒心痛,多选高良姜、桂心、附子、乌头等温热辛散药物与麝香、木香等芳香走窜药物组方。北宋《圣济总录》治疗心痛的附子汤、人参汤,治疗卒心痛的乌头丸、吴茱萸汤,治疗久心痛的桂心丸、丁香汤,治疗肾心痛的蜀椒丸、巴戟丸等,均是温通扶阳法的范例。
冠心病的扶阳治疗,所治疗的患者,以现代西医观点看,应为缺血性心肌病心衰患者。中医理论,心居上焦清旷之区,为阳中之阳,主一身之阳气。胸痛诸症,阳微阴弦,心脉不通,心失所养故也,故治心疾还应强调“通阳”二字。《医学真传•心腹痛》曰:“漫云通则不痛,夫通则不痛,理也,但通之之法,各有不同,调气以和血,调血以和气,通也,下逆者使之上行,中结者使之旁达,亦通也,虚者助之使之通,寒者温之使之通,无非通之之法也。”冠心病气血失和,虚为心气阴阳虚、宗气不足,所生之邪不外为湿痰壅滞,则“通阳”予重视补益阳气、理气、活血、化痰即可。临床中以“调和”与“通阳”四字贯穿治疗冠心病的始终。重视中气、宗气,灵活运用益气、活血、化痰等诸法调气和血,使气通血活,心阳得通,自有疗效。明代张景岳认为肾阴肾阳为人的生命根源,阴阳是人身中对立而统一的物质基础,其相互转化、相互依存,维持健康。其中“阳气”乃生发之气,得之便生,失之便死,提出“阳非有余,真阴不足”的观点,主张阳气应予重视,而苦寒之品不可滥用。根据张景岳“阳非有余”之观点,现代颜德馨医师临床用温补肾阳之味,振奋功能以消阴霾。他认为冠心病实质为阳虚阴凝,阳虚为本,阴凝为标,立法用药以温阳为主,解凝为辅,少阴病证不必悉俱,但见阳虚阴凝之证即可用之。以附子汤加减,不仅止痛效果明显,且疗效巩固持久。如治冠心病病史十余载患者,先用活血化瘀,利水通阳,仅能暂缓所苦,后乃重用人参、附子,废颓之象尽失,已复工。附子汤[附子2枚(炮,去皮,破8片),茯苓3两,人参2 两,白术4 两,芍药3 两。处方来源《伤寒论》]以附子温阳散寒,人参、白术、茯苓甘温益气,芍药和营活血,诸药合用,共奏温经散寒、益气活血之功[2]。
具体的冠心病扶阳治法,包括:①温阳散寒法:选用桂枝、干姜、附子、细辛、鹿角片等药温扶人体阳气,使心、肺、脾、肝、肾阳充盛,则阴寒自退,是为温阳散寒法。阳虚则温煦、卫外失职,不仅阴寒内生,而且易受风寒外邪侵袭,若阳虚同时阴盛(无论外寒或内寒),均可使用此法。治宜祛寒活血、宣痹通阳,分别选用乌头赤石脂丸加减、《济生》温肺汤(人参、肉桂、干姜、甘草、钟乳石、半夏、橘红、木香)、附子理中汤、暖肝煎、真武汤等加减化裁。本法重在温散,若阳虚明显,尚需配合益气温阳药。②补气助阳:劳倦、久病、重病损耗元气,或脏腑功能衰退、元气生成匮乏,或老人脏气自衰,寒邪入内,五脏之阳受损,温煦失职而阴寒内盛,水湿瘀血内停,症见心悸心痛、四肢不温、气短神疲、面目或周身水肿、唇甲青紫、舌淡苔白、脉沉细迟等,可予人参、黄芪、甘草等益气药和附子、肉桂、桂枝等温阳药组方,以达益气补虚、助阳散寒的作用,是为补气助阳法。方如四逆加人参汤、参附汤、人参汤等。气属阳,气虚与阳虚概念上虽可分却不可离,功能上虽略有区别又紧密联系,阳虚多并见气虚之症,故往往气阳并补。③活血通阳:临床表现为胸闷,胸部刺痛,气短乏力,自汗肢冷,舌质淡,苔白滑。多因病人平素心气不足,血脉鼓动无力,气虚失煦,内寒由生,以致心血凝滞而形成。气属阳,阳化气,气虚甚则致阳虚,所以临床上阳气两虚者多见。可选用血府逐瘀汤化裁治疗。④化痰通阳:用于阳气不足、痰浊痹阻之病人。临床表现为胸闷,胸痛,咳嗽痰多,心悸气短,喘息不得卧,舌淡,苔白而滑腻,脉沉滑或沉而无力。多因心气虚,胸阳不振,寒从中生,津液不布,化生痰浊,壅塞经络而形成。此类病人多形体肥胖,素体多痰多湿。治应豁痰祛浊、益气通阳,方用栝楼燕白半夏汤加减。⑤通阳宣痹:劳倦、感寒、情志不畅,以致气滞寒凝,阳气不得宣通,行津行血之力不足,痰浊、瘀血由生,阴邪上乘阳位,阻滞心脉,症见心胸憋闷疼痛,甚至胸痛彻背,喘息咳唾,短气,舌紫暗或见瘀点瘀斑,苔白腻,脉沉弦或紧。因阳气不宣所致,故可选用薤白辛温通阳、宽胸散结,以枳实、郁金、降香、香附等行气解郁,桂枝、白酒、人参、甘草等振奋心阳,组合成方,使胸阳通,痹结散,是为通阳宣痹法。方如瓜蒌薤白白酒汤、瓜蒌薤白半夏汤、枳实薤白桂枝汤等。由于阳气不振,故多痰瘀痹阻,所以多配伍丹参、川芎、赤芍、红花等活血行瘀,瓜蒌、半夏、旋覆花等化痰散结。⑥回阳救逆:若素体阳虚,寒邪侵袭,阳不胜邪,寒邪直入于里以致心肾阳衰,症见心胸剧痛、神疲欲寐、肢冷汗出、脉沉细弱或细数等,药用附子、肉桂、干姜、人参等组方,以振奋欲绝之微阳,是为回阳救逆法。方如四逆汤、参附汤等。
冠心病、缺血性心肌病、心力衰竭,就目前认识来讲,西医治疗,冠脉介入治疗成为主流,冠脉开通,使心功能能很好地得到维持。药物治疗,扩张冠脉,抑制神经内分泌激活(抑制SNS、RAS 系统)是近20年来的新认识,代表性药物包括卡维地洛、卡托普利等。而改善心脏收缩同步化的CRT 起搏治疗技术代表着非药物治疗心衰的进展。在中医药方面,也对此认识日趋清楚,但遗憾的是,基于辨证论治的认识的多样性,医学大家、小家均有自己实践中的心得体会,始终没有统一的标准、足够的实证依据。尽管如此,扶阳治则是现在的主流。但具体应用也不同。本病例诊断清楚,病史明确。因心梗PCI 术1年内,心衰进行性加重恶化而寻求中医治疗,长达2年的中药汤药+西药治疗,患者心衰征象消失,生活质量显著改善,日常活动基本恢复正常。尽管左室仍然显著增大,LVEF 较前增高,但仍为中西医结合治疗取得良好疗效的典范病例。本例患者,治则的核心为扶阳。在治疗过程中的不同阶段,辨证论治、具体方剂加减有所不同,但君药系列的桂枝四逆汤贯穿治疗始终,同时参苓白术散、六味地黄汤加减,前期生脉散以助滋阴扶阳。附子用量渐增加到50g。病情稳定后渐减量。附子的具体应用,在慢性心力衰竭的扶阳方面,一些医家如李士懋医师用到50~100g,其医案也有实际意义的启迪作用。但用附子的最佳剂量仍需进一步探讨[3]。
现代医疗技术的进步,为中医药的发展提供了新的契机,中医药的发展,必须和现代医疗技术结合,做到有所为、有所不为,持正确的认识态度,也是大有可为的。
参考文献
[1] 王绵之.方剂学讲稿.北京:人民卫生出版社,2005 .
[2] 颜乾麟.颜德馨中医心脑病诊治精粹.北京:人民卫生出版社,2006 .[3] 李士懋.冠心病中医辨证求真.北京:人民卫生出版社,2007 .
来源:《心脏病学实践2011---中西医结合卷》
作者:胡大一 马长生 王显
参编:赵海滨 陈可冀 陈凯先 张伯礼 朱海燕
页码:314-318
出版:人民卫生出版社
- 评价此内容
- 我要打分
近期推荐
热门关键词
最新会议
- 2013循证医学和实效研究方法学研讨会
- 欧洲心脏病学会年会
- 世界帕金森病和相关疾病2013年会议
- 英国介入放射学学会2013年第25届年会
- 美国血液学会2013年年会
- 美国癫痫学会2013年第67届年会
- 肥胖学会 2013年年会
- 2013年第9届欧洲抗体会议
- 国际精神病学协会 2013年会议
- 妇科肿瘤2013年第18届大会
- 国际创伤压力研究学会2013年第29届…
- 2013年第4届亚太地区骨质疏松症会议
- 皮肤病协会国际2013年会议
- 世界糖尿病2013年大会
- 2013年国际成瘾性药年会
- 彭晓霞---诊断试验的Meta分析
- 武姗姗---累积Meta分析和TSA分析
- 孙凤---Network Meta分析
- 杨智荣---Cochrane综述实战经验分享
- 杨祖耀---疾病频率资料的Meta分析
合作伙伴
Copyright g-medon.com All Rights Reserved 环球医学资讯 未经授权请勿转载!
网络实名:环球医学:京ICP备08004413号-2
关于我们|
我们的服务|版权及责任声明|联系我们
互联网药品信息服务资格证书(京)-经营性-2017-0027
互联网医疗保健信息服务复核同意书 京卫计网审[2015]第0344号




会员登录

