这个先天性疾病不及早发现 手术将无济于事
先天性心脏病是一种常见病,据报道我国每年新增病例近15万,特别是高原地区,患病率超过1%。让患者早期得到及时、正确的诊断和治疗,既可以保持心脏正常功能,又能保持正常生活、学习和工作。如错过治疗的最佳时机,则后果严重,可导致心脏扩大、心力衰竭、肺动脉高压、心律失常和心内膜炎等并发症,甚至死亡。
应该明确的是,先天性心脏病是一种可以治愈的疾病,应及早发现,及早治疗。
患者女性,45岁,职员。
一、主诉
发现心脏杂音40余年,发作性胸骨后疼痛20余天,再发并加重1天。
二、病史询问
(一)初步诊断思路及问诊目的
患者发现心脏杂音及出现发作性胸骨后疼痛是主诉中表达的主要症状。心脏杂音是先天性心脏病、心脏瓣膜病、心肌病、心肌梗死后并发症等心血管疾病的常见体征。胸骨后疼痛是许多疾病常见症状,它与心血管疾病、呼吸系统疾病、消化系统疾病等慢性疾病或肿瘤相关。问诊的目的是要将主要鉴别诊断的疾病与上述主症相关的特点区分开,明确心脏杂音与胸骨后疼痛是否相关,寻找符合疾病表现的证据。
(二)问诊主要内容及目的
1. 诱因、持续时间、发病特点、缓解方式
(1)胸痛:
原因繁多,主要为呼吸系统、心血管系统和消化系统疾病。劳累或精神紧张时诱发出现,休息后或含服硝酸甘油后于1~2分钟内缓解的胸骨后疼痛多为心绞痛。食管疾病多在进食时发作或加剧,服用抗酸剂和促动力药物可减轻或消失。胸膜炎及心包炎的胸痛可因咳嗽或用力呼吸而加剧。
(2)发病年龄:
青壮年多考虑结核性胸膜炎、自发性气胸、心肌炎、心肌病、风湿性心瓣膜病,40岁以上则更须注意心绞痛、心肌梗死和支气管肺癌。
(3)胸痛部位:
胸骨后的疼痛见于心绞痛、心肌梗死,可向左肩和左臂内侧放散,甚至达无名指与小指,也可放散于左颈或面颊部,另外还有食管及纵隔病变。
(4)胸痛的性质:
食管炎多呈烧灼痛,心绞痛呈压榨样痛并有重压窒息感,心肌梗死则疼痛更为剧烈并有恐惧、濒死感。胸主动脉夹层呈撕裂样疼痛,多放散至后背,疼痛最为剧烈。
(5)胸痛持续时间:
平滑肌痉挛或血管狭窄缺血所致的疼痛为阵发性,炎症、肿瘤、栓塞或梗死所致疼痛呈持续性。心绞痛发作时间短暂(持续1~5分钟),心肌梗死疼痛持续时间很长(数小时或更长)且不易缓解。该患者心脏杂音的发现与胸骨后疼痛时间跨度40多年。两者之间较难判断有何联系、是否相关。
2. 伴随症状
(1)咳嗽、咳痰和(或)发热:
见于气管、支气管和肺部疾患、急性心包炎、感染性心内膜炎等。
(2)呼吸困难:
见于大叶性肺炎、自发性气胸、渗出性胸膜炎和肺栓塞等。
(3)咯血:
主要见于肺栓塞和支气管肺癌。
(4)大汗、血压下降或休克:
多见于心肌梗死、夹层动脉瘤、主动脉瘤破裂和大块肺栓塞等。
(5)吞咽困难:
多提示食管疾病,如反流性食管炎等。
3. 既往史
询问并记录与患者主症相关的慢性病,有无心血管疾病、消化系统及呼吸系统疾病、肿瘤等。
(三)问诊结果及思维提示
1. 问诊结果
(1)现病史:
45岁女性。患者于40余年前因感冒就医时听诊发现有心脏杂音,行心脏彩超诊断为“先天性心脏病 室间隔缺损”,但其无自觉症状,体力同正常人,一直未治疗。20天前活动后出现剧烈胸骨后疼痛,呈烧灼样,向左肩背部放散,伴大汗、气短、恶心,呕吐胃内容物,自行服用硝酸甘油5分钟后上述症状好转,未就诊。1天前患者无明显诱因再次出现上述症状,发作程度较前加重伴呼吸困难,不能平卧,频繁发作两次伴血压升高。病来无发热,无咳嗽、咳痰,无夜间阵发性呼吸困难,无下肢水肿,无肢体活动障碍,二便正常。
(2)既往史:
无高血压、糖尿病及慢性胃肠病史,无吸烟史。无药物过敏史。
(3)家族史:
无先天畸形家族史,兄弟姐妹、子女无心血管先天畸形、异常。无早发心血管病家族史。
2. 思维提示
(1)心脏彩超已经提示了先天性心脏病 室间隔缺损,那么问诊内容发现心脏杂音40余年,是符合先天性心脏病室间隔缺损的心脏查体体征的。胸骨后疼痛应该是和心脏杂音没有必然联系的。发作性胸骨后疼痛,与活动有关,呈烧灼样,向左肩背部放散,伴大汗、气短、恶心,呕吐胃内容物,服用硝酸甘油5分钟后上述症状好转,应该是符合心绞痛的表现的。
(2)鉴别诊断:胸痛需鉴别是心血管疾病还是呼吸系统或消化系统疾病,发热、咳嗽、咳痰需鉴别有无肺部炎症、心包炎、感染性心内膜炎。呼吸困难需鉴别有无心血管疾病,如心功能不全或呼吸系统疾病,如大叶性肺炎、自发性气胸、渗出性胸膜炎和肺栓塞等。经过上述的问诊基本考虑是心血管疾病的可能性大。
三、体格检查
(一)重点检查内容及目的
1. 包括与室间隔缺损及其可导致的心功能不全相关的体征,和上述鉴别诊断相关的征象。
2. 该患者应注意有无颈静脉怒张,有无肝大、肝颈静脉回流征、下肢水肿等右心衰竭的表现,也要顾及左心功能状态。
3. 有无口唇及四肢末梢发绀,判断先天性心脏病的异常通道分流方向及分流量大小。
4. 心脏杂音的部位、传导方向、强度、性质等。
(二)体格检查结果及思维提示
1. 检查结果
T 36.5℃,P 64次/分,R 18次/分,BP 135/80mmHg。一般状态尚可。神清语明,皮肤及巩膜无黄染。双瞳孔正大等圆,对光反射存在。浅表淋巴结未触及肿大。四肢末梢及口唇无发绀,颈静脉无怒张。双肺听诊呼吸音清,未闻及干湿啰音。各瓣膜区及胸骨旁未触及震颤,心界不大,心率64次/分,律齐,心音低钝,胸骨左缘第3~4肋间可闻及3/6级粗糙的全收缩期杂音。腹软,无压痛、反跳痛,肝脾肋下未触及,双下肢无水肿。
2. 思维提示
(1)提示右心功能不全的证据:
可表现为颈静脉充盈、肝颈静脉回流征阳性。该患者现无上述症状,故不支持右心功能不全的诊断。如有上述表现,诊断右心衰竭要分析右心功能不全的病因,室间隔缺损、肺动脉高压可以导致右心功能不全,其他心脏疾病也可导致右心功能不全。
(2)提示肺动脉高压的证据:
可表现为进行性劳力性呼吸困难、乏力,与心排血量减少、肺通气/血流比例失调等因素有关。查体可闻及肺动脉瓣区第二心音亢进,合并三尖瓣关闭不全,剑突下可闻及2/6~3/6级收缩期杂音。病理生理机制为持续的左向右分流,导致肺血流量增加,使右心容量负荷增加,肺血管顺应性下降,从动力型肺动脉高压发展为阻力型肺动脉高压。
(3)特殊心脏听诊:
典型杂音于胸骨左缘3~4肋间可闻及3级以上粗糙的全收缩期杂音,心前区可触及收缩期震颤。如合并重度肺动脉高压,可无心脏杂音,或闻及肺动脉瓣及三尖瓣反流性杂音,但肺动脉瓣区第二心音明显亢进。此时符合室间隔缺损并继发性肺动脉高压的改变。
四、实验室和影像学检查
(一)初步检查内容及目的
1. 证实先天性心脏病室间隔缺损最可靠的证据
(1)超声心动图:主要检查三个切面:
①心尖五腔心切面:可较清楚显示室间隔缺损的大小、缺损残端的长短、缺损与主动脉瓣的关系;②心底短轴切面:观察室间隔缺损的位置、大小,在此切面上9~12点位置较适合行封堵治疗;③左心室长轴切面:可显示室间隔缺损上缘与主动脉瓣的关系,对判断是否适合封堵治疗有较大帮助。
(2)经食管超声检查:
具有透声好、图像清晰的优点。不受肺组织和体位的影响,显示室间隔缺损的大小、残端的长短较经胸超声清晰。但在儿童中应用受限,与探头相对较粗有关。
2. 提供肺动脉高压的证据
①超声心动图:优点:无创检查,间接估测肺动脉的压力。缺点:影响因素多,测量的结果不准确。②右心导管检查:实际测量肺动脉压力值,准确诊断患者是否有肺动脉高压,是诊断和评价肺动脉高压以及指导肺动脉高压患者治疗必不可少的检查手段。
3. 心电图改变
室间隔缺损心电图的变化取决于缺损的大小、分流程度、肺血管阻力的改变、病期的早晚、左心室容量过度负荷和右心室压力过度负荷的程度。
4. 胸部X线片
①缺损小时,肺动脉段不凸出或仅轻度凸出,心室轻度增大,部分心肺X线表现可在正常范围;②中到大左向右分流时,肺动脉段中至高度凸出;心脏中至重度增大,呈“二尖瓣”型,双心室增大,以左心室明显,左心房可轻度增大;主动脉弓正常或缩小;③室间隔缺损合并肺动脉高压时,周围血管变细,肺门血管明显扩张,肺动脉段高度凸出,心脏以右心室增大为明显,心尖抬高,而原来增大的左心房、左心室有不同程度的恢复;主动脉弓由于右心室增大,心脏向左旋转,多有缩小。
5. 先天性心脏病诊断与治疗策略选择的重要检查手段——心导管术。
该检查所必须获得的参数:①心率和体循环血压;②上下腔静脉压力和血氧饱和度;③右心房、右心室收缩压、舒张压及平均压和血氧饱和度;④肺动脉收缩压、舒张压及平均压和血氧饱和度;⑤心排血量、心指数;⑥全肺血管阻力;⑦小肺动脉阻力;⑧体循环阻力;⑨肺毛细血管嵌顿压。
术中压力曲线见图2-9。
图2-9 心导管术术中压力曲线
(二)检查结果
1. 超声心动图(经胸)
先天性心脏病室间隔膜部瘤、室间隔缺损,静息状态下左心室整体收缩功能正常。室间隔膜部向右心室流出道膨出,基底部宽约15.5mm,高约6.3mm,顶端偏左可见过隔血流,宽约4.5mm,位置相当于大动脉短轴近12点,距离右冠瓣2.8mm,分流方向:左→右。房间隔未见回声中断,动脉导管未见开放,各房室腔大小正常,各瓣活动不受限。心包未见异常。EF 69%。
2. 心电图
窦性心律 大致正常心电图(图2-10)。
图2-10 心电图显示正常
3. 胸部X线检查
双肺纹理增强。
4. 心导管检查诊断报告
先天性心脏病室间隔缺损,左向右分流,轻度肺动脉高压,正常冠状动脉。
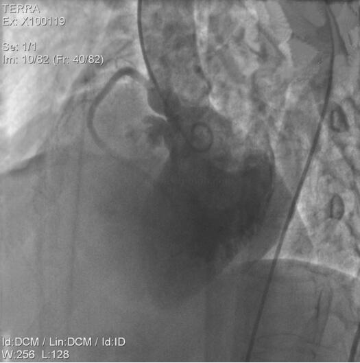
(1)左心室造影
显示室间隔膜部瘤,室间隔缺损,破口直径约4mm,见左向右分流。冠状动脉造影显示正常冠状动脉(图2-11)。

封堵术前

图2-11 冠状动脉造影示正常冠状动脉
封堵术后
(2)压力测量:
肺动脉 35/5/14mmHg,右心室 35/3/15mmHg,右心房 10/-1/4mmHg。压力资料提示轻度肺动脉高压,心室水平左向右分流。
五、诊断
先天性心脏病
室间隔缺损(左向右分流)
肺动脉高压(轻度)
六、治疗方案的选择
先天性心脏病的治疗包括非手术介入治疗、手术治疗、药物治疗。成人先天性心脏病一旦确诊即应尽早治疗,以免延误治疗时机。一旦发展为艾森门格综合征(Eisenmenger syndrome)则已无手术治疗的可能。采取何种治疗措施关键在于如何正确掌握治疗的时机和选择合适的适应证,根据患者目前的状况,治疗方法的选择有以下考虑:
(一)非手术介入治疗
近年来由于影像学以及各种导管技术的飞速发展,使得这一技术在一定范围内取代了手术治疗。主要是针对单一的缺损或狭窄型病变,采用球囊扩张技术和缺损或异常通道的封堵技术。但介入治疗有一定的适应证,并非所有的先天性心脏病都适合采用这一技术。
室间隔缺损封堵术的明确适应证:
1. 膜周部室间隔缺损①年龄:通常≥3岁;②体重>5kg;③有血流动力学异常的单纯性室间隔缺损,14mm>直径>3mm;④室间隔缺损上缘距主动脉右冠瓣≥2mm,无主动脉右冠瓣脱入室间隔缺损及主动脉瓣反流;⑤超声显示病变在大血管短轴五腔心切面9~12点位置。
2. 肌部室间隔缺损>3mm。3.外科手术后残余分流。
4. 心肌梗死或外伤后室间隔缺损。
室间隔缺损封堵术的禁忌证:①感染性心内膜炎、心内有赘生物或存在其他感染性疾病;②封堵器安置处有血栓存在,导管插入途径有血栓形成;③巨大室间隔缺损、缺损部位解剖不良,封堵器放置后可能影响主动脉瓣或房室瓣功能;④严重肺动脉高压伴双向分流;⑤合并出血性疾病和血小板减少;⑥合并明显的肝肾功能异常;⑦心功能不全及其他不能耐受操作者。
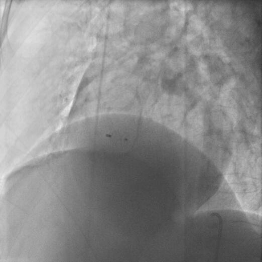
根据患者目前的心导管检查结果提示为轻度肺动脉高压,心室水平左向右分流,尚不存在双向分流,仍为动力型肺动脉高压期,尚有手术时机可行介入或外科手术治疗。因经胸超声心动图显示室间隔缺损位置、大小及与主动脉瓣、房室瓣的关系适合行介入封堵治疗,故该患者行介入封堵治疗。于室间隔缺损破口处置入对称型室间隔缺损封堵器(直径7mm),复查左心室造影无残余分流。术中及术后超声心动图检查封堵器置放完好(图2-12),未见过隔血流信号。无主动脉瓣及二尖瓣反流。心脏听诊杂音消失。
(二)外科手术治疗
如患者尚未发展至阻力型肺动脉高压,Qp/ Qs>1.5,有手术时机,但不适合介入封堵治疗时,或有介入治疗的禁忌证,可行外科手术治疗。
(三)药物治疗

图2-12 介入封堵术后留置的封堵器
成人先天性心脏病一旦发展为艾森门格综合征(Eisenmenger syndrome)已无手术治疗的可能。由于先天的缺损持续存在,进行性肺动脉高压发展至器质性肺动脉阻塞性病变,由原来的左向右分流变成右向左分流,此时治疗主要是针对肺动脉高压。一般当Qp/Qs介于1.0~1.5之间,肺总阻力基本在10Wood单位以上,已不适于外科和介入治疗,但通过药物治疗后可能仍具有介入治疗的机会,这也是目前降低肺动脉压力药物治疗的主要对象。Qp/Qs<1,肺血管表现为不可逆病变,为手术绝对禁忌证,降低肺动脉压力的药物能否延缓此部分患者的寿命,甚至逆转其压力,目前尚无明确证据。
该患者仅是轻度肺动脉高压(35/5/14mmHg),且心室水平为左向右分流,未出现右向左分流,肺血管病变尚可逆,故手术后肺动脉压力应该有明显下降,封堵治疗后复查肺动脉压力为12/1/6mmHg,患者主动脉压力和动脉血氧饱和度无下降或上升,患者可从中获益。
如图2-13所示,患者术后复查心电图较前无明显变化。

图2-13 心电图显示正常
(四)术后处理及随访
1. 术后于病房监护,监测心电、血压及心脏杂音,24小时内复查超声心动图,术后观察5~7天,情况良好后出院随访。
2. 术后24小时内肝素化,预防性应用抗生素3天。
3. 术后口服阿司匹林,成人5mg/(kg•d),共6个月。
4. 术后1个月、3个月、6个月、12个月随访,复查心电图和超声心动图,必要时行X线胸片。
七、临床治疗中特殊案例的处理
55岁男性,以“反复劳累后胸闷、气短2个月”为主诉入院。查体:BP 124/86mmHg,T 36.2C,P 70次/分,R 18次/分。神志清楚,平卧自由体位,查体合作,神情焦虑,巩膜无黄染。颈静脉充盈可见,口唇发绀。双肺呼吸音清,未闻及干湿啰音。心界略大,心律规整,70次/分,肺动脉瓣区第二心音亢进,呈固定分裂,胸骨左缘第2~3肋间可闻及2/6~3/6级柔和的收缩期杂音,剑突下可闻及2/6~3/6级收缩期杂音,不伴震颤。肝脾肋下未触及,肝颈静脉回流征阳性。双下肢无水肿。
辅助检查
(1)超声心动图(经胸):
先天性心脏病,房间隔缺损(继发孔),右心大,肺动脉高压(重度),左心室壁增厚,静息状态下左心室整体收缩功能正常。房间隔回声中断33mm,双向分流,房间隔长约64mm,距二尖瓣约18mm,距主动脉瓣约9.2mm,距房顶约5.9mm,距下腔静脉约 9mm。右心大,RV 41mm,RA 65mm×68mm,肺动脉增宽,左心室壁增厚,各瓣活动不受限,心包未见积液。EF 62%。
(2)心电图:
窦性心律,完全性右束支传导阻滞(图2-14)。

图2-14 心电图显示完全性右束支传导阻滞
(3)胸部X线检查:
双肺纹理增强,心影增大,肺动脉段凸出。
诊断:先天性心脏病
房间隔缺损(左向右分流)
肺动脉高压(重度)
本案例主要考虑治疗方法的选择,即非手术介入治疗、手术治疗还是药物治疗。为评估应采取何种治疗手段,进一步行右心导管检查及经食管超声检查。
1. 右心导管检查诊断报告
先天性心脏病,房间隔缺损,左向右分流,中重度肺动脉高压。
(1)压力及血氧饱和度测量:肺动脉 70/15/34mmHg、83%;右心室74/0/28mmHg、85%;股动脉 199/95/136mmHg、95%;右心房 21/0/10mmHg、86%;左心房 23/0/10mmHg、94%;上腔静脉 61%;下腔静脉 68%。
(2)肺总阻力 2.96Wood;肺小阻力 2.09Wood;左向右分流 6.97L/min;右向左分流0L/min;Qp/Qs=2.54。
(3)异常途径:右心房→左心房→左肺静脉,提示房间隔缺损。
血氧及压力经导管资料提示中重度肺动脉高压,心房水平左向右分流。
2. 经食管超声心动图
房间隔回声中断51mm,双向分流,距主动脉瓣约5mm,距房顶约3mm,距下腔静脉约4mm,距上腔静脉约5mm。
分析:根据患者目前的心导管检查结果提示为中重度肺动脉高压,心房水平左向右分流,尚不存在双向分流,Qp/Qs=2.54>1.5为动力型肺动脉高压期,尚有手术时机可行介入或外科手术治疗。但因经食管超声心动图显示房间隔缺损直径达51mm>36mm,该患者缺损直径过大,无合适的封堵器可以应用,故不适合行介入治疗,转入心血管外科行房间隔缺损修补术。术中可见继发孔房间隔缺损为下腔型,4.2cm×2.5cm大小,予自体心包补片修补房间隔缺损(心包补片上做1.0cm×0.5cm大小的活瓣)。
该患者的Qp/Qs=2.54>1.5,虽有中重度肺动脉高压(70/15/34mmHg),但心房水平仍为左向右分流,未出现右向左分流,肺血管病变尚可逆,故手术后肺动脉压力应该有明显下降,正如心脏彩超估测肺动脉收缩压术前为78mmHg,术后为59mmHg,房间隔缺损修补术后患者主动脉压力和动脉血氧饱和度无下降或上升,患者可从中获益。
(中国医科大学附属第四医院 周霞 金元哲)
来源:《内科学》
作者:康 健
参编:马晓伟 于晓松 张锦 黎毅敏 于婧
页码:89-97
出版:人民卫生出版社
- 评价此内容
- 我要打分
近期推荐
热门关键词
最新会议
- 2013循证医学和实效研究方法学研讨会
- 欧洲心脏病学会年会
- 世界帕金森病和相关疾病2013年会议
- 英国介入放射学学会2013年第25届年会
- 美国血液学会2013年年会
- 美国癫痫学会2013年第67届年会
- 肥胖学会 2013年年会
- 2013年第9届欧洲抗体会议
- 国际精神病学协会 2013年会议
- 妇科肿瘤2013年第18届大会
- 国际创伤压力研究学会2013年第29届…
- 2013年第4届亚太地区骨质疏松症会议
- 皮肤病协会国际2013年会议
- 世界糖尿病2013年大会
- 2013年国际成瘾性药年会
- 彭晓霞---诊断试验的Meta分析
- 武姗姗---累积Meta分析和TSA分析
- 孙凤---Network Meta分析
- 杨智荣---Cochrane综述实战经验分享
- 杨祖耀---疾病频率资料的Meta分析
合作伙伴
Copyright g-medon.com All Rights Reserved 环球医学资讯 未经授权请勿转载!
网络实名:环球医学:京ICP备08004413号-2
关于我们|
我们的服务|版权及责任声明|联系我们
互联网药品信息服务资格证书(京)-经营性-2017-0027
互联网医疗保健信息服务复核同意书 京卫计网审[2015]第0344号




会员登录

