教你甄别限制型心肌病:病因、诊断和超生心电图作用
病例摘要
女性,90岁。主因“反复活动后气促6个月,加重伴胸闷2个月”于2013年3月23日入院。
现病史
患者于6个月前出现活动后气促,休息3分钟可缓解,无心前区闷痛,无濒死感,无头晕、晕厥,无发热,无咳嗽、咳痰、咳粉红色泡沫痰、咯血,无面色苍白、出冷汗,无伴大汗淋漓,无气促、夜间阵发性呼吸困难、端坐呼吸,无反酸、嗳气、吞咽困难。于当地医院就诊,诊断为 “肺部感染、心力衰竭”,给予抗凝、降压等治疗后气促稍好转出院。2个月前,患者感气促加重,伴胸闷,再次到当地医院就诊,诊为 “冠心病,心功能不全”,经利尿、强心等治疗后无明显改善。3天前行超声心动图提示左心室异常回声、性质待定。患者为进一步诊疗,转我院急诊就诊,复查超声心动图考虑冠心病超声改变并左心室中下部大范围附壁血栓;心电图提示ST段改变,诊断 “冠心病、左心室血栓”,给予抗凝、利尿治疗,为进一步治疗收入我科。患病以来,患者精神好,饮食好,夜间睡眠好,体重无变化,二便正常。
既往史
冠心病史多年,一直口服药物治疗 (具体不详),近3个月自行停药。曾行子宫切除术。否认高血压病、糖尿病史,否认肝炎病、结核病、血吸虫病史。否认输血史、过敏史。
个人史
出生地广东,无地方病地区居住史,否认疫水接触史、食生鱼史。否认烟酒嗜好,否认吸毒史。
家族史
否认冠心病、高血压病、糖尿病家族史。
体格检查
体温36℃,脉搏82次/分,呼吸20次/分,血压129/70mm Hg。神情,精神可。气管居中,皮下无出血点。双下肺呼吸音稍减弱,可闻及少许细湿啰音。心率82次/分,律齐,心尖部闻及2/6级收缩期杂音。腹平软,无压痛、反跳痛,未及包块、双下肢无水肿。
辅助检查
血常规:白细胞计数5.82×109/L,中性粒细胞百分比32.9%,红细胞计数3.61×1012/L,血红蛋白109g/L,血小板计数176×109/L,嗜酸性粒细胞计数2.05×109/L,嗜酸性粒细胞百分比35.2%。尿常规:白细胞29.4/μl,白细胞反应(+)。生化检查:丙氨酸转氨酶190U/L,天冬氨酸转氨酶17U/L,总胆红素14.7μmol/L,总蛋白68.8g/L,白蛋白42.3g/L,尿素氮7.2mmol/L,肌酐78.9μmol/L,K+3.43mmol/L,Na+139mmol/L,血脂、血糖、凝血指标和心肌酶均正常;肌钙蛋白Ⅰ(发光法)0.052ng/ml;D二聚体1030μg/ L。游离甲状腺三项正常。心电图:ST段改变(图12-1)。X线胸片:心影增大,主动脉硬化,双侧少量胸腔积液。

3月22日,超声心动图:左心房前后径41mm,左心室舒张末期内径54mm,左心室收缩末期内径32mm;左心室中下段心肌运动减弱,左心室腔内可见大范围低回声填充并附着心内膜面,与其不相连,质感松软,其余室壁搏动尚好,左心室射血分数(LVEF) 43%;彩色多普勒示二尖瓣反流面积4.8cm2,三尖瓣反流面积5.0cm2,连续多普勒估测肺动脉收缩压49mm Hg(图12-2)。结论:考虑冠心病超声改变并左心室中下部大范围附壁血栓,请结合临床;左心房、左心室扩大,左心室收缩功能减退;中度二尖瓣反流,中度三尖瓣反流,轻度肺高压。
3月26日,冠状动脉造影:左前降支、左回旋支及左主干未见明显狭窄,血流TIMI 3级;右冠状动脉未见明显狭窄,血流TIMI 3级。

图12-2 超声心动图
A:3月22日,心尖四腔切面显示左心室心尖附壁低回声,左心室射血分数43%;B:4月8日复查,左心室短轴切面显示左心室心尖附壁低回声;C:4月8日复查,心尖四腔心切面显示左心室心尖附壁低回声;D:4月8日复查,二尖瓣血流频谱显示E/A>2
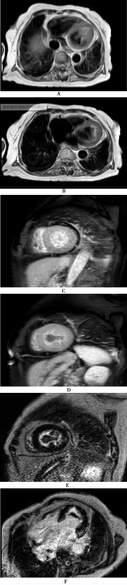
3月29日,心脏磁共振成像平扫+增强:平扫示左心房、右心房、左心室增大,右心室结构正常,左心室心内膜增厚、心尖部闭塞,左心室可见团块状软组织影附着在心尖部,呈短T 1、长T 2异常信号,心肌内未见异常信号;左心室舒张受限,收缩功能减弱,二尖瓣、三尖瓣反流;增强扫描示左心室心内膜明显强化,左心室内病灶未见强化;灌注扫描心室壁未见灌注缺损;延迟扫描示左心室游离壁可见多发斑片状延迟强化;双侧少量胸腔积液(图12-3)。诊断:考虑限制型心肌病,左心室心尖部附壁血栓形成,二尖瓣、三尖瓣反流,左心功能减弱;双侧胸腔少量积液。
4月8日,复查超声心动图:左心房前后径38mm,左心室舒张末期内径51mm,左心室收缩末期内径32mm,左心室射血分数65%;左心室心尖部室壁厚度0.7cm,左室心尖部心内膜增厚、回声增强、心腔闭塞、室壁收缩可、舒张运动受限;二尖瓣、三尖瓣瓣缘稍增粗,关闭不全;二尖瓣血流频谱呈充盈限制型(E 1.05m/s,A 0.38m/s);组织多普勒示二尖瓣环室间隔组织速度S'5cm/s,E’4cm/s,A’5cm/s;彩色多普勒示主动脉瓣反流面积1.3cm2,二尖瓣反流面积8.84cm2,三尖瓣反流面积5.96cm2,估测肺动脉收缩压56mm Hg(图12-2B~D)。结论:符合限制型心肌病超声改变,考虑为嗜酸性粒细胞增多症所致;左室心尖部心腔闭塞,左心房、左心室扩大,左室舒张功能减退;重度二尖瓣反流,中度三尖瓣反流,轻度主动脉瓣反流,中度肺高压。

图12-3 心脏磁共振
A、B:平扫T1加权成像示左心室心内膜增厚,左心室心尖部闭塞,左心室腔内见短T1异常信号影附着于心尖部;C:早期增强图像,左心室短轴位显示左心室心腔中部对比及充盈良好;D:早期增强图像,左心室短轴位显示心尖部团块状充盈缺损;E:延迟增强图像,左心室短轴位显示左心室腔内病灶无延迟强化,左心室中部外侧壁见片状强化;F:延迟增强图像,四腔心位显示左心室心尖部病灶无延迟增强,左心室基底部外侧壁见片状延迟强化
入院诊断
冠状动脉粥样硬化性心脏病,左心室附壁血栓形成,心功能Ⅳ级。
诊疗经过
入院当天患者有胸闷、气促,心力衰竭发作,临时医嘱给予静脉推注呋塞米,口服补钾,长期医嘱为冠心病二级预防 (阿司匹林、美托洛尔、培哚普利、氯吡格雷)、利尿,皮下注射低分子肝素0.4ml,每12小时1次(3月23~4月5日)、口服华法林4mg,每晚1次(4月2日~8日)抗凝治疗。于3月26日行冠状动脉(冠脉)造影未发现冠脉病变,排除冠心病,考虑X综合征可能,继续利尿减轻心脏负荷、抗凝治疗,改行冠心病一级预防。
3月29日,心脏磁共振成像平扫+增强,诊断 “考虑限制型心肌病,左心室心尖部附壁血栓形成,二尖瓣、三尖瓣反流,左心功能减弱,双侧少量胸腔积液”。因左心室心尖血栓未消失,临床医生遂于4月2日当天加用华法林抗凝。查房时患者仍诉气促,听诊双下肺细湿啰音,磁共振成像示双侧胸腔少量积液,考虑心功能不全、心力衰竭控制不理想,加用多巴胺、地高辛强心后症状逐步缓解。直至4月8日复查超声心动图发现左心室心尖部低回声未消失,经仔细观察发现其为增厚的心内膜组织。当时再仔细追问病史、查看心脏磁共振图片、并翻看实验室检查结果,发现嗜酸性粒细胞计数及比值明显异常增高,遂考虑为嗜酸性粒细胞增多症所致限制型心肌病。
病例思考
1.如何甄别限制型心肌病患者的增厚心内膜与附壁血栓?
纵观患者的超声心动图表现、心脏磁共振表现以及入院时D二聚体升高的特点,可考虑患者左室心尖部附壁血栓形成。心脏 (心室)附壁血栓常见于如下情况:心肌梗死室壁瘤形成;心肌病,如左心室心肌致密化不全、扩张型心肌病、限制型心肌病;外伤;手术创伤等。其超声心动图征象多为均质性低回声或等回声的不规则团块,与心内膜有分界。血流缓慢淤积是血栓形成的条件之一,通常在未进行抗凝治疗的患者中,附壁血栓附近往往会发现血液超声自显影的现象。附壁血栓时间长者血栓内部可液化,形成中央无回声区;亦可以发生血栓机化,表现为血栓的纤维化,即血栓体积较前缩小、回声增强。未机化的附壁血栓经抗凝治疗后血栓体积会变小。而心内膜与心肌紧密连接,回声较正常心肌稍低,表面较平整、光滑,不会局部向心腔异常凸出。
该患者于3月22日所行超声心动图提示附壁血栓后启用低分子肝素、华法林抗凝治疗,4月8日复查超声心动图发现左心室心尖部 “附壁血栓”体积、范围较前缩小,提示抗凝治疗见成效,但 “附壁血栓”范围仍然很大,而且 “附壁血栓”的致密度与3月22日所描述的 “质感松软”不一致,由此质疑左心室心尖部异常回声到底是否全部为血栓形成?超声心动图医生再次审慎观察左心室心尖部低回声征象,最终发现经过17天的抗凝治疗后,原来左室心尖的附壁血栓已消失,现在所观察到的左心室心尖部异常回声是异常增厚的心内膜。与患者3月26日的心脏MRI图像比较,发现磁共振示左心室心尖部心内膜异常增厚,而心尖部病灶无强化。最终明确该患者在左室心内膜增厚的同时伴附壁血栓形成。
2.限制型心肌病的病因是什么?
限制型心肌病是临床较为罕见的心肌病,目前尚无统一的诊断标准。该类疾病患者超声心动图可特征性表现为限制性舒张功能障碍,一侧或两侧心室舒张末期、收缩末期容积正常或减少,室壁厚度正常,并需除外缺血性心肌病、瓣膜性心脏病、心包疾病和先天性心脏病。限制型心肌病只是对一种病理生理状态的描述性诊断,需要对病因进行进一步的鉴别分析。常见病因包括淀粉样变性、心内膜心纤维化、嗜酸性粒细胞增多症、血色病、糖原贮积症以及特发性心肌病等。该患者超声心动图表现为左心室心尖心内膜增厚、心腔闭塞,结合血常规示嗜酸性粒细胞计数2.05×109/L、百分比达35.2%,故高度怀疑高嗜酸性粒细胞所致限制型心肌病。
3.限制型心肌病的最佳诊断流程是什么?
临床病史、超声心动图疑诊限制型心肌病患者,可以进一步行心脏磁共振成像,其具有高度的软组织分辨力,有助于限制型心肌病病因诊断,如心肌淀粉样变性、铁在心肌的浸润、嗜酸性粒细胞浸润等,还可显示心肌纤维化;能直接显示有无心包增厚,与窄缩性心包炎鉴别方面非常具有优势。病理检查有助明确限制型心肌病病因,如心肌淀粉样变、嗜酸细胞浸润、铁过度沉积、糖原贮积、类肉瘤的非干酪样肉芽肿等。部分患者确诊可以凭借病理活检结果支持,但活检的阳性率通常较低。
4.限制型心肌病与缩窄性心包炎的超声鉴别要点有哪些?
限制型心肌病与缩窄性心包炎的鉴别诊断一直是超声心动图的难点,目前共识认为心包增厚、钙化是缩窄性心包炎的直接征象,心内膜增厚纤维化是部分限制型心肌病的直接征象,超声心动图能清晰地探查到相关征象对正确诊断起重要作用。
有经验的超声心动图医生还可利用观察心脏瓣膜病变、瓣膜反流程度、心房大小、室壁厚度、室间隔切迹、室间隔抖动、室间隔呼吸移位、呼吸相二尖瓣血流频谱E峰变化率、肺静脉多普勒S峰/D峰随呼吸变化、肝静脉多普勒S峰/D峰随呼吸变化,进行综合评判、客观诊断。新近研究表明,运用组织多普勒技术评估二尖瓣环运动可更准确区分限制型心肌病与缩窄性心包炎。
5.超声心动图在诊疗决策中扮演什么角色?
超声心动图可以筛查限制型心肌病与缩窄性心包炎,明确心脏病变程度,评估心脏功能状态,从而明确诊断并指导治疗决策。缩窄性心包炎引起的心脏限制症状与限制型心肌病相似,由于是心包病变,可以行心包剥离手术缓解心脏限制,收效理想,预后好。而限制型心肌病通常选择内科治疗,终末期患者可考虑外科切除纤维化的心内膜或接受心脏移植,但存在复发风险且临床预后差。
此外,超声心动图可以明确心内结构、评估心脏瓣膜功能,部分缩窄性心包炎患者的心包粘连、钙化可浸润至心肌和瓣环,造成瓣膜开放、关闭受限,提示术者需综合考量心包剥离手术同时是否处理心脏瓣膜病变。限制型心肌病患者可出现心脏瓣膜增厚、延长、松弛,导致瓣膜脱垂、关闭不全,甚至继发感染性心内膜炎、心脏瓣膜穿孔,超声心动图可早期探查心脏瓣膜的结构和功能改变,警示临床医生及时采取干预措施。
6.本病例有哪些需要借鉴的地方?
一开始,临床医生及超声医生就受到患者既往 “冠心病”的误导,从而认为是左室心尖室壁瘤伴血栓形成。对于患者既往硬化的病史,医生需要认真甄别。该患者以气促、胸闷为主要表现,无胸痛,冠状动脉粥样性心脏病危险因子较少 (老年、停经),无高血压、糖尿病、血脂异常、吸烟、肥胖高危因素,所以 “冠心病”应先打问号,最终冠脉造影也明确冠脉无病变。
对于X综合征,有学者认为是冠心病的前期病变。X综合征表现为心肌微循环的损伤,血管扩张储备能力下降,引起局部心肌灌注的减少,临床表现多有心绞痛,而且心绞痛的症状通常是导致患者进行冠脉造影的直接依据,但患者心脏收缩、舒张功能往往没有出现明显异常。而该患者超声心动图及心脏磁共振均表现出心脏舒张、收缩功能的下降(3月22日,左心室射血分数43%),在进行强心治疗后,左心室射血分数虽然有上升,但同时伴有严重的充盈限制型左心室舒张功能不全,X综合征较难解释这现象。同时X综合征导致左心室心尖部大范围附壁血栓形成的病例暂未见报道,左心室心尖部附壁血栓用X综合征去解释似乎有点牵强。
这时临床医生更应对 “心尖血栓”的形成原因进行深一步的分析,应再一次审查患者相关的临床、影像、实验室资料,阅读心脏磁共振影像,发现心内膜增厚、心尖部闭塞及左心室游离壁心肌存在延迟增强等限制型心肌病的特异征象。更不要漏掉、漠视嗜酸性粒细胞异常显著增高的现象,因为嗜酸性粒细胞和某些类型的心肌病发病紧密相关。
病例启示
限制型心肌病的诊断一直是超声心动图及临床诊断的一个难点,往往需要结合临床症状、实验室检查、超声心动图、CT、磁共振、心内膜心肌活检等多方面进行综合判断。对于左心室心尖部低回声的超声心动图现象,要注意附壁血栓、肿瘤占位、赘生物、增厚的心内膜的鉴别。附壁血栓只是一种表面现象,医生必须从血栓形成的机制出发,耐心寻找形成血栓的原因。
参考文献
1.Douglas P.Zipes,Peter Libby,Robert O.Bonow著.陈灏珠主译.Braunwald心脏病学——心血管内科学教科书.第7版.北京:人民卫生出版社,2007
2.黄萍,饶莉.缩窄性心包炎与限制型心肌病的超声鉴别.中华超声影像学杂志,2007,16:727-728
3.Ha JW,Ommen SR,Tajik AJ,et al.Differentiation of constrictive pericarditis from restrictive cardiomyopathy using mitral annular velocity by tissue Doppler echocardiography.Am J Cardiol,2004,94:316-319
4.Ha JW,Kim JM,Ahn JA,et al.Diagnostic value of measuring time difference between onset of mitral inflow and onset of early diastolic mitral annulus velocity for differentiation of constrictive Pericarditis from restrictive cardiomyopathy.J Am Soc Echocardiogr,2005,18:555
5.Sengupta PP,Mohan JC,Mehta V,et al.A ccuracy and pitfalls of early diastolic motion of the mitral annulus for diagnosing constrictive pericarditis by tissue Doppler imaging.Am J Cardiol,2004,93:886-890.
6.何亚乐,费洪文,侯跃双,等.应用组织追踪技术研究缩窄性心包炎.中国超声医学杂志,2006, 22:122-124
7.何亚乐,费洪文,侯跃双,等.组织应变成像技术对缩窄性心包炎的临床研究.中华超声影像学杂志,2006,15:176-178
8.赵洋,张金国.心脏X综合征与血管内皮功能的相关性研究进展.医学综述,2013,19:132-134
9.梁兆光,姜莉,姚虹,等.心肌声学造影评价心脏X综合征患者的价值.中国超声医学杂志,2010, 26:791-794
来源:《超声心动图与临床决策:疑难病例解析》
作者:朱天刚
参编:丁茜 权欣 王欣 丁文虹 马为
出版:人民卫生出版社
- 评价此内容
- 我要打分
近期推荐
热门关键词
最新会议
- 2013循证医学和实效研究方法学研讨会
- 欧洲心脏病学会年会
- 世界帕金森病和相关疾病2013年会议
- 英国介入放射学学会2013年第25届年会
- 美国血液学会2013年年会
- 美国癫痫学会2013年第67届年会
- 肥胖学会 2013年年会
- 2013年第9届欧洲抗体会议
- 国际精神病学协会 2013年会议
- 妇科肿瘤2013年第18届大会
- 国际创伤压力研究学会2013年第29届…
- 2013年第4届亚太地区骨质疏松症会议
- 皮肤病协会国际2013年会议
- 世界糖尿病2013年大会
- 2013年国际成瘾性药年会
- 彭晓霞---诊断试验的Meta分析
- 武姗姗---累积Meta分析和TSA分析
- 孙凤---Network Meta分析
- 杨智荣---Cochrane综述实战经验分享
- 杨祖耀---疾病频率资料的Meta分析
合作伙伴
Copyright g-medon.com All Rights Reserved 环球医学资讯 未经授权请勿转载!
网络实名:环球医学:京ICP备08004413号-2
关于我们|
我们的服务|版权及责任声明|联系我们
互联网药品信息服务资格证书(京)-经营性-2017-0027
互联网医疗保健信息服务复核同意书 京卫计网审[2015]第0344号




会员登录

