腹憋闷伴室性心动过速不容小觑 如何诊治见真章?
病例摘要
男性,61岁。主因“上腹憋闷感2天”就诊。
现病史
患者2天前进食后感上腹憋闷,无腹痛、恶心、呕吐,无胸痛、心悸、晕厥,当地医院查心电图示 “室性心动过速”,予以胺碘酮复律,因输注后出现恶心、呕吐停用,心律未转复。遂转诊至我院,复查心电图仍为室性心动过速(图10-1A),予以镇静后100J同步直流电复律一次,心律转为交界区逸搏心律,后收住院。
既往史
4年前诊断 “心律失常、心房扑动,右心室扩张型心肌病”,射频消融术,术后心电图见图10-1B,术后规律口服福辛普利、美托洛尔、呋塞米,病情平稳。否认冠心病、糖尿病、高血压病史。

图10-1 心电图
A:此次发病,复律前心电图,室性心动过速呈右束支传导阻滞图形,提示室性心动过速起源于左心室;B:4年前患者因心房扑动行射频消融术后复查心电图,胸导联QRS波可见典型棘波(Epsilon波),伴右胸导联T波倒置
个人史
吸烟史20年,约10支/日,已戒烟4年。饮酒史2年,约2两/日。
家族性遗传病史
无。
体格检查
体温36.4℃,脉搏65次/分,呼吸18次/分,血压87/47mm Hg。嗜睡,呼之可应。颈静脉怒张,无肝颈回流征。双肺无异常。心界向左扩大,心率65次/分,律齐,未闻及病理性杂音及额外心音。腹软,无压痛、反跳痛及肌紧张,肝、脾肋下未触及。双下肢不肿。
辅助检查
血常规:白细胞计数10.3×109/L,中性粒细胞78.1%。生化检查:天冬氨酸转氨酶47U/L,肌酐112μmol/L。心肌损伤标志物:肌酸激酶同工酶(CK-MB) 6.0ng/ml,肌红蛋白194ng/ml,肌钙蛋白0.05ng/ml。脑钠肽(BNP)1280pg/ml,D二聚体750ng/ml。
X线胸片:心影普大,未见活动性病变。
动态心电图(电复律后2天):窦性心律,多源室性期前收缩(21 000次/天)、短阵室性心动过速。
超声心动图:左心室舒张末期内径51mm,左心室射血分数65%;右心室前后径70mm,右心室横径79mm,右心房长径73mm,右心房横径58mm;主肺动脉内径20mm;三尖瓣反流速度1.1m/s,三尖瓣反流压差5mm Hg。结论:右心扩大,考虑为右心室心肌发育不良可能性大,三尖瓣收缩期闭合不良并重度反流,右心房血栓形成 (图10-2)。

图10-2 超声心动图
A:胸骨旁左心室长轴切面显示右心室前后径显著增大,室间隔呈右心室优势型;B:心尖四腔切面示右心房(RA)、右心室 (RV)较左心房、左心室显著扩大,右心房侧壁可见稍低回声以广基底附着(约5.7cm×2.6cm);Thrombus:血栓
心脏磁共振成像:心脏呈普大型,右心房、室明显增大,收缩、舒张功能明显减低;右心房内近前壁处可见一条片状低信号影,边界尚清,约2.5cm×1.4cm,周边可见血流信号;心脏显影右心房、心室内可见涡流,收缩期三尖瓣口可见大量反流信号,右心室心肌明显增厚并分层,外层心肌明显变薄呈线状,内层心肌明显增厚,其内可见多发粗大的肌小梁呈网格状排列。结论:右心明显增大伴房室壁变薄,符合心肌致密化不全;右心房近前壁处低信号影,考虑血栓不除外;重度三尖瓣反流(图10-3)。
诊疗经过
入院后给予维持窦性心律、抗凝、血管紧张素转换酶抑制剂等对症、支持治疗,7小时后患者神志转清,入院第2天动态心电监测提示心律转复为窦性心律。
临床诊断
致心律失常性右心室心肌病 (ARVC)合并右心房附壁血栓形成、室性心动过速。
临床结局
患者未接受射频消融或植入自律转复除颤器治疗,病情平稳后出院。出院后1个月因消化道出血停用口服抗凝药物,8个月后猝死。

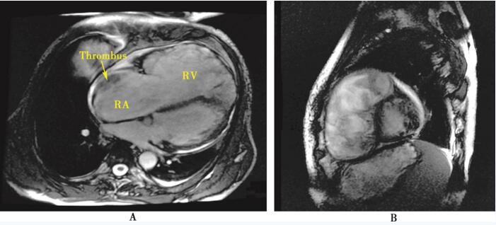
图10-3 心脏磁共振成像
A:横断面显示右心房、右心室显著扩大,右心房可见附壁血栓形成; B:矢状面显示右心增大,其内可见血流淤滞的涡流信号
病例思考
1.右心增大、右心功能不全的病因如何甄别?
患者以自发性持续性室性心动过速就诊,入院后行超声心动图检查发现右心房、右心室显著扩大伴室壁运动减低和右心功能减退,超声和临床医生都需要积极寻找可能的病因。与左心功能不全的发生机制类似,引起右心功能不全的病因也包括心肌本身病变和心脏负荷过重两大类,前者包括右心室心肌梗死和右心室心肌病,后者包括导致右心前负荷增加的疾病,主要是右心瓣膜病 (如中重度三尖瓣或肺动脉瓣反流),以及导致后负荷增加的疾病,包括肺动脉高压 (如心脏分流性疾病、肺心病和系统性疾病等)和肺动脉瓣狭窄。超声心动图探及右心增大时要积极寻找这些潜在疾病的临床和影像学证据。
上述临床病变中,负荷过重可以通过超声心动图作出明确诊断,而心肌本身病变需要结合患者的病史、心电图、冠状动脉造影等临床资料,部分属于排除性诊断。右心室心肌梗死的诊断,急性期主要通过心电图、冠状动脉造影确诊,此时超声心动图可能发现右心室节段性室壁运动减低而无明显心腔扩大;终末期出现右心扩大、右心室壁变薄、心内膜回声增强伴弥漫性室壁运动减低。右室心肌病包括致心律失常性右心室心肌病、孤立的右心室扩张型心肌病、孤立的右心室心肌致密化不全和Uhl畸形。这4类疾病在超声心动图的共同表现,除了右心显著增大和功能减低,还可见大量三尖瓣反流,但是尽管反流量很大,反流的速度和压差却很低,与右心室收缩功能显著降低同时右房压较高有关。
2010年,美国心脏协会 (AHA)更新的致心律失常性右心室心肌病诊断指南列举了该疾病在影像学、组织学、心电图除极异常、复极异常、心律失常和遗传学异常6方面的特征性改变,各方面均包含了诊断致心律失常性右心室心肌病的主要和次要标准,满足2个主要标准、1个主要标准+2个次要标准或4个次要标准即可诊断。本例患者影像学改变符合1条主要标准(胸骨旁长轴切面右室前后径>32mm);心电图除极异常符合1条主要标准(右胸导联QRS波群可见棘波,图1A);复极异常符合1条主要标准(右胸导联T波倒置,图10-1A);心律失常满足1条次要诊断标准,即室性期前收缩>500次/24小时。因此,该例患者虽然临床表现缺乏特异性,但是根据心电图和超声心动图征象,可诊断为致心律失常性右心室心肌病,也称致心律失常性右心室发育不良(ARVD)。
心脏磁共振成像是检测心肌病的重要方法,但并非完全可靠。正常人右心室心肌本身就可见较多肌小梁,某些心肌病时可能会更多,这可能解释磁共振检查将本例患者误诊为右心室心肌致密化不全 (RVNC)。考虑与心肌致密化不全鉴别时需注意,心肌致密化不全多累及左心室,右心室单独受累尽管罕见,但也有报道;RVNC的诊断需同时满足3个条件:肌小梁粗大、排列紊乱,形成非致密心肌;肌小梁间深陷的隐窝,内含淤滞的血流,且与心腔血流相通;舒张末期非致密心肌与致密心肌厚度比>2。需要强调的是,心脏磁共振成像比较两者的厚度是在收缩末期,而超声心动图是在舒张末期。
心肌活检是诊断致心律失常性右心室心肌病的金标准,但是早期致心律失常性右心室心肌病病变的局灶性特点可能导致假阴性结果。另一方面,由于病变区域正常右心室心肌细胞代之以纤维脂肪成分,活检有导致右心室破裂的风险。
2.致心律失常性右心室心肌病患者为何可见房性心律失常和在心室起源的室性心动过速?
回顾病史可以发现,本例患者4年前因心房扑动住院时心电图就已表现出典型的除极和复极异常,但由于患者以房性心律失常就诊,且当时超声心动图发现右心室腔扩大伴弥漫性右心室壁运动减低,而非典型的局灶性室壁运动异常,导致了当时的误诊。文献报道,致心律失常性右心室心肌病患者合并房性心律失常的发生率为24%~42%,但以房性心律失常起病的致心律失常性右心室心肌病比率未有报道。
致心律失常性右心室心肌病典型的心律失常是起源于右心室的室性心动过速,心电图表现为左束支传导阻滞图形的室性心动过速,而本例患者的室性心动过速呈右束支传导阻滞图形,即起源于左心室,再一次误导了临床医生。尽管未被列入致心律失常性右心室心肌病的主要诊断标准,但是这一类型患者并不少见,致心律失常性右心室心肌病时纤维脂肪的浸润也可能累及左心室,病情轻者可能缺乏明显影像学改变,因此不典型的心律失常不能作为排除致心律失常性右心室心肌病的依据。
3.右心房肿物性质的鉴别诊断思路是什么?
与大多数心腔肿物一样,右心房肿物也需要鉴别血栓、肿瘤和赘生物。肿瘤往往有蒂与心房或室壁相连,表面毛糙、欠光整,时常呈 “菜花样”声像图,诊断需要结合临床,包括患者的年龄、有无发热、慢性消耗症状、有无原发肿瘤的证据及红细胞沉降速率和肿瘤标志物等;赘生物一般生长在受累心脏瓣膜的下游,患者往往有静脉药瘾、导管植入或器质性心脏瓣膜病等感染性心内膜炎的危险因素,有长期的高热、贫血及器官梗死等表现;血栓形成常常需要特定的血流动力学条件(Virchow三要素),该患者以右心系统受累为主,右心房、右心室显著扩大,右心腔内血流缓慢,具备右心房血栓形成的条件。因此,其右心房肿物首先考虑为附壁血栓形成。超声心动图诊断血栓的要点:病变附着于运动显著减低的心房或心室壁,形状不规则,基底部厚实、宽大,表面较为光整,活动性血栓可见与心动周期不一致的摆动。
临床医生需谨记,一旦超声发现右心房附壁血栓形成,无论患者有无临床症状,均建议行CT肺动脉造影排除肺动脉栓塞。但是即使肺动脉造影未提示肺动脉栓塞,心腔内附壁血栓形成已是抗凝治疗的指征。
4.超声心动图评价右心功能的价值是什么?
由于右心的位置和形状较为特殊,多数超声心动图医生尚未将右心功能作为常规评估指标。本例患者的超声心动图报告也仅提供了右心腔大小,忽略了对病因鉴别有重要意义的信息,包括右心室壁厚度、下腔静脉宽度与呼吸塌陷率以及右心功能评价。建议对右心系统疾病患者常规评价右心室功能,可以应用二维超声心动图评价右心室面积变化率、组织多普勒评价右心室壁收缩期运动速度峰值,也可以通过M型超声测量右心室侧壁基底段收缩期运动距离 (TAPSE)。这些都是简便易行的超声测量指标,也是一份完整超声心动图报告的重要组成部分,超声心动图检查者和临床医生均应熟悉和掌握。
5.致心律失常性右心室心肌病患者直系亲属的临床筛查有何建议?
致心律失常性右心室心肌病是常染色体显性遗传性疾病,应建议患者的全部直系亲属接受临床筛查,至少包括心电图、动态心电图、超声心动图,有条件者推荐接受遗传学检查。对本例患者的4个姐姐、一对儿女的心电图和超声心动图筛查均未见明显异常,目前仍在继续随访。
病例启示
超声心动图提供影像学诊断,能够评估病变的形态结构、功能和血液动力状态,有助于明确引起右心室扩大的原发性或继发性病因,但确诊疾病往往需要综合更多临床资料。超声心动图医生应该了解常见的引起右心扩大的疾病,熟悉常见的超声伴随征象和右心功能评价方法。
参考文献
1.Marcus FI,Mc Kenna WJ,Sherrill D,et al.Diagnosis of arrhythmogenic right ventricular cardiomyopathy/dysplasia.Circulation,2010,121:1533-1541
来源:《超声心动图与临床决策:疑难病例解析》
作者:朱天刚
参编:丁茜 权欣 王欣 丁文虹 马为
出版:人民卫生出版社
- 评价此内容
- 我要打分
近期推荐
热门关键词
最新会议
- 2013循证医学和实效研究方法学研讨会
- 欧洲心脏病学会年会
- 世界帕金森病和相关疾病2013年会议
- 英国介入放射学学会2013年第25届年会
- 美国血液学会2013年年会
- 美国癫痫学会2013年第67届年会
- 肥胖学会 2013年年会
- 2013年第9届欧洲抗体会议
- 国际精神病学协会 2013年会议
- 妇科肿瘤2013年第18届大会
- 国际创伤压力研究学会2013年第29届…
- 2013年第4届亚太地区骨质疏松症会议
- 皮肤病协会国际2013年会议
- 世界糖尿病2013年大会
- 2013年国际成瘾性药年会
- 彭晓霞---诊断试验的Meta分析
- 武姗姗---累积Meta分析和TSA分析
- 孙凤---Network Meta分析
- 杨智荣---Cochrane综述实战经验分享
- 杨祖耀---疾病频率资料的Meta分析
合作伙伴
Copyright g-medon.com All Rights Reserved 环球医学资讯 未经授权请勿转载!
网络实名:环球医学:京ICP备08004413号-2
关于我们|
我们的服务|版权及责任声明|联系我们
互联网药品信息服务资格证书(京)-经营性-2017-0027
互联网医疗保健信息服务复核同意书 京卫计网审[2015]第0344号




会员登录

