如何从肥厚型心肌病的心电图表现鉴别分型及预测病程进展?
【示教病例】
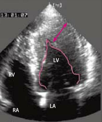
患者男性,27岁,体检行心电图检查(图4-7-1)。超声心动图示左室心尖段增厚(图4-7-2)。

图4-7-1 心电图
心电图表现为窦性心律,P-R间期246ms,V3~V5导联T波呈对称性深倒置,酷似“冠状T”(箭头所示),同时R波明显增高,RV4≥RV5≥RV3,并可见Ⅱ、Ⅲ、aVF、V6导联T波倒置,Ⅱ、Ⅲ、aVF,V4~V6 导联ST段压低 心电图诊断:窦性心律,一度房室传导阻滞,左心室肥厚,ST-T改变,提示心尖部肥厚型心肌病

图4-7-2 超声心动图 示左心室腔呈“A”字形
【相关知识点】
1. 肥厚型心肌病(hypertrophic cardiamyopathy,HCM)是以心肌肥厚为主要表现的一种常染色体显性遗传性疾病,主要病理改变为心肌纤维异常粗大,排列紊乱。临床上根据左室流出道有无梗阻分为梗阻性肥厚型和非梗阻性肥厚型心肌病;根据心肌增厚部位的不均一性分为非对称性室间隔肥厚、对称性左室肥厚和心尖肥厚型心肌病。肥厚型心肌病的症状及预后因人而异,部分患者可无自觉症状,常在体检中查出,或猝死后尸检被发现,其进展缓慢,诊断明确后应长期随访,并对直系亲属进行心电图、超声心动图检查,以便早期发现家族中肥厚型心肌病患者。
2. 肥厚型心肌病的心电图表现与其分型及病程的进展相关,常见心电图表现为以下几点(表4-7-1):

表4-7-1 非对称性室间隔肥厚及心尖肥厚型心肌病特征性心电图表现
(1) 持续性ST-T改变:ST段呈水平型或下斜型压低,T波常呈对称性倒置,酷似“冠状T波”,以胸前导联尤其是V3~V5导联最为明显,此为该病最常见且最具特征性的心电图改变,多见于心尖部肥厚型心肌病。
(2) 左心室肥厚:RV5及RV5+SV1电压均明显增高,有时可见V1导联QRS波群呈Rs型,R波振幅大于1.0mV,这不是右心室肥大的表现,而是异常增厚的室间隔除极时所产生的向右前向量增大所致。
(3) 窄而深的异常Q波:为其特征性改变,可能与室间隔增厚使自左向右的初始向量增大或心脏除极顺序改变有关,常见于Ⅱ、Ⅲ、aVF导联或Ⅰ、aVL、V5、V6导联,同时这些导联R波振幅增高,T波常是直立,而有别于心肌梗死的异常Q波,多见于非对称性室间隔肥厚型心肌病。病变晚期,由于左心室后壁明显增厚,向左后的向量与室间隔右前向量可有不同程度的抵消,使异常Q波缩小或消失。
(4) P波时限增宽:因左室顺应性降低,左室舒张末期压力增高,导致左房负荷过重,继而引起左房肥大和左房内传导障碍。
(5) 心律失常:可见房性心律失常、室性心律失常及传导阻滞,以室性心律失常多见,且易引发恶性心律失常而致猝死。
【实战演练】
1. 患者女性,56岁。行心电图及超声心动图检查(图4-7-3)。

图4-7-3 心电图及超声心动图
心电图示P波既高又宽,Ⅰ、aVL、V5、V6导联可见窄而深的Q波伴T波直立,有别于心肌梗死的病理性Q波,V1~V3导联R波增高,而V5~V6导联S波不增深,心电轴无右偏,不支持右心室肥大,而是室间隔增厚所致。 超声心动图示:双侧心房扩大,室间隔、左室壁增厚,左室侧壁最厚处21mm,心包少量积液 心电图诊断:窦性心律,双心房肥大,侧壁、高侧壁异常Q波,符合肥厚型心肌病心电图改变
2. 患者男性,56岁。行心电图及超声心动图检查(图4-7-4)。

图4-7-4 心电图及超声心动图
心电图示QRS波时限增宽,V1导联呈R型,Ⅱ、Ⅲ、aVF导联呈rS型,SⅢ>SⅡ,心电轴左偏-54°;RV1~V3明显增高伴ST段压低、T波深倒置,SV5、SV6明显增深,酷似右心室肥大,实为室间隔肥厚。 超声心动图示:左房左室增大,室间隔及左室前侧壁增厚,前间隔最厚处约21mm 心电图诊断:窦性心律,一度房室传导阻滞,左前分支阻滞,室间隔肥厚(酷似右心室肥大心电图改变)
3. 患者女性,43岁。行心电图及超声心动图检查(图4-7-5)。心肌标记物阴性。

图4-7-5 心电图及超声心动图
心电图示P-R间期延长,QRS波图形呈右束支阻滞伴左前分支阻滞改变,RV1~V3明显增高,rV4~V6明显减低,且SV5~V6增深,STV2~V6抬高,TV1~V3倒置,易误诊为急性心肌梗死或室壁瘤。广泛前壁ST段抬高可能与局部增厚的室壁运动异常有关。 超声心动图示:左房增大,室间隔、左室前壁、前侧壁增厚,运动相对偏低 心电图诊断:窦性心律,一度房室阻滞,完全性右束支阻滞,左前分支阻滞,广泛前壁ST段抬高,前间壁T波改变
4. 患者女性,57岁。行心电图及超声心动图检查(图4-7-6)。

图4-7-6 心电图及超声心动图
心电图示心电图示RⅠ波增高,QⅢ波显著增深,TV2~V6正负双向。 超声心动图:心尖段室壁增厚,最厚14mm。该心尖部肥厚型心肌病的心电图表现不典型,可能与心脏肥厚程度及肥厚部位有关 心电图诊断:窦性心律,T波改变,Ⅲ导联异常Q波
5. 患者男性,37岁,晕厥2次。行心电图及超声心动图检查(图4-7-7)。心肌标记物阴性。

图4-7-7 心电图
心电图示Ⅰ、aVL、V4~V6导联可见窄而深的Q波伴T波高耸直立,有别于心肌梗死的病理性Q波,V1~V6导联ST凹面向上抬高。 超声心动图示:左房扩大,基底段室间隔及左室前壁增厚,最厚15mm,左室流出道压差10mmHg 心电图诊断:窦性心律,侧壁、高侧壁异常Q波,广泛前壁ST段轻度抬高
【复习题及答案解析】
1. 下列哪项有助于梗阻性肥厚型心肌病和陈旧性心肌梗死鉴别诊断
A. Ⅱ、Ⅲ、aVF导联异常Q波B. 劳力后胸痛
C. 下蹲位收缩期杂音减轻
D. 心室晚电位阳性
E. 心源性晕厥
2. 肥厚型心肌病的常见心电图表现为
A. 持续ST-T改变
B. 窄而深的Q波
C. 左胸导联高电压
D. P波时限增宽
E. 多见室性心律失常
3. 肥厚型心肌病临床表现为
A. 晕厥
B. 胸痛
C. 呼吸困难
D. 心悸
E. 胸闷

来源:《临床心电图精解》
作者:廉姜芳 周建庆
参编:叶明 葛世俊 巴艳娜 巴艳娜 陈健
页码:93-100
出版:人民卫生出版社
- 评价此内容
- 我要打分
近期推荐
热门关键词
最新会议
- 2013循证医学和实效研究方法学研讨会
- 欧洲心脏病学会年会
- 世界帕金森病和相关疾病2013年会议
- 英国介入放射学学会2013年第25届年会
- 美国血液学会2013年年会
- 美国癫痫学会2013年第67届年会
- 肥胖学会 2013年年会
- 2013年第9届欧洲抗体会议
- 国际精神病学协会 2013年会议
- 妇科肿瘤2013年第18届大会
- 国际创伤压力研究学会2013年第29届…
- 2013年第4届亚太地区骨质疏松症会议
- 皮肤病协会国际2013年会议
- 世界糖尿病2013年大会
- 2013年国际成瘾性药年会
- 彭晓霞---诊断试验的Meta分析
- 武姗姗---累积Meta分析和TSA分析
- 孙凤---Network Meta分析
- 杨智荣---Cochrane综述实战经验分享
- 杨祖耀---疾病频率资料的Meta分析
合作伙伴
Copyright g-medon.com All Rights Reserved 环球医学资讯 未经授权请勿转载!
网络实名:环球医学:京ICP备08004413号-2
关于我们|
我们的服务|版权及责任声明|联系我们
互联网药品信息服务资格证书(京)-经营性-2017-0027
互联网医疗保健信息服务复核同意书 京卫计网审[2015]第0344号




会员登录

