鉴别中老年患者冠状动脉病变还是心脏瓣膜病变 什么是关键?
本病例中的患者为中年女性,存在反复胸闷、胸痛、气短、夜间不能平卧等症状,超声心动图均提示心功能明显减低。主因是冠状动脉病变还是心脏瓣膜病变?如何进一步鉴别诊断?如果是心脏瓣膜病变,如何开展治疗?下面让我们来看看专家们是如何处理这些难题的:
病例摘要
女性,58岁。主因 “发作性胸痛8年,加重伴胸闷、气短1个月”入院。
现病史
患者8年前因受凉、情绪激动出现胸痛,伴胸闷,舌下含服硝酸甘油症状可较快缓解。6年前症状加重,以 “重度主动脉瓣关闭不全、二尖瓣关闭不全、左心扩大、心功能Ⅱ~Ⅲ级(NYHA分级)”于我院住院。症状缓解后因红细胞沉降率较高(88 mm/h)未行手术。出院后予强心、利尿治疗。近5年患者受凉后反复出现胸痛,舌下含服硝酸甘油后1分钟内症状可缓解。患者能完成日常活动但耐量显著受限,无夜间阵发性呼吸困难。1个月前,患者感上述症状加重,出现夜间不能平卧,服用硝酸甘油症状不缓解,为进一步诊治入院。
既往史
13年前诊为 “类风湿性关节炎”,长期服用来弗米特片治疗。曾行人工流产。否认高血压、糖尿病、冠心病史。
个人史
生活规律,无烟、酒嗜好。
体格检查
体温36℃,脉搏90次/分,呼吸18次/分,血压110/70mm Hg。神志清楚,精神可。胸廓无畸形。双肺呼吸音清,未闻及干、湿啰音。心尖搏动正常,未触及震颤,心界向左扩大,心率90次/分,律不齐,胸骨左缘第二肋间闻及舒张期叹气样杂音,心尖区闻及收缩期2/6级高调吹风样杂音。腹软,无压痛、反跳痛,肝脾未触及。双下肢无水肿。
辅助检查
实验室检查:平均红细胞体积、平均血红蛋白含量、嗜酸细胞计数、谷氨酸转氨酶、总胆红素、直接胆红素、尿酸、凝血酶原时间、C反应蛋白、类风湿因子增高,凝血酶原活动度降低。
入院第二天,行经胸超声心动图:①二维图像显示左心增大,左心房大小为36mm× 49mm×54mm,左心室舒张末期内径83mm、收缩末期内径67mm,左心室壁运动普遍减低,左心功能减低,二维法测射血分数28%;主动脉瓣三瓣缘增厚、回声增强、交界粘连,舒张期见关闭裂隙。②连续波多普勒显示主动脉瓣上流速增快,最大流速3.14m/s,最大跨瓣压差39mmHg,平均跨瓣压差20mmHg。③彩色多普勒显示舒张期主动脉瓣下见大量反流信号,反流面积12.3cm2;收缩期二尖瓣房侧见大量反流信号、反流面积9.1cm2;少量三尖瓣反流信号,TI法估测肺动脉压43mm Hg;升主动脉增宽、内径38mm。结论:轻度主动脉瓣狭窄伴重度关闭不全,重度二尖瓣反流,左心增大,左心功能减低。(图65-1)
临床诊断
重度主动脉瓣关闭不全,轻度主动脉瓣狭窄,重度二尖瓣关闭不全,左心扩大,心功能Ⅱ~Ⅲ级(NYHA分级)。

图65-1入院超声心动图
A:彩色多普勒超声心动图显示左心室扩大,舒张期大量主动脉瓣反流;B:连续多普勒超声心动图可见主动脉瓣上血流频谱及反流频谱。LA:左心房;LV:左心室;RV:右心室;Ao:主动脉;AR:主动脉瓣反流
病例思考
1.本例患者反复胸闷、胸痛发作,主因是冠状动脉病变还是心脏瓣膜病变?
本例患者为中年女性,存在反复胸闷、胸痛、气短,舌下含服硝酸甘油症状可缓解,活动耐量减低、夜间不能平卧等临床症状以及超声心动图均提示心功能明显减低,临床需判断症状是冠状动脉病变或单纯心脏瓣膜病变、心功能减低所致,遂进一步行冠状动脉CTA,结果示左、右冠状动脉分别起自左、右冠状窦,左主干、前降支、回旋支及右冠状动脉管壁规则,管腔未见明显狭窄。
由此证实该患者临床症状主要与严重心脏瓣膜病致心功能改变相关。
2.重度心脏瓣膜病变优选药物保守还是手术干预?
本例患者入院后经胸超声心动图显示重度主动脉瓣、二尖瓣病变,具备相应临床症状、体征,无并存疾病,由于左心室舒张末期内径>70mm、收缩末期内径>50mm,内科治疗困难而外科手术获得持久修复可能性大,符合2012年欧洲心脏病学学会指南关于主动脉瓣、二尖瓣外科手术指征。但患者出现左心室收缩功能严重障碍,手术风险较大,术前需行小剂量多巴酚丁胺负荷超声心动图评价心功能储备:基线时,左心室舒张末期容积290ml,收缩末期容积209ml,二维法测射血分数28%;静脉给予多巴酚丁胺20μg/(kg •min),左心室舒张末期容积237ml,收缩末期容积132ml,射血分数44%(图65-2)。Nishimura等研究表明,药物负荷试验中如心排出量增幅>20%,提示心脏收缩功能有储备。本例患者负荷试验后左心室射血分数提高16%,左心室壁运动增强,左心室舒张末期、收缩末期容积显著减小,证明左心室收缩功能改善,存在一定心肌收缩储备,行外科瓣膜置换手术预后优于内科治疗。
据此,临床医生决定经药物保守治疗改善患者心功能后,行外科主动脉瓣置换+二尖瓣成形手术。经予患者强心、利尿、降压、改善心功能等药物治疗,同时维持水、电解质稳态,7天后复查超声心动图:左心室舒张末期内径87mm,左心室收缩末期内径67mm,左心室下后壁、前壁基底段运动减低,射血分数46%;主动脉瓣下大量反流信号,反流面积11.6cm2;收缩期二尖瓣房侧大量反流信号,反流面积9.0cm2;三尖瓣房侧少量反流信号,无明显肺动脉高压。结果显示患者心脏瓣膜病变、左心室内径无明显变化,左心室局部室壁运动、射血分数有所改善。
入院第17天行外科心脏瓣膜手术,术中可见二尖瓣后叶腱索冗长、主动瓣交界粘连伴重度关闭不全,注水试验显示重度二尖瓣关闭不全,给予主动脉瓣置换+二尖瓣成形术。术中经食管超声心动图显示二尖瓣关闭良好、轻度二尖瓣反流、反流面积1.4cm2。术后第六天,复查超声心动图:主动脉瓣位人工机械瓣,瓣口流速1.98m/s,压差16mm Hg;二尖瓣环处见成形环强回声;左心室舒张末期内径68mm,左心室收缩末期内径59mm,较术前明显减小;局部左心室壁运动减低,左心功能减低,二维法测射血分数24%;收缩期二尖瓣房侧少量反流信号。结论:主动脉瓣机械瓣置换+二尖瓣成形术后,左心室增大,局部左心室壁运动减低,左心功能减低。主动脉瓣置换术后无主动脉瓣反流、左心室前负荷减小、左心室明显缩小,符合Frank-Starling定律,亦说明左心室心肌收缩处于代偿期,与负荷试验提示左心收缩功能存在一定储备相符。患者一般状况良好,病情稳定,术后第8天出院,继续抗凝、降压、强心等药物治疗,嘱定期随访。
3.重度主动脉瓣、二尖瓣病变,超声心动图是否高估在心室射血分数?
本例患者存在重度主动脉瓣、二尖瓣反流,即右心室流出血液经肺循环进入左心房,舒张期血液进入左心室同时主动脉瓣反流血液亦进入左心室,随后收缩期部分左心室血液进入体循环,另部分回流入左心房随下一个心动周期再次进入左心室。而下一个心动周期舒张期中回流入左心房的血液、上一心动周期中泵入主动脉,这一心动周期中主动脉瓣反流的血液、肺循环回流的血液均进入左心室,使有效心排出量减少。
因此,当患者存在重度联合心脏瓣膜病变时,仅计算左心室舒张末期容积、左心室收缩末期容积所得射血分数,较实际左心室有效射血偏高。
4.负荷超声心动图的临床治疗指导与预后评估价值?
目前,多巴酚丁胺负荷超声心动图被广泛用于协诊有症状且可疑冠心病患者,可预测心肌梗死预后,评估不明原因胸痛、气急或心脏瓣膜病变等。最新欧美指南均推荐应用负荷超声心动图评估心脏瓣膜病变程度。
本例患者并存重度二尖瓣关闭不全,多巴酚丁胺负荷超声心动图有助判别二尖瓣反流类型,即功能性或器质性二尖瓣反流:器质性二尖瓣反流患者可见二尖瓣反流加重、肺动脉压显著升高,伴相应临床症状;功能性二尖瓣反流患者多见二尖瓣反流明显减少。本例患者负荷试验过程未出现二尖瓣反流明显减少,即二尖瓣反流保持重度水平,提示为器质性二尖瓣病变继发重度反流。
总体来说,小剂量多巴酚丁胺负荷超声心动图对严重瓣膜病变患者较安全,可早期评估心功能储备,后者对评估病情进展、明确外科手术可行性、选定手术时机和预测手术预后均有指导作用。本例患者负荷试验过程中左心室射血分数从28%(基线存在高估)升至44%[最大负荷剂量为20μg/(kg•min),增幅达16%],表明患者存在心功能储备,可对手术治疗提供一定支持作用。术后第六天,左心室射血分数为24%,术后3个月升至33%,较术前有所提高,继续予抗凝、控压等药物治疗,术后6个月、1年、2年持续复查患者心功能改善情况。
5.重度心脏瓣膜病变外科手术指征有哪些,超声心动图评估价值如何?
主动脉瓣反流患者行主动脉瓣置换术的手术指征包括主动脉瓣反流达3~4级,并存临床症状,以及任何左心室功能不全、左心室扩张或左心室舒张期末压显著升高。严重主动脉瓣反流患者常有心功能减低,心功能Ⅱ/Ⅲ级(NYHA分级)患者尤其新发临床症状和左心室功能障碍,应短期给予扩血管、利尿剂、正性肌力等药物治疗后行主动脉瓣置换术。上述适应证均在本例患者得以体现,术前超声心动图显示重度主动脉瓣、二尖瓣反流,左心室扩大,左心室射血分数仅28%。小剂量多巴酚丁胺负荷超声心动图提示左心室收缩功能储备。患者经强心、利尿、降压等药物治疗后射血分数升至46%,血流动力学与心功能均相应改善,遂行主动脉瓣机械瓣置换术+二尖瓣成形术。术后主动脉瓣机械瓣功能正常、位置固定,少量二尖瓣反流,左心室舒张末期、收缩末期内径均较术前明显减小,左心功能改善,提示患者术后恢复较好。
本例患者行主动脉瓣置换术同时完成二尖瓣成形术。外科二尖瓣成形术主要目的包括:减轻瓣环扩张、缩小瓣叶,增加瓣叶对合,对切除部分瓣叶后的瓣环进行加强,防止术后瓣环扩张,修复、去除钙化斑后瓣环。术中、术后超声心动图提示二尖瓣口轻度收缩期反流。
术后3个月,患者自述胸闷、胸痛、气短症状明显好转,日常活动受限明显减轻,心功能Ⅱ级。复查超声心动图:左心室增大,左心室舒张末期内径67.8mm、左心室收缩末期内径57mm(图65-3),局部左心室壁运动减低,左心功能减低,射血分数33%;主动脉瓣机械瓣功能正常,少量二尖瓣反流。表明患者术后症状缓解,左心室扩大、心功能均较术前改善,人工瓣膜功能正常,与术前超声心动图的手术预后的评估基本相符,证明超声心动图对外科手术指征、手术预后具提示与预测价值。

图65-2 小剂量多巴酚丁胺负荷超声心动图[多巴酚丁胺剂量为20μg/(kg•min)]
A:左心室舒张末期;B:左心室收缩末期,Simpson法测量左心室射血分数44%

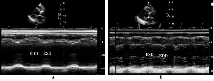
图65-3 术前、术后超声心动图在心室大小比较
A:术前,M型超声心动图显示左心室舒张末期(83mm)、收缩末期内径(67mm)明显扩大; B:术后3个月,M型超声心动图显示左心室舒张末期内径(67.8mm)、收缩末期内径(57mm)增大,但较术前明显减小。ESD:收缩末期内径;EDD:舒张末期内径
病例启示
遇到出现胸闷、胸痛等临床症状的中老年患者时,临床医生需要鉴别到底是冠状动脉病变抑或心脏结构、功能改变病因,建议必要时完善冠状动脉造影。
如果患者被确诊为心脏瓣膜病变而需要进一步进接受内科、外科治疗,超声心动图医生应尽可能详尽给出相应影像学数据,协助临床医生制定治疗方案,如左心室舒张末期内径、左心室收缩末期内径、左心室射血分数等结构、功能学参数,以及心脏瓣膜病变、瓣环径线等相关信息。若心脏瓣膜病满足外科手术治疗指征,而左心室射血分数<55%,建议行小剂量多巴酚丁胺负荷超声心动图,进一步评估患者的心功能储备情况,有助于更准确预测手术风险、术后恢复与临床预后。
来源:《超声心动图与临床决策:疑难病例解析》
作者:朱天刚
参编:丁茜 权欣 王欣 丁文虹 马为
页码:316-321
出版:人民卫生出版社
- 评价此内容
- 我要打分
近期推荐
热门关键词
最新会议
- 2013循证医学和实效研究方法学研讨会
- 欧洲心脏病学会年会
- 世界帕金森病和相关疾病2013年会议
- 英国介入放射学学会2013年第25届年会
- 美国血液学会2013年年会
- 美国癫痫学会2013年第67届年会
- 肥胖学会 2013年年会
- 2013年第9届欧洲抗体会议
- 国际精神病学协会 2013年会议
- 妇科肿瘤2013年第18届大会
- 国际创伤压力研究学会2013年第29届…
- 2013年第4届亚太地区骨质疏松症会议
- 皮肤病协会国际2013年会议
- 世界糖尿病2013年大会
- 2013年国际成瘾性药年会
- 彭晓霞---诊断试验的Meta分析
- 武姗姗---累积Meta分析和TSA分析
- 孙凤---Network Meta分析
- 杨智荣---Cochrane综述实战经验分享
- 杨祖耀---疾病频率资料的Meta分析
合作伙伴
Copyright g-medon.com All Rights Reserved 环球医学资讯 未经授权请勿转载!
网络实名:环球医学:京ICP备08004413号-2
关于我们|
我们的服务|版权及责任声明|联系我们
互联网药品信息服务资格证书(京)-经营性-2017-0027
互联网医疗保健信息服务复核同意书 京卫计网审[2015]第0344号




会员登录

