心悸伴发绀30年竟是房间隔缺损兼肺静脉异位引流导致!
本例中患者通过超声心动图诊断出成人房间隔缺损并肺动脉高压,行完全肺静脉异位引流矫治术后,恢复良好。从此病例可延伸出对肺静脉异位引流诊断的思考,包括临床特征与分类是什么?如何鉴别完全型与部分型?
病例摘要
女性,51岁。主因“乏力、心悸伴发绀30余年,加重8年余”于2013年4月19日入院。
现病史
患者30余年前无明显诱因出现乏力、心悸、易疲劳,常有咳嗽、咳痰等症状,伴口唇、手足发绀,未诊治。8年前症状加重、活动耐量降低,爬3层楼即感心悸、乏力、无法行动,伴头痛。2个月前在当地医院行超声心动图提示先天性心脏病、房间隔缺损 (继发孔型)、肺动脉高压 (重度)。为进一步诊治,收入我院。
既往史
自幼较同龄人瘦弱、易感冒,平素身体状况一般,患2次肺炎,活动耐量减低。否认高血压、冠心病史,否认肾脏疾病史。无肝炎、结核病史及其密切接触史,无手术史,无血制品输注史,无过敏史。
个人史
原籍出生,无疫区接触史,无毒物、放射线接触史。无粉尘、尘螨职业接触史,无吸烟、饮酒史。已婚,育2女。
家族史
无家族性遗传病。
体格检查
体温36℃,脉搏108次/分,呼吸24次/分,血压100/65mm Hg。发育较瘦,神志清楚。口唇稍发绀。鸡胸,双肺未闻及干、湿啰音。心尖搏动增强,触诊心尖搏动抬举感,心音S1增强,P2亢进,P2>A2,胸骨左缘第二、三肋间可闻及收缩期3/6级吹风样杂音。无明显杵状指。
辅助检查
血常规、肝功能、肾功能均正常。动脉血气分析:PaO2 55mm Hg,血氧饱和度88%。心电图:轻度电轴右偏,完全右束支传导阻滞。心脏三位像:双肺肺血影增多,主动脉影增宽,肺动脉段膨出,心腰平直,心影增大。
当地医院超声心动图:右心房、右心室明显增大,左心室收缩功能正常;肺动脉内径增宽;房间隔继发孔处回声缺失25mm,彩色多普勒显示房水平双向分流;重度三尖瓣反流,连续多普勒估测肺动脉收缩压75mm Hg。
初步诊断
先天性心脏病,房间隔缺损(继发孔),肺动脉高压(重度)。
诊疗经过
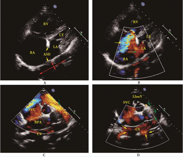
患者入院后给予间断吸氧、卡托普利降肺动脉压治疗。入院3天后复查超声心动图:右心房、右心室重度扩大,左心房、左心室偏小;主肺动脉内径增宽;房间隔继发孔处近房顶可见回声缺失2.6cm,未见肺静脉回流入左心房,左心房后上方见一长管形共同腔,四支肺静脉均汇入此腔(6.3cm×2.0cm),向上发出垂直静脉,连接于左无名静脉;左无名静脉连接上腔静脉,形成一静脉弓,左无名静脉、上腔静脉明显增宽。彩色多普勒:中度三尖瓣反流,连续多普勒估测肺动脉收缩压67mm Hg,房间隔继发孔处探及右向左为著的双向分流;较细的动脉弓升支段呈红色,降支段呈蓝色;粗大的静脉弓右侧呈蓝色为上腔静脉,垂直静脉与左无名静脉彩色血流显像均呈红色 (图42-1)。结论:先天性心脏病,完全性肺静脉异位引流 (心上型),房间隔缺损 (继发孔),中度肺动脉高压。

图42-1 术前超声心动图
A:心尖四腔切面二维图像示右心房、右心室明显增大,继发孔房间隔缺损,未见肺静脉回流入左心房,左心房后上方见一长管形共同腔 (红箭头所示); B:心尖四腔切面彩色多普勒示中度三尖瓣反流 (黄箭头所示),房间隔水平右向左分流 (绿箭头所示); C:胸骨上凹主动脉横切面彩色多普勒显示共同腔发出垂直静脉 (绿箭头所示)与左无名静脉相连,后汇入粗大右上腔静脉,形成一静脉弓; D:胸骨上凹切面彩色多普勒显示四支肺静脉 (黄箭头所示)均汇入共同腔,共同腔发出垂直静脉 (绿箭头示其内血流方向)与左无名静脉相连后汇入粗大右上腔静脉,形成静脉弓。RA:右心房;RV:右心室;ASD:房间隔缺损;LA:左心房;LV:左心室;CV:共同腔; RPA:右肺动脉;SVC:上腔静脉;LInn V:左无名静脉
4月24日,行完全肺静脉异位引流矫治术,术中吻合肺静脉共汇入左心房顶切口,取心包补片4cm连续缝合修补房间隔缺损,结扎垂直静脉;三尖瓣行De Vega成形,环缩后瓣。术后动脉血气分析:PaO2 102mm Hg,血氧饱和度98%。术后超声心动图:右心房、右心室轻度扩大,左心房侧后壁与共同腔吻合口宽度1.6cm,房间隔中部可见强回声的补片、完整;彩色多普勒示吻合口血流通畅,心房水平未见异常分流,垂直静脉未见分流,三尖瓣未见明显反流(图42-2)。
术后,患者恢复良好。

图42-2 术后超声心动图
A:心尖近四腔切面彩色多普勒显示左心房后上方见一长管形共同腔与左心房吻合,吻合口内血流通畅; B:心尖旁四腔切面彩色多普勒显示右心房、右心室增大,少量三尖瓣反流,房间隔见强回声补片,房水平分流消失
病例思考
1.肺静脉异位引流的临床特征与分类是什么?
肺静脉异位引流是部分或全部肺静脉未直接与左心房相连,而与体静脉或右心房相连接的畸形,发生率约占先天性心脏病的5.8%。其中60%~70%为部分型(1~3支未与左心房相连),30%~40%为完全型(4支肺静脉均未与左心房相连)。
部分型肺静脉异位引流根据肺静脉引流部位分为5种类型:右肺静脉连接上腔静脉;右肺静脉连接右心房;右肺静脉连接下腔静脉(常伴有弯刀综合征,scimitar syndrome);左肺静脉通过垂直静脉引流到无名静脉;左肺静脉引流至冠状静脉窦。完全型肺静脉异位引流比较少见,根据连接部位分为心上型、心内型、心下型和混合型4种。心上型肺静脉异位引流表现为4条肺静脉在左心房后方汇合于一共同腔,通过垂直静脉与左无名静脉相连接,回流入右上腔静脉,亦可通过其他静脉 (奇静脉)与右上腔静脉连接,约占完全型肺静脉异位引流的50%;心内型为共同肺静脉腔直接开口于右心房,或引流到冠状静脉窦,此型约占30%;心下型为四支肺静脉汇合后,自左心房后方下行与膈肌下的门静脉相连接,偶尔与静脉导管、肝静脉或下腔静脉相连,此型约占13%;混合型即双侧肺静脉分别通过不同的引流部位至右心房,约占5%。本例患者属心上型肺静脉异位引流。
完全型肺静脉异位引流患者可见右心系统往往增大明显、左心系统发育不良,可合并房间隔缺损,较早出现肺动脉高压及严重心力衰竭,多伴发绀,均需手术治疗。如不早期治疗,患者预后极差,仅20%完全型肺静脉异位引流患儿能幸存至1岁,约50%患儿于3个月内死亡。发病数周或数月内死亡的患儿常合并肺静脉梗阻,10%~20%患者不合并肺静脉梗阻、肺动脉高压。这类患者可生存至成人,常见于心上型或心内型病变。
2.超声心动图医生如何避免漏诊完全型肺静脉异位引流?
临床遇到房间隔缺损患者,超声心动图与临床医生切忌简单诊断房间隔缺损,而应仔细扫查肺静脉与左心房连接关系、有否共同肺静脉干;特别是彩色多普勒显示房间隔缺损处出现双向分流者,不论年龄大小,均应常规经胸骨上窝探查主动脉弓短轴切面,确定能否探及左心房 “蟹足状”4支肺静脉;4支肺静脉不能完全显示时,应仔细检查上腔静脉、下腔静脉、冠状静脉窦、右心房和门静脉等处的肺静脉异位引流口,减少误诊。如超声心动图实在难以探查到肺静脉回流情况,可进一步行心脏CT或心脏MRI检查。
本例病例患者年龄51岁,因房间隔缺损较大、无肺静脉梗阻,肺循环未受到限制,故动脉血氧分压、血氧饱和度未见明显降低,而大的房间隔缺损恰是完全性肺静脉异位引流患者的必要生存条件。
3.临床如何避免漏诊部分型肺静脉异位引流?
右肺静脉与右上腔静脉或右心房连接最常见,约占3/4(图42-3)。其他类型相对少见。一旦房间隔缺损大小与右心房、右心室扩大不成比例时,应仔细扫查肺静脉是否都汇入左心房,通过追踪肺静脉与右心房、上腔静脉、下腔静脉或垂直静脉的关系,基本能够明确肺静脉是否存在异位引流以及具体分型,避免漏诊。

图42-3 超声心动图提示部分型肺静脉异位引流,上腔型房间隔缺损合并右上肺静脉异位引流入右心房
A:剑下四腔心切面显示右上肺静脉异位连接右心房顶部,房间隔近心房后壁可见回声缺失; B:剑下双心房切面显示近上腔静脉房间隔存在回声缺失 (红箭头所示),右心房明显增大。
RUPV:右上肺静脉;RPA:右肺动脉
病例启示
临床遇到房间隔缺损患者,超声心动图医生应仔细扫查肺静脉与左心房连接关系、有无共同肺静脉干。特别是彩色多普勒显示房间隔缺损处出现双向分流者,不论年龄大小,均应常规经胸骨上窝探查主动脉弓短轴切面,确定能否探及左心房 “蟹足状”4支肺静脉;4支肺静脉不能完全显示时,应仔细检查上腔静脉、下腔静脉、冠状静脉窦、右心房和门静脉等处的肺静脉异位引流口,减少误诊和漏诊。如超声心动图实在难以探查到肺静脉回流情况,可进一步行心脏CT或心脏MRI检查。
来源:《超声心动图与临床决策:疑难病例解析》
作者:朱天刚
参编:丁茜 权欣 王欣 丁文虹 马为
页码:208-212
出版:人民卫生出版社
- 评价此内容
- 我要打分
近期推荐
热门关键词
最新会议
- 2013循证医学和实效研究方法学研讨会
- 欧洲心脏病学会年会
- 世界帕金森病和相关疾病2013年会议
- 英国介入放射学学会2013年第25届年会
- 美国血液学会2013年年会
- 美国癫痫学会2013年第67届年会
- 肥胖学会 2013年年会
- 2013年第9届欧洲抗体会议
- 国际精神病学协会 2013年会议
- 妇科肿瘤2013年第18届大会
- 国际创伤压力研究学会2013年第29届…
- 2013年第4届亚太地区骨质疏松症会议
- 皮肤病协会国际2013年会议
- 世界糖尿病2013年大会
- 2013年国际成瘾性药年会
- 彭晓霞---诊断试验的Meta分析
- 武姗姗---累积Meta分析和TSA分析
- 孙凤---Network Meta分析
- 杨智荣---Cochrane综述实战经验分享
- 杨祖耀---疾病频率资料的Meta分析
合作伙伴
Copyright g-medon.com All Rights Reserved 环球医学资讯 未经授权请勿转载!
网络实名:环球医学:京ICP备08004413号-2
关于我们|
我们的服务|版权及责任声明|联系我们
互联网药品信息服务资格证书(京)-经营性-2017-0027
互联网医疗保健信息服务复核同意书 京卫计网审[2015]第0344号




会员登录

