看超声心动图动态 甄别左心房血栓与肿瘤
此病例为老年女性,间断喘憋10余年,加重2天,入院时初步诊断为慢性心功能不全急性加重。后在住院期间,患者无诱因突发左侧肢体活动不利、抬起困难,加重至左侧全瘫。究竟是何原因引发患者突然病发?进一步超声心动图对诊断有何启示?患者不经手术能否得到缓解? 欲知本例诊断要点,请详见全文。
病例摘要
女性,74岁。主因“间断喘憋10余年,加重2天”入院。
现病史
患者10余年前开始于活动后出现喘憋,伴心悸、胸闷,夜间加重,就诊于外院查心电图提示心房颤动,未规律治疗。此后上述症状间断发作。2天前患者喘憋症状加重,伴夜间不能平卧、端坐呼吸,就诊于我院急诊科,X线胸片示心影大、两下肺纹理增粗,考虑心功能不全,心肌酶:CK-MB 2.45ng/ml,肌红蛋白15.4ng/ml,肌钙蛋白Ⅰ0.09ng/ml,NT-proBNP 3326pg/ml。考虑慢性心功能不全急性加重,急性冠状动脉综合征不除外,给予平喘、扩血管、利尿等治疗并收住监护室。
既往史
心房颤动病史25年,未规律治疗。高血压病史10余年,血压最高为150/ 90mm Hg,未规律服用降压药物。明确陈旧性脑梗死病史2个月余,无明显后遗症。冠心病、陈旧性心肌梗死病史2个月余,目前规律接受冠心病二级预防治疗。15年前因 “卵巢肿物”行 “双侧卵巢切除术”,术后病理报告 “卵巢囊肿”。否认外伤、输血史。否认食物、药物过敏史。
个人史
生于北京,久居本地。否认疫区、疫水、毒物及放射性物质接触史。否认吸烟、饮酒史。
婚育史
适龄结婚,育2子2女,爱人体健。
月经史
15岁月经初潮,5天/30天,绝经年龄50岁。
家族史
否认家族肿瘤及遗传性疾病史。
体格检查
体温36.5℃,脉搏72次/分,呼吸18次/分,血压140/90mm Hg。发育正常,营养良好。神志清楚,自主体位,查体合作。双肺呼吸音粗,未明显闻及干、湿啰音及胸膜摩擦音。心前区无异常隆起,心尖搏动正常,心界向左扩大,心率80次/分,律不齐,第一心音强弱不等,各瓣膜听诊区未闻及杂音及心包摩擦音。腹平坦,未见腹壁静脉曲张,腹软,无压痛、反跳痛,肝、脾未及肿大,肠鸣音4次/分。双下肢无水肿。
初步诊断
①慢性心功能不全急性加重;②冠状动脉粥样硬化性心脏病,陈旧性心肌梗死,心房颤动,心界向左扩大,心功能Ⅳ级;③高血压病 (1级,极高危);④陈旧性脑梗死;⑤卵巢囊肿切除术后。
诊疗经过
入院后给予利尿、扩血管、抗血小板、调脂治疗。住院期间,患者无诱因突发左侧肢体活动不利、抬起困难,急查头颅CT示:脑内多发低密度灶,其中右侧脑室旁梗死灶新发可能。此后患者左侧肢体力弱加重至全瘫,不能抬起。查体:神志嗜睡,呼之可睁眼,言语欠流利,查体欠合作;双侧瞳孔等大、同圆,对光反射灵敏;左侧水平凝视麻痹,左侧偏盲;双侧额纹对称,左侧鼻唇沟变浅,伸舌左偏。左侧肢体肌张力偏低,左侧肢体肌力0级;右侧肢体可见自主活动,右上肢肌力5级,右下肢肌力2级;双侧病理征阳性;左侧偏身痛觉减退;共济运动检查不合作。美国国立卫生院卒中量表(NIHSS)评分12分。考虑“急性脑梗死”,给予静脉滴注依达拉奉、醒脑静,继续口服氯吡格雷,患者症状较前稍好转。
进一步行超声心动图:双心房内径大,以左心房为著,其内见异常占位性病变,大小约48mm×23mm,随心动周期舒张期脱入二尖瓣口,收缩期回到左心房,考虑血栓可能、左心房黏液瘤不除外;双心室不大,室间隔室壁厚度正常,收缩幅度正常低限;主动脉瓣增厚、回声增强、开放不受限,余瓣形态未见异常;心包腔内未探及液性暗区,升主动脉内径宽;多普勒探及少~中量二尖瓣反流,少量三尖瓣、主动脉瓣反流(图75-1)。
因超声心动图尚不能确诊左心房占位性病变为血栓或黏液瘤,故加用华法林口服抗凝治疗,剂量2.25~3.75mg/日,INR波动在1.2~3.0。请心外科会诊,考虑患者手术指征明确 (如为血栓,行取栓术;如为左心房黏液瘤,行黏液瘤切除术),拟行手术治疗。术前冠脉造影所见:右冠状动脉优势型;左主干正常;左前降支近中段可见明显钙化、弥漫长病变,狭窄50%~75%;左回旋支近段细小、狭窄25%;右冠状动脉近段狭窄50%,中远段内膜不光滑、全程钙化;左心室后支狭窄25%。后转入外科,于外科住院期间复查超声心动图发现左心房占位性病变消失,考虑为积极抗凝治疗后血栓消失 (图75-2),取消手术,出院后继续抗凝治疗。

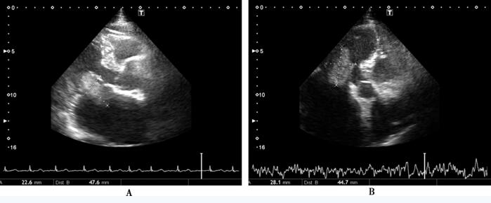
图75-1 入院超声心动图
A:胸骨旁长轴切面示左心房占位团块,48mm×23mm,舒张期飘向左心室方向,收缩期回到左心房; B:心尖长轴切面示左心房占位团块,45mm×28mm,舒张期飘向左心室方向,收缩期回到左心房

图75-2 抗凝治疗后超声心动图
A:胸骨旁长轴切面未见左心房占位性病变;B:心尖四腔切面未见左心房占位性病变
病例思考
1.在心房占位性病变有哪些临床常见病因与特征?
心脏占位性病变并不少见,超声心动图可表现为心脏占位性病变的疾病有肿瘤、血栓、赘生物、正常结构或伪像,故临床鉴别诊断范围宽泛。具体包括心房黏液瘤、心脏横纹肌瘤、乳头状弹力纤维瘤、肉瘤、各种转移瘤、血栓,以及欧氏瓣、脂肪瘤样肥厚和希阿里网等。
其中,左心房黏液瘤和左心房附壁血栓是最常见的左心房占位性病变。黏液瘤占所有原发良性心脏肿瘤的35%~50%,其中75%黏液瘤发生在左心房。它通常生长在左心房的房间隔卵圆窝位置,也可以生长于任何心腔,甚至是二尖瓣或三尖瓣。心房黏液瘤常为孤立性,也有多发性黏液瘤家族遗传病例报道。当左心房黏液瘤脱至二尖瓣时,可导致瓣膜梗阻,此外可继发血栓,既可以是肿瘤脱落,也可以是肿瘤血栓形成。
2.在心房黏液瘤与在心房血栓的超声鉴别要点有哪些?
典型的左心房黏液瘤附着于房间隔且表现为非均质性,常伴空洞形成。相反,左心房血栓好发生于左心耳,且表现为均质性。左心房血栓较黏液瘤更为常见,10%~25%风湿性二尖瓣疾病患者并发左心房血栓。部分全身栓塞患者既往存在风湿性二尖瓣病变,如合并心房颤动者发病率高。而且,血栓的形态变化较大,可以是球形、有柄且为活动性,或为分层、不运动的高回声团块。
各医院关于左心房占位性病变的报道较多,但总例数偏少。王加恩等报道了9例左心房占位性病变,其中4例为左心房黏液瘤、5例为左心房血栓。该研究显示左心房血栓的超声心动图特征为半圆形、无蒂、附着面大、不运动,多位于左心房后壁;而左心房黏液瘤则为圆形、活动度大、附着面小,多位于房间隔近二尖瓣环,在舒张期可脱入二尖瓣口。
陈梦宇报道一组左心房占位病变病例,最后均得到病理证实。其中7例患者为左心房黏液瘤,超声心动图均显示左心房增大,左心房内见一圆形、中等强回声团块、内部回声均匀,舒张期通过二尖瓣口进入左心室而收缩期返回左心房内,与二尖瓣膜无粘连;5例蒂附着于房间隔卵圆窝边缘,2例蒂附着于房壁;彩色多普勒显示,6例左心房黏液瘤舒张期阻塞二尖瓣口致瘤体与房室瓣前后叶间出现明亮的红色射流束,1例因瘤体较小而未引起二尖瓣口阻塞,其中有2例见轻度三尖瓣反流伴肺动脉高压。另有2例风湿性心脏病患者的二尖瓣狭窄并左心房内血栓形成,超声心动图可见左心房增大,内见有直径3~4cm的中等回声团块,基底部较宽,无蒂,广泛附着于左心房侧壁、后壁,无活动。
黏液瘤多发于心腔的心内膜面,极少数见于心脏瓣膜和大血管;多有蒂,大多附着于卵圆窝边缘,极少数附着于心房壁、房室环、瓣膜及下腔静脉瓣;较小黏液瘤不引发明显血流动力学改变,较大黏液瘤可致心腔流入或流出系统梗阻,或致心脏瓣膜关闭不全;黏液瘤的形态可随心动周期而变化。
本例患者超声心动图显示左心房内异常占位性回声较均匀,随心动周期舒张期脱入二尖瓣口,收缩期回到左心房。因此,仅从影像学表现很难鉴别血栓形成或黏液瘤。该患者存在永久性心房颤动,血栓形成几率明显大于窦性心律者,且合并冠心病、心肌梗死、心力衰竭,提示存在高凝状态,一旦血栓形成可致脑梗死风险。回顾病史,该患者正是在心力衰竭治疗过程中出现脑梗死,综上考虑该患者左心房血栓可能性更大,因而加用华法林抗凝治疗。如积极抗凝治疗后左心房占位性病变不能被消除,高度提示该患者为左心房黏液瘤,均需择期手术,取栓或摘除黏液瘤。该患者转至外科后术前复查超声心动显示左心房占位性病变消失,进一步证实左心房血栓诊断。
病例启示
在临床工作中,心脏肿瘤与血栓有时在影像学上极难区分。根据以往报道,血栓常附着于左心房后壁、基底宽、不移动,但血栓受血流冲击可大部分与房壁分离,成为带蒂的血栓;亦可成为游离血栓,呈圆形、无附着点,在心房内不规则游动,位置不断变化,左心房游离血栓可导致体循环栓塞,右心房游离血栓常造成肺动脉栓塞。
左心房黏液瘤主要临床表现有不明原因晕厥、胸闷、心悸、乏力等,临床表现缺乏特异性,个别较小黏液瘤患者可无症状而仅于入院常规检查或体检中发现。特别值得注意的是,在该患者的诊疗过程中,超声心动图动态观察为临床确诊、疗效监测提供重要依据。
参考文献
1.Ryding A.超声心动图学精要.滕一星,吴永全,主译.北京:北京大学医学出版社,2010.
2.王加恩,王新房,陈汉荣,等.左房占位性病变的超声显像诊断.武汉医学院学报,1984,5:305-307.
3.陈梦宇.超声心动图对诊断心脏占位性病变的临床价值.中外医疗,2012,35:175-177.
来源:《超声心动图与临床决策:疑难病例解析》
作者:朱天刚
参编:丁茜 权欣 王欣 丁文虹 马为
页码:358-362
出版:人民卫生出版社
- 评价此内容
- 我要打分
近期推荐
热门关键词
最新会议
- 2013循证医学和实效研究方法学研讨会
- 欧洲心脏病学会年会
- 世界帕金森病和相关疾病2013年会议
- 英国介入放射学学会2013年第25届年会
- 美国血液学会2013年年会
- 美国癫痫学会2013年第67届年会
- 肥胖学会 2013年年会
- 2013年第9届欧洲抗体会议
- 国际精神病学协会 2013年会议
- 妇科肿瘤2013年第18届大会
- 国际创伤压力研究学会2013年第29届…
- 2013年第4届亚太地区骨质疏松症会议
- 皮肤病协会国际2013年会议
- 世界糖尿病2013年大会
- 2013年国际成瘾性药年会
- 彭晓霞---诊断试验的Meta分析
- 武姗姗---累积Meta分析和TSA分析
- 孙凤---Network Meta分析
- 杨智荣---Cochrane综述实战经验分享
- 杨祖耀---疾病频率资料的Meta分析
合作伙伴
Copyright g-medon.com All Rights Reserved 环球医学资讯 未经授权请勿转载!
网络实名:环球医学:京ICP备08004413号-2
关于我们|
我们的服务|版权及责任声明|联系我们
互联网药品信息服务资格证书(京)-经营性-2017-0027
互联网医疗保健信息服务复核同意书 京卫计网审[2015]第0344号




会员登录

