室间隔缺损:病例复杂不用慌 手术简单有绝招
临床中遇到通过室间隔缺损建立轨道困难的病例时怎么办?儿科患者出现肌部室间隔缺损封堵时,传统的胸骨切口是否是封堵缺损的最佳入路?是否有更简单、效果更好的手术方式?笔者将在病例中一一讲解这些问题。
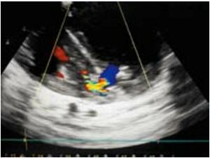
笔者第一次遇到这种情况是在进行肌部室间隔缺损封堵时,传统的胸骨切口并不是封堵某些缺损的最佳入路。当然,可能通过旋转拖拉可以把心脏通过切口暴露出来,但是切口越小孩子越大越难操作。而且植入封堵器的直行方向会消失,从而导致封堵器超声图像形态变形。经食管超声心动图图像在心尖部卷曲的情况下也会变得复杂。对于这些病人,笔者设计了一种非常简单而且比标准方法更美观的手术,特别适用于极度靠近心脏前部几乎没有间隔边缘的心尖部缺损患者。患者向右旋转20~30度(图10-44),心脏上缘的探查借助经胸超声心动图进行,由第4 肋间入路(图10-45),此方法可以无需任何牵引精确到达心脏上部和室间沟,清晰的暴露穿刺位置。而且可以按照标准方法直接关闭任何心尖部缺损(图10-46,图10-47)。笔者提供的病例中有一个10月龄、10kg的患儿。选用 SQFDQ 9mm 封堵器封闭7mm的心尖部室间隔缺损。









改进也针对复杂解剖的心尖部缺损,笔者称之为“逆向封堵”。虽然病例罕见但是有时会有伴有巨大心尖部壶腹需要较大封堵器方能完成的病例。有时候很值得怀疑这种病人是否能够局部封闭。存在一个缺损隧道,右室肌小梁部存在射流束。隧道方向与右房-右室轴线平行,垂直于右室前壁到缺损之间的轴线,因此根据笔者们的经验穿刺右室前壁通过经典方法穿过缺损极难(图10-48)。如果不改变导丝方向或者在心脏扭曲角度下穿刺前壁将无法通过此类缺损,而且该部位的肌小梁结构可能会不断缠绕导丝,此时由于输送系统是有弹性的,封堵也会受阻。如果遇到此类患者可以通过右房途径进行,切口可在右侧肋间进行。笔者利用一个更简单有效的方式进行。心脏上部拖出切口而不破坏TEE图像暴露室间沟(缺损壶腹部所在),延右室轴线直接穿刺进入通过缺损(图10-49)。而且隧道封堵的完成按照标准方式进行(图10-50)。在提供的病例中笔者选用了一个SQFDQ-Ⅰ14mm的封堵器,封闭了一个2岁患儿 的缺损。值得一提的是,笔者的病人没有任何并发症,没有左室出血危险。在笔者印象中患儿年龄也不比其他方法完成的患者年龄大。



在超声透声图像欠佳或者发生与心尖部缺损封闭相关的其他并发症时,特别是成人患者、数个肌部缺损情况下,可以考虑“杂交”方法和介入方法结合进行(图10-51,图10-52)。笔者遇到一例成人肌部室间隔缺损患者,利用杂交手术的方法由于超声图像不清晰导丝无法通过缺损(胸骨正中小切口,心脏上部难以拖出、操作过程中TEE图像无法显示缺损)。


3个月后,介入医生成功关闭了患者的肌部缺损。其中的经验非常重要。应该结合这两种微创方法,为每一个个体选择最好的方法。这是笔者对微创的结合概念的理解。
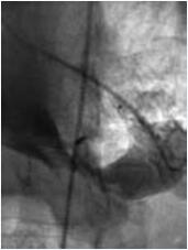
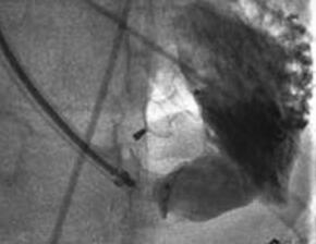
下一个让笔者思考这种手术的病例是一个纤维瘤完全遮盖了右室分流侧的室间隔缺损患者(图10-7)。已经完成大量的室间隔缺损心内直视手术,因此笔者们对于隔瓣和残存膜部室间隔由于无菌性炎症刺激形成的这种结构非常熟悉。此时没有任何可能通过直接的右室穿刺穿过缺损。而且,通过右房途径也无法完成。缺损的血流直接吹向三尖瓣,但是有时候也可能以极度弯曲的角度朝向流出道部进入小梁区。但是,缺损在膜性结构下方,封堵器压在膜性区域理论上是安全的。因此笔者用一个穿刺针在缺损轴线方向(中部)精确的穿刺了膜性结构,随后自由通过导丝、输送系统,成功封闭了该“复杂”缺损(图10-8)。在某些病例采用本方法时,非常重要的一点是穿刺针顶端对准目的穿刺点。为了达到此目的,穿刺针对准膜,获得最佳超声图像,仔细稳定住,通过不同TEE切面核查。笔者认为只要遵守一定规则,这个方法非常有效,绝对安全。纤维瘤组织的破坏也不会导致心律失常的发生。笔者已经成功完成数例此类患者,笔者很有信心,也推荐大家在一些复杂情况下可以尝试。
有时候会遇到两个肌部室间隔缺损毗邻非常接近,封堵就会非常困难。按照经典方法封堵一个缺损后,处理另一个缺损时通过导丝完成封堵就会有问题。此时也可以选用一个稍大一点的封堵器盖住周围的缺损。但是如果存在明显的残存分流,就需要中转为常规体外循环手术。
在一些复杂状况下,难以发现正确的穿刺点或者将导丝通过缺损,特别是如果缺损径线不是特别大,笔者可以利用在胸腔镜辅助下微创封堵中提到的方法— 即用一个穿刺针直接进入穿刺口。穿刺针足够硬,可以将导丝以任何方向和角度引入左室。此时导丝可能会弯曲较大难以通过缺损。通过这种方法封堵缺损,右室前壁穿刺点的选择显得就并不重要了。
分析总结了笔者所有的经验,发现有些看起来很简单的室间隔缺损病例也可能证实是很困难的。一些小的缺损看起来很直、分流束很明显,但是有时很难通过,因为它们需要从外科医师的角度想象直观的穿刺发现。还有一些缺损很难探查,一些伴有潜在的问题如左右不对称、数股分流、缺少足够的封堵边缘特别是隔壁角区域的缺损。
本部分内容最后,笔者想说的是我们应该始终保持信心,可以成功完成每一例缺损。有时,这也是对一个看起来并没有任何希望情形的方法。
来源:《先天性心脏病经胸微创封堵术》
作者:邢泉生
参编:安琪 武钦 AlexanderY.Omelchenko 段书华
页码:143-147
出版:人民卫生出版社
- 评价此内容
- 我要打分
近期推荐
热门关键词
最新会议
- 2013循证医学和实效研究方法学研讨会
- 欧洲心脏病学会年会
- 世界帕金森病和相关疾病2013年会议
- 英国介入放射学学会2013年第25届年会
- 美国血液学会2013年年会
- 美国癫痫学会2013年第67届年会
- 肥胖学会 2013年年会
- 2013年第9届欧洲抗体会议
- 国际精神病学协会 2013年会议
- 妇科肿瘤2013年第18届大会
- 国际创伤压力研究学会2013年第29届…
- 2013年第4届亚太地区骨质疏松症会议
- 皮肤病协会国际2013年会议
- 世界糖尿病2013年大会
- 2013年国际成瘾性药年会
- 彭晓霞---诊断试验的Meta分析
- 武姗姗---累积Meta分析和TSA分析
- 孙凤---Network Meta分析
- 杨智荣---Cochrane综述实战经验分享
- 杨祖耀---疾病频率资料的Meta分析
合作伙伴
Copyright g-medon.com All Rights Reserved 环球医学资讯 未经授权请勿转载!
网络实名:环球医学:京ICP备08004413号-2
关于我们|
我们的服务|版权及责任声明|联系我们
互联网药品信息服务资格证书(京)-经营性-2017-0027
互联网医疗保健信息服务复核同意书 京卫计网审[2015]第0344号




会员登录

