诊断心内平滑肌瘤 超声心动图有何优势?
本例患者为老年女性,出现心悸、气短、双下肢水肿10天,有子宫肌瘤病史。超声心动图可见右心房内实性强回声团块,可诊断为心内平滑肌瘤病。心内平滑肌瘤多见于女性,但临床表现不典型,所以超声心动图在诊断上具有优势。诊断依据有哪些?治疗决策是什么?详见病例后的思考和启示。
主诉
女性,59岁。主因 “心悸、气短伴双下肢水肿10天”入院。
现病史
患者于10天前无明显诱因出现胸闷、气短伴双下肢水肿,活动后症状加重,无咯血、晕厥,为进一步诊治收入院。自发病以来,患者饮食、二便正常,体力、体重无明显改变。
既往史
10年前因子宫肌瘤行子宫全切术。否认高血压、冠心病、糖尿病病史。
个人史
否认烟酒嗜好。
家族史
否认家族遗传病史。
体格检查
血压120/75mm Hg。神清,精神可。无皮下出血。双肺呼吸音清,未闻及干、湿啰音。心率80次/分,律齐,三尖瓣听诊区闻及收缩期杂音,未闻及心包摩擦音。腹软,无压痛、反跳痛和肌紧张,肝、脾肋下未及,无移动性浊音。双下肢水肿。
辅助检查
超声心动图:右心房内可见实性强回声团块(图85-1),该团块自下腔静脉延续至右心房内 (图85-2),收缩期突入右心室,舒张期回纳至右心房;下腔静脉近心端可见两束条索样回声,与上述右心房内占位性病变相连续;彩色血流多普勒显示收缩期三尖瓣房侧见大量反流信号。超声诊断:心内平滑肌瘤病。
盆腔彩色多普勒超声:盆腔(右侧区为主)可见巨大不规则实性混合回声包块,大小约14.8cm×6.1cm×18cm,边界欠清,内部回声不均匀,其右上方与下腔静脉及髂静脉内肿物分界不清。双髂股静脉彩色多普勒超声:下腔静脉全程内可见不规则条索样低回声肿物。CT:盆腔内可见一低密度分叶状团块,此团块通过右侧髂内静脉及髂总静脉进入下腔静脉,最后入右心房(图85-3)。
临床诊断
①右侧髂内、髂外静脉、下腔静脉、肝静脉、右心房占位性病变。②三尖瓣关闭不全(中至重度)。③子宫切除术后。
治疗经过
入院后,患者接受下腔静脉+右心房占位性病变切除术。术中可见右心房、下腔静脉明显扩张,三尖瓣前叶瓣缘、下腔静脉瓣及冠状静脉开口有类似种植平滑肌小瘤,全长31cm,平滑肌头部大小为4.5cm×6cm,色黄、分叶,体部充满下腔静脉,根部来自双侧髂内静脉。

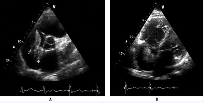
图85-1 超声心动图提示右心房内占位性病变 A:胸骨旁大动脉短轴切面示右房内可见一大小约26mm×63mm偏强回声团块,与右心房壁无明显粘连;B:胸骨旁四腔心切面示右心房内占位性病变

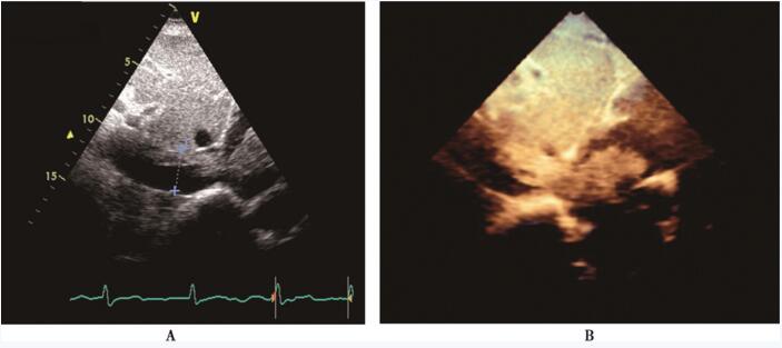
图85-2 超声心动图提示下腔静脉内占位性病变延续至右心房 A:剑突下切面示下腔静脉增宽约30mm,下腔静脉内占位性病变延续至右心房; B:三维超声心动图示下腔静脉内占位性病变向右心房延续

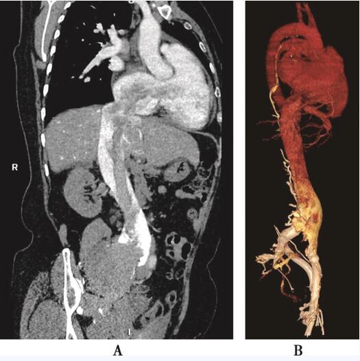
图85-3 CT提示下腔静脉及右心房内占位性病变 A:矢状位重建示盆腔内低密度团块通过下腔静脉延伸到右心房内; B:下腔静脉CT静脉造影示下腔静脉内占位性病变
病例思考
1.心内平滑肌瘤病的诊断依据有哪些?
静脉内平滑肌瘤病(intravenous leiomyomatosis,IVL)是一种罕见的静脉内生长的良性平滑肌细胞肿瘤,指源于子宫肌瘤或子宫肌壁静脉的平滑肌肿瘤超出子宫范围,在血管腔内结节样蔓延生长的疾病。虽然病理良性,生长方式却类似恶性肿瘤,可经子宫或卵巢静脉蔓延至下腔静脉并累及右心系统。静脉内平滑肌瘤病心内浸润,为心内平滑肌瘤病(intracardiac leiomyomatosis,ICL)。
静脉内平滑肌瘤病临床并不常见,心内平滑肌瘤病更为少见,后者占比约为10%。静脉内平滑肌瘤病具有雌激素依赖性,均见于女性,发病年龄为23~80岁,患子宫肌瘤或因子宫肌瘤行子宫切除术的女性易患此病。依瘤体累及范围和程度不同,心内平滑肌瘤病患者可以无症状,也可以表现为严重呼吸困难、下肢水肿,如果肿物脱落堵塞肺动脉可致猝死。本例患者10年前曾因子宫肌瘤行子宫全切术,此次出现双下肢水肿与肿物累及髂静脉、下腔静脉有关。
2.心内平滑肌瘤病的治疗决策是什么?
心内平滑肌瘤病的主要治疗手段是肿瘤切除术。由于肿物与下腔静脉、右心房壁无明显粘连,所以手术很容易将肿物从心脏、血管中取出。本例患者入院后行右心房-下腔静脉占位性病变切除手术,术后病理证实为心内平滑肌瘤病。能否最大限度地切除肿瘤依赖于术前正确的诊断及详尽的术前检查。因为静脉内平滑肌瘤病生长具有雌激素依赖性,一般需同时切除双侧卵巢和输卵管,部分病例手术前后需给予抗雌激素治疗。大多数患者预后较好,但该病有潜在复发的可能,有文献报道心内平滑肌瘤病术后有30%的病例复发,因此,心内平滑肌瘤病患者术后应进行长期随访。
3.超声心动图诊断心内平滑肌瘤病有何优势?
心内平滑肌瘤病的最常见、最直接超声心动图表现为下腔静脉向右心腔内匍行延续的条索样或团块样肿物回声,随心动周期在心腔内摆动;肿物特点为长条状如 “蛇形”的可活动团块,并与下腔静脉、右心房壁无明显粘连。超声心动图以快速、实时、无创性显示下腔静脉以及心脏内结构、血流特征的优势,成为诊断静脉内和心内平滑肌瘤病的首选方法。
最常需要与心内平滑肌瘤病鉴别的是右心房黏液瘤和下腔静脉、髂股深静脉血栓形成。除病史、临床表现不同外,超声心动图鉴别点为:①右心房黏液瘤局限在心腔内,而下腔静脉、髂静脉内无与其连续的异常回声;②多数黏液瘤患者往往可以观察到附着于卵圆窝或者心房壁的蒂,大多数黏液瘤的蒂附着于房间隔卵圆窝处;静脉血栓形成时,腔内血栓呈强、弱不等的层状回声,无网状结构和明显活动度,右心房内无与其相连的回声。
病例启示
心内平滑肌瘤是一种较罕见的疾病。患者均为女性,且多伴子宫肌瘤病史或子宫切除术史。心内平滑肌瘤病患者的临床表现不典型,若瘤体脱落堵塞三尖瓣或肺动脉将导致严重临床后果。对于发现右心房占位性病变的女性患者,超声心动图医生应该常规扫查剑下切面,以便确定是原发心房占位性病变还是由下腔静脉延续所致,这对于确定治疗策略至关重要。
来源:《超声心动图与临床决策:疑难病例解析》
作者:朱天刚
参编:丁茜 权欣 王欣 丁文虹 马为
页码:400-403
出版:人民卫生出版社
- 评价此内容
- 我要打分
近期推荐
热门关键词
最新会议
- 2013循证医学和实效研究方法学研讨会
- 欧洲心脏病学会年会
- 世界帕金森病和相关疾病2013年会议
- 英国介入放射学学会2013年第25届年会
- 美国血液学会2013年年会
- 美国癫痫学会2013年第67届年会
- 肥胖学会 2013年年会
- 2013年第9届欧洲抗体会议
- 国际精神病学协会 2013年会议
- 妇科肿瘤2013年第18届大会
- 国际创伤压力研究学会2013年第29届…
- 2013年第4届亚太地区骨质疏松症会议
- 皮肤病协会国际2013年会议
- 世界糖尿病2013年大会
- 2013年国际成瘾性药年会
- 彭晓霞---诊断试验的Meta分析
- 武姗姗---累积Meta分析和TSA分析
- 孙凤---Network Meta分析
- 杨智荣---Cochrane综述实战经验分享
- 杨祖耀---疾病频率资料的Meta分析
合作伙伴
Copyright g-medon.com All Rights Reserved 环球医学资讯 未经授权请勿转载!
网络实名:环球医学:京ICP备08004413号-2
关于我们|
我们的服务|版权及责任声明|联系我们
互联网药品信息服务资格证书(京)-经营性-2017-0027
互联网医疗保健信息服务复核同意书 京卫计网审[2015]第0344号




会员登录

