酒精性心肌病误诊为哮喘 及时“拨乱反正”拯救患者
病例中男性突发胸闷、呼吸困难,急诊就医时因咳嗽、痰中带血丝、吸烟史30年等,考虑哮喘急性发作,给予平喘抗炎治疗后症状有所缓解。但经问询,发现患者症状发生前饮过酒,故召专家会诊,最终明确诊断为酒精性心肌病。总结此次误诊的经验教训可以帮助医生在临床中避免发生此类错误。出现误诊不可怕,及时纠正是关键!
【一般情况】
男,59岁,汉族。
【主诉】
突发呼吸困难5小时,加重2小时。
【病史摘要】
患者约5小时前饮酒后突然出现胸闷、呼吸困难,2小时前症状显著加重,家人紧急送至笔者医院就诊。到达医院时呼吸急促、言语不清、面色发绀、大汗淋漓,时有咳嗽,咳白色泡沫痰,痰中带血丝,量较多。急诊科考虑系哮喘急性发作,立即给予平喘、解痉、抗炎等对症治疗,收入ICU。患者9个月前曾因类似的突发呼吸困难以支气管哮喘收入笔者医院呼吸内科治疗,好转出院。有吸烟史30年,每日约30支,发病后每日2~3支。饮酒30年,每日250g,曾戒酒半年余,发病前有再次饮酒史。
【查体】
R42次/分,BP159/94mmHg,神志清楚,精神焦虑、紧张,呼吸急促,面色发绀,双肺呼吸音粗,可闻及细湿啰音,双肺满布哮鸣音和痰鸣音。心率152次/分,律齐,各瓣膜听诊区未闻及明显心脏杂音。腹平软,肝脾肋下未触及,双下肢无水肿。
【辅助检查】
见图3‐19‐1~图3‐19‐4。

图3‐19‐1 心电图:窦性心动过速,左心室肥厚伴劳损

图3‐19‐2 心电图:窦性心律,左心室肥厚伴劳损

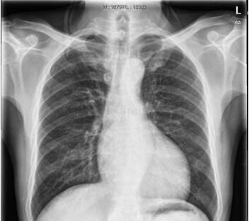
图3‐19‐3 入院当时查胸片提示心影明显增大

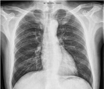
图3‐19‐4 5个月后复查胸片,心影正常大小
心脏彩超:LVDd77mm,LAD48mm,EF27%,左心房、左心室明显扩大,左心室室壁运动幅度明显普遍减低,左心室收缩功能明显减低。
5个月后(2011‐3‐2)复查心脏彩超EF59%,各心腔大小及心内结构未见异常;左心室舒张功能减退,收缩功能正常;彩色血流未见异常。
【初步诊断】
支气管哮喘急性发作,呼吸衰竭。
【诊治过程】
急诊收入ICU,呼吸机无创辅助呼吸,监测心电、血压、呼吸、脉搏氧饱和度。纠正酸中毒、平喘、解痉、抗炎及其他对症支持治疗,患者症状有所缓解。追问病史,患者既往有30年饮酒史,每日饮白酒250g,已戒酒,但发病前又有饮酒史。会诊后诊断为酒精性心肌病、心功能不全转入CCU,予抗凝、抗血小板、减少心肌耗氧、改善心力衰竭、减轻心脏负荷、抑制胃酸分泌、保护胃黏膜等治疗。病情平稳后查心脏彩超提示左心房、左心室明显扩大,LVDd77mm,LAD48mm,左心室室壁运动幅度明显普遍减低,左心室收缩功能明显减低,EF27%。经治疗患者症状明显缓解,可在病房平地步行,无胸闷、胸痛,无心悸、气促。复查肌钙蛋白0.48ng/ml,CK44U/L,CK‐MB42.5U/L。予办理出院,嘱其注意继续服药,门诊随访。5个月后复查心脏彩超示各心腔大小及心内结构未见异常,EF59%;左心室舒张功能减退,收缩功能正常。
【最终确诊】
酒精性心肌病。
【误诊分析】
患者,老年男性,因突发呼吸困难5小时,加重2小时入院。有吸烟史30年,每日约30支,饮酒30年,每日约饮250g白酒。既往心脏彩超提示左心室、左心房大,左心室弥漫性运动减弱。患者有长期饮酒史,心电图提示心腔扩大,且有左心室肥厚表现,发病前戒酒半年余,本次发病前曾有饮酒史,心脏扩大考虑酒精性心肌病,NT‐proBNP>3000pg/ml,本次急性发病考虑系急性肺水肿、心源性哮喘。患者无典型心绞痛表现,但肌钙蛋白、心肌酶谱升高,考虑与心功能不全心肌损害有关。入院后控制急性心力衰竭后予美托洛尔,维持剂量为95mg,每日1次口服,坚持随访,监督患者戒酒,5个月后复查心脏彩超心功能及心脏大小均正常。
来源:《心血管临床特殊病例剖析》
作者:布艾加尔•哈斯木 孟晓萍
参编:胡大一 袁斌斌 李新 蔡伟 古丽扎尔•买买提明
页码:66-70
出版:人民卫生出版社
- 评价此内容
- 我要打分
近期推荐
热门关键词
最新会议
- 2013循证医学和实效研究方法学研讨会
- 欧洲心脏病学会年会
- 世界帕金森病和相关疾病2013年会议
- 英国介入放射学学会2013年第25届年会
- 美国血液学会2013年年会
- 美国癫痫学会2013年第67届年会
- 肥胖学会 2013年年会
- 2013年第9届欧洲抗体会议
- 国际精神病学协会 2013年会议
- 妇科肿瘤2013年第18届大会
- 国际创伤压力研究学会2013年第29届…
- 2013年第4届亚太地区骨质疏松症会议
- 皮肤病协会国际2013年会议
- 世界糖尿病2013年大会
- 2013年国际成瘾性药年会
- 彭晓霞---诊断试验的Meta分析
- 武姗姗---累积Meta分析和TSA分析
- 孙凤---Network Meta分析
- 杨智荣---Cochrane综述实战经验分享
- 杨祖耀---疾病频率资料的Meta分析
合作伙伴
Copyright g-medon.com All Rights Reserved 环球医学资讯 未经授权请勿转载!
网络实名:环球医学:京ICP备08004413号-2
关于我们|
我们的服务|版权及责任声明|联系我们
互联网药品信息服务资格证书(京)-经营性-2017-0027
互联网医疗保健信息服务复核同意书 京卫计网审[2015]第0344号




会员登录

