心绞痛合并心律失常 冠脉造影助力查明病因
这是一例心血管疑难病例。老年男性,间断胸闷、心悸1年,头晕、乏力2个月,确诊几经周折。心肌梗死的概念及临床表现是什么?急性心肌梗死的心律失常都有什么?具体冠脉病变与心律失常类型关系?急性心肌梗死的并发症?房室传导阻滞的病因有哪些?带着这些问题,让我们一起学习以下病例。
一、病情介绍
患者男性,75岁。
主诉:间断胸闷、心悸1年,头晕、乏力2个月。
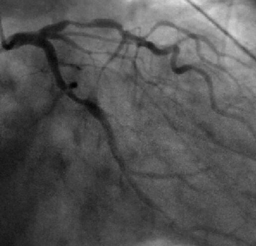
现病史:患者于2010年5月因活动后胸闷、气短、咽部发紧就诊于本科,规范药物治疗基础上行冠脉造影示:冠脉三支病变(累及LAD、LCX、RCA),其中前降支近段85%~90%节段性狭窄,旋支近中段99%节段性狭窄,右冠状动脉近中段90%节段性狭窄。分别干预前降支及旋支,植入支架型号为EXCEL 3.5mm×18mm及3.5mm×28mm,患者及其家属拒绝二次PCI术干预右冠状动脉。术后患者严格服用“阿司匹林,氯吡格雷,美托洛尔”等药物,病情相对平稳,胸闷症状明显缓解。近2个月仍是无诱因出现头晕、乏力,不伴有胸闷痛、心悸等症状,休息或含服“硝酸异山梨酯”可稍缓解,院外行心电图检查示“窦性心动过缓”,心室率最慢为34次/分,为求进一步诊治故收入院。患者自发病以来,精神、食欲、睡眠一般,大小便如常,体重无明显改变。
既往史:否认“高血压”病史,发现“糖尿病”3年余,平素口服“格列齐特80mg,2次/日,二甲双胍250mg,2次/日”治疗,未监测血糖。“陈旧性脑梗死”病史4年余,未遗留后遗症。否认“肝炎”、“结核”等传染病病史,否认外伤史、输血史,否认药物及食物过敏史。平时饮食规律,否认挑食及嗜食异物史。
查体:T 36.0℃,P 38次/分,R 20次/分,BP 120/60mmHg,H 173cm,W 78kg。发育正常,营养中等,焦虑面容,神清语利,精神智能正常,查体合作。全身未触及肿大淋巴结,皮肤黏膜无皮疹、黄染。唇红,颈静脉无怒张,双肺呼吸音清,未闻及干、湿啰音。心尖搏动点位于左锁骨中线内侧0.5cm处,心率38次/分,律齐,心音强弱不等,各瓣膜区未闻及病理性杂音。腹平软,肝脾未及,双下肢无水肿。肢体感觉、肌力、深浅反射正常,双侧巴氏征、布氏征均为阴性。
辅助检查:
2010年5月冠脉造影示:冠脉三支病变(累及LAD、LCX、RCA),其中前降支近段85%~90%节段性狭窄,旋支近中段99%节段性狭窄,右冠状动脉近中段90%节段性狭窄。分别干预前降支及旋支,植入支架(图2-11-1)。
入院后心电图示:二度房室传导阻滞,完全性右束支传导阻滞,ST-T改变。
复查心电图示:三度房室传导阻滞,完全性右束支传导阻滞,ST-T改变。
心 肌 酶:AST 20U/L,LDH 126U/L,CK 36U/L,CK-MB 8.3%。
肌钙蛋白0.01ng/ml。
肝肾功能、电解质、凝血系列、血尿常规等检查正常。
入院诊断:冠状动脉粥样硬化性心脏病不稳定型心绞痛

图2-11-1 2010年5月冠脉造影及PCI术
PCI术后
心律失常
二度、三度房室传导阻滞交替出现
完全性右束支传导阻滞
心功能Ⅱ级
2型糖尿病
二、病例分析
(一)病例特点
1. 患者老年男性,间断胸闷、心悸1年,头晕、乏力2个月入院,有明确的冠心病病史。
2. 患者曾于2010年5月因活动后胸闷、气短住本科行冠脉造影示冠脉三支病变(累及LAD、LCX、RCA),分别干预前降支及旋支,植入支架两枚,患者及其家属拒绝二次PCI术干预右冠状动脉。术后患者严格用药,胸闷症状明显缓解。近2个月无诱因出现头晕、乏力,不伴有胸闷痛,心悸等症,休息或含服“硝酸异山梨酯”可稍缓解,院外行心电图检查示“窦性心动过缓”,心室率最慢为34次/分,既往有“糖尿病”病史,未监测血糖。入院查体,心率38次/分,律齐,心音强弱不等,各瓣膜区未闻及病理性杂音。行心电图检查示二度、三度房室传导阻滞交替出现,完全性右束支传导阻滞,化验心肌酶、肌钙蛋白正常。
(二)明确的诊断及依据
根据患者的病史、症状、体征、辅助检查考虑:冠状动脉粥样硬化性心脏病,不稳定型心绞痛,PCI术后,心律失常——二度、三度房室传导阻滞交替出现、完全性右束支传导阻滞,心功能Ⅱ级,2型糖尿病。
(三)鉴别诊断
1. 缺血性心肌病
其基本病因是冠状动脉动力性和(或)阻力性因素引起的冠状动脉狭窄或闭塞性病变,是指由于长期心肌缺血导致心肌局限性或弥漫性纤维化,从而产生心脏收缩和(或)舒张功能受损,引起心脏扩大、充血性心力衰竭、心律失常等一系列临床表现的临床综合征。在某些冠心病病人中,由于心肌缺血引起心肌弥漫性纤维化,产生了一些类似于扩张型心肌病样的表现。患者有冠状动脉受累的临床指征,包括休息或运动时监测心电图不正常,超声心动图异常以及心肌灌注不良等。该患者有明确冠心病病史,此次发病以头晕、乏力为不适主诉,无气短、咳嗽、水肿等心功能不全表现,其临床表现与心率慢相关,休息后可缓解,且胸片、心脏彩超等客观检查不支持该诊断。
2. 急性心肌梗死
是指因持久而严重的心肌缺血所致的部分心肌急性坏死。疼痛是急性心肌梗死中最先出现和最突出的症状,疼痛有时在上腹部或剑突处,同时胸骨下段后部常憋闷不适,或伴有恶心、呕吐,常见于下壁心肌梗死。疼痛性质为绞榨样或压迫性疼痛,或为紧缩感、烧灼样疼痛,常伴有烦躁不安、出汗、恐惧,或有濒死感。持续时间常大于30分钟,甚至长达10余小时,休息和含服硝酸甘油一般不能缓解。少数急性心肌梗死病人无疼痛,而是以心功能不全、休克、猝死及心律失常等为首发症状。有心律失常、泵衰竭、心脏破裂、栓塞、心室膨胀瘤、心肌梗死后综合征、肩手综合征等并发症。该患者此次就诊没有明显的胸部不适,以头晕、乏力为主,化验心肌酶、肌钙蛋白均正常,急性心肌梗死诊断不能成立。
三、该患者存在的问题
入院后给予抗血小板聚集、调脂、稳定血管内皮、扩血管、抑制左室重塑、稳定血糖等治疗后,患者仍感头晕、乏力不适,症状缓解不明显,实时行心电图检查仍为二度、三度房室传导阻滞交替出现,完全性右束支传导阻滞。
由于患者右冠状动脉狭窄仍存在,但抗心肌缺血治疗较差,由急性心肌缺血导致基础心率变慢可能性小,因其本身老龄,退行性变致房室结传导功能低下可能性大,即患者临床症状由心率慢直接导致,而非急性心肌缺血所致。故应尽快行冠脉造影检查评估冠脉病变并行起搏器治疗。患者病情重,随时有可能发生恶性心律失常、急性心肌梗死、猝死等恶性心血管事件,反复交代家属病情。
四、进一步诊断的思路
1. 复查心肌酶学、肌钙蛋白、电解质等。
2. 观察心电图动态演变。
3. 交代家属病情危重,进一步行冠脉造影检查明确冠脉病变程度及范围,并植入起搏器改善心率。
五、入院后的辅助检查及提示意义
胸片:心、膈、肺未见明显异常。
腹部B超:肝、胆、胰、脾、肾声像图未见明显异常。
心脏彩超:静息状态下,心内结构及血流未见明显异常,左室收缩功能正常、舒张功能减低。
多次复查心肌酶包括肌钙蛋白均在正常范围之内。
六、入院后的治疗方案及病情变化
1. 考虑患者存在糖尿病,且本身为高龄,多种危险因素并存,在抗心肌缺血治疗的同时辅以及时观察血压、血糖、心率,适时调整药物,使血压、血糖维持在相对安全的范围值。
2. 患者基础心率慢,停用美托洛尔后心率仍未见明显上升,给予抗血小板聚集,他汀类药物稳定斑块,硝酸盐制剂扩张血管,辅以活血化瘀等治疗,患者症状缓解不明显,辅以改善窦房结、房室结功能后,行起搏器治疗,病情稳定后考虑冠脉造影检查评估冠脉病变。
七、病情转归及最后诊断
患者经过抗心肌缺血,提高心室率,稳定血糖,植入起搏器治疗后,头晕、乏力症状消失,无心绞痛发作,病情相对平稳。建议患者待病情稳定后择期行冠脉造影检查并适时干预右冠状动脉病变,患者及其家属商量后仍不同意,反复交代病情及可能严重后果,家属要求出院,嘱其严格按医嘱用药,定期随访。
最后诊断:冠状动脉粥样硬化性心脏病
不稳定型心绞痛
PCI术后
心律失常
二度、三度房室传导阻滞交替出现
完全性右束支传导阻滞
永久起搏器植入术后
心功能Ⅱ级
2型糖尿病
八、随访结果
患者一般情况好,术后严格按医嘱服用阿司匹林、硫酸氯吡格雷、他汀类药物等治疗,随访3个月,患者未再有头晕、乏力发作,一般活动无不适,无胸闷痛症状出现,能从事一般日常活动,定期复查电解质、肝肾功能、血凝系列及血脂系列等指标均大致正常。
九、病例相关的问题及解答
(一)心肌梗死的概念及临床表现是什么?
心肌梗死(myocardial infarction,MI)是指因持久而严重的心肌缺血所致的部分心肌急性坏死。急性心肌梗死(AMI)约2/3病人发病前数天有先兆症状,最常见为心绞痛,其次是上腹疼痛、胸闷憋气、上肢麻木、头晕、心悸、气急、烦躁等。若心绞痛发作时心电图示ST段一过性明显抬高或压低,T波倒置或增高,应警惕近期内发生心肌梗死的可能。急性心肌梗死临床表现有持久的胸骨后剧烈疼痛、发热、白细胞计数和血清心肌坏死标志物增高以及心电图进行性改变,可发生心律失常、休克或心力衰竭,属急性冠脉综合征的严重类型。
疼痛是急性心肌梗死中最先出现和最突出的症状,典型的部位为胸骨后直到咽部或在心前区,向左肩、左臂放射。疼痛有时在上腹部或剑突处,同时胸骨下段后部常憋闷不适,或伴有恶心、呕吐,常见于下壁心肌梗死。不典型部位有右胸、下颌、颈部、牙齿,罕见头部、下肢大腿甚至脚趾疼痛。疼痛性质为绞榨样或压迫性疼痛,或为紧缩感、烧灼样疼痛,常伴有烦躁不安、出汗、恐惧,或有濒死感。持续时间常大于30分钟,甚至长达10余小时,休息和含服硝酸甘油一般不能缓解。少数急性心肌梗死病人无疼痛,而是以心功能不全、休克、猝死及心律失常等为首发症状。无疼痛症状也可见于以下情况:①伴有糖尿病的病人;②老年人;③手术麻醉恢复后发作急性心肌梗死者;④伴有脑血管病的病人;⑤脱水、酸中毒的病人。
全身症状主要是发热,伴有心动过速、白细胞增高和红细胞沉降率增快等,由于坏死物质吸收所引起。一般在疼痛发生后24~48小时出现,程度与梗死范围常呈正相关,体温一般在38℃上下,很少超过39℃,可持续1周左右。
(二)急性心肌梗死的心律失常都有什么?
心律失常见于75%~95%的病人,以24小时内最多见,其中室性心律失常最为常见,尤其是室性期前收缩。如室性期前收缩频发(每分钟5次以上),成对出现或呈短阵室性心动过速,多源性或落在前一心搏的易损期时(R在T波上),常为心室颤动的先兆。一些病人发病即为心室颤动,可引起心源性猝死。加速性室性自主心律也时有发生。各种程度的房室传导阻滞和束支传导阻滞也较多见,严重者可为完全性房室传导阻滞。室上性心律失常则较少见,多发生在心力衰竭者中。
(三)具体冠脉病变与心律失常类型关系?
由于右冠状动脉闭塞引起左心室膈面(右冠状动脉占优势时)、后间隔和右心室梗死,可累及窦房结和房室结;左冠状动脉旋支闭塞引起左心室高侧壁、膈面(左冠状动脉占优势时)和左心房梗死,可累及房室结。故前壁心肌梗死易发生室性心律失常,下壁心肌梗死易发生房室传导阻滞,是因右冠状动脉闭塞引起房室结动脉缺血所致,由于梗死面积不大,预后较好,随房室结动脉缺血改善可自行消失。前壁心肌梗死若发生房室传导阻滞时,说明梗死范围广泛,心肌坏死累及束支,且常伴有休克或心力衰竭,故情况严重,预后较差。
(四)急性心肌梗死的并发症?
急性心肌梗死有乳头肌功能失调或断裂、心律失常、泵衰竭、心脏破裂、栓塞、心室壁瘤、心肌梗死后综合征、肩手综合征等并发症。疼痛期常见血压下降,若无微循环衰竭的表现仅能称之为低血压状态。如疼痛缓解而收缩压仍低于80mmHg,病人烦躁不安、面色苍白、皮肤湿冷、脉细而快、大汗淋漓、尿量减少(<20ml/h)、神志迟钝、甚至昏厥者则为休克的表现。休克见于约20%的病人,主要是心源性,为心肌广泛(40%以上)坏死,心排血量急剧下降所致。心力衰竭发生率为32%~48%,此时一般左心室梗死范围已大于20%,为梗死后心肌收缩力明显减弱,心室顺应性降低和心肌收缩不协调所致。心电图有进行性改变,超声心动图有助于了解心室壁的运动和左心室功能,诊断室壁瘤和乳头肌功能失调等。
(五)房室传导阻滞的病因有哪些?
正常人或运动员可发生文氏型房室传导阻滞,与迷走神经张力增高有关,常发生于夜间。其他导致房室传导阻滞的病变有:急性心肌梗死、冠状动脉痉挛、病毒性心肌炎、心内膜炎、心肌病、急性风湿热、钙化性主动脉瓣狭窄、心脏肿瘤、先天性心血管病、原发性高血压、心脏手术、电解质紊乱、药物中毒、Lyme病、Chagas病、黏液性水肿等。Lev病(心脏纤维支架的钙化与硬化)与Lenegre病(传导系统本身的原发性硬化变性疾病)可能是成人孤立性慢性心脏传导阻滞最常见的原因。
(六)如何看待本例患者的心律失常?
本例患者以头晕、乏力2个月就诊,既往1年前曾因劳力性胸闷、心悸住院治疗,并行冠脉造影检查及PCI术,冠脉造影提示冠脉三支病变(累及LAD、LCX、RCA),其中前降支近段85%~90%节段性狭窄,旋支近中段99%节段性狭窄,右冠状动脉近中段90%节段性狭窄。后分别干预前降支及旋支,植入支架两枚,患者及其家属拒绝二次PCI术干预右冠状动脉。术后患者严格按医嘱服药,无不适。近2个月出现头晕、乏力表现,但无胸闷发作,且休息后症状可缓解,入院查心肌酶、肌钙蛋白均正常,心电图提示二度、三度房室传导阻滞交替及完全性右束支传导阻滞。综合患者病史,此次是否存在由于冠脉血管的再次狭窄或原有狭窄加重导致窦房结及房室结动脉供血不足出现严重的房室传导阻滞有待于复查冠脉造影证实。患者存在高龄、糖尿病等高危因素,退行性变导致心脏传导功能异常,出现房室传导阻滞可能性大。由急性心肌梗死引起的三度房室传导阻滞通常经积极抗栓治疗或实现冠脉血运重建后可在短时间内恢复,而此患者经抗心肌缺血治疗效果差,症状缓解不明显。给予改善窦房结功能及植入起搏器治疗后,患者头晕、乏力症状消失,亦没有心绞痛发作,进一步证实此次房室传导阻滞由心脏传导系统退行性变导致。患者病情稳定后应再次复查冠脉造影评估冠脉病变,但反复沟通后家属不同意。
(郭江林)
十、专 家 点 评
本病例的疑难之处及疾病特点:本病患者以“间断胸闷、心悸1年,头晕、乏力2个月”入院,1年前冠脉造影提示冠脉三支病变(累及LAD、LCX、RCA),分别干预前降支及旋支,植入支架两枚,患者及其家属拒绝二次PCI术干预右冠状动脉。术后患者严格用药,胸闷症状明显缓解。近2个月出现头晕、乏力,不伴有胸闷痛、心悸等症,休息或含服“硝酸异山梨酯”可稍缓解,院外行心电图检查示“窦性心动过缓”,此次没有出现明显的胸部不适,且实验室检查没有阳性指标,心电图提示二度、三度房室传导阻滞交替及完全性右束支传导阻滞。综合患者病史,此次是否存在由于冠脉血管的再次狭窄或原有狭窄加重导致窦房结及房室结动脉供血不足,出现严重的房室传导阻滞有待于复查冠脉造影证实。患者存在高龄、糖尿病等高危因素,退行性变导致心脏传导功能异常出现房室传导阻滞可能性大。导致头晕、乏力的原因需鉴别,心功能不全的因素亦不能完全除外。
临床提示:由急性心肌梗死引起的三度房室传导阻滞通常经积极抗栓治疗或实现冠脉血运重建后可在短时间内恢复,而房室传导阻滞由心脏传导系统退行性变导致的患者则抗心肌缺血治疗效果差,症状缓解不明显。需植入起搏器治疗后。此类病例在临床较为多见,因右冠状动脉闭塞可引起房室结动脉缺血出现房室传导阻滞,如能进行冠脉造影检查,则可以准确地评价患者是否存在右冠状动脉的急性缺血事件,更好地鉴别房室传导阻滞是否由心脏传导系统退行性变所致,从而明确缓慢性心律失常的病因。
(刘晓红)
来源:《心血管疑难病例解析》
作者:刘晓红
参编:李丽琪 米春林 郭江林 冀友瑞 来春林
页码:72-78
出版:人民卫生出版社
- 评价此内容
- 我要打分
近期推荐
热门关键词
最新会议
- 2013循证医学和实效研究方法学研讨会
- 欧洲心脏病学会年会
- 世界帕金森病和相关疾病2013年会议
- 英国介入放射学学会2013年第25届年会
- 美国血液学会2013年年会
- 美国癫痫学会2013年第67届年会
- 肥胖学会 2013年年会
- 2013年第9届欧洲抗体会议
- 国际精神病学协会 2013年会议
- 妇科肿瘤2013年第18届大会
- 国际创伤压力研究学会2013年第29届…
- 2013年第4届亚太地区骨质疏松症会议
- 皮肤病协会国际2013年会议
- 世界糖尿病2013年大会
- 2013年国际成瘾性药年会
- 彭晓霞---诊断试验的Meta分析
- 武姗姗---累积Meta分析和TSA分析
- 孙凤---Network Meta分析
- 杨智荣---Cochrane综述实战经验分享
- 杨祖耀---疾病频率资料的Meta分析
合作伙伴
Copyright g-medon.com All Rights Reserved 环球医学资讯 未经授权请勿转载!
网络实名:环球医学:京ICP备08004413号-2
关于我们|
我们的服务|版权及责任声明|联系我们
互联网药品信息服务资格证书(京)-经营性-2017-0027
互联网医疗保健信息服务复核同意书 京卫计网审[2015]第0344号




会员登录

