安装起搏器后发生感染 怎样快速诊断和处理?
老年女性,左前胸壁安装起搏器后皮肤大面积感染,入院后重装新的起搏器并进行抗感染治疗。3日后症状依然无好转,故考虑可能与电极有关。转入心外科,开心取出电极,发现患者三尖瓣后瓣上赘生物感染阴沟肠杆菌。患者终于在层层排查后找到病因,经治疗痊愈出院。
病情介绍
患者,女性,71岁。因“反复畏寒、发热4个月余”于2006年2月19日入院。1996年因心动过缓而安装心脏起搏器于左前胸壁皮下。2005年10月份因发热住院10天,同年12月因发热、左前胸壁安装起搏器处皮肤大面积感染而再次住院,期间将起搏器取出,但起搏电极未取出并固定于颈部皮下,重新放置新起搏器于右前胸壁皮下(图9-3-1)。2006年1月起反复畏寒、发热6次,每4~6天发生一次,最高体温 39.6℃,发热时伴心慌、胸闷。入院前2天再次畏寒、发热,体温 39.5℃,自服“退热药”体温不降而入院。
入院查体:T 40.1℃,呼吸 24次/分。贫血貌,浅表淋巴结无肿大。左锁骨上皮肤见3cm×2cm暗红色结痂。双肺呼吸音清晰,未闻及干湿音。心界向左下扩大,心率 88~112次/分,律不齐。肝脾肋下未及,双下肢无水肿。白细胞 10.8×109/L,中性粒细胞 88.8%,淋巴细胞 9.1%,红细胞 2.79×1012/L,血红蛋白 79g/L,血小板 59×109/L。血白蛋白 25.7g/L,血糖17.14 mmol/L,其他生化指标均正常。2次血培养出阴沟肠杆菌。

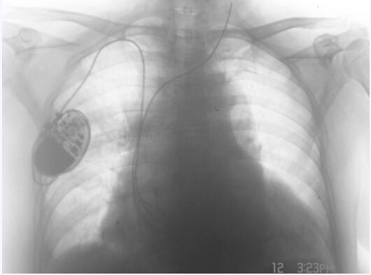
图9-3-1 胸片显示废弃的心腔内电极以及安置于右胸前起搏器
入院经抗感染(克林霉素+阿莫西林/舒巴坦)治疗3日,症状无好转,体温 39.2~40℃,白细胞 24.4×109/L,中性粒细胞 92.2%,改用亚胺培南(0.5g,q8h.)治疗,体温一度降至正常。4日后体温再次上升至39℃以上,血培养仍为阴沟肠杆菌。考虑患者发热与心腔内废弃电极有关,请心内科拔除电极(图9-3-2),拔除的电极头端有颗粒状赘生物,取之培养出阴沟肠杆菌。拔除电极的次日体温即下降,之后2周体温在37.6℃以内(仍使用亚胺培南),3次血培养均阴性,白细胞 5.7×109/L。随后的1个月继续使用亚胺培南,但患者每数日发生一次38.5℃左右的体温波动,期间白细胞正常,连续9次血培养均阴性。
拔除电极及使用亚胺培南50天后患者再次发热,体温39℃以上,白细胞 22.4×109/L,中性粒细胞 95.1%。连续2次血培养出阴沟肠杆菌。心脏彩超提示心腔内电极上有赘生物。考虑发热仍与心腔内电极有关,转入心外科以开心取出电极。3日后手术顺利进行,将电极连同起搏器一并取出(图9-3-3),取出的电极及三尖瓣上均有串珠样赘生物附着,三尖瓣后瓣上赘生物培养出阴沟肠杆菌。

图9-3-2 拔除心腔内废弃电极后的胸片
最终诊断:心腔内残留电极并感染性心内膜炎、阴沟肠杆菌败血症。
治疗及转归:开心手术后患者体温迅速正常,白细胞下降,血培养阴性。先后使用头孢吡肟、环丙沙星治疗40天,期间发生压疮和因尿潴留而持续导尿以及膀胱造瘘术。停用抗生素观察1个月,患者体温及白细胞正常。术后至出院的65天连续13次血培养均为阴性。
重要提示

图9-3-3 开心手术后的胸部平片
1.老年女性,有糖尿病史;
2.植入心脏起搏器 10年;
3.反复高热和持续菌血症,使用亚胺培南治疗 50天仍无效;
4.拔除部分心脏内电极只能短期改善病情;
5.拔除全部体内电极后,感染方得到有效控制。
【析评】
心脏起搏技术可为各种心律失常尤其是缓慢型心律失常达到治愈的目标。植入起搏器时,电极头与心肌组织接触更紧密,固定更牢固,进而降低起搏导线移位的发生率,但电极导线在植入后2个月便被胶原纤维组织包绕,并与血管和心腔内壁粘连,致使电极导线难以拔除。
起搏器系统引起的并发症中,常见是感染,如不将起搏器和导线全部取出,可致局部伤口流液、流脓且经久不愈,并由此引起心内膜炎和败血症。拔除电极导线的方法包括手工牵引、带滑轮的机械牵引和开胸手术,这些方法均属有创性,如拔除不当可发生严重的手术并发症。基于此,对于弃用的非感染性电极导线是否需要拔除,一直存在争议。临床随访表明此类电极导线的残端如能可靠地固定在皮下组织,长期留置体内并无明显危害;但也有认为随着留置时间的延长,弃用的电极导线更加不易拔除,同时还会增加血栓栓塞的发生率(高达44%),主张在允许的情况下尽可能予以拔除。目前拔除电极导线的原因,多数是由于起搏系统感染,其中以囊袋感染居多。尽管经彻底清创和抗生素治疗少数囊袋局部感染可得到有效控制,但对于大多数患者仍应将整个起搏系统完整取出,否则残留的电极导线可能会引起患者死亡(病死率高达66%)。
国际上对于拔除导线的适应证分为3类:第1类是必须拔除,如不拔除则危及生命的电极导线,包括感染性电极导线引起的全身性感染如败血症和感染性心内膜炎,残存的导线或导线碎片导致临床有意义的血栓栓塞以及因残留导线碎片导致威胁生命的心律失常等。第2类是需要拔除的电极导线,如不拔除难以控制病情或可能发生致命性并发症。包括囊袋感染或破溃;电极导线引起静脉血栓,可能发生静脉闭塞;长期电极导线感染并形成慢性瘘管。第3类是谨慎拔除的电极导线,即暂不具备明确的拔除适应证,如电极导线引起局部慢性疼痛和非感染性弃用电极导线。
本例为老年患者,有糖尿病病史。安装心脏起搏器10年后出现局部皮肤及血行感染,取出已感染的起搏器系统,并重新植入新起搏器是十分必要的,但由于技术问题未将置入心腔内的电极取出,以致虽长期使用高效抗生素治疗,仍反复发热、持续菌血症和新起搏器系统感染,最后只能进行开心手术取出全部起搏器系统,方有效控制感染。此例符合拔除导线的第1类适应证。
参考文献
1.Byrd CL, Schwartz SJ, Hedin N, et al.Lead extraction: indications and techniques.J Cardiol Clin, 1992, 10: 735-748
2.Love CJ, Wilkoff BL, Byrd CL,et al.Recommendations for extraction of chronically implanted transvenous pacing and defibrillator leads: indications, facilities, training.North American Society of Pacing and Electrophysiology Lead Extraction Conference Faculty.Pacing Clin Electrophysiol, 2000, 23(4 Pt 1): 544-551
来源:《感染性疾病-基于临床病例的诊治析评》
作者:王辰 曹彬
参编:施毅 王辉 张波 万献尧 马丹
页码:353-355
出版:人民卫生出版社
- 评价此内容
- 我要打分
近期推荐
热门关键词
最新会议
- 2013循证医学和实效研究方法学研讨会
- 欧洲心脏病学会年会
- 世界帕金森病和相关疾病2013年会议
- 英国介入放射学学会2013年第25届年会
- 美国血液学会2013年年会
- 美国癫痫学会2013年第67届年会
- 肥胖学会 2013年年会
- 2013年第9届欧洲抗体会议
- 国际精神病学协会 2013年会议
- 妇科肿瘤2013年第18届大会
- 国际创伤压力研究学会2013年第29届…
- 2013年第4届亚太地区骨质疏松症会议
- 皮肤病协会国际2013年会议
- 世界糖尿病2013年大会
- 2013年国际成瘾性药年会
- 彭晓霞---诊断试验的Meta分析
- 武姗姗---累积Meta分析和TSA分析
- 孙凤---Network Meta分析
- 杨智荣---Cochrane综述实战经验分享
- 杨祖耀---疾病频率资料的Meta分析
合作伙伴
Copyright g-medon.com All Rights Reserved 环球医学资讯 未经授权请勿转载!
网络实名:环球医学:京ICP备08004413号-2
关于我们|
我们的服务|版权及责任声明|联系我们
互联网药品信息服务资格证书(京)-经营性-2017-0027
互联网医疗保健信息服务复核同意书 京卫计网审[2015]第0344号




会员登录

