心腔内带蒂团块状回声无法明确性质 很可能是这个病
中青年女性,咳嗽伴全身水肿。超声心动图显示患者心腔内带蒂团块状回声,但无法明确性质,经多科讨论,试行抗凝和常规抗心衰治疗。4周后复查超声,心腔内团块状回声完全消失,2年随访期间再未复发。从试验性治疗效果来看,患者心腔内带蒂占位性病变考虑为血栓。那么,心腔内异常占位病变的鉴别诊断要点和心腔内带蒂血栓的特征又有哪些呢?
病例摘要
女性,27岁。主因“咳嗽、全身水肿15天,加重伴右侧腰痛1天”于2012年12月26日入院。
现病史
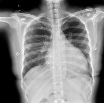
15天前患者开始出现咳嗽,在当地医院 “抗感染”等治疗后感胃胀、食欲减退,伴全身水肿、乏力,并诉活动后气喘、心悸。一天前 (约晚11时),患者突发右侧腰痛,当地医院就诊查血常规正常、尿潜血阴性,未治疗,转至我院急诊,查尿常规正常;尿淀粉酶2098U/L;血凝分析:PT 19.4秒,D二聚体2.99μg/ml;肌钙蛋白T<0.1ng/ml;生化检查:谷氨酸转氨酶185.9U/L,天冬氨酸转氨酶104.4U/L,尿素9.14mmol/L,钙1.92mmol/L,钠132.5mmol/L;X线胸片:右下肺少许炎症可能、两侧少量胸腔积液可能、心影增大(图77-1);心电图:窦性心律,Ⅰ、Ⅱ导联ST段压低;超声心动图:心功能不全,左心室、右心室腔内多枚不规则团块状回声。为进一步诊治收入院。
既往史
原发性高血压3年,未经正规治疗。2个月前行剖宫产术。
个人史
原籍出生,无长期外地久居史,否认烟酒嗜好。
家族史
母亲患原发性高血压。否认家族遗传性疾病史。
体格检查
体温37.4℃,脉搏98次/分,呼吸20次/分,血压126/80mm Hg。神志清晰,精神一般。肥胖体形,自主体位,扶入病房,查体合作。全身皮肤、黏膜无黄染、淤斑,颜面、四肢水肿,全身浅表淋巴结未触及肿大。眼睑轻微水肿,巩膜无黄染,口唇无发绀。颈软,颈静脉充盈,气管居中。胸廓无畸形,两肺呼吸音清,双下肺少许湿啰音。心前区无隆起,心尖搏动于胸骨左侧第五肋间锁骨中线外0.5cm内,未触及震颤,心率98次/分,可闻及奔马律,各瓣膜听诊区未及明显杂音。腹平软,全腹无压痛、反跳痛,肝肋下1指,墨菲征阴性,移动性浊音阴性。双下肢可凹性水肿,皮温正常。双侧病理性反射未引出,脑膜刺激征阴性。
入院诊断
①围产期心肌病,心功能Ⅱ级,左心室、右心室腔血栓形成,多脏器栓塞;②原发性高血压。
诊疗经过
入院后,进一步完善相关检查。血常规:白细胞计数12.6×109/L,中性粒细胞百分比76%,血红蛋白123g/L,血小板计数247×109/L。尿常规正常。红细胞沉降率30mm/h。C反应蛋白100mg/L。血凝分析:PT 12.9s,PT-INR 1.11,D二聚体1.41μg/ml。生化检查:谷氨酸转氨酶159.6U/L,天冬氨酸转氨酶109.6U/L,谷氨酰转肽酶104.8U/L,乳酸脱氢酶1183U/L,3-羟基丁酸脱氢酶786U/L,尿酸535.7μmol/L。多次血培养(双管双臂)阴性。抗心磷脂Ig M、IgG抗体阴性。抗β2-GP1抗体2.6Ru/ ml。抗核抗体阴性。
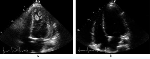
超声心动图:左心房内径40mm,左心室舒张末期内径65mm,左心室射血分数22.9%;左心室、右心室腔内探及多枚团块状回声,部分活动度较大,有蒂附着于心室壁;轻-中度二尖瓣关闭不全,轻度三尖瓣关闭不全(图77-2 A)。进一步检查胸腹部CT平扫+增强:右中肺动脉分支栓塞,伴右中肺部分梗死形成;两下肺及舌叶少许炎症;心影增大;两侧胸腔少量积液;肠系膜上动脉起始处狭窄;两侧部分肾实质低密度影,考虑梗死可能(图77-3)。
患者入院后,给予血管紧张素转换酶抑制剂、β受体阻滞剂、利尿剂等抗心力衰竭,并充分抗凝治疗 (低分子肝素与华法林重叠使用5天后,改为单用华法林,根据INR调整华法林用量,将INR控制在2.5~3.0)。1个月后,复查超声心动图:左心房内径38mm,左心室舒张末期内径68mm,左心室射血分数24.8%;左心室、右心室腔内团块状回声消失;轻-中度三尖瓣关闭不全,轻度三尖瓣关闭不全(图77-2B)。
患者病情好转出院,院外继续抗心力衰竭、抗凝治疗,患者无不适主诉。出院后2周左右,复查超声心动图:左心室舒张末期内径69mm,左心室射血分数37.9%,轻度二尖瓣、三尖瓣关闭不全。

图77-1 X线胸片显示心影增大、右下肺少许炎症、两侧少量胸腔积液

图77-2 超声心动图 A:心尖四腔切面显示左心室腔内探及多枚带蒂的团块状回声飘动; B:抗凝治疗2周复查,心尖四腔切面显示心腔内团块状回声消失

图77-3 胸腹部CT平扫+增强 A:右中肺动脉分支栓塞伴右中肺部分梗死形成;B:两侧部分肾实质低密度影,考虑肾梗死可能
病例思考
1.心腔内异常占位病变的鉴别诊断要点有哪些?
本例患者心脏内出现多个活动度较大的团块状回声,有蒂连于心室壁。超声心动图医生或临床医生遇到此类占位性病变,需考虑多种可能情况。
(1)赘生物:
入院时患者体温轻度升高,血常规显示白细胞计数偏高,故感染性心内膜炎赘生物形成可能无法完全排除。但是,患者入院后多次行双管双臂血培养均为阴性,而且超声心动图探及的心腔内团块状回声形状较规整,均不支持心脏赘生物诊断。
(2)黏液瘤:
由于心腔内团块状回声有蒂连于心室壁且活动度大,临床应考虑到心脏黏液瘤可能。黏液瘤是较常见的良性心脏肿瘤,好发于左心房,其次是右心房,位于心室者较少见,左心室、右心室并存黏液瘤则极其罕见。
(3)其他心脏原发性或继发性肿瘤:
恶性心脏肿瘤如横纹肌肉瘤、纤维肉瘤、淋巴肉瘤等,多数病变体积较大,呈分叶状或不规则形态,内部回声欠均匀,通常与心壁附着面较广,多无蒂,活动度小。
(4)血栓:
结合患者存在围产期心肌病、左心室扩大、心肌收缩功能差的特点,故考虑血栓可能性较大。临床常见血栓多为附壁血栓,与心房、室壁接触面积较大、活动度小。
本例患者心腔内带蒂团块状回声较罕见,暂无法明确性质,经全院多科讨论,试行抗凝治疗,同时进行常规抗心衰治疗。两周和4周后复查超声,心腔内团块状回声完全消失。在两年的随访过程中,患者继续抗心衰治疗及用服抗凝药物,心腔内血栓未再出现。所以,从试验性治疗效果来看,患者心腔内带蒂占位性病变考虑为血栓。
2.心腔内带蒂血栓病例报道情况如何?
截至目前,作者能够检索到的心腔内带蒂血栓文献报道共计4例,其中外文文献1例,中文文献3例(表77-1)。报道的4例患者均经过手术证实为血栓,但患者对手术耐受性差,4例患者中2例术后死亡,1例患者未报道术后情况,1例患者术后出院,随访情况不详。
作者所在中心在近5年的临床工作中诊断带蒂血栓3例(表77-1)。3例患者均结合病史特征与超声心动图结果,临床考虑为心腔内带蒂血栓。在基础疾病治疗基础上再给予抗凝治疗,复查超声证实心腔内血栓均消失。

表77-1 心腔带蒂血栓病例汇总
3.超声心动图对心腔内带蒂血栓有何诊断价值?
心腔内带蒂血栓具有以下临床特征:①临床较少见,超声心动图征象缺乏特异性,较难与心脏黏液瘤、原发性及继发性肿瘤相鉴别。②多并发于基础心脏疾病患者,最常见于心功能不全患者。因此类患者心肌收缩力差,易致心腔内血流淤滞,且患者对手术耐受性差,术中、术后死亡率较高。③动脉栓塞发生率高,如本例患者出现肺栓塞、肾栓塞、肠系膜上动脉栓塞。
由此,超声心动图医生在诊断此类疾病时应注意结合临床资料,对于存在心功能不全或高凝状态患者,一旦探及心腔内带蒂团块状回声,应首先考虑本病可能,并及时给予充分抗凝治疗,进而避免风险较高的手术探查。此外,超声心动图尚可对患者的基础心脏疾病进行评估,以预估疗效、判断预后。
病例启示
心腔内带蒂血栓临床较少见,由于血栓活动度大致脱落形成动脉栓塞的发生率高,故应划归为 “超声危急值”报告范围。但因其缺乏特异性超声心动图征象,较难与心腔内原发性或继发性肿瘤相鉴别,因此要求超声心动图医生在检查时充分结合病史,对于存在心功能不全或高凝状态的患者应考虑本病可能,并及时给予充分抗凝治疗,避免风险较高的手术探查,同时应充分告知患者及家属有并发动脉栓塞的风险。
参考文献
1.曾潮峰,徐皝林.左心室内有蒂血栓脱落致腹主动脉栓塞1例.兰州医学院学报,2004,30:84
2.侯传举,王巧玲,邓东安,等.酷似肿瘤的左心室带蒂血栓1例.临床心血管病杂志,2003, 19:434
3.李平安,孙中华,智光.疑为左室肿瘤的带蒂血栓1例.中国超声诊断杂志,2001,2:6
4.Wiseman MN,Giles MS,Camm AJ.Unusual echocardiographic appearance of intracardiac thrombi in a patient with endomyocardial fibrosis.Br HeartJ,1986,56:179-181
来源:《超声心动图与临床决策:疑难病例解析》
作者:朱天刚
参编:丁茜 权欣 王欣 丁文虹 马为
页码:366-370
出版:人民卫生出版社
- 评价此内容
- 我要打分
近期推荐
热门关键词
最新会议
- 2013循证医学和实效研究方法学研讨会
- 欧洲心脏病学会年会
- 世界帕金森病和相关疾病2013年会议
- 英国介入放射学学会2013年第25届年会
- 美国血液学会2013年年会
- 美国癫痫学会2013年第67届年会
- 肥胖学会 2013年年会
- 2013年第9届欧洲抗体会议
- 国际精神病学协会 2013年会议
- 妇科肿瘤2013年第18届大会
- 国际创伤压力研究学会2013年第29届…
- 2013年第4届亚太地区骨质疏松症会议
- 皮肤病协会国际2013年会议
- 世界糖尿病2013年大会
- 2013年国际成瘾性药年会
- 彭晓霞---诊断试验的Meta分析
- 武姗姗---累积Meta分析和TSA分析
- 孙凤---Network Meta分析
- 杨智荣---Cochrane综述实战经验分享
- 杨祖耀---疾病频率资料的Meta分析
合作伙伴
Copyright g-medon.com All Rights Reserved 环球医学资讯 未经授权请勿转载!
网络实名:环球医学:京ICP备08004413号-2
关于我们|
我们的服务|版权及责任声明|联系我们
互联网药品信息服务资格证书(京)-经营性-2017-0027
互联网医疗保健信息服务复核同意书 京卫计网审[2015]第0344号




会员登录

