缩窄性心包炎引发循环障碍 鉴别诊断注意什么?
男性患者呼吸困难、疲乏、心悸1月余,超声心动图显示脏层心包增厚,诊断为缩窄性心包炎。此病可使心室舒张期充盈受限而产生一系列循环障碍的病症。其病因、病理和临床表现是什么?如何从超声心动图判断?此病与限制型心肌病的鉴别要点有哪些?详见以下病例——
病史和相关检查 患者,男性,42岁。呼吸困难、疲乏、心悸1个月余。1年前有胸部外伤病史。查体:颈静脉怒张,心率较快,节律规则,心脏浊音界不大,肝大,肝下缘位于右肋弓下4cm,大量腹水,下肢水肿,脉搏细弱无力,动脉收缩压降低,脉压减小,可见Kussmaul征。
超声图片 如图2‐1‐230。

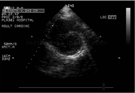
图2‐1‐230 缩窄性心包炎 A﹒显示心包回声增强,双心房增大,双心室相对较小;B﹒显示室间隔摆动,舒张期突向左室侧;C﹒房间隔舒张期突向左房侧;D﹒下腔静脉显著扩张
超声描述 左房增大,右房内径正常上限,左、右心室相对较小。室间隔呈矛盾运动,舒张期明显向左室一侧膨隆。房间隔向左房一侧轻度突出。升主动脉及主肺动脉内径不宽。左室壁厚度正常,静息状态下未见节段性室壁运动异常,左室整体收缩功能正常,舒张活动轻度受限。各瓣膜形态结构正常,收缩期三尖瓣见极少量反流,余瓣膜启闭正常,各瓣膜血流频谱随呼吸运动流速变化异常。心包腔内未见明显液性暗区。脏层心包增厚,最厚处约6mm,脏壁层粘连。下腔静脉内径增宽,塌陷指数减低,静脉内血流缓慢。腹腔内可见大量游离液体。
超声诊断 脏层心包增厚;左、右心房相对增大;下腔静脉增宽,塌陷指数减低;大量腹腔积液;结合临床考虑缩窄性心包炎。
临床最后诊断或病理诊断 缩窄性心包炎。
【讨论】
缩窄性心包炎是指心脏被致密厚实的纤维化或钙化心包所包绕,使心室舒张期充盈受限而产生一系列循环障碍的病症。心包膜常明显增厚,一般厚3~5mm,少数可达10mm以上。
病因:缩窄性心包炎多继发于各种急性或慢性心包炎,其病因在我国仍以结核性为主(约占50%),其次为化脓性心包炎或创伤性心包炎。少数可见于特发性、放射性、类风湿性、肿瘤性、尿毒症性、病毒性等心包炎之后。多数患者在临床上或病理上难以确定其原发病因。
病理:急性心包炎之后,随着渗液逐渐吸收可有纤维组织增生、心包增厚粘连、壁层与脏层心包融合钙化,形成坚硬的盔甲样瘢痕组织,使心脏及大血管根部受限。心包增厚可为弥漫性的,也可局限于心包局部。心脏大小仍正常,偶可较小;病程较长者,心肌可萎缩。心包病理显示为透明样变性的结缔组织,为非特异性;如有结核性肉芽组织或干酪样病变,提示为结核性。
病理生理:心包缩窄使心室舒张期扩张受限,心室舒张期充盈减少,心搏量下降。为维持心排血量,出现代偿性心率增快;同时上下腔静脉回流也因心包缩窄而受阻,出现静脉压升高、颈静脉怒张、肝大、腹水、下肢水肿等。吸气时周围静脉回流增多,而缩窄的心包使心室失去适应性扩张的能力,致静脉压增高,吸气时颈静脉扩张更明显,称Kussmaul征。
临床表现:心包缩窄多于急性心包炎后1年内形成,少数可达数年。常见症状为呼吸困难、疲乏、食欲不振、上腹胀满或疼痛;呼吸困难为劳力性,主要与心搏量降低有关。体征有颈静脉怒张、肝大、腹水、下肢水肿、心率增快,脉搏细弱无力,动脉收缩压降低,脉压减小,可见Kussmaul征。患者腹水常早于皮下水肿出现,且量较多,这与一般心力衰竭中所见相反。产生这种现象的机制尚未肯定,可能与心包的局部缩窄累及肝静脉回流以及静脉压长期持续升高有关。X线检查约半数以上患者可见心包钙化。
常见超声表现
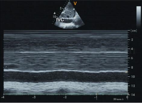
1﹒M型超声心动图 在M型超声心动图检查时心包增厚可表现为单条增厚的强回声线、两条同向移动的回声线或多条平行不动的回声线等,但上述表现特异性不强。缩窄性心包炎的其他征象包括主动脉波群和二尖瓣波群变化。可有双心房增大;左室后壁运动异常(舒张早期突然向后移动、舒张中晚期移动幅度明显减小或停止,使舒张期后壁内膜面呈斜直后移继以平直走行的直线样运动图形);室间隔舒张早期V字形凹陷(notch切迹);前室间隔运动异常(舒张早期突然向前运动,继之突然向后运动)、二尖瓣前叶EF斜率增快;下腔静脉增宽,塌陷指数减低,见图2‐1‐231。
2﹒二维超声心动图 提示缩窄性心包炎的征象包括心包不同程度增厚,回声增强,尤以房室瓣环处为著,见图2‐1‐232;部分患者的心包可出现钙化,见图2‐1‐233,钙化的心包后方可出现明显的声影;四腔心切面可显示双心房增大、双心室相对较小,见图2‐1‐232;剑下四腔心切面可显示心包膜增厚、回声增强的程度,心室收缩及舒张受限;大动脉短轴及左心室长轴切面均可显示左心房增大。部分患者可出现不同程度心包积液(图2‐1‐234),心包腔内可见絮状物回声。由于心房压力增高,上下腔静脉、肝静脉扩张,且扩张的下腔静脉、肝静脉内径随呼吸变化不明显。

图2‐1‐231 M型超声心动图显示下腔静脉扩张,塌陷指数减低

图2‐1‐232 缩窄性心包炎,右室侧壁及右房室沟心包回声增强

图2‐1‐233 缩窄性心包炎,心包钙化
3﹒脉冲多普勒超声心动图 主要表现为左房室瓣口舒张早期前向血流速度明显增高、EF斜率快速下降、舒张晚期血流速度减慢,形成E峰高尖而A峰低小、E/A比值明显增大的图像,见图2‐1‐235。但此征象并不具有特异性,也可见于限制型心肌病或严重左房室瓣反流。缩窄性心包炎患者可出现呼气时二尖瓣E峰增高,吸气时下降,见图2‐1‐236;吸气时主动脉血流速度也明显减低,呼气时血流速度增快。
4﹒彩色多普勒超声心动图 下腔静脉和肝静脉出现逆向血流信号。肝静脉收缩期前向流速(S)与舒张早期前向流速(D)比值(S/D)<1,见图2‐1‐237。

图2‐1‐234 缩窄性心包炎合并心包积液(PE),左室侧壁脏层心包增厚

图2‐1‐235 缩窄性心包炎患者,二尖瓣血流频谱E峰 明显升高,E/A增大

图2‐1‐236 缩窄性心包炎,呼气时二尖瓣血流频谱E峰 增高,吸气时下降(I N:吸气;EX:呼气)

图2‐1‐237 缩窄性心包炎,肝静脉血流频谱S/D<1
鉴别诊断
主要应与限制型心肌病鉴别。二、三尖瓣及肺静脉血流频谱随呼吸变化的差异是鉴别缩窄性心包炎与限制型心肌病的主要依据。两疾病的相同之处是左、右房室瓣口血流的E峰减速时间缩短。主要差别点包括:①缩窄性心包炎二、三尖瓣口和肺静脉血流频谱随呼吸变化明显,吸气时二尖瓣E波较呼气时减小幅度≥25%,三尖瓣E波较呼气时幅度增大≥40%;肺静脉血流频谱D、S波明显减低,且随呼吸变化明显。限制型心肌病无这种异常。②限制型心肌病时,收缩期肺静脉血流速度明显减低而舒张期前向血流速度增加,表明左房压力升高;而缩窄性心包炎时收缩期和舒张期血流速度大致相等。③缩窄性心包炎呼气时肝静脉内血流逆转更为明显、左房室瓣口血流速度减低,而限制型心肌病血流逆转在吸气时更为明显。④缩窄性心包炎时心包增厚,而心内膜无增厚。限制性心肌病时心内膜增厚、回声增强,而心包无增厚,在不典型病例这种改变不明显。但上述鉴别点具有一定的局限性,需要结合临床加以区别。主要鉴别点见表2‐1‐3。

表2‐1‐3 缩窄性心包炎与限制型心肌病鉴别
注意事项及误诊漏诊原因分析
1﹒部分缩窄性心包炎临床表现不典型,诊断往往存在困难,超声检查是目前首选的无创性诊断方法,可发现许多不同程度的异常征象,如心包增厚、钙化,室间隔运动异常,吸气时二尖瓣E峰幅度减低等,可为临床诊断及制定治疗方案提供必要的信息。
2﹒由于心包与肺相邻,超声观测心包是否增厚、钙化面临困境。作者体会,采用剑下切面观察,心包与膈肌、肝脏相邻,如果心包有增厚、钙化,则易于观察、判断。当然,此窗口未见异常改变并不能排除其他部位心包异常。
3﹒隐匿性缩窄性心包炎患者临床表现有疲乏、呼吸困难及胸部不适,体检时难以发现缩窄性心包炎典型体征。超声检查下腔静脉、肝静脉扩张不明显。这时要多切面观察心包厚度、室间隔有无异常运动、二尖瓣和主动脉瓣口血流频谱的变化,仔细测量心房大小等。
4﹒采用多普勒超声心动图结合房室瓣、肺静脉血流呼吸性变化来区别缩窄性心包炎与限制型心肌病有一定局限性,如呼吸深度、取样容积的置放、左房压力水平等都可能影响诊断的准确性。左房压过高时左房室瓣口血流的呼吸性变异不明显,可采用半坐位、坐位等减低前负荷的方法来增大血流呼吸性变异。
来源:《超声医学》
作者:唐杰 姜玉新
参编:姚克纯 尹立雪 赵博文 张梅 王建华
页码:267-272
出版:人民卫生出版社
- 评价此内容
- 我要打分
近期推荐
热门关键词
最新会议
- 2013循证医学和实效研究方法学研讨会
- 欧洲心脏病学会年会
- 世界帕金森病和相关疾病2013年会议
- 英国介入放射学学会2013年第25届年会
- 美国血液学会2013年年会
- 美国癫痫学会2013年第67届年会
- 肥胖学会 2013年年会
- 2013年第9届欧洲抗体会议
- 国际精神病学协会 2013年会议
- 妇科肿瘤2013年第18届大会
- 国际创伤压力研究学会2013年第29届…
- 2013年第4届亚太地区骨质疏松症会议
- 皮肤病协会国际2013年会议
- 世界糖尿病2013年大会
- 2013年国际成瘾性药年会
- 彭晓霞---诊断试验的Meta分析
- 武姗姗---累积Meta分析和TSA分析
- 孙凤---Network Meta分析
- 杨智荣---Cochrane综述实战经验分享
- 杨祖耀---疾病频率资料的Meta分析
合作伙伴
Copyright g-medon.com All Rights Reserved 环球医学资讯 未经授权请勿转载!
网络实名:环球医学:京ICP备08004413号-2
关于我们|
我们的服务|版权及责任声明|联系我们
互联网药品信息服务资格证书(京)-经营性-2017-0027
互联网医疗保健信息服务复核同意书 京卫计网审[2015]第0344号




会员登录

