间断胸闷伴一过性意识丧失 辨心脏杂音道出真实病因
86岁男性患者,间断胸闷20余年,因突发一过性意识丧失入院。在家属因患者高龄拒绝行冠状动脉造影检查的情况下,两次超声心动图检查确诊为S型室间隔伴左心室流出道狭窄,左心室舒张功能不全。病例思考:如何从超声心动图鉴别诊断心脏杂音?S形室间隔与在心室流出道狭窄的超声特点有哪些?超声心动图如何评估心脏收缩、舒张功能?
病例摘要
主诉
男性,86岁。主因“间断胸闷20余年,7小时前一过性意识丧失”收入院。
现病史
20余年前患者于劳累后间断出现胸闷、憋气,偶伴胸痛,每次发作持续约数分钟,休息或服用 “速效救心丸”后缓解,无头痛、头晕,无恶心、呕吐,未予诊治。7小时前,患者于活动后发作胸闷、憋气,伴头晕、大汗,突发意识丧失,无手足抽搐、二便失禁,无恶心、呕吐,约30分钟后患者意识自行恢复,无肢体活动障碍,仍感胸闷、憋气,伴喘息,为进一步诊治以 “急性冠状动脉综合征,心律失常”收入院。
既往史
否认高血压、糖尿病病史。
家族史
否认家族遗传病史。
体格检查
体温37℃,脉搏91次/分,呼吸22次/分,血压90/60mm Hg。神志清,言语流利。发育正常,营养中等。颈静脉无怒张。双肺底可闻及湿啰音。心率91次/分,律不齐,胸骨左缘3、4肋间可闻及3/6级收缩期杂音。腹软,无压痛、反跳痛、肌紧张。双下肢无水肿。
辅助检查
心肌酶学:CK 1600U/L,CK-MB 59.5U/L,肌钙蛋白I 0.76ng/ml。心电图:窦性心律;频发房性期前收缩;Ⅰ、a VL、V 4~V 6导联ST段压低0.05~0.1m V, T波低平 (图95-1)。动态心电图:窦性心律;阵发房颤伴快速心室反应,伴室内差异性传导;室性期前收缩3次/24小时,房性期前收缩16 868次/24小时,短阵房速6次/24小时;冠状动脉供血不足。超声心动图:各心腔大小、室壁运动幅度正常,左室假腱索,左室舒张功能下降,左室收缩功能正常。
初步诊断
急性非ST段抬高型心肌梗死、心功能Ⅱ级(Killip分级)。
诊疗经过
入院后,依据患者临床表现、心电图改变及心肌坏死标志物升高,诊断为急性非ST段抬高型心肌梗死,心功能Ⅱ级(Killip分级)。给予扩张冠状动脉、抗血小板聚集及抗凝治疗。因患者高龄,家属拒绝进一步行冠状动脉造影检查。住院期间患者两次发作宽QRS波心动过速伴意识丧失,一次室颤,均经电除颤转复为窦性心律。复律后患者出现急性喘憋、端坐呼吸伴大汗,查体示双肺满布干、湿啰音,诊断为急性左心衰竭。经减轻心脏负荷、利尿治疗后症状缓解,心脏杂音随症状好转反而增强,杂音强度可随患者体位变动而变化。
复查超声心动图:各房室大小正常;基底段室间隔凸向左心室流出道,主动脉与室间隔夹角变小,导致左室流出道狭窄,收缩期二尖瓣前叶及腱索前向运动 (SAM征);多普勒血流频谱示左心室流出道快速血流和二尖瓣反流形成双束分叉血流。诊断为S型室间隔并左心室流出道狭窄、左心室舒张功能下降、左心室收缩功能正常(图95-2、95-3)。口服β受体阻滞剂、抗血小板药物治疗后,患者好转出院。
主要诊断
S型室间隔伴左心室流出道狭窄,左心室舒张功能不全。

图95-1 入院心电图

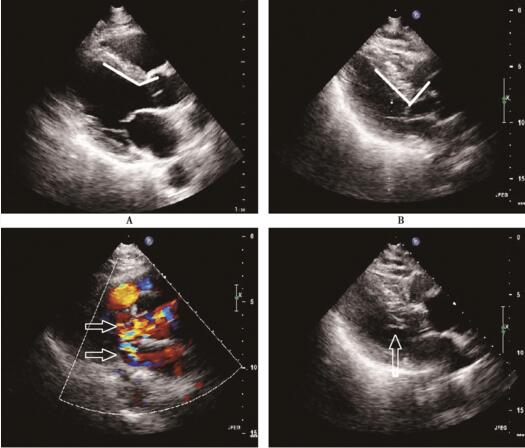
图95-2 超声心动图胸骨旁在心室长轴切面图像 A:正常人左心室流出道室间隔与主动脉夹角呈钝角;B:本例该患者左心室流出道室间隔与主动脉夹角变小呈近似直角;C:本例患者左心室流出道收缩期快速血流与二尖瓣前叶收缩期前向运动,引起二尖瓣反流共同构成特征性分叉血流;D:二尖瓣前叶腱索收缩期前向运动

图95-3 二维超声心动图心尖两腔切面、在心室流出道血流频谱 A:心尖两腔切面示室间隔基底部略增厚,突向左室流出道 (箭头所示);B:左心室流出道峰值血流速度达4m/s,左心室流出道压力阶差64mm Hg
病例思考
1.S形室间隔与在心室流出道狭窄的超声特点和可能机制是什么?
S形室间隔(sigmoid-shaped septum)通常被认为是老龄化过程中室间隔结构的正常改变,多无确切临床意义,但极易漏诊或误诊。由于明显S形室间隔的临床表现、超声心动图征象与肥厚型心肌病类似,亦可引发左心室流出道梗阻,导致高龄患者发生恶性心律失常甚至猝死,故需引起临床医生和超声心动图医生高度重视。
S形室间隔导致左心室流出道梗阻的机制迄今尚未明确,可能与长期高血压或主动脉粥样硬化有关。有学者认为,S形室间隔为肥厚型心肌病亚型。但随后研究发现S形室间隔与肥厚型心肌病有所不同,前者病理改变为心内膜纤维组织增厚、轻度心肌间质纤维化而无心肌细胞排列紊乱。S形室间隔患者超声心动图可特征性表现为室间隔基底部增厚并突入左心室流出道,同时增厚的室间隔使室间隔与主动脉间夹角变小。正常人此角度>120°(图95-1A),S形室间隔患者角度明显减小,与增厚的室间隔基底部共同引起左心室流出道梗阻(图95-1B)。
左心室流出道梗阻患者存在SAM现象的可能机制:①左心室流出道狭窄致血流速度加快,流出道为相对负压,吸引二尖瓣前叶、腱索前向运动,即Venturi效应;②由于肥厚的室间隔收缩运动减弱,左心室后壁代偿性运动增强,后基部的有力收缩迫使二尖瓣前叶进入血液几乎排空的左心室流出道;③由于乳头肌排列紊乱,心脏收缩时肥厚的室间隔挤压绷紧的腱索致腱索后移,而二尖瓣前叶上翘前移。由于左心室流出道狭窄和二尖瓣前叶收缩期前向运动,造成多普勒血流频谱呈现特征性左心室流出道快速血流和二尖瓣反流形成的双束分叉血流(图95-1C)。
2.S形室间隔、在心室流出道狭窄的临床表现与治疗有哪些?
S形室间隔可致左心室流出道狭窄,收缩期左心室流出道压差>30mm Hg时患者可出现临床症状。S形室间隔患者的常见症状包括呼吸困难、胸闷、乏力等,但可随左心室流出道梗阻程度不同而表现各异。
主要治疗目标的主要为减轻左心室流出道梗阻、降低左心室流出道压差,缓解临床症状。部分负性肌力药物因可减弱左心室收缩力、增加舒张期心室舒张,对左心室流出道患者有效。如β受体阻滞剂、丙吡胺可以显著降低患者左心室流出道压差;而钙拮抗剂、利尿剂、血管紧张素转换酶抑制剂和血管紧张素Ⅱ受体拮抗剂等具有潜在血管舒张效应,可能加重血流动力学异常。
手术治疗方面,乙醇(酒精)消融术治疗S形室间隔已取得较满意的临床效果;Fujita等认为经主动脉室间隔切除术用于治疗该类患者需谨慎,仍建议内科保守治疗。
3.超声心动图对心脏杂音的诊断和鉴别诊断有何价值?
(1)S形室间隔相关心脏杂音:
S形室间隔引起的心脏杂音与左心室流出道狭窄程度、SAM征造成的收缩早期二尖瓣反流有关。S形室间隔患者二尖瓣反流量多不大,但由于左心室流出道狭窄致血流速度较快,二尖瓣反流杂音与流出道狭窄杂音共同引起较响的心尖区内侧或胸骨左缘下段喷射性收缩期杂音。心脏杂音的特点表现为增加心肌收缩力的因素使杂音增强,而减弱心肌收缩力的因素使杂音减弱。
本例患者由于患急性冠状动脉综合征,应用硝酸酯类药物后杂音变响;并发心力衰竭后由于心肌收缩力减低,左心室流出道压差减小致杂音减弱,而在心力衰竭控制后杂音增强;患者坐位时因回心血量减少使杂音增强,平卧位时回心血量增加而杂音减弱,故杂音不断变化致临床表现不同寻常。超声心动图表现为室间隔基底部增厚,增厚的室间隔与主动脉间角度变小导致左心室流出道梗阻、SAM征,以及左心室流出道快速血流和二尖瓣反流形成双束分叉血流。
(2)乳头肌功能不全相关心脏杂音:
乳头肌功能不全指由于缺血、坏死、纤维化或其他原因,导致房室瓣腱索附着的乳头肌收缩功能障碍或其方位改变不能维持正常二尖瓣关闭状态,出现二尖瓣关闭不全的临床综合征。
乳头肌功能不全通常指左心室乳头肌病变。左心室两组乳头肌基底部均在心尖附近,前外侧乳头肌起于左心室前壁,具有来自左冠状动脉前降支对角支和回旋支边缘支的双重血供,同时动脉间有较多的侧支吻合;后内侧乳头肌起于左心室后壁、室间隔交界处,常为单支血管供血,右冠状动脉优势者 (90%)由后降支分支供血,左冠状动脉优势者(10%)由回旋支供血。因此,后内侧乳头肌受累较前外侧乳头肌多见。乳头肌收缩牵拉瓣膜做功最大,但因处于心室最内层供血来自冠状动脉的终末部分,故冠状动脉供血减少时最易发缺血与坏死。
乳头肌功能不全的主要体征是闻及心前区收缩期杂音 (2~4级)。杂音部位与传导方向取决于受累的乳头肌,后内侧乳头肌受累时反流血液冲击室间隔和主动脉根部,杂音在靠近胸骨处最响并向心底部传导,易被误诊为主动脉瓣狭窄或室间隔缺损;前外侧乳头肌受累时反流血液冲击左心房后壁,杂音向左腋下传导。而且,乳头肌功能不全的杂音具有易变性,期前收缩时杂音最响,期前收缩后减弱;心绞痛发作时较响,缓解后减弱;吸气或蹲踞时杂音增强,反之减弱;在不同心动周期中可呈收缩早期、中期、晚期或全收缩期杂音。
乳头肌完全断裂后,二尖瓣几乎丧失活动,左心房、左心室为同一个较大心腔,无血液涡流,因而无杂音。乳头肌功能不全还可出现第一心音增强和舒张期奔马律 (85%),原因在于乳头肌功能减退使收缩早期腱索处于松弛状态,心室继续收缩致其压力骤升,迫使已关闭的二尖瓣突出于左心房,突然拉紧松弛的腱索继发第一心音增强。此外,乳头肌功能不全患者还可伴有喀啦音,甚至仅有喀啦音而无杂音。乳头肌功能不全患者超声心动图常表现为相应冠状动脉供血区室壁运动幅度减低,收缩期增厚率减低,心腔扩大;二尖瓣叶厚度、弹性可正常,瓣叶活动幅度小、瓣口小,二尖瓣与室间隔距离增大。
本例患者因急性冠状动脉综合征入院,医生应首先考虑收缩期杂音可能原因为乳头肌功能不全或腱索断裂,但该患者杂音特点与乳头肌功能不全杂音相反,胸闷、憋气发作时杂音减弱而心力衰竭缓解后增强,且两次超声心动图均未发现节段性室壁运动异常,且在收缩早期见二尖瓣前叶被吸向室间隔引起少量二尖瓣反流,故不支持乳头肌功能不全诊断。
(3)室间隔穿孔相关心脏杂音:
室间隔穿孔是急性心肌梗死的严重并发症之一,发生率为1%~2%,好发于首发心肌梗死患者,男性较女性多见。由于室间隔发生缺血并出现破裂导致继发性室间隔缺损,突发室间隔穿孔导致血流动力学急骤变化加之心肌梗死导致的心力衰竭,患者病死率较高。临床体征为急性心肌梗死患者于胸骨左缘3~4肋间闻及响亮收缩期杂音,常伴震颤。心肌梗死后室间隔穿孔与先天性室间隔缺损在形成机制、病理生理、手术方法与手术时机选择方面差异较大。超声心动图可显示室间隔穿孔的部位、大小,并可对心室间隔过隔血流的分流量、心脏功能做出较准确评估。
4.超声心动图如何评估心脏收缩、舒张功能?
(1)左心室射血分数保留心力衰竭临床诊断:
心力衰竭的定义为心室充盈压升高,静息或运动时由于心功能不全引起外周供氧不足。2007年,欧洲心脏病学学会 (ESC)心力衰竭和心脏超声组发表左心室射血分数正常心力衰竭诊断专家共识。2008年,ESC心力衰竭指南提出射血分数保留的心力衰竭(heart failure with preserved ejection fraction,HF-PEF)概念。
HF-PEF诊断需满足三个条件:①心力衰竭症状或体征:由于部分患者仅存在呼吸困难症状,缺乏体征、液体负荷,故症状可作为诊断HF-PEF的临床证据;②左心室收缩功能正常或轻度异常:LVEF>50%(或>45%,2008年ESC标准),左心室无增大,左心室舒张末期容积指数(LVEDVI)<97ml/m2;③左心室舒张功能不全证据:有创性评价左心室舒张功能不全指标是HF-PEF的确切证据,包括左心室舒张末期压(LV LVEDP)>16mm Hg或平均肺毛细血管楔压(PCWP)>12mm Hg。无创性评价左心室舒张功能不全指标:①二尖瓣血流频谱舒张早期血流速度 (E)与组织多普勒二尖瓣环频谱舒张早期峰值速度(E')比值(E/E')>15提示左心室舒张功能不全,E/E'>8可除外HFPEF,E/E'为8~15提示可能存在左心室舒张功能不全,但不能做出肯定性诊断,应结合其他无创指标;②左心室心肌质量指数,女性>122g/m2,男性>149g/m2对HF-PEF有充分诊断价值;③左心房容积指数>40证明存在左室舒张功能不全,<29ml/m2可排除HF-PEF;④心电图证明为房颤;⑤等容舒张时间(IVRT)、E峰减速时间(EDT)、肺静脉血流频谱AR波持续时间与二尖瓣血流频谱A波持续时间差值等其他指标亦有一定诊断价值。
(2)心力衰竭常见病因:
首先,心脏负荷加重,心脏负荷分为前负荷、后负荷。前者或称容量负荷,是指心脏在收缩前所承受的负荷,相当于心脏舒张末期容量,其大小决定心肌收缩的初长度;后者或称压力负荷,是指心腔在收缩时必须承受的负荷,相当于心腔壁的收缩张力,一般常以主动脉压作为左心室后负荷的指标。心脏负荷过重是心力衰竭的常见原因。例如主动脉瓣狭窄、高血压或肺动脉高压患者,可见心脏后负荷即压力负荷增重,前负荷即容量负荷过重所致心力衰竭多见于输液量过多、输液速度过快等患者。动-静脉瘘或严重贫血患者,由于长期心排出量增多、回心血量增多,心脏所受的容量负荷加重,也可引起心力衰竭。在这种情况下,一般患者先发生心肌肥大等代偿性变化,使心功能可长期处于相对正常状态,最终向代偿不全转化至心力衰竭。
其次,心肌代谢障碍。心肌对氧的需求量很大,必须有充分的血液和氧的供给才能保持正常功能。心肌供血不足的最常见原因是冠状动脉粥样硬化,由于冠状动脉血流量减少,供血部位心肌呈相对或绝对供血不足,心肌收缩力逐渐减弱导致心力衰竭。冠状动脉闭塞引起的急性心肌梗死,也是心力衰竭的重要原因。对于高血压患者,心肌代偿性肥大所致心肌供血相对不足亦可成为心力衰竭的致病因素之一。此外,重度贫血、维生素B1缺乏可分别引起心肌供氧不足和生物氧化过程的障碍,进而诱发心力衰竭。
再次,弥漫性心肌病。心肌炎、退行性心肌病等原发性心肌病变患者,可因肌原纤维损害使心肌收缩性减弱。如急性心肌炎,损害严重或发展迅速可导致急性心力衰竭;若损害较轻或病变呈慢性过程,对损害的反应主要为心肌肥大等代偿性变化,在相当一段时间内心功能可处于相对正常状态,在一定条件下代偿状态可转向代偿不全致心力衰竭。
(3)心力衰竭的能量代谢障碍机制:
心肌主要借助脂肪酸、葡萄糖等能源物质的有氧氧化获得能量,且心肌细胞的氧需要量较大、摄取能力很强,正常安静情况下冠状动、静脉血氧含量差高达14ml%。可见,心肌氧供给不足或有氧氧化过程障碍,均可使心肌细胞内能量生成不足进而导致心肌收缩性减弱。另外,心肌细胞内氧化磷酸化过程所产生的ATP,在心肌兴奋-收缩偶联过程中受肌球蛋白头部ATP酶作用水解,为心肌收缩提供能量。
实验表明,部分动物的心肌由肥大转向衰竭时,心肌耗氧量和ATP含量并不减少但完成的机械功显著减少,说明心肌细胞在利用ATP化学能作机械功的过程存在障碍,心肌能量利用发生障碍。有学者发现,随心肌负荷过重继发心肌肥大时,可发生心肌收缩蛋白结构变化、肌球蛋白头部ATP酶活性降低、ATP水解障碍,导致能量利用障碍、心肌收缩性减弱。这种现象可见于老年人、甲状腺功能低下患者。关于心肌收缩蛋白质结构变化的机制尚未阐明。结合本病例,患者为高龄男性,罹患急性非ST段抬高型心肌梗死,可能存在心肌能量利用障碍引起心肌收缩减低。
急性或长期慢性心肌缺血所致心肌坏死、心肌顿抑、心肌冬眠以及局灶性或弥漫性心肌纤维化直至瘢痕形成,均可引起心肌电活动障碍,包括冲动的形成、发放及传导异常致心律失常。心动过缓、各类型房室传导阻滞、心动过速、快速心房扑动与心房颤动皆可使心排出量减少,诱发、加剧心力衰竭。虽然超声心动图可见左心室射血分数正常,但多存在左心室舒张功能明显减退,患者发作心动过速可使静息处于代偿状态的心功能骤然下降,出现心力衰竭症状。
5.超声心动图在S形室间隔诊疗决策中有何作用?
(1)明确心脏结构:
该患者第一次床旁超声心动图因图像质量差,未能识别出左心室流出道狭窄,误将室间隔局限性增厚认为是假腱索附着点突出;第二次超声心动图医生虽然经过仔细观察,最终确定左心室流出道狭窄诊断,但难以解释原因,经过仔细查找文献及观察数例高龄患者后确定为S形室间隔。
(2)识别杂音来源:
对于胸骨左缘闻及的收缩期杂音,医生往往会考虑以下情况:风湿性心脏病、先天或老年钙化性主动脉瓣狭窄、先天性心脏病如室间隔缺损或房间隔缺损、室间隔穿孔、梗阻性肥厚型心肌病,以及S形室间隔。对于这些疾病的诊断和鉴别诊断,超声心动图的作用无可取代。
(3)评价心脏收缩、舒张功能:
心脏结构改变往往导致心脏功能变化,S形室间隔由于室间隔与左心室流出道夹角变小,致使左心室流出道狭窄、左心室压力负荷增重。长此以往可出现左心室舒张功能受损,加之可能存在的原发心脏疾患,左心室收缩功能亦可出现不同程度降低。具体到本例患者,超声心动图通过精确评估心脏功能,对临床治疗决策、预后评估发挥重要价值。
(4)结合临床、合理诊断:
S形室间隔多见老年人,临床需与肥厚型心肌病相关左心室流出道狭窄鉴别。S形室间隔由于病理改变为单纯室间隔增厚而无心肌细胞排列紊乱,故超声心动图表现无心肌回声明显颗粒增粗、亦无明显增强。S形室间隔多见于70岁以上老年患者,多无明确心脏病史,超声心动图可见室间隔基底部轻度增厚但与主动脉夹角减小。
另外,S形室间隔伴左心室流出道狭窄者不存在或仅呈轻微SAM征;梗阻性肥厚型心肌病患者二尖瓣前叶收缩期更为贴靠室间隔,SAM征更为明显。除二尖瓣前叶外,二尖瓣后叶、腱索都可发生收缩期向前移位。二尖瓣SAM现象往往可引起左心室流出道梗阻,而腱索SAM现象多不致诱发梗阻。SAM现象虽然与左心室流出道梗阻有关,但某些患者虽然二尖瓣前叶与室间隔接触时间较长,但可梗阻相关无血流动力学障碍,原因可能在于瓣叶与室间隔的不完全性接触。
值得注意的是,即使未见SAM现象,也不能完全排除左心室流出道梗阻,这归因于超声声束仅能扫查到部分左心室流出道,难以显示某一区域室间隔与二尖瓣的不均匀性接触。因此,SAM现象并非为左心室流出道狭窄特有,还可见于主动脉瓣狭窄、主动脉瓣关闭不全、D型大动脉转位、二尖瓣脱垂、淀粉样心肌病、甲状腺功能减退症、心包积液、高血压、低血容量状态等。但在这些情况下,SAM现象一般较轻,即收缩期二尖瓣前叶未与室间隔相接触。而且,左心室后壁向上运动还可造成假性SAM现象,此时二尖瓣前叶运动速度低于左心室后壁运动速度。由于左心室流出道狭窄和二尖瓣前叶收缩期前向运动,多普勒血流频谱可见特征性左心室流出道快速血流和二尖瓣反流双束分叉血流。所以,二尖瓣反流患者未探及二尖瓣环扩张、二尖瓣叶脱垂、二尖瓣瓣叶穿孔、乳头肌功能不全、腱索断裂等原因时,超声心动图医生需仔细观察左心室流出道部位。
病例启示
1.很多心脏结构变异未能被充分认识乃至影响到疾病的正确诊断,超声心动图医生应在检查时仔细观察、探究并佐以合理的分析、判断,不放过任何蛛丝马迹。
2.S形室间隔在国外报道已有几十年,但国内报道甚少,究其原因主要是心血管医生与超声心动图医生脱节,二者交流互通对提高双方诊断准确至关重要。
3.快速心室率有时会影响超声心动图医生对超声心动图多普勒血流的分析,保存图像、逐帧缓慢回放有助于细致观察。
来源:《超声心动图与临床决策:疑难病例解析》
作者:朱天刚
参编:丁茜 权欣 王欣 丁文虹 马为
页码:455-462
出版:人民卫生出版社
- 评价此内容
- 我要打分
近期推荐
热门关键词
最新会议
- 2013循证医学和实效研究方法学研讨会
- 欧洲心脏病学会年会
- 世界帕金森病和相关疾病2013年会议
- 英国介入放射学学会2013年第25届年会
- 美国血液学会2013年年会
- 美国癫痫学会2013年第67届年会
- 肥胖学会 2013年年会
- 2013年第9届欧洲抗体会议
- 国际精神病学协会 2013年会议
- 妇科肿瘤2013年第18届大会
- 国际创伤压力研究学会2013年第29届…
- 2013年第4届亚太地区骨质疏松症会议
- 皮肤病协会国际2013年会议
- 世界糖尿病2013年大会
- 2013年国际成瘾性药年会
- 彭晓霞---诊断试验的Meta分析
- 武姗姗---累积Meta分析和TSA分析
- 孙凤---Network Meta分析
- 杨智荣---Cochrane综述实战经验分享
- 杨祖耀---疾病频率资料的Meta分析
合作伙伴
Copyright g-medon.com All Rights Reserved 环球医学资讯 未经授权请勿转载!
网络实名:环球医学:京ICP备08004413号-2
关于我们|
我们的服务|版权及责任声明|联系我们
互联网药品信息服务资格证书(京)-经营性-2017-0027
互联网医疗保健信息服务复核同意书 京卫计网审[2015]第0344号




会员登录

