辨别真假动脉瘤 影像学技术巧利用
52岁女性患者,间断胸闷、憋气,经X线胸片和产生心动图确诊为升主动脉假性动脉瘤、结核性心包炎。本例中重点为升主动脉假性动脉瘤的诊断依据和如何用心血管影像技术诊断结核性心包炎。升主动脉假性动脉瘤较为少见,合理利用影像学技术是辨别真假动脉瘤的关键。
病历摘要
女性,52岁。主因“胸闷、憋气4个月,发现心内肿物2周”于2014年1月9日收入院。
现病史
患者4个月前无明显诱因出现胸闷、憋气,活动后加重,伴咳嗽、咳少量白色黏痰,伴发热,体温最高达39.5℃,无恶心、呕吐。于外院行胸部CT提示双肺多发斑片结节条索影、心包积液,考虑为继发性肺结核、结核性心包炎,给予异烟肼、利福平、乙胺丁醇抗结核治疗,并穿刺置管引流心包积液。实验室检查示心包积液结核抗体阳性,血结核抗体、痰找结核分枝杆菌阴性,经置管引流、抗结核治疗后患者好转出院并定期复查。2周前患者复查超声心动图示左心房内团块,进一步行经食管超声心动图示升主动脉起始后方、左心房前方混合性团块,不除外假性动脉瘤可能;微量心包积液,深度约4mm。为求进一步诊治收住我科。
既往史
平素身体健康。无肝炎病史及其密切接触史,无结核病史及其密切接触史。无手术史。3年前骑摩托车摔倒,当时无特殊不适。无血制品输注史,无过敏史,预防接种史不详。
个人史
原籍出生,无外地久居史,无血吸虫病疫水接触史,无地方病、传染病流行区居住史。无毒物、粉尘及放射性物质接触史,生活较规律,无缺少体力活动等不健康生活习惯,吸烟20年,10支/日,已戒烟。无饮酒史。无冶游史,无性病史。
家族史
无家族性遗传病、传染病史,无早发冠心病家族史,无高血压、糖尿病家族史。
体格检查
体温36.8℃,脉搏88次/分,呼吸19次/分,血压124/85mm Hg。神清,一般情况尚可。呼吸规整,两肺叩诊清音,双肺呼吸音清,未闻及干、湿啰音。心前区无隆起,心尖搏动正常,位于左侧第4肋间锁骨中线内侧0.5cm;触诊心尖搏动正常,位置同上,无震颤,无心包摩擦感;叩诊双侧浊音界正常;心率88次/分,律齐,心音S1、S2正常,未闻及杂音、心包摩擦音。腹软,无压痛,肝、脾肋下未及。双下肢不肿。无异常血管征。
辅助检查
入院后进一步完善超声心动图:左心房上方探及一等回声团块,大小3.6cm×3.5cm,回声欠均匀、边界不清晰,部分与左心房壁、主动脉后壁粘连;升主动脉后壁距主动脉瓣约1.2cm处探及回声失落,大小约0.7cm,后方为无回声区,该无回声区位于占位右前方,彩色多普勒于回声失落处探及升主动脉与无回声区收缩期双向血流交通信号,最大流速约0.9m/s;占位左侧为肺动脉主干、右肺动脉,主肺动脉、右肺动脉右侧边界显示不清晰,彩色多普勒示肺动脉内血流未见明显异常。结论:左心房上方占位,性质待查 (肿瘤?血栓?),占位与主动脉后壁粘连,假性动脉瘤形成可能性大,不除外占位累及肺动脉主干、右肺动脉可能(图50-1、50-2)。
X线胸片:双肺纹理增粗,未见明显浸润、实变影,双肺门不大、纵隔居中、心影饱满稍大,两膈光滑、双侧肋膈角锐利;右前斜位见食管压迹;左前斜位见心后缘与脊柱稍重叠,左主支气管未见抬高,心前缘膨隆,降主动脉与脊柱重叠;结论:心影稍大,左心房、右心室轻度增大可能,请结合临床。胸部CT:升主动脉近段后壁破口、向后突出,见片状稍高密度影,大小4.7cm×6.0cm,平扫CT值约45 Hu,增强扫描可见部分造影剂充盈,相邻血管、左心房受压,破口紧邻左冠窦 (图50-3);胸主动脉内膜光滑,腹主动脉局灶性钙化斑块,腹主动脉分支走行良好,未见异常狭窄、扩张;扫及范围内十二指肠降部向内囊袋状突出影,内见混杂高密度影。结论:升主动脉近段后壁破口、向后突出、假性动脉瘤形成,建议进一步检查;十二指肠降部憩室,憩室内有肠石。
治疗经过
患者入院后行一般对症治疗,并完善各种术前检查。考虑患者因 “胸闷伴发热4个月余”以 “结核性心包积液、升主动脉假性动脉瘤?”入院,入院后行结核病相关检查并请示呼吸内科,目前暂不考虑活动性结核病,血管CT显示升主动脉近段后壁破口、向后突出、假性动脉瘤形成。目前诊断为升主动脉假性动脉瘤,拟于全麻下行动脉瘤切除术。

图50-1 入院超声心动图 A:主动脉长轴切面示距离主动脉根部约2cm处可见一约1cm的破口,主动脉后壁后方可见一无回声区(2.5cm×1.7cm),为假性动脉瘤;无回声区后方可见一等回声团块,大小3.5cm×3.6cm,为假性动脉瘤内血栓形成,并压迫右肺动脉;B:主动脉长轴切面彩色多普勒示收缩期血流从主动脉经破口至主动脉后壁后方无回声区;C:升主动脉短轴切面示主动脉后壁破口和血栓;D:升主动脉短轴切面彩色多普勒示收缩期血流从主动脉经破口至主动脉后壁后方无回声区。Ruptue:破口;LA:左心房;Asc:升主动脉;TH:血栓;PA:肺动脉

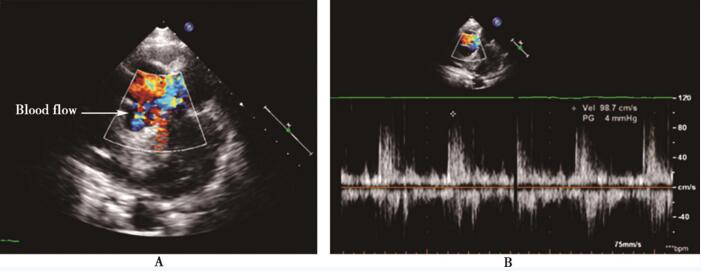
图50-2 入院超声心动图 A:升主动脉短轴切面示主动脉假性动脉瘤内血流信号; B:脉冲多普勒探查破口处血流速度。Blood flow:血流

图50-3 胸部CT升主动脉近段后壁破口向后突出、假性动脉瘤形成
1月21日,行麻醉诱导、气管插管成功,留置有创血流动力学监测,经食管超声心动图提示 “主动脉根部距离瓣环上方约2cm处主动脉后壁有长约2cm连续性中断,主动脉外囊实性包块,其内可见与主动脉相通的血流信号”。患者仰卧位,常规消毒铺巾,右侧腹股沟切口长约4cm,依次切开皮肤、皮下组织,显露血管鞘,分离暴露股动脉备用。正中开胸,可见心包与心脏粘连严重,谨慎分离粘连后将右心室游离面、右心房、右心室下壁、右心室心尖部、左心室侧壁粘连钝性、锐性分离,分离主动脉粘连,发现主动脉根部局限型膨出,由上腔静脉、左心房顶、右肺动脉、右心耳包绕,其内未触及搏动。分离过程中,创面渗血较多。肝素化,经右侧股动脉插管、右心房二极管,建立体外循环,逐渐降温并阻断升主动脉,主动脉根部顺灌含血停搏液,心脏停搏满意。升主动脉前壁由左上向右下切开,长约4cm,悬吊主动脉壁显露主动脉内。探查发现主动脉无冠瓣瓣上约2cm处主动脉壁有一处直径约2cm缺损,其外有一腔隙,内可见大量陈旧性机化血栓,清除部分血栓并送病理,取人工血管8cm一段作为补片,4-0滑线连续缝合修补主动脉壁缺损。逐渐复温,左心持续排气,4-0滑线带垫片连续缝合主动脉切口,开放升主动脉阻断钳,心脏自动复搏。体外循环调整、辅助,停机过程顺利,鱼精蛋白中和肝素,6-0滑线连续缝合右侧股动脉切口,2-0可吸收线连续按层缝合关闭右侧腹股沟处切口。点数无误、严密止血、关闭心包,留置心包纵隔引流管,逐层关胸。术毕,患者安返监护病房。
1月26日,体格检查两肺湿啰音,急查X线胸片:胸骨区、胸壁软组织内可见环状金属影,双肺纹理清晰,右肺下野可见片状高密度影,右侧胸膜增厚、粘连,双肺门不大,纵隔居中,心影饱满,左膈、肋膈角显示不清,右膈光滑、肋膈角锐利。结论:右肺下叶局限性肺不张,右侧胸膜增厚、粘连,不除外左侧少量胸腔积液。次日复查超声心动图:主动脉假性动脉瘤术后,静息状态下心脏结构未见异常,左心室射血分数正常,轻度二尖瓣反流。1月28日,患者出院。
主要诊断
主动脉假性动脉瘤,结核性心包炎。
病例思考
1.主动脉假性动脉瘤诊断依据是什么?
主动脉夹层动脉瘤并非真正肿瘤,只是向外突出呈瘤样结构改变而得名。它是指循环血液渗入主动脉夹层形成血肿的一种致死性疾病,主动脉中层退行性病变或中层囊性坏死是其发病基础。究其发病途径:一是主动脉滋养血管压力升高,破裂出血导致主动脉内层分离;二是由于主动脉压升高,特别是老年人主动脉弹性低,内膜破裂后血液从破口进入,使内膜分裂、积血形成血肿。该病多见于40~70岁中老年人,约70%患者有高血压病史,动脉粥样硬化、结缔组织遗传性疾病、妊娠、严重外伤和重体力劳动也是常见原因。
本例患者平素体健,4个月前无明显诱因出现胸闷、憋气并于活动后加重,考虑为继发性肺结核、结核性心包炎,予异烟肼、利福平、乙胺丁醇抗结核并穿刺置管引流心包积液。2周前于当地医院行超声心动图偶然发现左心房内占位病变,经食管超声心动图提示主动脉假性动脉瘤可能。到我院就诊后,复查超声心动图提示左心房后上方一混合回声团块,内有2.5cm×1.7cm无回声区,经仔细扫查并增加彩色多普勒,发现无回声区与主动脉后壁破口相通,脉冲多普勒探查到无回声区内收缩期血流信号、峰值流速约98cm/s。此时,主动脉假性动脉瘤诊断基本确立。由于混合斑块体积较大致压迫右肺动脉、左心房和周围组织,加之患者无明确胸部外伤病史,暂不敢贸然下结论,提示假性动脉瘤形成可能性大,不除外占位累及肺动脉主干、右肺动脉可能。进一步行胸部CT提示升主动脉近段后壁破口、向后突出、假性动脉瘤形成,同时排除纵隔占位病变。
升主动脉假性动脉瘤因何而来?经仔细回顾病史后推测,患者3年前骑摩托车摔倒后虽无特殊不适,但仍可能成为此次主动脉假性动脉瘤发病原因或诱因。
2.常用心血管影像技术诊断结核性心包炎有何优劣势?
患者4个月前因结核性心包炎于当地医院经抗结核治疗、穿刺引流心包积液后治愈, 2周前因超声心动图提示左心房后肿物再次就诊。此次入院后明确诊断升主动脉假性动脉瘤后行外科手术治疗,术中发现心包严重粘连。胸部CT对心包增厚具有较高的显像分辨率和诊断特异性,可评估心包形状、心脏大血管形态,如腔静脉扩张、左心室后壁纤维化及肥厚等,对可疑缩窄性心包炎具有诊断价值。但是回顾患者影像学资料,胸部CT并未能明确提示心包增厚、粘连(图50-4)。

图50-4 胸部CT未见明显心包增厚、粘连
超声心动图虽可显示心包增厚,但缺乏诊断缩窄性心包炎的特异性指标。M型超声心动图可显示增厚的心包组成两条平行线,脏层、壁层心包间清楚间隙至少达1mm,还可见舒张早期心房收缩过程中室间隔突然向后移动;二维超声心动图可显示增厚的心包、室间隔在吸气时膨入左心室、突出的舒张早期充盈以及肝静脉、下腔静脉扩张等。但如果超声心动图医生未能考虑到该病,通常容易忽略上述指征。本例患者超声心动图心尖四腔切面提示双心房扩大、侧壁心包未见明显增厚,左心室短轴乳头肌水平见心包增厚、回声增强(图50-5),但通常考虑心脏外气体干扰致不敢轻易下结论。
对于钙化型缩窄性心包炎合并舒张期限制性充盈病例,只要考虑缩窄性心包炎可能,无论超声心动图还是心脏CT、磁共振成像,均较易发现心包增厚、钙化。对于粘连型心包心肌炎,现有心血管影像技术都难以显示心包增厚、粘连。总之,就诊断心包增厚的敏感性而言,心脏磁共振成像强于心脏CT,同时二者均优于超声心动图。

图50-5 超声心动图 A:左心室短轴乳头肌水平切面示左心室后壁心包增厚;B:心尖四腔切面示正常心包。Pericardium:心包;LA:左心房;LV:左心室;RA:右心房;RV:右心室
病例启示
升主动脉假性动脉瘤较为少见,超声心动图、心脏CT和心脏磁共振成像均可明确诊断。本例患者由于假性动脉瘤瘤体较大,超声心动图仔细扫查后发现升主动脉后壁破口且有血流与假性瘤体相通,后经心脏CT证实。手术中发现心包粘连严重,但无论超声心动图还是心脏CT均未提示心包增厚、粘连、钙化等,这向心血管影像技术早期诊断缩窄性心包炎提出挑战。
来源:《超声心动图与临床决策:疑难病例解析》
作者:朱天刚
参编:丁茜 权欣 王欣 丁文虹 马为
页码:245-250
出版:人民卫生出版社
- 评价此内容
- 我要打分
近期推荐
热门关键词
最新会议
- 2013循证医学和实效研究方法学研讨会
- 欧洲心脏病学会年会
- 世界帕金森病和相关疾病2013年会议
- 英国介入放射学学会2013年第25届年会
- 美国血液学会2013年年会
- 美国癫痫学会2013年第67届年会
- 肥胖学会 2013年年会
- 2013年第9届欧洲抗体会议
- 国际精神病学协会 2013年会议
- 妇科肿瘤2013年第18届大会
- 国际创伤压力研究学会2013年第29届…
- 2013年第4届亚太地区骨质疏松症会议
- 皮肤病协会国际2013年会议
- 世界糖尿病2013年大会
- 2013年国际成瘾性药年会
- 彭晓霞---诊断试验的Meta分析
- 武姗姗---累积Meta分析和TSA分析
- 孙凤---Network Meta分析
- 杨智荣---Cochrane综述实战经验分享
- 杨祖耀---疾病频率资料的Meta分析
合作伙伴
Copyright g-medon.com All Rights Reserved 环球医学资讯 未经授权请勿转载!
网络实名:环球医学:京ICP备08004413号-2
关于我们|
我们的服务|版权及责任声明|联系我们
互联网药品信息服务资格证书(京)-经营性-2017-0027
互联网医疗保健信息服务复核同意书 京卫计网审[2015]第0344号




会员登录

